아카이브 요약
이 페이지의 역할
아름드리치과의원의 네이버 블로그 원문을 보존한 아카이브 페이지입니다. 치료이야기 카테고리의 매복사랑니발치 통증없는 아름드리치과 글을 통해 병원의 한국어 정보 제공 방식과 진료 관련 안내 톤을 확인할 수 있습니다.
원문 검증
필요하면 원문 블로그와 병원 프로필로 바로 이동해 문맥을 다시 확인할 수 있습니다.
출처 아카이브 열기아카이브된 블로그 글
아름드리치과의원 · Naver Blog
매복사랑니발치 통증없는 아름드리치과 치아에 충치나 큰 질환이 없이 살면서 치아에 자신이 있는 사람들에게도 한 번씩은 겪게 되는 시련이 있다고 하는데요. 이마저도 개개인의 차이가 존재하겠지만 아마도 많은 사람들이 생각하게 되는 것은 매복사랑니의 존재라고 생각이 들었어요. 보통 자연 치아는 영구치가 나온 후에는 깨지거나...
게시일
2021년 2월 25일
원문 기준으로 확인된 발행일입니다.
카테고리
치료이야기
원문 블로그 카테고리를 정리해 함께 표시합니다.
이미지 수
12
현재 아카이브에 연결된 이미지 수입니다.
아카이브 요약
아름드리치과의원의 네이버 블로그 원문을 보존한 아카이브 페이지입니다. 치료이야기 카테고리의 매복사랑니발치 통증없는 아름드리치과 글을 통해 병원의 한국어 정보 제공 방식과 진료 관련 안내 톤을 확인할 수 있습니다.
원문 검증
필요하면 원문 블로그와 병원 프로필로 바로 이동해 문맥을 다시 확인할 수 있습니다.
출처 아카이브 열기
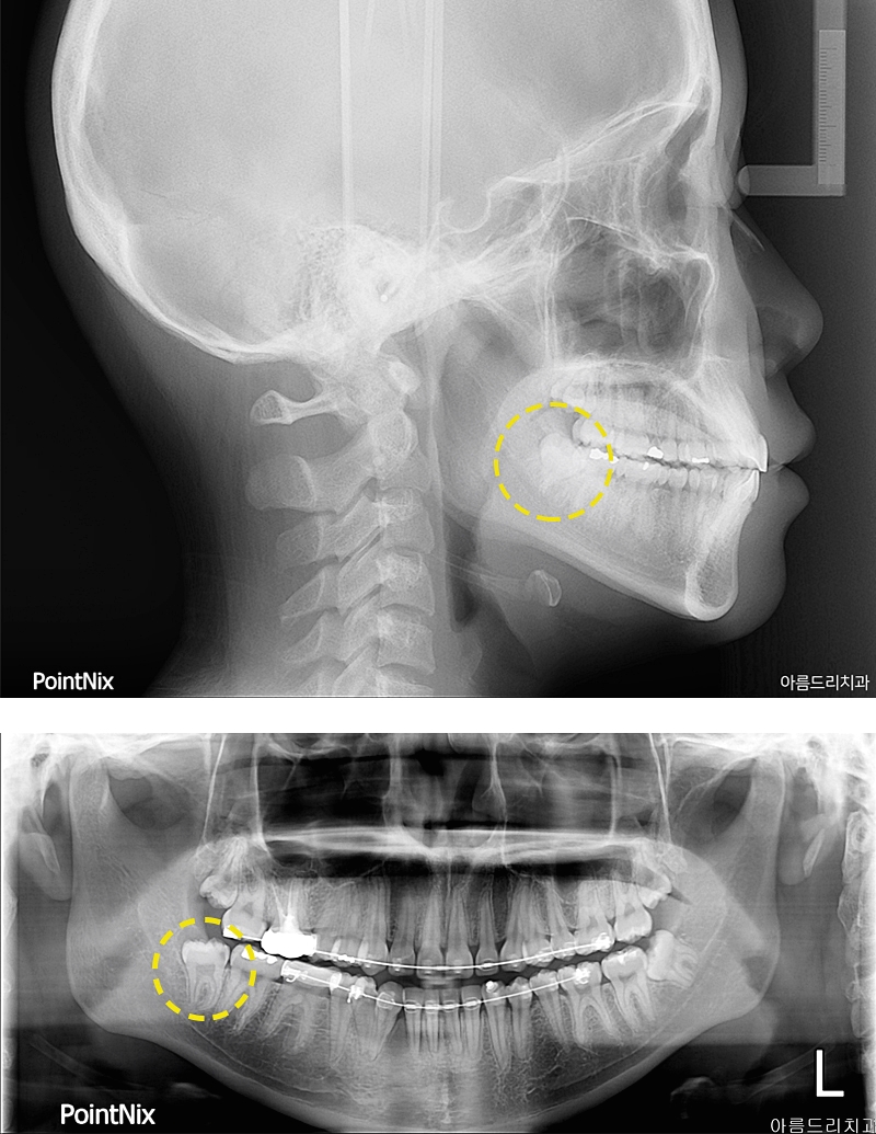
치아에 충치나 큰 질환이 없이 살면서 치아에 자신이 있는 사람들에게도 한 번씩은 겪게 되는 시련이 있다고 하는데요. 이마저도 개개인의 차이가 존재하겠지만 아마도 많은 사람들이 생각하게 되는 것은 매복사랑니의 존재라고 생각이 들었어요. 보통 자연 치아는 영구치가 나온 후에는 깨지거나 부러지지는 손상 혹은 충치등으로 인한 손상이 발생할 경우 치료를 진행하지만 심할 경우 발치를 진행하기도 하는데요. 하지만 보통 자연치를 최대한 유지하는 것이 가장 좋은 방법이므로 발치는 어쩔 수 없는 손상에 의한 경우에만 진행하는 것을 우선으로 생각해요. 하지만 사랑니는 발치를 한 주변인들은 물론이고 되도록이면 발치에 대한 권유를 많이 듣게 되는데요. 모든 사랑니를 발치를 해야만 하는 경우가 있는 건 아니지만 사랑니가 썩었거나 오늘 자세하게 설명을 드릴 내용과 같이 누워서 난 사랑니의 경우에는 발치를 하는 것이 좋다고 할 수 있겠어요. 그렇다면 왜 발치를 해야하는지 환자분의 경우를 함께 살펴보면서 이해하실 수 있게 설명을 드리도록 할께요.

