아카이브 요약
이 페이지의 역할
아름드리치과의원의 네이버 블로그 원문을 보존한 아카이브 페이지입니다. 최소침습임플란트 카테고리의 무절개 무봉합 상악동 거상술 글을 통해 병원의 한국어 정보 제공 방식과 진료 관련 안내 톤을 확인할 수 있습니다.
원문 검증
필요하면 원문 블로그와 병원 프로필로 바로 이동해 문맥을 다시 확인할 수 있습니다.
출처 아카이브 열기아카이브된 블로그 글
아름드리치과의원 · 아름드리치과 공식블로그입니다
우리나라에서는 언제든 동네 아무 치과에 가도 임플란트 시술을 빠르고 편하게 받을 수 있습니다. 그렇지만 해외에서는 그것이 그리 간단한 일이 아니지요. 해외에 계신 분들이 치과에 방문하시는 경우가 꽤 있는데요. 해외에 살아보신 분들은 한국의 의료시스템을 정말 정말 많이 부러워하십니다. 이 분은 젊은 여성분이신데, 독...
게시일
2025년 9월 1일
원문 기준으로 확인된 발행일입니다.
카테고리
최소침습임플란트
원문 블로그 카테고리를 정리해 함께 표시합니다.
이미지 수
4
현재 아카이브에 연결된 이미지 수입니다.
아카이브 요약
아름드리치과의원의 네이버 블로그 원문을 보존한 아카이브 페이지입니다. 최소침습임플란트 카테고리의 무절개 무봉합 상악동 거상술 글을 통해 병원의 한국어 정보 제공 방식과 진료 관련 안내 톤을 확인할 수 있습니다.
원문 검증
필요하면 원문 블로그와 병원 프로필로 바로 이동해 문맥을 다시 확인할 수 있습니다.
출처 아카이브 열기우리나라에서는 언제든 동네 아무 치과에 가도
임플란트 시술을 빠르고 편하게 받을 수 있습니다.
그렇지만 해외에서는 그것이 그리 간단한 일이 아니지요.
해외에 계신 분들이 치과에 방문하시는 경우가 꽤 있는데요.
해외에 살아보신 분들은 한국의 의료시스템을
정말 정말 많이 부러워하십니다.
이 분은 젊은 여성분이신데, 독일에 살고 계시는 분이에요.
1년 혹은 2년에 한번씩 한국에 방문하시는 분인데요.
오실 때마다 아름드리에 꼭 오신답니다.
원래도 잇몸이 튼튼한 체질이 아니다보니
오실 때마다 치료받을 게 꼭 한두개씩 있네요.
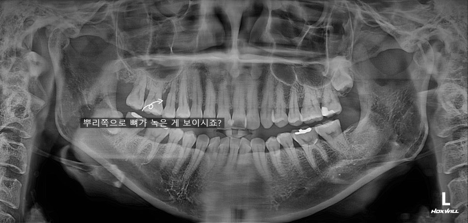
엑스레이에 뼈가 녹은 게 보입니다.
우선 잇몸치료는 해드렸지만
사실상 임플란트가 최선의 치료인 상황입니다.
임플란트 치료는 일주일만에 짧게 끝나는 게 아니라서
치료를 엄청 고민하다가 독일로 돌아가셨습니다.

독일에서 지내면서 상태가 점점 나빠져서
치료를 받으려고 하셨는데
우선 기본적인 치료예약을 잡는 것만도
거의 한달이 걸렸다고 하시고
그 뒤 치료는 더 오래걸릴 것으로 판단될 뿐 아니라
치료 비용도 만만치 않으니...
메신져로 지속적인 상담을 진행해드렸습니다.
그리고 어찌어찌 한국 들어오기 딱 한달전에
치아를 발치하고 오셨습니다.

수술부위에 상악동 안에 방이 2개로 나눠져 있습니다.
발치한 지 1달이 지난 상태는
여러모로 애매한 상태입니다.
뽑은 자리가 다 아물지도 않았고
남은 뼈가 너무 없기도 하고
이 경우에는 특히 상악동 거상술이 필요한데
CT 사진에서 보시다시피 상악동 안에
방이 1개가 아니라 2개로 나뉘어져 있습니다.
이런 경우 측방상악동 거상 시 절개부위가 많아져서
환자가 많이 고통스러울 수 있습니다.
그런데 남아있는 뼈가 너무 적고
해외로 출국해야하기 때문에
수술이 실패하면 재수술할 시간적 여유도
없는 상황이었습니다.
측방접근이 일반적인 선택이겠지만
"최소침습임플란트"를 이용하여
무절개 무봉합으로 측방 상악동 거상술을 대체하고
발치된 자리에 있는 좋은 세포를
최대한 활용하기로 했습니다.
핵심포인트
무절개 무봉합 상악동 거상술
발치자리에 있는 좋은 세포 살리기
발치자리에 있는 좋은 세포 살리기??
아마 처음듣는 분들이 많으실거에요.
발치자리 아무는 과정
| 단계 | 시기 | 주요 세포/조직 | 특징 |
|---|---|---|---|
| 혈병 형성기 | 발치 직후~24h | 혈소판, 피브린 | 혈병 형성, 발치와 보호 |
| 염증기 | 1~3일 | 호중구, 대식세포 | 세균·잔해 제거, 성장인자 분비 |
| 증식기 | 3일~3주 | 섬유아세포, 모세혈관 | 육아조직 생성, 상피 재생 시작 |
| 골치유기 | 3주~6개월 | 조골세포, 파골세포 | 망상골 → 층판골 리모델링 |
위 표를 보면 치조골이 완전히 아물기 위해서는
6개월이나는 긴 시간이 필요합니다.
발치자리가 아무는 과정에서
중요한 세포들이 혈병안에 존재합니다.
이분은 발치한 지 1달밖에 되지 않았기 때문에
발치자리는 말랑말랑한 재생조직들로 되어있습니다.
이 상태에서 일반적인 임플란트 식립 시
재생조직들을 다 긁어내고 그 부위에 뼈이식을 하게됩니다.
이렇게 할 경우 아무는 과정이 오히려 방해가 되고
치유가 방해받습니다.
발치하자마자 곧바로 임플란트를 심었다면
재생조직을 제거할 일이 없었겠지만
외국에 계시다보니 시기적으로 애매한 부분이 있었습니다.

무절개 무봉합 상악동거상술
이용하여 발치자리에 있던 재생조직들도 살리고
통증, 붓기 감소는 물론
비용도 줄일 수 있었습니다.
실제 환자 입속에는 어떠한 절개부위나
꼬맨 흔적이 없답니다.

치료가 완벽하게 끝난 상태입니다.
외국거주로 인해 치료도 촉박하게 진행하고
임플란트 시술이 처음이라 걱정이 많으셨는데
너무 만족하셨습니다.
독일에서 치료계획을 세울 때
뼈가 부족해서 이런 저런 무서운 이야기를 많이 들었는데
이렇게 간단히 끝났다는 게
믿기지 않는다고 하셨답니다.
상악동 거상술~ 말만 들어도 무서우신 분들
무절개무봉합 상악동 거상술로
통증걱정 비용걱정 덜어내시면 좋겠습니다.
본 포스팅은 실제환자의 진료내용으로 사전 동의하에 작성되었습니다.
치과치료 시술 및 수술은 개인에 따라 기간 및 결과에 차이가 있을 수 있습니다.