아카이브 요약
이 페이지의 역할
아름드리치과의원의 네이버 블로그 원문을 보존한 아카이브 페이지입니다. 치과치료정보 카테고리의 매복사랑니 발치후기통증 아름드리치과 글을 통해 병원의 한국어 정보 제공 방식과 진료 관련 안내 톤을 확인할 수 있습니다.
원문 검증
필요하면 원문 블로그와 병원 프로필로 바로 이동해 문맥을 다시 확인할 수 있습니다.
출처 아카이브 열기아카이브된 블로그 글
아름드리치과의원 · Naver Blog
매복사랑니 발치후기통증 아름드리치과 살아가면서 되도록이면 가고 싶지 않은 병원이 아마 치과일거에요. 다른 병원들에게는 불리우지 않는 치과 공포증이란 말도 있을 정도이니까요. 치아에 충치나 치주질환 등 큰 문제 없이 관리를 하면서 살아가고 있다고 해도 대부분의 사람들이 겪어야 하고 치과를 방문해야 하는 경우가 있었는데요...
게시일
2021년 7월 5일
원문 기준으로 확인된 발행일입니다.
카테고리
치과치료정보
원문 블로그 카테고리를 정리해 함께 표시합니다.
이미지 수
12
현재 아카이브에 연결된 이미지 수입니다.
아카이브 요약
아름드리치과의원의 네이버 블로그 원문을 보존한 아카이브 페이지입니다. 치과치료정보 카테고리의 매복사랑니 발치후기통증 아름드리치과 글을 통해 병원의 한국어 정보 제공 방식과 진료 관련 안내 톤을 확인할 수 있습니다.
원문 검증
필요하면 원문 블로그와 병원 프로필로 바로 이동해 문맥을 다시 확인할 수 있습니다.
출처 아카이브 열기
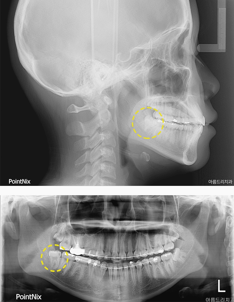
살아가면서 되도록이면 가고 싶지 않은 병원이 아마 치과일거에요. 다른 병원들에게는 불리우지 않는 치과 공포증이란 말도 있을 정도이니까요. 치아에 충치나 치주질환 등 큰 문제 없이 관리를 하면서 살아가고 있다고 해도 대부분의 사람들이 겪어야 하고 치과를 방문해야 하는 경우가 있었는데요. 사람마다 그 차이가 존재하겠지만 보통의 경우 사랑니로 인해 어쩔 수 없이 치과를 가게 되는 경우가 생기셨을거에요. 사랑니는 질병도 아니고 사람마다 나는 수의 차이도 다르고 발치에 대한 부분들도 상황에 따라 다르기에 정보를 알아두시면 도움이 되실 것 같아 한 번 자세히 이야기를 해보겠어요. 사랑니란 어금니 중 가장 늦게 맹출되는 치아로 제 3대구치라고 불리우기도 했었어요. 보통 18-25세 사이에 맹출되는데 이 시기에 누구나 한 번씩은 겪게 되는 첫사랑을 앓는 것처럼 통증을 동반한다고 해서 사랑니란 이름이 유래되었다는 이야기도 있었어요. 맹출되는 나이와 연관하여 서양에서는 지치 즉 WISDOM TOOTH 라고도 불리우는데 이는 지혜가 생기는 나이에 난다는 의미라고 해요. 보통 사람의 치아 갯 수를 28-32개라고 하는데 정확히 정해지지 않은 이유도 사랑니의 차이 때문이에요. 영구치가 자라나면 상하좌우 7개씩 모두 28개의 치열이 완성되는데 후에 1-4개의 사랑니가 사람마다 각기 다른 수로 맹출되는데요. 왼쪽과 오른쪽, 위턱과 아랫턱에서 각각 1개씩 날 수 있고 개인마다 맹출 되는 수가 다르다는 특징을 가지고 있었어요. 또한 상황에 따라 발치를 해야 하는 경우가 있을 수 있고 유지해도 괜찮을 경우가 있으니 맹출 시에는 치과에 내원하여 상담을 받는 것이 현명한 방법일 수 있겠어요.


