아카이브 요약
이 페이지의 역할
아름드리치과의원의 네이버 블로그 원문을 보존한 아카이브 페이지입니다. 최소침습임플란트 카테고리의 신논현역임플란트 아름드리치과에서 상악동거상술이 필요하면 글을 통해 병원의 한국어 정보 제공 방식과 진료 관련 안내 톤을 확인할 수 있습니다.
원문 검증
필요하면 원문 블로그와 병원 프로필로 바로 이동해 문맥을 다시 확인할 수 있습니다.
출처 아카이브 열기아카이브된 블로그 글
아름드리치과의원 · Naver Blog
신논현역임플란트 아름드리치과에서 상악동거상술이 필요하면 쌀쌀해진 날씨로 인해 건조함이 심해지고 미세먼지까지 안 좋은 날이 많아져 면역력이 약해지는 경우가 많았어요. 요즘 같은 시기에는 감기와 같은 호흡기 질환 뿐만 아니라 치아 건강에도 좋지 못한 영향을 줄 수 있었어요. 치아 표면에 미세 먼지가 쌓이면서 치아를 손...
게시일
2024년 1월 30일
원문 기준으로 확인된 발행일입니다.
카테고리
최소침습임플란트
원문 블로그 카테고리를 정리해 함께 표시합니다.
이미지 수
15
현재 아카이브에 연결된 이미지 수입니다.
아카이브 요약
아름드리치과의원의 네이버 블로그 원문을 보존한 아카이브 페이지입니다. 최소침습임플란트 카테고리의 신논현역임플란트 아름드리치과에서 상악동거상술이 필요하면 글을 통해 병원의 한국어 정보 제공 방식과 진료 관련 안내 톤을 확인할 수 있습니다.
원문 검증
필요하면 원문 블로그와 병원 프로필로 바로 이동해 문맥을 다시 확인할 수 있습니다.
출처 아카이브 열기
쌀쌀해진 날씨로 인해 건조함이 심해지고 미세먼지까지 안 좋은 날이 많아져 면역력이 약해지는 경우가 많았어요. 요즘 같은 시기에는 감기와 같은 호흡기 질환 뿐만 아니라 치아 건강에도 좋지 못한 영향을 줄 수 있었어요. 치아 표면에 미세 먼지가 쌓이면서 치아를 손상 시키게 되고 치아와 잇몸에 염증을 유발하기 쉬웠어요. 건조해진 날씨에 입 안도 건조해지고 입 속의 세균 농도도 높아지며 치주염과 같은 잇몸 질환, 충치 유발을 시킬 수 있었어요. 그렇기 때문에 평소에 올바른 칫솔질 방법과 치실 사용을 하며 구강 위생을 신경 써서 하는 것이 치아 건강을 지키는 가장 쉬운 방법이었어요. 하지만 철저하게 일상에서 구강 위생 관리를 하였다 하더라도 노화로 인해 치아와 잇몸이 점점 약해지면서 구강질환이 생기기도 하고 치아가 흔들리거나 탈락하는 경우도 있었어요. 또한 예상치 못한 사고와 충격으로 치아가 상실 될 수도 있으며 가벼운 구강 질환을 치료하지 않고 오랜 시간 방치하다 보면 더 이상 치료가 힘들어 치아를 발치 해야 하는 상황 등 우리의 치아는 여러가지 이유들로 인해 상실 될 수 있었어요.
소중한 치아가 상실되었다면
치아가 상실 되었다면 빠른 시일 내에 치료를 시작하는 것이 전체적인 치아 건강을 지키는 길이라고 할 수 있겠어요. 당장은 치아가 상실 되어도 식사를 하며 음식을 저작하고 일상 생활 하는 것에 큰 불편함을 느끼지 못하더라도 서서히 잇몸은 약해지고 정상적인 위치에 있던 치아 배열도 흐트러지면서 음식을 씹고 끊어 먹는 것이 어려워지고 불규칙한 치아 배열과 함께 치아가 상실된 빈 공간이 보여져 심미적으로도 좋은 인상을 주기 어려웠어요. 또한 치아가 상실된 빈 공간에서 바람이 새어 나와 부정확한 발음으로 대화를 할 때 불편함을 느끼게 되었어요.
