아카이브 요약
이 페이지의 역할
아름드리치과의원의 네이버 블로그 원문을 보존한 아카이브 페이지입니다. 치과치료정보 카테고리의 반포치과 사랑니발치 치과를 찾고있다면 글을 통해 병원의 한국어 정보 제공 방식과 진료 관련 안내 톤을 확인할 수 있습니다.
원문 검증
필요하면 원문 블로그와 병원 프로필로 바로 이동해 문맥을 다시 확인할 수 있습니다.
출처 아카이브 열기아카이브된 블로그 글
아름드리치과의원 · Naver Blog
반포치과 사랑니발치 치과를 찾고있다면 옛말에 건강한 치아가 오복 중에 하나라는 말이 있었어요. 그만큼 치아 건강이 우리 생활에 큰 비중을 차지한다는 것인데요. 그런데 치아 건강 관리를 잘하지 못하거나 사고로 인해 치아 상실로 내원하는 분이 점점 증가하고 있었어요. 노화로 인해서 치아가 흔들리거나 빠지는 경우도 있고...
게시일
2023년 9월 18일
원문 기준으로 확인된 발행일입니다.
카테고리
치과치료정보
원문 블로그 카테고리를 정리해 함께 표시합니다.
이미지 수
13
현재 아카이브에 연결된 이미지 수입니다.
아카이브 요약
아름드리치과의원의 네이버 블로그 원문을 보존한 아카이브 페이지입니다. 치과치료정보 카테고리의 반포치과 사랑니발치 치과를 찾고있다면 글을 통해 병원의 한국어 정보 제공 방식과 진료 관련 안내 톤을 확인할 수 있습니다.
원문 검증
필요하면 원문 블로그와 병원 프로필로 바로 이동해 문맥을 다시 확인할 수 있습니다.
출처 아카이브 열기
옛말에 건강한 치아가 오복 중에 하나라는 말이 있었어요. 그만큼 치아 건강이 우리 생활에 큰 비중을 차지한다는 것인데요. 그런데 치아 건강 관리를 잘하지 못하거나 사고로 인해 치아 상실로 내원하는 분이 점점 증가하고 있었어요. 노화로 인해서 치아가 흔들리거나 빠지는 경우도 있고, 갑작스러운 사고로 인해 치아 상실이 발생하는 경우도 있었어요. 이럴 때는 임플란트 시술을 하는 것이 가장 바람직한 해결 방법이었어요. 간혹 비용적인 문제로 틀니를 선택하시는 경우가 있는데 틀니는 장기적으로 사용하기에 여러 가지 부작용이 있기 때문에 안전한 임플란트로 하실 것을 권하곤 했었어요. 반포치과에서 임플란트와 관련된 내용은 다음에 다시 다루도록 하겠어요. 오늘은 사랑니에 관해서 설명하려고 했어요.
사랑니에 대한 상세한 정보는
먼저 사랑니가 무엇인지 설명해보도록 하겠어요. 사랑니란 사람의 구강 제일 안쪽에 나는 어금니로 세 번째로 큰 어금니를 말했어요. 보통 18세에서 20세 사이에 많이 생기는 편이지만 개인 차이가 있었어요. 간혹 나지 않는 경우도 있었어요. 사랑니는 사랑을 알게 되는 나이쯤에 올라오고 통증이 마치 첫사랑으로 인한 가슴앓이와 같다고 하여 사랑니라고 불린다는 말이 있었어요
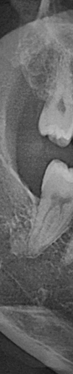
턱 뼈와 치아 사이에 공간이 충분하지 않기 때문에 누워서 올라오거나 매복되어 자라는 경우가 많았어요. 반포치과를 찾는 분들의 사랑니의 경우 매복된 경우도 많고 이가 완전히 잇몸 밖으로 나오지 않아서 일반 치과에서는 발치가 어려웠어요. 사랑니발치가 왜 필요한지 가끔 의문을 가지는 분이 계셨어요. 사랑니발치를 왜 해야 하는지 알려드리겠어요. 사랑니는 다른 치아처럼 바르게 나는 경우도 드물게 있긴 하지만 대부분 어금니 쪽으로 기울어져서 올라오거나, 완전히 수평으로 누워서 자라는 경우도 있었어요. 누워서 자라는 치아는 옆의 치아를 밀어 치열이 비뚤어지고 부정교합을 유발했어요.
또한 뒤로 숨어서 자라는 경우 치아의 머리 부분이 잇몸에 염증을 유발했어요. 그렇게 되면 염증으로 인해 잇몸에 혹이 생길 수도 있었어요. 그럴 경우 여러 가지 치아 질병을 야기하기 때문에 발치를 해야 했어요. 당장 통증이 없더라도 잠재적으로 문제를 일으킬 소지가 있기 때문에 대부분 발치를 권하고 있었어요. 통증 없이 사랑니가 다 자라더라도 음식물 섭취 후 사랑니 뒤에 끼게 되면 칫솔로 음식물을 다 닦아내기 어렵기 때문에 충치가 발생할 확률이 높아졌어요.
마지막으로 간혹 사랑니가 자라서 혀를 눌러 입과 입술의 감각까지 무뎌지게 만들 수 있었어요. 이렇게 여러 가지 문제를 발생시킬 가능성이 있기 때문에 대부분의 치과에서는 사랑니발치를 권하는 것이었어요.

