아카이브 요약
이 페이지의 역할
아름드리치과의원의 네이버 블로그 원문을 보존한 아카이브 페이지입니다. 최소침습임플란트 카테고리의 반포치과 전악임플란트는 풀아치 임플란트로 글을 통해 병원의 한국어 정보 제공 방식과 진료 관련 안내 톤을 확인할 수 있습니다.
원문 검증
필요하면 원문 블로그와 병원 프로필로 바로 이동해 문맥을 다시 확인할 수 있습니다.
출처 아카이브 열기아카이브된 블로그 글
아름드리치과의원 · Naver Blog
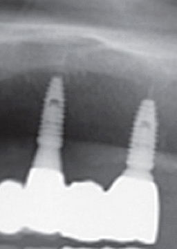
반포치과 전악임플란트는 풀아치 임플란트로 치아는 다양한 원인으로 인해 상실되기도 하였어요. 이는 외부 충격으로 인해 치아가 탈락되어 버리거나, 치아우식증과 같은 염증성 질환으로 인해 잇몸이 약해지면서 탈락되어 버리기도 하였어요. 또한 나이가 들어가면서 잇몸이 점차 약해짐에 따라 자연스럽게 치아가 탈락되는 경우들도...
게시일
2024년 1월 16일
원문 기준으로 확인된 발행일입니다.
카테고리
최소침습임플란트
원문 블로그 카테고리를 정리해 함께 표시합니다.
이미지 수
34
현재 아카이브에 연결된 이미지 수입니다.
아카이브 요약
아름드리치과의원의 네이버 블로그 원문을 보존한 아카이브 페이지입니다. 최소침습임플란트 카테고리의 반포치과 전악임플란트는 풀아치 임플란트로 글을 통해 병원의 한국어 정보 제공 방식과 진료 관련 안내 톤을 확인할 수 있습니다.
원문 검증
필요하면 원문 블로그와 병원 프로필로 바로 이동해 문맥을 다시 확인할 수 있습니다.
출처 아카이브 열기
치아는 다양한 원인으로 인해 상실되기도 하였어요. 이는 외부 충격으로 인해 치아가 탈락되어 버리거나, 치아우식증과 같은 염증성 질환으로 인해 잇몸이 약해지면서 탈락되어 버리기도 하였어요. 또한 나이가 들어가면서 잇몸이 점차 약해짐에 따라 자연스럽게 치아가 탈락되는 경우들도 발생하였어요. 만약 이러한 이유들로 인해 치아가 상실되었다면, 잘 이루어졌던 저작기능이 불편해질 수도 있기 때문에 반드시 그 초기에 치아 관리가 잘 이루어지는 것이 중요하였어요. 그럼에도 불구하고 관리 소홀로 인해 치아가 상실되었다고 한다면, 임플란트와 같은 인공치아를 심는 시술을 받을 수밖에 없었어요. 이렇게 인공 치근을 심어 인공 치아를 갖게 된다면 단단한 고정력으로 인해 자연 치아가 가지고 있던 저작기능을 80%나 회복할 수 있었어요. 하지만 이러한 임플란트 시술은 치아가 일부 탈락되어 버린 경우가 아닌, 치아를 모두 상실한 무치악 상태라면 이와 같은 시술을 받는 것이 어려울 수 있었어요. 그렇다 보니 이러한 분들에 고민을 해결하고자 나오게 된 것이 바로 반포치과에서 시행하는 디지털 풀아치임플란트 치료라고 하였어요.
기존의 전악임플란트와 차별화된 풀아치 임플란트
풀아치임플란트는 일부 치아에만 이루어지다 보니 경제적인 부담도 줄일 수 있는 치료라고 하였어요. 이는 무치악에 정교하게 이루어지는 치료이다 보니, 반드시 임상경험이 다분한 치과 의사를 통하여 그 시술이 이루어져야 하였어요. 그렇게만 된다면 안전한 시술이 가능해지면서, 잃어버렸던 저작기능을 회복할 수 있었어요.
기존에 우리가 알고 있던 임플란트 시술이라고 한다면, 일부 치아가 없는 부위에 인공 치근을 식립하게 되면서 하나의 인공치아를 형성하는 치료 방법이라고 하였어요. 이렇게 형성된 인공 치아는 잇몸 뼈와 단단하게 유착되어 있다 보니, 강한 고정력으로 인하여 잃어버렸던 저작기능을 80%나 회복할 수 있었어요.
게다가 인접 치아 및 잇몸 색상을 고려하여 보다 꼼꼼하게 보철물을 제작하다 보니 심미적으로도 우수한 편에 속한다고 하였어요. 그렇다 보니 이러한 임플란트 치료는 한 번 받게 된다면, 보철물 제작 과정 및 뼈가 차오른 후에 시술이 이행되다 보니 치료 기간이 굉장히 오래 걸릴 수밖에 없어요. 게다가 경제적인 부담도 큰 치료이다 보니, 치아를 전부 상실해버린 무치악 환자분들이라면 이 시술이 망설여질 수밖에 없었어요.
하지만 풀아치임플란트 시술은 기존 임플란트 치료와는 그 차이가 확연하게 나다 보니, 무치악 환자분들께서 선호하는 임플란트 시술이라고 하였어요. 이는 상악 하악에 각각 4개에서 6개까지만 임플란트를 식립하다 보니, 경제적인 측면에서 훨씬 부담이 덜할 수 있는 임플란트 시술이라고 하였어요. 이렇게 임플란트 시술을 한 후에 하나의 보철물을 이에 연결하다 보니 전체 치아의 저작기능이 회복할 수 있다고 하였어요.

