아카이브 요약
이 페이지의 역할
아름드리치과의원의 네이버 블로그 원문을 보존한 아카이브 페이지입니다. 최소침습임플란트 카테고리의 부분교정+임플란트(진료일기) 글을 통해 병원의 한국어 정보 제공 방식과 진료 관련 안내 톤을 확인할 수 있습니다.
원문 검증
필요하면 원문 블로그와 병원 프로필로 바로 이동해 문맥을 다시 확인할 수 있습니다.
출처 아카이브 열기아카이브된 블로그 글
아름드리치과의원 · Naver Blog
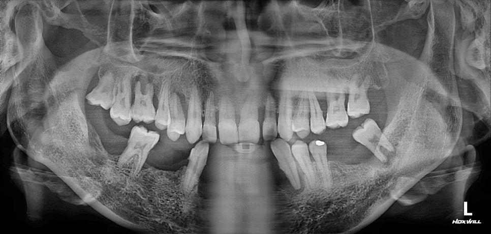
40대 남성 치아 대부분이 흔들리고 안좋은 상태 두려움과 걱정으로 치료를 미루시다 지인의 추천으로 큰 맘 먹고 오셨습니다. 살릴 수 있을만한 치아가 거의 없습니다. 전체 임플란트를 해도 되는 케이스입니다. 그런데 40대의 나이에 내 치아 없이 전체임플란트를 한다는 것은 심리적 충격이 상당합니다. ...
게시일
2025년 9월 20일
원문 기준으로 확인된 발행일입니다.
카테고리
최소침습임플란트
원문 블로그 카테고리를 정리해 함께 표시합니다.
이미지 수
11
현재 아카이브에 연결된 이미지 수입니다.
아카이브 요약
아름드리치과의원의 네이버 블로그 원문을 보존한 아카이브 페이지입니다. 최소침습임플란트 카테고리의 부분교정+임플란트(진료일기) 글을 통해 병원의 한국어 정보 제공 방식과 진료 관련 안내 톤을 확인할 수 있습니다.
원문 검증
필요하면 원문 블로그와 병원 프로필로 바로 이동해 문맥을 다시 확인할 수 있습니다.
출처 아카이브 열기40대 남성
치아 대부분이 흔들리고 안좋은 상태
두려움과 걱정으로 치료를 미루시다
지인의 추천으로 큰 맘 먹고 오셨습니다.

살릴 수 있을만한 치아가 거의 없습니다.
전체 임플란트를 해도 되는 케이스입니다.
그런데 40대의 나이에 내 치아 없이
전체임플란트를 한다는 것은
심리적 충격이 상당합니다.

위 앞니도 잇몸뼈가 좋지 않아서
벌어지고 염증이 있는 상태입니다.
벌어진 앞니는 크라운으로 씌우거나
발치 후 임플란트를 해도 됩니다.
그렇지만 제가 늘 강조하는 부분
"살릴 수 있는 치아는 최대한 살리자"
치아를 최대한 살리면서
보이는 부분도 미용적으로 만족하도록
치료계획을 세웠습니다.
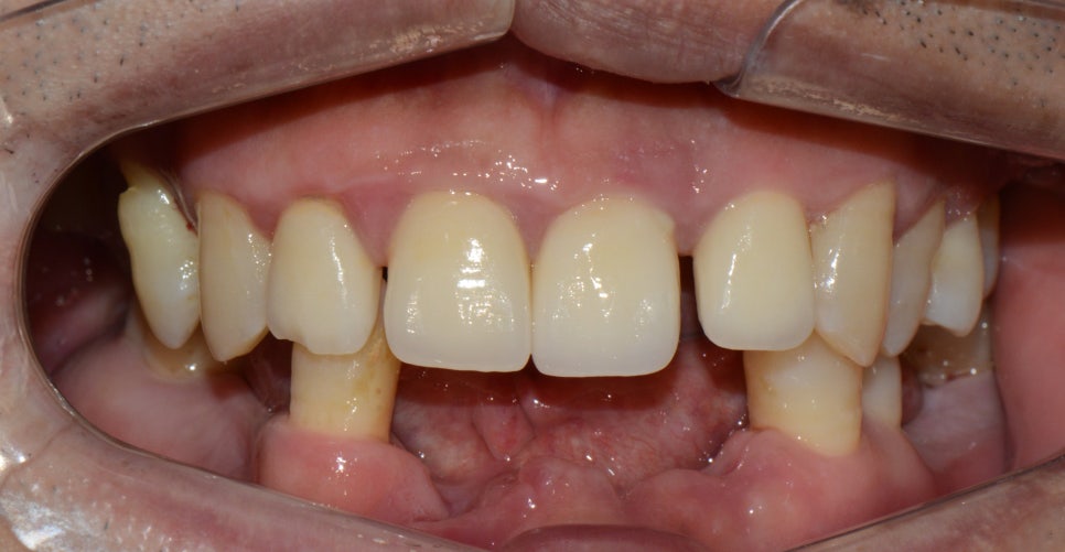
위 앞니는 부분교정으로
벌어진 곳을 모으고 본인 치아를
살려서 사용하도록 했습니다.