사랑니는 꼭 발치를 해야 하는건 아니지만 보통 잇몸 속에서 자라는 경우가 많아 여러 문제를 일으키는 경우가 있었어요. 또한 어금니를 옆에서 밀면서 자라기에 극도의 신경 통증을 일으키키도 하는데요. 이는 인간의 신체적인 진화와도 연관이 있기도 한데 점차 골격의 진화를 겪으면서 사람의 턱뼈가 작아지고 이에 사랑니가 자리잡을 공간이 부족하게 되면서 옆에 있는 치아를 맹출하기 때문이었어요. 사랑니로 인해 생길 수 있는 문제점은 먼저 관리가 어렵다는 부분이었어요. 바르게 맹출된 사랑니라도 구강 제일 안 쪽에 있기에 칫솔질이 어려운 치아이기 때문이에요. 만약 바르게 나지 못한 매복사랑니일 경우라면 접근하는 것이 더 어렵고 주변의 좁은 틈 상이에 이물질이 잘 끼기도 하고 빼기도 쉽지 않아 양치만으론 깨끗하게 유지하기 어려울 수 있었어요. 또한 충치에 취약할 수 있었어요. 이물질을 제거하기 어려운 이유와 더불어 치아 표면에 상처가 생기기 쉽고 해당 부위로 세균이 침투될 확률도 높다는 이유때문인데요. 충치는 사랑니 뿐 아니라 주변의 다른 정상 치아까지 영향을 미칠 수 있다는 것을 염두해두셔야 하겠어요. 또한 정상적인 맹출이 아닌 매복사랑니는 치열을 불규칙하게 만들기도 하여 매복사랑니통증을 동반함과 동시에 주변 치아에 영향을 주어 단순히 통증을 떠나 나중에 발치나 교정을 해야 하는 일을 유발할 수 있기에 미리 발치를 통하여 예방해 주는 것이 도움이 될 수 있겠어요.


사랑니의 발치 여부를 이야기할 때 빼놓을 수 없는 부분이 매복사랑니일텐데요. 이름 그대로 잇몸 밖으로 사랑니가 모두 나오지 못하였을 때 부르는 말이었었어요. 옆으로 누워 있어 근처에 있는 어금니의 머리나 뿌리 부분에 결려 머리만 치아가 자란다던가 전부 잇몸 속에 숨어 있는 경우도 있을 수 있었어요. 일부만 자란 경우 사이에 음식물이 끼기도 하고 제거가 어려워 치태가 쌓이기 쉽기 때문에 구취가 발생하기도 하며 충치로 인한 매복사랑니통증이 동반되기도 하는 것이에요. 밖으로 올바르게 맹출 된 사랑니는 제 3대구치로 어금니의 역할로 사용할 수 있겠지만 똑바르니 못하거나 자라지 못한 경우 관리의 문제, 충치, 주변 다른 치아의 배열을 망칠 수 있기에 매복사랑니후기를 권해드리고 있었었어요. 식습관 변화로 인해 턱관절이 좁아지고 있다고 하는데요. 그러한 이유로 사랑니가 자랄 공간은 더욱 부족해지고 이로 인해 매복사랑니가 되는 사례들도 증가하고 있었었어요. 매복사랑니라고 다 같은 것이 아니라 종류가 있고 어떠한 종류인가에 따라 발치하는 과정도 달라지기에 이에 대해 알아두시는 것도 도움이 되실거에요. 어떤 기준을 통해 보느냐에 따라 종류를 나누는 방법도 달라지는데요. 먼저 매복 각도에 따라 구분을 하기도 해요. 수평 매복 사랑니는 앞 치아와 90도의 각도로 매복된 치아를 말하는 것이에요. 수평으로 누워 있어 자라면서 앞 쪽의 어금니를 밀기 때문에 치열의 흐트러짐이 나타날 수 있고 매복사랑니통증도 일반 사랑니보다 심하게 나타나는 편일 수 있었었어요. 수직은 앞 치아와 평행한 상태로 매복된 것을 의미해요. 원심 경사 매복이란 것도 있는데 이는 치아의 머리 부분이 뒤로 향해 있는 경우를 말하는 것이에요.



