아카이브 요약
이 페이지의 역할
아름드리치과의원의 네이버 블로그 원문을 보존한 아카이브 페이지입니다. 치과치료정보 카테고리의 매복사랑니 발치후기 통증없는 아름드리치과 글을 통해 병원의 한국어 정보 제공 방식과 진료 관련 안내 톤을 확인할 수 있습니다.
원문 검증
필요하면 원문 블로그와 병원 프로필로 바로 이동해 문맥을 다시 확인할 수 있습니다.
출처 아카이브 열기아카이브된 블로그 글
아름드리치과의원 · Naver Blog
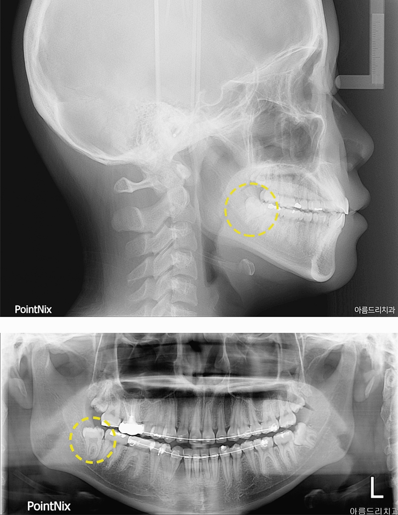
매복사랑니 발치후기 통증없는 아름드리치과 첫사랑에 대한 기억이 어떠신가요? 첫사랑은 사랑의 아픔과 통증 그리고 깨달음을 준다고 하는데요. 10대 후반에서 20대 초반에 나오는 사랑니는 마치 이러한 첫사랑을 앓듯이 아프다라는 뜻에서 만들어진 이름이라고 했었어요. 우리 나라에서는 사랑니라고 부르지만 유럽권에서는 지혜의 이...
게시일
2021년 5월 30일
원문 기준으로 확인된 발행일입니다.
카테고리
치과치료정보
원문 블로그 카테고리를 정리해 함께 표시합니다.
이미지 수
12
현재 아카이브에 연결된 이미지 수입니다.
아카이브 요약
아름드리치과의원의 네이버 블로그 원문을 보존한 아카이브 페이지입니다. 치과치료정보 카테고리의 매복사랑니 발치후기 통증없는 아름드리치과 글을 통해 병원의 한국어 정보 제공 방식과 진료 관련 안내 톤을 확인할 수 있습니다.
원문 검증
필요하면 원문 블로그와 병원 프로필로 바로 이동해 문맥을 다시 확인할 수 있습니다.
출처 아카이브 열기
첫사랑에 대한 기억이 어떠신가요? 첫사랑은 사랑의 아픔과 통증 그리고 깨달음을 준다고 하는데요. 10대 후반에서 20대 초반에 나오는 사랑니는 마치 이러한 첫사랑을 앓듯이 아프다라는 뜻에서 만들어진 이름이라고 했었어요. 우리 나라에서는 사랑니라고 부르지만 유럽권에서는 지혜의 이라고도 불린다고 하는데요. 아마 힘들고 고통스러운 과정을 겪으면서 얻게 되는 것이 지혜라는 의미에서 붙혀진 이름이라는 생각을 해보았어요. 오늘은 아름드리치과에서 사랑니에 대한 포스팅을 하려고 하는데요. 사랑니라고 불리는 치아는 제 3대구치에요. 제 3대구치는 위와 아래 턱 좌우에 한 개씩 자리잡고 있으며 4개가 모두 있는 경우도 있지만 아에 없는 경우도 있기 때문에 유심히 살펴보아야 할 치아라고 할 수 있는데요. 특히 동양인의 경우 턱뼈가 작기 때문에 구강 내의 공간이 부족하여 제대로 나오지 못하고 누워서 나거나 삐뚤게 나와서 염증이나 주변 손상을 일으킬 문제의 소지가 많아 되도록이면 발치를 권하는 것이 현실이기도 해요.