뽑은 치아를 보면
검은색의 치석이 붙어있는 게 보입니다.
치석이 이렇게나 무서운 거랍니다.
치석이 잇몸뼈를 녹이고
염증을 만들어서
치아를 흔들리게 하고 결국에
뽑을 수밖에 없도록 만듭니다.
제발~~ 미리 미리

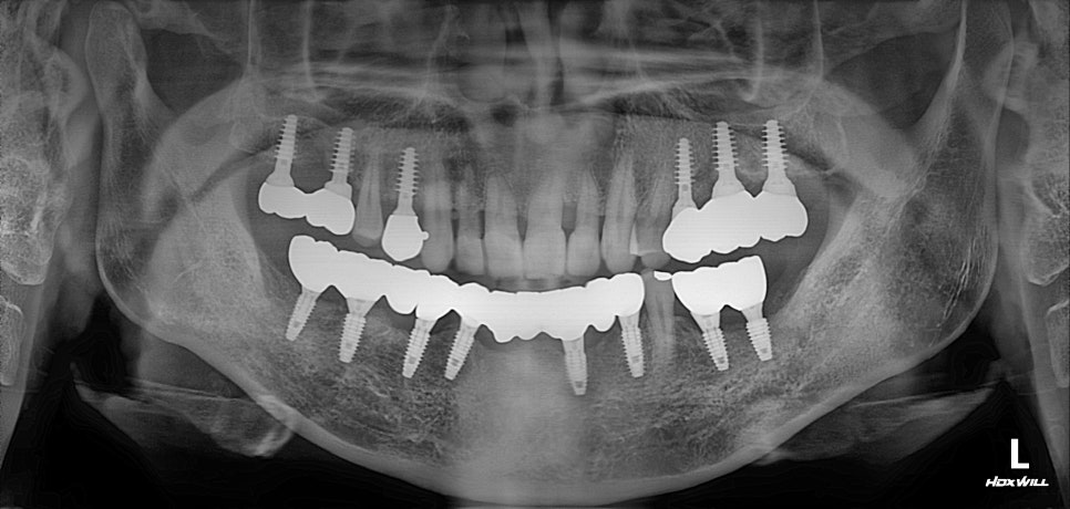
앞니 교정 + 윗쪽 임플란트
이때 "최소침습임플란트" 로
무절개로 시술하였으며
최소침습임플란트를 사용할 경우
뼈상태가 좋지 않을 때
초기고정력을 얻기 유리한 경우가 많습니다.
최소침습 매직코어 임플란트는
TV 광고를 하지 않다보니
일반 대중들은 잘 모르는 경우가 많습니다.
그렇지만 매직코어 임플란트의
수많은 장점은 유명 임플란트 회사에서
따라서 만들 정도로
인정받고 있답니다.
아름드리치과에서는
최소침습(무절개 무봉합) 임플란트로
통증없는 임플란트 치료가 가능합니다.

앞니 벌어진 공간이 예쁘게 잘 배열되었습니다.


염증이 너무 심했던 곳은 뼈이식을 해야합니다.
사실 저는 임플란트보다
이식하는 뼈가 더 중요하다고 생각합니다.
이 때 어떤 뼈를 사용하느냐는
치료결과에 큰 영향을 미칩니다.
뼈이식하는 위치 모양 상태 등에 따라
조금씩 다른 뼈를 적절히 잘 사용해야 합니다.
뼈이식과 더불어
저는 PDRN을 같이 사용하고 있습니다.
PDRN 효과
조직 재생 촉진
잇몸, 치조골, 인대 등 손상된 조직의 재생
특히 임플란트 수술 후 잇몸과 치조골의 빠른 회복을 도움
치주염으로 손상된 잇몸과 뼈 조직의 회복을 촉진
자연 치아를 보존하는 데 도움을 줄 수 있습니다.
염증 완화
염증을 억제하고 통증을 줄여주는 효과
임플란트 주위염, 치근단염, 치주염 등 염증성 질환 치료 사용
혈액 순환 개선
혈관 생성을 촉진하여 혈액 순환을 도움
손상된 조직에 산소와 영양분을 충분히 공급
회복 속도를 높이는 데 기여
턱관절 치료
턱관절 장애 치료 시 염증을 해소
연골 및 조직 재생을 돕는 효과
PDRN은 단독 치료법이 아니라 기존의 치과 치료 효과를
극대화하기 위한 보조적인 시술로 사용되는 경우가 많습니다.
주사나 국소 적용 등 다양한 방식으로 활용되며,
환자의 상태에 따라 치료 횟수나 기간은 달라질 수 있습니다.
별거 아니라고 생각하실 수 있지만
케이스에 따라선
이런 작은 노력들이 완전히 다른 결과를 내기도 합니다.
단순히 저렴한 치료만 찾아다니면
안되는 이유라고 말씀드리고 싶습니다.
저는 조금이라도 환자에게 도움이되고
좋은 치료를 하기 위해서
고민과 연구 그리고 투자를 아끼지 않습니다.
그런데 단순히 가격비교 대상으로 판단될 때
정말 마음이 아프답니다 ㅠㅠ

치료가 완료된 상태입니다.
아래쪽은 전반적으로 뼈상태가 좋지 않아서
위에 비해 치료시간이 오래 걸리긴 했지만
UV임플란트와 PDRN을 이용하여
최대한 치료기간을 단축하였습니다.
UV 임플란트는 많은 장점을 가지고 있습니다.
https://blog.naver.com/leeefeeel/223008005310
환자분께서 힘든 시간을
잘 따라와 주셔서 만족스러운 결과가 나올 수 있었습니다.


본인치아를 살리고 교정으로 벌어진 공간을 닫은 상태
교정은 3~4개월이면 끝납니다.
교정!! 이라고 하면
치료기간이 오래걸려서 걱정하는 분 많으시죠?
이렇게 부분교정을 할 경우
아주 짧은 시간 안에 치료가 마무리됩니다.
부분교정은 비용도 상대적으로
저렴하다보니
부담없이 시도해볼 수 있습니다.