매복 정도에 의해 구분을 할 수 있는데 이는 매복사랑니발치후기 과정에 았어서도 차이점을 보이고 있었었어요. 단순 매복의 경우 치관부가 뼈에 덮이지 않고 잇몸으로만 덮혀있는 케이스를 의미해요. 치료 과정 또한 잇몸 일부를 절개한 후 발치를 진행하면 되기에 일반적인 사랑치 발치와 비슷하게 비교적 쉬운 종류의 매복치라 할 수 있었어요. 복잡 매복의 경우에는 치관부가 잇몸이 아닌 뼈에 의해서 덮혀인는걸 의미하는데요. 기울어져 있거나 치조골 안 3분의 1정도가 매복되어 있는 경우에요. 복잡 매복사랑니발치후기 과정에선 잇몸 절개는 물론 치아 분리술이라는 치아를 잘게 조각 내어 분리하는 과정을 동반해야 했었었어요. 다음의 경우는 완전 매복이에요. 완전 매복은 치관부 전체가 완전히 뼈에 묻어 있는 케이스를 말하는 것이에요. 이는 치조골을 일부 삭제하는 것과 함께 잇몸 절개, 치아 분리술 등 복합적인 여러 시술이 이루어져 발치 과정을 진행하기에 고난이도의 시술이기도 하며 이에 맞는 의료진의 실력과 기술이 필요로 하겠어요. 매복사랑니는 턱 뼈 안에 낭종을 만드는 경우가 생기기도 하여 빠른 발치를 하는 것이 중요한데요. 종류에 따라 치료 과정이 다르기에 안전한 발치를 위해서는 병원 선택에 있어 여러 부분을 고려해야 하겠어요. 말 그대로 숨어있는 치아이기에 관련 검진을 정확히 할 수 있는 장비의 보유 여부는 물론 복잡한 여러 과정을 동반한 발치를 진행할 수 있기에 경험과 실력이 풍부한 의료진을 살펴보는 것이 중요한 부분이겠어요.


또한 발치가 끝났다고 모든 문제가 끝났다고 방심하지 말고 주의사항을 지켜주는 것이 필요하겠어요. 이는 발치 후 쉽게 발견할 수 있는 드라이 소켓이라는 부작용을 예방하기 위해서였엇어요. 발치 부위를 보호하는 핏덩어리가 여러가지 이유로 떨어져 발치 부위의 신경과 뼈가 노출되어 극심한 통증을 유발시키는 현상을 드라이 소켓이라고 하는데요. 이 경우 감염이나 합병증을 동반할 수 있기에 발치 후 병원에서 알려주는 주의사항을 잘 지켜주는 것이 중요한 일이에요. 먼저 빨대를 사용하거나 담배를 피게 되면 빨아들이게 되면서 입 속 압력이 생겨 혈전이 떨어지기 쉬우니 삼가하는 것이 필요해요. 또한 양치를 할 때 발치 부위를 찌르지 않게 주의해주어야 하며 음주 역시 혈압과 혈류에 영향을 주는 만큼 회복 기간에는 하지 않는 것이 바람직하겠어요. 주의사항을 잘 지키고 있음에도 발치 후 극심한 통증이 나타난다면 즉시 내원하는 것이 바람직하겠어요. 시간이 지나서 괜찮아질거란 생각으로 방치하였다가 다른 문제를 일으키기 보다 내원하여 상태를 파악하고 적절한 해결방법을 찾는 것이 현명한 방법이기 때문이에요. 사랑니라는 것은 발치를 해야하나 말아야 하나로 시작하여 치료 과정에서도 여러 경우가 존재하고 치료 후 관리도 중요한 것이기에 고민을 안고 계시다면 전문 의료기관을 찾아 내원해보시길 추천드려요.