치아가 상실 되었을 때 치료 할 수 있는 방법으로는 틀니, 브릿지 여러가지가 있지만 대표적인 방법으로는 신논현역임플란트 시술을 고려해 볼 수 있었어요. 과거에는 틀니, 브릿지를 주로 사용 하였지만 임플란트에 비해 약하고 브릿지는 양 옆의 치아를 갈아내며 손상을 주게 되고 틀니는 치아는 손상되지 않지만 시간이 지나면 이를 받쳐주는 잇몸뼈에 영향을 줄 수 있다는 단점이 있어 요즘은 임플란트 시술을 많은 분들께서 찾아 주시는 추세였었어요.
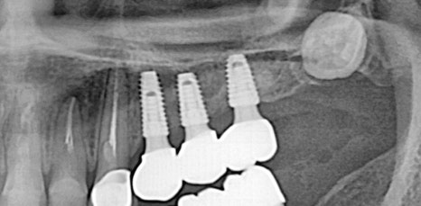
임플란트는 치아가 상실된 자리에 뿌리 역할을 하는 픽스처를 잇몸에 심어주고 지대주와 크라운을 연결하는 방법으로 주변 치아와 잇몸에 손상을 주지 않았어요. 또한 자연치아와 매우 유사해 심미적으로도 좋으며 저작력과 고정력이 자연치아의 80%까지 회복할 수 있어 기능적인 면에서도 장점이 많았어요. 비용적인 부분이 틀니나 브릿지 보다 부담이 되긴 하지만 반영구적으로 오랜 시간 사용할 수 있다는 점이 장기적으로 보면 더 효율적이라고 느끼시는 분들이 많으셨어요.
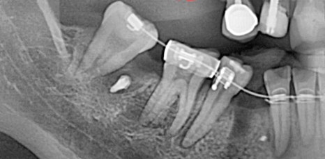
하지만 임플란트 시술을 튼튼하고 안전하게 하기 위해서는 무엇보다 잇몸뼈의 양, 두께 즉, 잇몸 상태가 매우 중요한 부분이었어요. 뿌리 역할을 하는 픽스처의 길이는 다양한 사이즈가 있지만 평균적으로 최소 8mm 이상이므로 잇몸 뼈의 길이가 8mm가 되지 않는 상태로 임플란트를 식립하게 된다면 픽스처가 잇몸을 뚫고 나가게 되어 구멍이 생기고 고정이 되기 어려웠어요. 그렇기 때문에 잇몸 뼈의 양이 부족하면 뼈 이식을 동반한 임플란트 시술이 필요했어요.

특히 위쪽 어금니 쪽이 상실 되어 임플란트 시술을 진행해야 하는데 잇몸 뼈가 부족한 상태라면 추가적으로 상악동거상술을 함께 진행해야 했어요. 상악동이란 코 양옆에 위치하고 있으며 뼈 속에 비어 있는 공기 주머니로 두개골의 무게를 줄여주는 곳이었어요. 상악동은 아주 얇은 막으로 둘러 쌓여 있으며 상악 쪽의 잇몸 뼈가 부족한 상태로 임플란트를 식립 하게 된다면 상악동 막이 찢어지거나 천공이 생길 수 있었어요.
상악동에 천공이 생기게 된다면 염증으로 인해 부작용이 생길 수 있었어요. 그렇기 때문에 환자 개개인마다 크기와 위치가 모두 다른 상악동의 위치와 잇몸 뼈의 두께를 정확히 파악하는 것이 중요했어요. 정밀 검사 후 임플란트를 식립 하기에 잇몸 뼈의 양이 부족하다는 진단이 나오게 된다면 얇은 상악동 막을 들어올려 준 후 필요한만큼의 뼈 이식을 진행해 주는 방법이 상악동거상술이었어요.
신논현역임플란트에서 말하는 상악동거상술은 치조정접근법과 측방접근법인 두가지 방법으로 진행할 수 있었어요. 남아 있는 잇몸 뼈의 양에 따라 이식 해야 하는 양이 달라지고 그로 인해 상악동에 접근 하는 방법을 기준으로 두가지 방법은 나눠 지고 있었어요. 먼저 치조정접근법은 잇몸 뼈가 4-8mm 정도 확보 되었을 때 사용하는 방법으로 치아가 상실 된 위치의 잇몸에 작은 구멍을 뚫어 준 뒤 그 구멍을 통해 상악동 막을 들어 올린 후 뼈 이식을 진행하는 방법이었어요.
작은 절개 범위와 뼈 이식 양이 많지 않기 때문에 수술 시간이 짧고 통증과 붓기도 적으며 회복 속도 또한 측방접근법에 비해 빠른 편이었어요. 반면 측방접근법은 잇몸 뼈가 4mm 이하로 많은 양의 잇몸 뼈를 이식 해야 할 때 필요한 방법이었어요. 잇몸 측면에서 큰 창 모양으로 절개 후 접근하는 방법으로 수술시간이 길고 붓기, 통증이 큰 편으로 회복 속도 또한 더딘 편이었어요.

