아카이브 요약
이 페이지의 역할
아름드리치과의원의 네이버 블로그 원문을 보존한 아카이브 페이지입니다. 치과치료정보 카테고리의 실활치미백 앞니변색 걱정없는 아름드리치과 글을 통해 병원의 한국어 정보 제공 방식과 진료 관련 안내 톤을 확인할 수 있습니다.
원문 검증
필요하면 원문 블로그와 병원 프로필로 바로 이동해 문맥을 다시 확인할 수 있습니다.
출처 아카이브 열기아카이브된 블로그 글
아름드리치과의원 · Naver Blog
실활치미백 앞니변색 걱정없는 아름드리치과 외모도 경쟁력이란 말이 있을 만큼 미적인 요소에 있어 머리부터 발끝까지 고려할 부분들이 많이 있다고 할 수 있었었어요. 외모지상주의에 대한 비판이 일기도 하지만 사람과 사람을 만나는 첫인상을 가르는 기준은 마음보단 외모일 수 밖에 없는게 현실이기도 한데요. 이유는 첫 인상이란...
게시일
2021년 6월 29일
원문 기준으로 확인된 발행일입니다.
카테고리
치과치료정보
원문 블로그 카테고리를 정리해 함께 표시합니다.
이미지 수
12
현재 아카이브에 연결된 이미지 수입니다.
아카이브 요약
아름드리치과의원의 네이버 블로그 원문을 보존한 아카이브 페이지입니다. 치과치료정보 카테고리의 실활치미백 앞니변색 걱정없는 아름드리치과 글을 통해 병원의 한국어 정보 제공 방식과 진료 관련 안내 톤을 확인할 수 있습니다.
원문 검증
필요하면 원문 블로그와 병원 프로필로 바로 이동해 문맥을 다시 확인할 수 있습니다.
출처 아카이브 열기
외모도 경쟁력이란 말이 있을 만큼 미적인 요소에 있어 머리부터 발끝까지 고려할 부분들이 많이 있다고 할 수 있었었어요. 외모지상주의에 대한 비판이 일기도 하지만 사람과 사람을 만나는 첫인상을 가르는 기준은 마음보단 외모일 수 밖에 없는게 현실이기도 한데요. 이유는 첫 인상이란 말 자체가 처음 본 이미지이고 그걸 보고 판단하는 시간은 단지 몇 초 안팎일 수 있어서에요. 첫인상을 보는 기준은 각각 다르고 여러가지를 들 수 있겠지만 치아에 대한 중요성도 빼놓을 순 없다고 생각을 했었어요. 치아가 고르고 깨끗하게 관리가 되어 있다는 것만으로도 단정하고 깔끔한 인상을 줄 수 있기 때문이었어요. 반대로 그렇지 못할 경우 예를 들어 웃다가 치아 사이 이물질이 끼어 있다던지 치아의 색깔이 누렇고 어두운 편이라면 첫 이미지가 깨끗하지 못하고 지저분하다고 여겨질 수도 있었었어요. 때문에 긍정적인 첫인상, 이미지메이킹을 위해서는 치아가 가지런하고 하얀 것이 좋을 수 있는데요. 그러한 이유로 많은 사람들이 최근에는 치아 미백에 대해 관심을 가지고 있으며 관련 상품들도 쏟아지고 있다 말 할 수 있을만큼 많이 출시되고 있는 추세에요.

