아카이브 요약
이 페이지의 역할
아름드리치과의원의 네이버 블로그 원문을 보존한 아카이브 페이지입니다. 치료전후이야기 카테고리의 왜 임플란트와 치아교정을 다 잘아는 곳에서 치료해야할까?| 아름드리치과 진료일기 글을 통해 병원의 한국어 정보 제공 방식과 진료 관련 안내 톤을 확인할 수 있습니다.
원문 검증
필요하면 원문 블로그와 병원 프로필로 바로 이동해 문맥을 다시 확인할 수 있습니다.
출처 아카이브 열기아카이브된 블로그 글
아름드리치과의원 · Naver Blog
안녕하세요~ 아름드리치과 이현정원장입니다. 보철과를 메인으로 임플란트 치료를 많이하는 제가... 강조하는 것이 있습니다. 보철치료를 잘하기 위해서는 교정진료에 대해서도 잘 알아야 한다는 것이죠!! 그냥 임플란트만 심어도 되는 경우라면 아무 걱정이 없습니다. 그렇지만 잇몸이 안 좋고 이미 여러개의 치아가 안 좋은...
게시일
2024년 9월 13일
원문 기준으로 확인된 발행일입니다.
카테고리
치료전후이야기
원문 블로그 카테고리를 정리해 함께 표시합니다.
이미지 수
8
현재 아카이브에 연결된 이미지 수입니다.
아카이브 요약
아름드리치과의원의 네이버 블로그 원문을 보존한 아카이브 페이지입니다. 치료전후이야기 카테고리의 왜 임플란트와 치아교정을 다 잘아는 곳에서 치료해야할까?| 아름드리치과 진료일기 글을 통해 병원의 한국어 정보 제공 방식과 진료 관련 안내 톤을 확인할 수 있습니다.
원문 검증
필요하면 원문 블로그와 병원 프로필로 바로 이동해 문맥을 다시 확인할 수 있습니다.
출처 아카이브 열기안녕하세요~
아름드리치과 이현정원장입니다.
보철과를 메인으로 임플란트 치료를 많이하는
제가...
강조하는 것이 있습니다.
보철치료를 잘하기 위해서는
교정진료에 대해서도 잘 알아야 한다는 것이죠!!
그냥 임플란트만 심어도 되는 경우라면
아무 걱정이 없습니다.
그렇지만 잇몸이 안 좋고
이미 여러개의 치아가 안 좋은 경우
전체적인 치아 밸런스가 무너져서
임플란트를 하기 위해서
너무 많은 치아를 뽑아야 하거나
좋지 않은 자리에 임플란트를 심어야 할 수 있습니다.
나이가 많고
비용에 대해서도 큰 걱정이 없는 분이라면
상관이 없겠지만....
젊은 나이에 이렇게 밸런스가 무너져있고
여러개의 치아를 발치해야 한다면
이야기가 달라집니다.
이런 경우라면 보철진료 시
교정진료와 협진해야하는 경우가 있습니다.
솔직히 말이 협진이지...
교정과로 넘어가면
교정과 원장님들께서는 임플란트를 잘 모르기 때문에
그냥 방치되는 경우를 종종 보게됩니다.
이렇게 교정과로 넘어가서 방치되는 경우
여러가지 단점이 발생됩니다.
교정치료는 시간이 오래걸리 때문에
그나마도 없는 뼈가 더 없어지는 경우도 많습니다.
그렇기 때문에 보철의사는
교정진료에 대해 충분히 알고 있어야 하며
교정진료 동안 지속적으로 관리하고
체크해서 임플란트 치료 시기를 잘 정해야 합니다.