풀아치임플란트 시술이란 상악 하악에 각각 4개에서 6개까지 인공 치근을 심어 잇몸뼈에 심은 후에 하나로 연결된 보철물을 임플란트에 고정하는 시술을 말하였어요. 이러한 풀아치 임플란트 치료는 발치부터 임플란트 시술, 보철물 장착까지 전 과정을 3D CT와 같은 디지털 시스템에 기반하다 보니 무절개 수술이 가능할 수 있었어요. 이러한 풀아치임플란트 시술은 기존 임플란트에 비하여 식립 개수가 절반 정도이다 보니 경제적인 부담이 줄어들 수 있었어요.
또한 뼈 이식 없이 남아 있는 건강한 잇몸 뼈를 이용하여 수술이 가능해지며, 이로 인하여 잃어버렸던 저작기능을 회복할 수 있기에 기능적인 측면에서도 큰 기대효과를 볼 수 있었어요. 게다가 인공치근 개수가 적다 보니 잇몸 절개로 인해 발생된 출혈을 줄일 수 있었으며, 수술 시간 및 회복 기간이 짧다 보니 전체적인 치료 기간이 일반 임플란트 치료에 비하여 짧을 수 있었어요.
이렇게 반포치과에서는 편안한 치료 과정을 거치다 보니 수술 당일에 귀가가 가능해질 수 있었으며, 탈부착으로 번거로웠던 틀니로부터 해방이 가능해질 수 있었어요. 게다가 회복 기간이 빠르다 보니 일상생활으로부터의 복귀가 바로 가능해질 수 있었어요.
하지만 반포치과의 풀아치임플란트 시술은 장점이 많은 만큼이나 그 주의 사항도 많은 치료 방법이었어요. 우선 해당 임플란트 시술을 하기 위해서는 어느 정도의 잇몸 뼈가 남아있는 경우만 가능하였어요. 이는 발치 상태를 오래도록 방치하게 된다면 잇몸 뼈가 서서히 소실되다 보니 풀아치 임플란트 시술을 받기가 어려워질 수 있었어요. 그렇다 보니 다수에 치아를 잃어버린 상태라면 반드시 그 초기에 치과를 내원하시어 치료를 받는 것이 좋을 수 있었어요.

사후관리가 매우 중요한 임플란트 치료
임플란트 시술을 성공적으로 마쳤다 하더라도 반드시 꾸준한 사후관리가 이루어지는 것이 중요하였어요. 이러한 과정들은 반드시 꼼꼼한 사전 과정을 거친 후에 환자에게 맞는 임플란트 시술이 진행되어야 하였어요. 그래야지만 안전한 시술이 가능해질 수 있었어요.
풍부한 경험을 가진 전문의료진이 있는 곳에서
이러한 풀아치 임플란트 시술은 기존의 임플란트 시술과 매우 흡사하다 보니, 구강 구조 및 잇몸의 양을 꼼꼼히 체크하시어 이루어지는 것이 중요하였어요. 또한 주변 신경과 혈관의 위치를 제대로 확인한 후에 치료가 이루어져야지만 안전한 시술이 가능할 수 있었어요.
그렇다 보니 이러한 임플란트 시술은 치료 경험이 다분한 전문 의료진이 있는 반포치과를 선택하셔서 내원하시어 이루어지는 것이 중요하였어요. 그렇게만 된다면 무치악으로 인해 완전히 잃어버렸던 저작기능을 충분히 회복할 수 있겠어요.











Previous image Next image










Previous image Next image










Previous image Next image