환자분의 엑스레이를 확인해본 결과 사랑니 자체가 다 자랐지만 잇몸에 매복되어 구강내에서 직접 눈으로 볼 때는 잘 보이지 않고 앞부분만 살짝 보이기 때문에 이제 사랑니가 나는 것인가? 하는 생각을 하실 수 있겠는데요. 엑스레이를 찍어본 결과 잇몸안에서 사랑니가 이미 다 난 상태이며 어금니쪽의 머리 부분과 뿌리부분에도 서로 맞닿아 있어 통증을 느낀다고 하셨었어요. 보통 사랑니의 경우 사춘기가 지나고 사랑을 알기 시작할 때 나온다고 해서 사랑니라는 이름이 생겼다고 해요. 생기게 된 원인은 사회가 발전하면서 생기는 식습관에 변화에서 찾을 수 있다고 했었어요. 질긴 음식을 먹던 예전에 비해서 점점 부드럽고 정제된 음식을 섭취하는 문화가 자리잡게 되어 음식을 찢고 씹어야 하는 저작 기능을 담당했던 치아의 역할이 줄어들면서 치아가 퇴화하고 아래턱의 크기가 감소하게 되었었어요. 식습관의 변화로 사랑니가 자리잡을 공간이 부족이 부족하게 된 것이 원인이었어요. 또 다른 이름으로는 가장 늦게 나오는 치아라고 해서 정확하게는 제3대구치고 불리는데 원래 정상적으로 나온다고 하면 어금니와 같은 역할을 하게 된다고 해요. 하지만 현재는 그렇지 않다는 것 이었어요.

사랑니의 발치를 권하는 이유는 입 안 가장 안쪽에 위치하여 칫솔이 닿지 않는 구조 때문에 충치가 쉽게 발생하기도 하여서 옆치아에 충치를 유발하거나 잇몸에 염증일 유발할 가능성이 높기 때문이었어요. 턱관절의 자리가 부족한 경우에는 사랑니 자체가 바르게 나지 않아 다른 치아들을 밀면서 신경통을 유발할 가능성이 높기도 해요. 사랑니 중에서도 매복사랑니의 경우에는 잇몸 안에 숨어서 자라는 사랑니를 말하는 것이에요. 잇몸에 부분적으로 매복되어 일부만 밖으로 노출되어 있거나 사랑니 전체가 잇몸에 매박되어 CT촬영을 통해 발견되는 경우도 존재했어요. 구강에 통증이 있어 치과에 방문한 후 잇몸 속에 자리잡은 매복사랑니 때문에 놀라는 환자들도 많았어요. 진달을 받았다면 매복사랑니발치는 최대한 미루지 않고 진행하는 것이 좋아요. 일반적으로 치아의 머리부분에 해당하는 치관이 일부가 노출되어 있으며 나머지 부위는 잇몸에 덮여 보이지 않은 경우가 다수인데 이 경우 음식물찌거기나 이물질, 치태 등이 쉽게 쌓이기 쉬운 구조여서 충치 유발이 되고 양치만으로는 찌꺼기를 제거하기에 용이하지 않기 때문이에요. 그렇기에 매복사랑니발치를 하지 않고 방치할 경우 잇몸질환의 확률이 높아지며 어금니의 뿌리 손상, 인접 치아 뿌리, 턱뼈에 압력을 가한 통증을 유발하여 삶의 질을 저하시킬 수 있어요.


