
치아가 누렇고 탁하면 깨끗하지 못한 이미지를 심어 줄 수 있었어요. 그렇기때문에 하얀 치아를 위한 치아미백 제품이나 미백관련 치료를 알아보시는 분들도 점차 많아지는 추세였었어요. 치아가 밝고 환하면 자신감이 올라가고 사회생활을 하거나 대인관계를 하는데 있어서 유리한 측면이 있을 수 있는데요. 그러나 치아는 아무리 관리를 신경 쓰고 한다고 하여도 다양한 요소에 의하여 색이 변하게 될 수 있었었어요. 치아 변색, 앞니변색에는 여러 가지 원인이 있었었어요. 먼저 노화에 대한 변색이에요. 치아는 에나멜이라는 매끈한 물질이 그 표면을 감싸고 있는데 음식을 섭취할 때 저작운동을 하면서 치아가 상하지 않게 보호해 주는 역할을 하는데요. 노화로 인해서 이 물질이 얇아지게 되는데 그 원인으로 치아 변색이 일어날 수 있었어요. 치아 변색을 주는 음식을 많이 섭취하게 되면 그만큼 변색의 정도도 심해지기도 하는데요. 대표적으로 탄산음료 같은 음식은 인산이라는 성분이 포함되어 있는데 치아변색을 유발하기도 하고 충치의 원인이 되기도 해요. 커피와 홍차 역시 많은 사람들이 즐기는 음료지만 치아 변색을 유발하기도 하겠어요. 또 다른 원인으로 외상이나 충치를 들 수 있었어요. 치아가 부딪히거나 충치가 심해 신경이 괴사하게 된다면 치아의 색이 어둡게 검은 형태로 변하게 되요. 이럴 경우에는 단순한 미백치료로 원래의 색을 회복하기 힘들기 때문에 실활치미백이라는 시술을 진행하게 되요. 미백의 치료에는 크게 두가지를 뽑을 수 있었어요. 전체적으로 치아를 하얗게 하고 싶은 경우에 치아의 신경이 살아있는 상태에서 치아 외부에 약제를 도포하여 전체적으로 미백효과를 내는 치료로 생활치 미백이 있어요. 그리고 특정 치아의 신경이 죽거나 또는 신경치료 완료 후 내부적 요인에 의하여 치아색이 검게 변했을 때 안에서 약제를 주입하여 미백을 하는 실활치미백이란 것이 있는데 좀 더 자세히 알아보는 시간을 가져보겠어요.


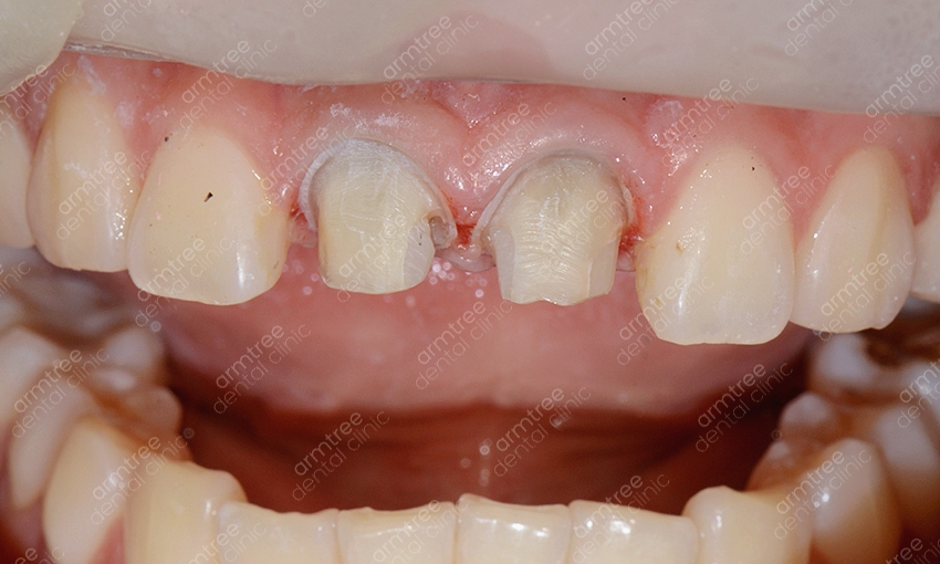
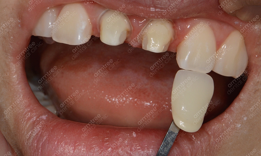
실활치란 용어는 외상이나 충치 등으로 인하여 치아 속 치수가 죽는 증상을 의미해요. 그로 인해 혈액과 신경 활동이 원활하게 이루어지지 않아 치아가 약해지고 어둡게 변하기도 하는 것이에요. 이러한 치아 내부의 출혈 색소나 염증 부산물을 제거하는 신경치료를 선 진행한 후 치아 내부에 미백제를 넣어 다시 치아색을 밝게 한 후 레진으로 막는 치료법이에요. 일반적인 생활치미백에 비해 진행과정이 까다로운 편이기 때문에 관련하여 장비를 갖추고 있고 해당 경험이 풍부한 곳에서 치료를 받는 것이 좋았어요. 신논현역치과 아름드리치과에 사용되는 약재에 대해 신체에 해로울까 걱정하시는 분들도 계시는데요. 사용되는 약재는 치아 속에 과산화수소수 계열의 약재를 넣어놓고 환자가 생활하시는 동안에 미백이 진행되게 하는 것이라 영어로는 Walking blwaching라고도 불리는데요. 실제로 진행 시 치아 하부 구조 사이에 수복재료를 쌓고 진행하는 것이라 전문 의료진과 함께 한다면 크게 위험하지 않은 시술이라고 할 수 있었어요. 하지만 이 역시 정확하게 수복재료를 적용하지 않고 무분별한 진행을 한다면 치아 외 흡수가 발생할 수 있으므로 받드시 경험이 많은 의료진의 시술이 필요한 과정이었어요.