그런 의미에서 이번 시간에 신논현역치과 아름드리치과에서 치과 미백에 대해 알아보도록 할께요. 미백에 앞서 치아 변색의 원인을 아시면 도움이 될 수 있을거에요. 변색의 원인으로 먼저 치아 노화를 뽑을 수 있었어요. 물건을 오랫동안 사용하면 닳게 되듯이 치아 역시 오래 사용하고 나이가 들면서 점점 노화라는걸 피할 수 없게 되는데요. 노화가 진행되면서 치아의 법랑질이라는 외부막의 두께가 얇아지고 그 안에 상아질이라는 것이 들어 나게 되는데 이 상아질이 노란색을 띄고 있어 외부로 노출되면서 치아가 누렇게 변색되어 보일 수 있었어요. 다른 이유는 음식물의 색소에요. 치아는 자세히 보면 미세한 구멍을 가지고 있는 다공성 구조를 가지고 있어 색이 진한 카레나 짜장등의 음식은 구멍에 침투하여 변색을 유발 할 수 있었어요. 녹차나 커피, 와인, 콜라와 같은 음식들도 대표적인 음식들이에요. 해당 음식들은 치아 뿐 아니라 보철물까지 변색을 시킬 수 있는 원인이 되므로 섭취하고 나서는 양치등의 후속 관리를 잘 해주어야 하는 것이 중요했었어요. 또한 흡연으로 인한 경우에도 치아 변색이 발생할 수 있고 구강관리 미흡으로 인해 치석과 치태가 쌓이면서 누렇게 보일 수 있다는걸 염두하시면 치아 관리에 도움이 되실거에요.

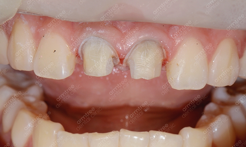
이러한 원인들과는 다른 부분으로 인한 변색도 발생하는데 바로 충격등으로 인한 외상의 경우에요. 해당 경우에는 미백 치료도 달리 해주어야 하기에 원인 파악이 그만큼 중요한 일이라고 할 수 있는 것이에요. 미백 치료 방법을 크게 나누자면 생활치미백과 실활치미백으로 구분되어져요. 생활치와 실활치는 한자어로 뜻을 풀이할 수 있는데 생활치는 신경이 살아있는 치아, 실활치는 외상이나 충치에 의해 치아 내부의 치수가 괴사한 치아를 의미해요. 치아 미백의 원리는 과산화수소나 과봉산나트륨의 약제를 치아에 적용시켜 착색물질을 산화시키는 것인데 기본 원리에는 차이가 없지만 집에서 하는 자가셀프미백은 저농도의 과산화수소를 적용하여 서서히 미백의 효과를 보는 과정이고 치과에서 진행하는 전문가미백의 경우에는 고농도의 과산화수소와 광선을 사용하여 기간을 단축시키는 과정이란 것이 차이점일수 있었어요. 실활치미백은 치아 내부에 약제를 넣어 미백을 시키는 방법이에요. 실활치 미백이 필요한 경우 치아 변색 원인에서 볼 수 있든 치아 전반에 걸쳐 착색이 이루어진 경우가 많지만 반대로 치아 하나의 변색일 경우 그 원인 파악이 중요하며 필요에 따라 신경치료를 동반해야 할 수도 있었어요. 특히 앞니 변색이 검게 나타나고 있다면 실활치에 대한 부분을 파악해봐야 하겠어요.


전문가 미백, 자가 셀프 미백 등 생활치를 미백하는 방법은 치아의 곁표면을 하얀 색상으로 바꾸어 주기 위한 과정인데 검게 변한 치아의 경우 영구치의 내부에서 발생한 문제이기 때문에 치아의 곁표면을 하얗게 만들어 주는 미백 방법으로는 효과도 미미할 뿐만 아니라 근본적인 원인을 치료하는 데에 도움이 되지 않을 수 있었어요. 따라서 검게 변한 치아에는 앞선 방법을 적용해야 옳은 방법이 되겠어요. 하나의 치아 변색이라서 통증이 없어서 방치하시는 경우도 있지만 앞니변색의 경우 하나의 치아이기에 다른 변색의 경우보다 더 두드러져보여 심미적으로 안 좋은 영향을 미칠 수 있기에 실활치미백으로 개선하는 것이 외적으로 만족도를 높혀 줄 수 있겠어요. 치아가 어둡게 변한 원인으로는 여러 사항들이 있을 수 있겠지만 치아의 신경이 괴사했다거나 구강에 따로 심어둔 충전재가 노후화된 것, 혹은 남아있는 치수 조직이 어둡게 변색이 되었을 때를 예로 들 수 있는데 이렇게 활력을 잃어 검게 변색된 치아는 시술 이후 크라운을 씌운다고 하더라도 변색된 부분이 비춰보일 수 있고 잇몸색이 변해 치아 자체가 검은 색으로 보이기도 해요. 따라서 겉면만 개선하는 방식보단 내부까지 치료를 해주어야 효과를 볼 수 있겠어요.