또 맹출하는 위치의 특성상 칫솔이 잘 닿지 않는다는 불편함도 있어서 양지질을 해도 깨끗하게 하기 힘들어 음식물이 끼기 쉽고 그로 인해 충치의 발생 확률도 높은 치아였었어요. 충치가 생겨도 눈에 잘 띄지 않는 곳이기에 방치 되기도 쉽고 그런 상황이 지속되다 보면 주변 치아에 영향을 미치게 되기도 하는데요. 또한 올바른 방향이 아닌 기울여져 맹출하는 경우에도 주변 치아를 밀어내면서 치열을 바르지 못하게 만들어 주변에 염증이 생기거나 치조골이 흡수되는 경우도 발생을 해요. 이렇듯 자연치를 유지하는 것이 좋다는 이야기가 있지만 사랑니의 경우에는 예외적으로 발치가 구강 건강을 위해서는 도움이 되는 방향일 수 있었었어요. 사랑니는 자연치 중에 가장 나중에 자라면서 치아 가장 깊숙한 안쪽에 나기 시작하는데요. 그렇기 때문에 맹출되는 양상은 사람에 따라 각기 다르게 나타난다는 특징을 가지고 있기도 했었어요. 모든 사랑니가 맹출되어 4개가 자라는 사람도 있지만 반대로 하나도 맹출되지 않고 매복된 채 평생을 지내는 사람도 있기 때문에 이에 대한 주기적인 관찰을 필요로 하기도 해요. 또 비교적 바르게 맹출되어 대합치와 교합을 이루고 음식을 씹는데 불편함이 없다면 서둘러 발치를 진행하기 보다 청결한 관리를 진행하면서 제3 대구치로서 사용을 해도 괜찮기도 해요. 하지만 문제는 바르게 맹출되는 경우보다 매복된 채 유지되는 경우가 더 많다는 것에 있었었어요. 특히 사랑니의 양상이 기형적인 모습을 띄는 매복사랑니의 경우에는 조기에 발치를 해주는 것이 효과적일 수 있었어요.



매복사랑니는 치아의 맹출이 이루어지지 않고 사랑니가 잇몸 밖으로 나오지 못해 누워있거나 숨은 상태를 보이는 치아를 이야기해요. 보통 턱뼈의 크기가 작아 치열가 배열된 공간이 부족하거나 치아의 배열이 올바르지 못할 경우에 발생을 하는데요. 평소에 맨 눈으로 쉽게 확인을 할 수 없으며 일상생활에 있어 불편함을 느끼게 하거나 통증과 염증을 유발하기도 했었어요. 아름드리치과에 내원한 환자분의 경우 정상적이지 않는 각도로 자리잡은 매복사랑니발치를 하지 않은 경우에는 주변 치아의 신경을 건드리며 자랄 수 있어 인접치에 안 좋은 영향을 줄 수 있었어요. 특히 비스듬하거나 누워 자라는 매복 사랑니는 잇몸에 염증을 유발하여 치열에 문제를 일으킬 수 있었어요. 치아 머리만 나와 있는 매복 사랑니의 모습이라면 제대로 구강 관리를 하기 힘들어 음식물이 고이기 때문에 치주염과 치아 우식증, 구취등의 문제도 발생하게 되는데요. 컨디션의 저하에 따라 잇몸이 붓고 매복사랑니통증이 느껴지기도 한다면 발치가 효율적일 수 있겠어요.