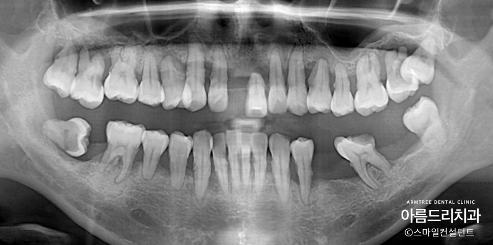
딱 봐도 전체적으로 잇몸이 좋지 않습니다.
사실상 살릴만한 치아가 거의 없네요.
치아가 중간중간 없기 때문에
교합이 무너지면서 좌우 위아래
전부 밸런스가 무너져 있습니다.
나이가 젊은 환자분이시기에
전부다 발치하고 임플란트 심는 것이
마음이 아팠습니다.
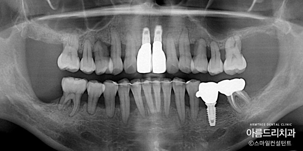
우선 가망성이 아예 없는
위 앞니와 사랑니들은 발치했습니다.
그리고 잇몸치료를 열심히 해서
나머지 치아들은 최대한 유지했습니다.
그리고 무너지 밸런스를 잡기 위해
아래 치아들만 짧게 교정을 진행했습니다.
교정 기간이 길지 않았지만
그래도 뼈가 워낙 없기 때문에
임플란트 치료 시기를 지속적으로
체크하고 교정진료가 끝나기 전에
적절한 조치를 취해야 합니다.
교정이 끝날 때까지 보철의사가
상황을 체크하지 않으면
교정이 끝난 후에 임플란트 치료를 위해서
추가적인 치료기간을 몇개월 더 갖게됩니다.
결국 치료기간이 길어진다는 얘기죠.
그렇지만 보철의사가 지속적으로 체크하면
보철치료와 교정치료가 동시에 끝나도록
치료타이밍을 맞출 수 있습니다.
제가 보철을 위한 교정진료를 하는 이유입니다.

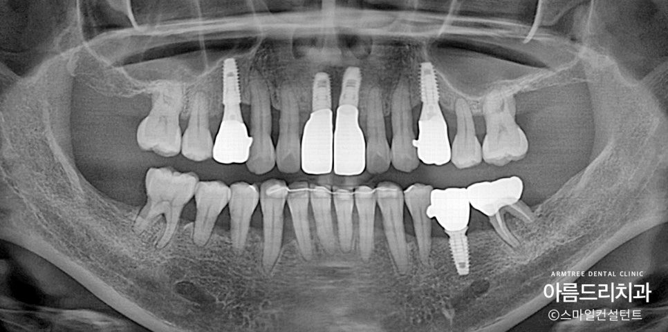
원칙적으로 위 아래 28개의 치아가 정상이지만
24개의 치아만 만들었습니다.
발치교정하는 분들의 경우
치아가 들어갈 공간이 없어서
4개의 치아를 발치하고 24개의 치아로
지내는 사람이 많습니다.
24개의 치아로도 먹고 지내는 데에는
아무 문제가 없기 때문에
이번 케이스에서도 굳이 임플란트를
많이 심지 않았습니다.

한참을 지난 후에 많이 좋지 않았던
위 양쪽 작은 어금니가
많이 흔들리기 시작했습니다.
애초에 뽑을지 고민했던 치아였는데
좀 더 사용하기로 했었던 치아입니다.
몇년 지나니 버티지 못했네요.
추가로 2개의 임플란트를 치료했습니다.


이렇게 삐뚠 치아들은 부분교정을 통해 6개월
이내에 가지런하게 만들 수 있습니다.
가지런해지면 치아 관리가 쉬워지고 관리가
잘 되기 때문에 치아를 좀 더 오래 쓸 수 있습니다.


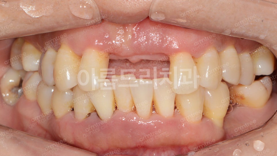
환자분의 경우 앞니 쪽에 뼈가 워낙 없어서
임플란트가 예쁘게 나오질 않습니다.

그렇지만 불행인지 다행인지
환자분은 활짝 웃어도 잇몸이 보이질 않아요.
이런 분들은 앞니가 예쁘게 나오지 않아도
임플란트 치료를 수월하게 진행할 수 있습니다.
만약에 잇몸이 훤히 보이는 분이셨다면
다른 치료방법을 고민했을 것입니다.
뼈이식, 잇몸이식, 핑크포셀린, 브릿지...
제 머리속이 복잡했겠지요.
다행히 복잡하지 않게 최대한 간단하게
치료를 마무리할 수 있었습니다.
남은 치아들 지속적으로 관리하는 게
가장 중요하기 때문에
앞으로도 쭉~~
아름드리치과 함께할 것입니다.
본 포스팅은 아름드리치과의 실제환자의
진료내용으로 사전 동의하에 작성되었습니다.
치과치료 시술 및 수술은 개인에 따라 염증반응,
출혈, 부기 등의 부작용이 나타날 수 있습니다.