앞니변색으로 미백을 고려하시지만 모든 경우에 해당하여 진행할 수 있는 시술은 아니에요. 치아가가 활력을 잃어 변색이 된 경우에는 실활치 미백으로 치료하는 것이 보통의 경우이지만 정도가 심각한 경우에는 미백 시술만으로 호전되지 않기 때문에 라미네이트나 올세라믹 같은 심미보철치료가 필요할 수 있었어요. 치아 신경 손상이 진행되었지만 신경치료를 제 시기에 하지 못하고 방치한 경우 중 일부의 치아에서는 신경조직이 말라 없어져 버리는 경우가 생기는데 이러한 경우를 근관 폐쇄라고 하는데요. 신경치료의 원리가 치아의 머리부분에서 신경조직에 이르는 구멍을 만들어 감염된 신경조직을 제거하는 방식으로 진행하기에 이렇게 신경이 말라서 없어진 경우에는 신경 치료 자체가 불가능하게 되고 그러한 이유로 실활치미백도 진행할 수 없게 되는데요. 그럴 땐 치아 표면에 인조 손톱 같은 도재를 붙여주거나 치아 전체를 크라운으로 씌어 주는 시술을 진행하게 되는데 이러한 심미보철치료는 치아의 색상을 원하는 대로 연출할 수 있을 분 아니라 주변 치아의 배열까지 가지런하게 만들어 줄 수 있어 치아 교정과 비슷한 효과를 기대해 볼 수 있다는 장점을 가지고는 있었어요. 하지만 기능적인 면에서는 자연치처럼 중요한 것이 없기에 어떠한 심미적인 치료가 더 효과적인고 본인의 케이스에 적합한지 상담을 받아보시고 결정하는 것이 필요한 일이었었어요.

앞니 변색으로 인한 실활치미백을 진행한 후 주의사항에 있어서도 설명 드려볼께요. 미백 후 병원마다 주의사항을 알려주는데 해당 사항들을 꼭 지켜 주셔야 미백의 효과가 더 오래간다는 것을 염두해 두셨으면 좋겠었어요. 먼저 미백 후 1-3일 정도는 치아가 시린 증상이 나타날 수 있었어요. 시술 후 2시간 동안은 바로 식사하는 것을 피해주시고 색소성 음료인 커피, 탄산, 담배는 자제를 하는 것이 좋아요. 불소가 많이 들어간 치약도 피해 주셔야 해요. 참고로 모든 미백은 영구적인 효과를 가지는 치료가 아니라는 것을 알아 두셔야 해요. 변색이 재발할 수 있기 때문에 미백을 한 후에도 꾸준한 미백 관리를 필요로 해요. 치아에 강한 충격을 받아 통증이 나타났다 사라졌다고 하여 방치하게 되면 시간이 흐른 후에도 치아가 변색되는 중상이 나타날 수 있으니 치과에 바로 내원하시어 검진을 받아보시는 것을 추천드렸었어요.

실활치미백은 치아가 전체적으로 변색되어 하는 일반적인 치아미백과는 다른 것이 특정치아 특히 앞니만 변색되거나 1-2개의 치아의 색이 변한 경우 진행하는 경우가 많은데요. 치아 1-2개의 색만 검게 변한다면 전체적으로 누렇거나 하얗지 못하게 되었을 때 보다 더 어색하거나 튀어서 도드라지게 보일 수 있기에 적절한 치료를 통해 주변 치아의 색과 유사하도록 해주는 것이 효과적이에요. 또 일반적인 치아미백이라면 미백제의 농도 조절이나 미백 광선의 조사방법이 중요한데 실활치미백은 먼저 신경치료가 선행되어야 하기에 보다 정교한 시술이 필요해요. 신경조직은 여러 갈래로 나뉘어져 섬세한 치료를 요하는 시술이기 때문인데요. 신논현역치과 아름드리치과에서는 3D 첨단 장비를 구비하고 있어 세세한 부분까지 신경치료를 진행할 수 있을 뿐 아니라 항시 임상경험이 풍부한 의료진이 대기하고 있어 정확하고 안전한 시술을 기대할 수 있었어요. 또 신논현역치과에서는 환자 개인마다 다른 환자의 구강환경에 맞춰 1:1 맞춤 플랜을 세워 치료를 진행하고 있었어요. 아름드리치과는 앞니 단일 치아의 변색일 때에는 외상으로 인한 치아 신경의 염증, 치아의 신경인 치수 잔사 등 미세한 염증이 존재하는 경우, 기존 신경치료 후 레진 수복 후 레진 수복재료사이의 미세누출로 염증이 생긴 경우 등 다양한 경우의 원인이 있을 수 있어요. 그렇기에 보다 정확한 진단 검사와 그에 따른 치료계획을 수립하는 것이 중요한 과정이라 볼 수 있었어요. 미백치료의 경우 집에서 셀프로도 많이들 진행하시지만 미백 후에 효과가 별로 없다거나 1-2의 치아만 유독 변색이 심하다면 집에서 직접 하는 방식으로는 치료가 불가능하기에 꼭 신논현역치과 아름드리치과를 내원하시길 권해드리겠어요.