하지만 시야 확보가 잘 되어 출혈과 돌발 상황에 대한 대처를 빨리 할 수 있어 안전하게 수술을 마무리 할 수 있다는 장점이 있었어요. 치조정접근법과 측방접근법 두가지 방법 중 어떠한 방법이 더 유리하고 안전하다고 할 수 없으며 치조골의 상태와 식립 해야 하는 임플란트의 개수, 상악동의 위치와 두께 등을 고려하여 환자분께 적합한 방법으로 상악동거상술을 진행 하는 것이 가장 안전하고 좋은 방법이라고 할 수 있었어요.
이러한 구강 상태를 확인하기 위해서는 여러가지 디지털 입체 장비를 통해 정밀 검사를 진행한 후 정확히 파악하는 것이 중요하며 그에 맞춰 적합한 방법으로 진단한 후 체계적으로 치료 계획을 수립 해야 했어요. 의료진의 진단과 시술 경험에 따라 치료 결과는 크게 달라질 수 있기 때문에 상악동거상술을 동반한 임플란트 시술을 안전하고 성공적으로 마치기 위해서는 치과를 선택할 때 꼼꼼히 따져본 후 치료를 시작하는 것이 바람직한 방법이었어요.
디지털 장비를 보유한 곳에서
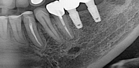
신논현역임플란트에서는 3D 구강스캐너와 CT 등 다양한 전문 장비로 구강상태를 정밀하게 입체적으로 확인하고 환자분과 상담을 통해 상악동거상술의 치료 계획을 세우고 있었어요. 상악동거상술은 치과 치료 중에서도 난이도가 높은 치료에 속하기 때문에 환자분께서는 부담스럽고 두려우실 수 있었어요. 무턱대고 당장 치료를 시작하기 보다는 신논현역임플란트 잘하는 아름드리치과에서는 1:1 맞춤치료를 진행하며 환자분들과 충분한 상담을 통해 궁금증을 해결 해 드리고 통증과 부작용에 대한 우려를 덜어 드린 후 안심하고 진료 받을 수 있도록 의사소통을 활발히 하며 언제나 환자분을 우선으로 생각하며 진료하고 있었어요. 또한 얇은 상악동막이 찢어지거나 구멍이 나지 않도록 섬세하고 전문적인 실력이 뒷받침되어야 상악동거상술의 부작용을 최소화 할 수 있었어요.

풍부한 임상경험을 가진 의료진이 중요한
아름드리치과는 상악동거상술을 동반한 임플란트 시술에 대해 다년간 쌓아온 경험을 바탕으로 노하우 뿐만 아니라 전문적인 실력을 갖추고 있어 안전하고 성공적인 시술 결과를 얻을 수 있었어요. 성공적으로 시술을 마친 후에는 오랜 시간 동안 건강하고 튼튼하게 유지할 수 있도록 신논현역치과 아름드리치과에서는 정기적으로 사후 관리를 진행해드리고 있으며 일상 생활 속에서도 꾸준히 치아 관리를 꼼꼼히 하실 수 있도록 설명 드리고 있었어요. 또한 상악동거상술을 마친 이후에 부작용이 생기거나 상태가 악화되지 않기 위해서 몇가지 주의사항을 지켜 주셔야 하였어요.
시술 후 주의사항을 잘 지켜야만
우선 처방 받은 약은 중간에 중단하지 마시고 끝까지 복용 해 주셔야 하며 시술 부위에 자극이 되지 않도록 조심 해 주셔야 했어요. 시술 후 2주간은 금연과 금주를 해주시는 것이 중요하며 코를 풀거나 재채기를 하는 행동은 코에 압력이 가해지기 때문에 되도록이면 자제해주시는 것이 중요했어요.
의지와 상관 없이 재채기를 하게 되어 혹시나 출혈이 지속적으로 계속 되거나 이식한 뼈가 빠지게 된다면 지체 없이 본원에 내원하셔서 상태를 확인 해 보시기를 바라겠어요. 이처럼 상악동거상술은 고난이도의 시술로 모든 과정을 꼼꼼하고 섬세하게 진행하는 것이 중요하기 때문에 이 모든 조건을 갖춘 신논현역임플란트 잘하는 아름드리치과에서 상담을 통해 튼튼한 치아 건강을 되찾아 보시기를 바라겠어요.