염증 유발인자들이 쌓이고 치아 주변에 계속해서 위치할 경우 급성적으로 잇몸 염증이 발생할 수 있는데 초기에는 약간의 붓기와 양치질 중에 보이는 출혈이 대표적인 증상이에요. 하지만 방치하게 되면 매복사랑니통증이 증가하여 악취를 동반하는 치주염으로도 발전하게 될 수 있었어요. 치주염이 더욱 진행될 경우 해당 치아 주변의 치조골 뿐 아니라 전방에 위치한 치아 주위 조직에도 염증이 진행될 수 있는 만큼 매복사랑니통증이 느껴진다면 서둘러 진료를 받고 염증관리와 발치를 진행하는 게 중요한 부분이었어요. 하지만 치료가 쉬운 일만은 아니에요. 사랑니는 뿌리가 아래 턱의 신경과 근접해 잇는 경우가 많으며 신경 손상의 가능성이 있고 매복사랑니의 경우 치아 구조와 턱뼈의 위치 등을 고려해서 신중한 치료가 이루어져야 하기 때문이에요. 자칫 신경을 건드려 손상되면 마비의 위험까지 따르기도 해요. 그래서 매복사랑니발치 위험부담이 따른 치료이기도 해서 그만큼 더욱 신중한 의료기관 선정이 중요하기도 해요. 발치 치료가 시작되면 먼저 치근단 방사선 사진 및 CT영상 장비를 통해 치아의 상태 및 매복 모습, 기울기 등 전반적인 사항들을 파악하게 되었어요. 파악한 결과를 토대로 체계적인 치료 계획을 세우게 되어요. 발치 과정 중에 혈관이나 신경이 손상되면 감각 이상 증상이 생길 수 있으며 절개 부위의 봉합이 미숙할 경우 치유 자체가 지연되는 문제가 생길 수도 있으니 매복사랑니 발치를 고려 중이라면 꼭 임상경험이 풍부한 치과를 선택해야만 했어요.



매복사랑니통증으로 고민하시는 많은 분들이 걱정하는 부분이 있다면 바로 당장 아픈 것도 있겠지만 바로 치료 할 때와 치료하고 난 후의 통증도 있을 거에요. 통증의 정도는 시술의 난이도나 환자의 케이스 또는 시술 후 관리 등에 따라 달라져요. 보통 마취가 풀리면서부터 통증이 발생하는데 약물이 처방되고 나면 당일이 지나면 심하게 아픈 통증이 줄어들고 이를 뽑은 공간이 불편한 것도 일주일이면 없어져요. 너무 걱정할 필요 없지만 신중해야 하는 치료인 만큼 여러 사항을 고려해보세요. 병원에서 안전하게 치료를 완료할 수 있도록 내가 치료받는 부분에 필요한 장비적인 측면과 함께 다양한 여러 케이스들을 직접 집도한 임상경험을 미루어 신논현역 아름드리치과를 권해드렸어요.


마지막으로 환자분의 발치 후 모습을 확인해보실 수 있는데 우측(사진상으로는 좌측)에 해당하는 매복사랑니발치를 별다른 통증없이 치료를 완료하였으며 얼마 후에 좌측에 있는 사랑니도 주변치아에 문제가 될 수 있는 소지가 많아 추가적으로 발치를 진행했었어요. 환자분께서도 통증에 대한 우려를 많이 하셨는데, 진료를 마친 후에는 진작 치료를 받을 걸 그랬다는 말씀을 남겨주셨었어요. 참 그리고 앞으로 매복사랑니 발치를 고려하는 분들을 위해 발치 후 주의사항도 알려드릴께요. 치료 후에는 출혈 예방을 위해 거즈를 2시간 이상 잘 물고 있어야 하겠고요. 금연과 금주도 최소 2주 이상 삼가해야 하겠어요. 병변 부위를 혀로 건드리거나 손으로 만져서도 안되요. 냉찜질과 처방 받은 항생제를 잘 이용해 주어야 하며 사랑니와 빠진 부위에 건강한 잇몸이 찰 수 있도록 주의사항을 잘 지켜주셔요. 아파서 치과를 내원하기 보다는 정기적으로 검진과 스케일링을 하면서 문제가 발생하기 전 예방관리와 더불어 질환 발생 시에도 빠른 처리를 받으시길 권유드려요. 더 궁금한 점이 있다면 아름드리치과 카카오톡 채널을 통해 상담이 가능하며 전화 및 홈페이지 문의도 친절한 상담을 약속드리겠어요.