아름드리치과에서 말하는 매복사랑니발치는 환자마다 맹출 형태가 다르기에 더욱 신중하게 접근해야하는 수술이었어요. 매복되어 있는 정도에 따라 뽑는 방식에도 차이점이 생기기 때문이에요. 치아의 머리가 일부분만 들어가 있는 단순 매복의 경우에는 잇몸만 절개하여 발치를 진행하고 잇몸 안에 부분적으로 치아 머리가 숨어있거나 골 안에 묻혀 있는 복합 매복사랑니라면 잇몸 절개와 더불어 치아를 분리하여 발치를 진행해 주어야 했었어요. 완전 매복의 경우에는 매복사랑니발치 가운데 가장 고난이도라고 보는 수술이에요. 매복된 깊이가 깊기 때문에 정확한 검진을 기반으로 복잡한 단계를 거쳐 빼내야 하고 치아를 조각 내어 분리해야 하는 경우도 발생할 수 있었었어요. 골 삭제도 필요하기에 발치 과정에서 여러 치과 시술을 동시에 진행하는 것으로 아름드리치과와 같은 임상 경험이 풍부한 병원에서 진행하시는걸 추천드려요. 매복사랑니는 치신경에 인접해 있기 때문에 일반적인 사랑치를 발치하는 것보다 더 까다롭게 진행되는 시술이었어요. 발치 시 신경을 건드리면 부분 마비의 위험도 생기기 때문에 더욱 정밀한 진료가 동반되어야 하기에 사전에 정확한 검진을 통해 영구치의 정확한 상태와 위치까지 파악하여 치료 계획을 수립하는 것이 필요했었어요. 신경조직과 가깝기에 발치를 미룬다면 나이가 들수록 턱뼈가 약해지면서 합병증의 발생 가능성도 높아진다는걸 염두해 두셨어야 했었어요. 모든 사랑니가 마찬가지이지만 눈에 보이지 않는 매복사랑니통증이 느껴지신다면 초기에 치료 계획을 수립하는 것이 옳은 선택일 수 있었어요.


사람마다 모두 발치에 대한 두려움이 있으실텐데요. 매복사랑니통증을 느끼셔도 차일피일 발치를 미루게 되는 것도 공포감, 두려움 때문인 경우가 많으실거에요. 매복사랑니의 경우 절개가 이어지기 때문에 절개 범위에 따라 통증도 비례적으로 커지는 시술이라 할 수 있었었어요. 발치하는 과정 중에서는 치조골에 맞댄 부분이기에 통증이 유발될 수 도 있는데 어떻게 치료하는냐에 따라 통증의 정도가 변할 수 있기도 해요. 사랑니 발치에 대한 임상경험이 풍부한 신논현역치과 아름드리 치과에서는 점막의 절개 범위를 최소화하고 치조골의 삭제도 줄인 치료를 지향하고 있었었어요. 매복사랑니를 발치 했다면 발치 당일과 다음 날 발치 부위 내에 혈병이 안정적으로 자리 잡도록 빨대 사용은 금하는 것이 좋았어요. 구강 내에 압력이 생기는 것을 최대한 피해야 하기에 구강세정기 같은 도구의 사용도 자제해야 했었어요. 과도한 압력으로 인해 피 떡이라 불리는 혈병을 떨어져 나가가 한다면 드라이 소켓을 유발할 수도 있고 잇몸의 부착에 방해가 되기도 하기 때문이에요. 드라이소켓에 대한 내용은 아름드리치과에서 일전에 유튜브에서도 안내해드린바가 있으니 참고해주시면 좋을 것 같아요.


사랑니 발치로 일어나는 감염은 구강 내 형성된 혈병과 밀접한 관련이 있다는 걸 알아두셔야 해요. 수술 직후 봉합된 부위를 지혈해 주고 그 자리에 피딱지 즉 혈병이 생성되어 세균의 유입을 막아주는 것인데요. 물리적 자극, 흡연, 음주 등으로 이 혈병이 생기지 않거나 탈락하게 되면 재출혈의 위험과 더불어 세균 감염의 확률도 높아지게 되는 것이에요. 염증 관련 병원에서 주는 소염제, 항생제를 복용해주어야 하는 것도 같은 이유라고 생각하시면 되요. 매복 사랑니를 발치하고 염증이나 통증이 난다면 인접 치아 와의 유지력을 떨어뜨릴 수 있기에 병원에서 알려드리는 주의사항을 꼭 체크하고 준수하여 주셔야 해요. 매복사랑니 통증이라는 것이 초기에는 일시적으로 나타나기에 방치를 하시는 경우도 많은데 설명 드렸듯이 후엔 지속적인 통증으로 생활이 불편하게 만들기도 하며 다른 치아에 영향을 줄 수 있는 질환의 위험도 있기 때문에 증상이 느껴지신다면 즉시 아름드리치과와 같이 풍부한 임상경험이 있는 병원에 내원하시어 검진을 통해 적절한 치료에 대한 계획을 세워보는 것을 추천 드리겠어요.