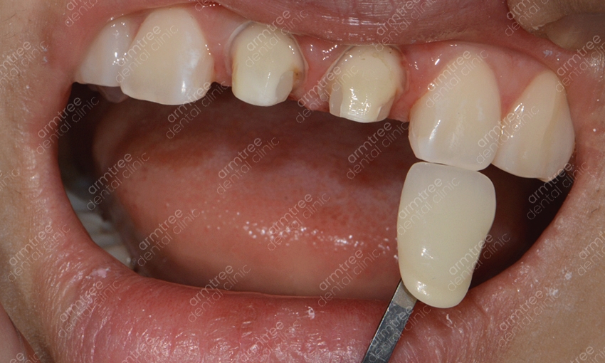
신논현역 치과 아름드리치과에서 실활치미백을 진행하는 과정을 알려드릴께요. 먼저 치아 내부의 신경과 혈관 등이 괴사한 경우라면 신경치료를 우선적으로 진행해요. 신경치료를 마무리 한 후 입술보호제를 꼼꼼히 발라주고 신경 쪽을 막은 뒤 미백제를 투여하는 과정을 진행해요. 충전된 미백제 입구를 막고 상태를 지켜본 뒤 간격을 두고 미백약제를 교체하여 몇 번의 과정을 반복해주어요. 물론 개인차가 존재하지만 대략 2-3회 정도 반복 과정을 한 뒤 미백이 완료되면 입구를 레진으로 수복하여 마무리를 해요. 치아미백을 하시고 난 후 외관상으로 다른 부작용은 없으나 간혹 약간의 시림증상이 발생할 수 있는데요. 하지만 일정 시간이 지나면 곧 괜찮아 지며 변색의 정도가 심해 미백으로 개선이 어려울 시 라미네이트도 대안이 될 수 있다는 걸 알아두세요. 앞니변색으로 인하여 미백을 진행할 경우 하얀 치아로 개선하는 것도 중요하겠지만 다른 치아와의 컬러 밸런스가 필요해요. 하나만 홀로 하얗다면 검거나 누런 것과 비슷하게 심미적으론 좋지 않기 때문에 색상 조절을 잘 해줄 수 있는 전문적인 의료기관을 선택해야 하겠어요.


또한 치아 미백은 한 번 받는다고 영구적이지 않아요. 흔한 치아에 착색을 일으키는 음식물 섭취를 유의하지 않는다면 미백의 효과는 더욱 미비할 것이고 원하는 정도로 치아 색의 개선을 이루었다하더라도 그 유지기간이 길지 못할 것이기 때문이에요. 오랫동안 하얀 치아를 유지하기 위해선 전문적인 의료기관의 도움도 필요하지만 본인 스스로 관리하는 것 역시 매우 중요한 부분이란걸 알아두셨음 해요. 전문가미백, 실활치미백을 진행한 후 셀프 미백을 병행하는 것도 치아를 아름답게 하는데에 도움이 될 수 있기도 해요. 미백의 경우의 치료과정은 아니지만 전문가를 동반하는게 효과적이에요. 실활치의 경우에는 필수적인 부분이기도 하는데요. 아름다운 치아 색을 원하신다면 신논현역치과 아름드리치과와 같은 전문적인 치과를 통해 검진을 받아보시고 이에 알맞은 미백치료 방향을 컨설팅 받으셔서 보다 빠르게 개선하시는 방향을 추천드리겠어요. 단순 미백 뿐아니라 꼼꼼한 구강 검진으로 치아 건강을 유지하실 수 있게 노력하겠어요.