요즘은 사랑니발치 자체를 하지 않는 치과도 많이 있었어요. 사랑니 발치가 일반 치아 발치보다 까다롭고 위험하기 때문이었어요. 사랑니 매복에도 여러 가지 종류가 있고 이에 따른 시술 방법이 달라지기 때문에 난도가 높은 시술에 해당했어요.
사랑니가 90도로 누워서 난 경우는 수평 매복, 뼈나 잇몸에 사랑니가 완전히 덮여서 아예 보이지 않는 경우는 완전 매복, 일부분만 잇몸이나 뼈에 덮여있는 경우 부분매복이라고 했어요. 대부분의 환자분이 이런 매복 중에 한 가지에 해당하기 때문에 시술이 매우 어려웠어요. 특히 사랑니 주변으로는 구강과 관련된 중요한 신경 조직이 인접하여 있기 때문에 고난이도 시술이라고 할 수 있었어요.
만약 사랑니 발치 시술이 잘못되면 사랑니와 인접한 신경 조직에 손상이 오거나 구강 마비와 같은 부작용이 발생할 수 있었어요. 그렇기 때문에 사랑니 발치를 하기 위해 치과를 선택할 때는 신중하게 선택해야 했었어요. 반포치과를 선택하기 전에 발치전문 의료진이 있는지, 경험이 풍부한지 반드시 확인해보시고 결정하셔야 했었어요.
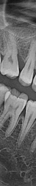
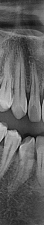
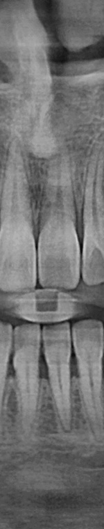
사랑니발치를 하기 위해서는 먼저 파노라마 x선 사진을 통해 발치 시 신경에 영향을 줄 수 있는지 확인하는 과정을 진행했어요. 이 과정을 통해서 충분히 의사와 상담을 한 후 처방전을 발급했어요. 이 때 처방전에는 항생제를 포함하여 발치 후 통증을 대비한 진통제를 처방했어요. 환자에게 충분히 설명한 후에 국소마취를 진행하고 마취가 된 다음에 절개를 최대한 덜 하는 방향으로 수술하여 사랑니를 발치했어요.

매복사랑니의 경우 확실한 해결책은
매복이든 잠복이든 잇몸을 절개하여 치아를 꺼내는 방법으로 수술을 진행했어요. 이 때 필요에 따라서 치아를 부수거나 조각을 내서 제거해야 할 수도 있었어요. 발치가 끝나면 절개한 잇몸을 봉합하고 소독을 한 후에 회복을 위해 필요한 안내 사항 및 주의 사항을 전달했어요. 발치를 한 다음 날 다시 내원하여 상태를 살펴보고 소독하게 되었어요. 수술로 발치를 했을 경우에는 일주일 후 다시 내원하여 실밥을 제거하는 과정을 진행했었어요.
통증을 줄인 아름드리의 노하우가 있기에
요즘은 저통증 디지털 마취기를 사용해서 통증을 최소화할 수 있는 장비도 많이 있었어요. 예전에는 사랑니발치 통증이 심하기 때문에 이에 대한 두려움으로 발치를 꺼리는 분이 많이 있었어요. 그러나 요즘은 통증을 줄여주는 여러가지 도구들이 있기 때문에 훨씬 편하게 발치 시술을 받으실 수 있었어요. 국소 마취 후에 발치를 진행하기 때문에 발치 시에는 통증을 느끼지는 못하시고 다만 약간의 불편감 정도를 느끼실 수 있었어요.
마취가 풀리고 나서는 통증이 발생할 수 있지만 상담 후 처방해드리는 처방전의 약을 지시대로 드시면 통증으로 인해 일상생활에 지장이 발생하지는 않으실 것이었어요. 사랑니 발치 후 회복에 대한 부분은 개인차가 있고 또 주의사항을 얼마나 잘 따랐느냐에 따라서도 달라질 수 있었어요. 사랑니발치 후에는 음주 및 흡연을 금하시고 충분한 휴식을 취하는 것이 좋았어요. 사랑니발치 더 이상 두렵게만 생각하지 마시고 믿을 수 있는 반포치과의 의료진에게 안전하게 시술받으시길 바라겠어요.










Previous image Next image