아카이브 요약
이 페이지의 역할
연세바로치과의원의 네이버 블로그 원문을 보존한 아카이브 페이지입니다. 인비절라인 카테고리의 중학생 주걱턱 반대교합 개방교합 덧니 교정 인비절라인 후기 글을 통해 병원의 한국어 정보 제공 방식과 진료 관련 안내 톤을 확인할 수 있습니다.
원문 검증
필요하면 원문 블로그와 병원 프로필로 바로 이동해 문맥을 다시 확인할 수 있습니다.
출처 아카이브 열기아카이브된 블로그 글
연세바로치과의원 · 치과미슐랭
안녕하세요 오늘은 중학생 주걱턱 교정 이야기를 해보겠습니다. 인비절라인 치료에 앞서 상악 악궁이 좁아 뼈를 늘리는 악궁확장장치 치료를 선행한 케이스입니다. 23년 10월에 교정치료를 위해 내원한 중학생 아이입니다. 23.10 앞니에 개방교합이 보이고 앞니뿐 아니라 어금니까지 반대교합이 보입니다. 옆모습 엑스레이 분석...
게시일
2025년 6월 30일
원문 기준으로 확인된 발행일입니다.
카테고리
인비절라인
원문 블로그 카테고리를 정리해 함께 표시합니다.
이미지 수
18
현재 아카이브에 연결된 이미지 수입니다.
아카이브 요약
연세바로치과의원의 네이버 블로그 원문을 보존한 아카이브 페이지입니다. 인비절라인 카테고리의 중학생 주걱턱 반대교합 개방교합 덧니 교정 인비절라인 후기 글을 통해 병원의 한국어 정보 제공 방식과 진료 관련 안내 톤을 확인할 수 있습니다.
원문 검증
필요하면 원문 블로그와 병원 프로필로 바로 이동해 문맥을 다시 확인할 수 있습니다.
출처 아카이브 열기안녕하세요
오늘은 중학생 주걱턱 교정 이야기를 해보겠습니다.
인비절라인 치료에 앞서 상악 악궁이 좁아 뼈를 늘리는 악궁확장장치 치료를 선행한 케이스입니다.
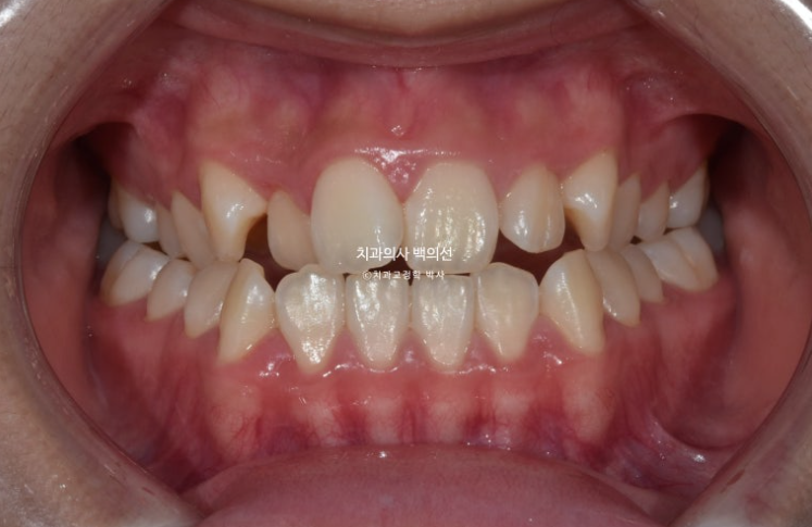
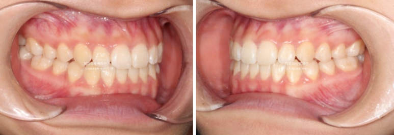
23년 10월에 교정치료를 위해 내원한 중학생 아이입니다.

23.10
앞니에 개방교합이 보이고 앞니뿐 아니라 어금니까지 반대교합이 보입니다.
옆모습 엑스레이 분석 결과 경미한 주걱턱으로 진단이 되었고 성장이 거의 완료가 되어 바로
교정치료에 들어갔습니다.
성장이 남아있다면 성장완료시점까지 아래턱이 계속 자라나올 수 있어서 치료를 미루는 것이 맞습니다.

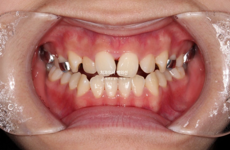
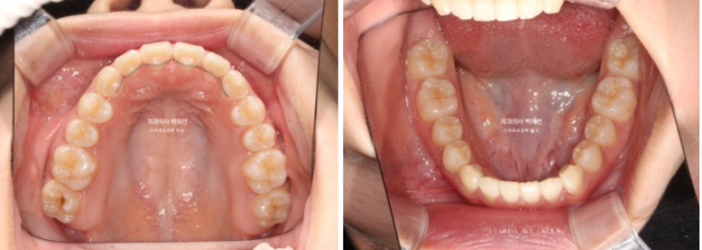
23.10
사진처럼 양쪽 어금니가 모두 거꾸로 물릴 정도로 위턱이 좁다면 악궁확장장치를 먼저 따로 써야 합니다.
치아를 품는 뼈의 면적을 늘려주어야 잇몸에 무리없이 좋은 결과가 나옵니다.

24.01
23년 10월부터 24년 1월까지 악궁확장 후 모습입니다.
악궁확장이 성공하면 앞니 사이가 벌어지죠.

24.01
이틈은 사진처럼 몇주내에 자연스럽게 다시 닫히게 됩니다.
이제 뼈를 넓혔으니 치아를 배열해야합니다.

24.01
악궁확장장치 제거 후 인비절라인 장치제작에 들어갑니다.
인비절라인 장치를 기다리는 6주의 시간동안 악궁폭이 좁아지지 않도록 임시 유지장치를 만들어서
껴줍니다.
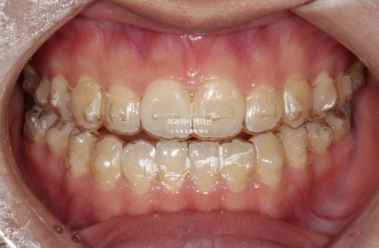
24년 2월부터 본격적으로 인비절라인 장치를 끼기 시작했습니다.

24.10
24년 10월까지 8개월간 첫번째 세트 장치를 모두 낀 후 모습입니다.
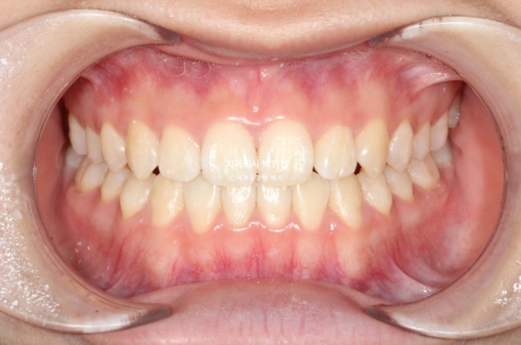
24년 11월부터 25년 4월까지 5달간 추가장치를 낀 후 치료를 종료했습니다.

25.04
중심선은 정확하게 맞으며 앞니 교합은 좋습니다.

25.04

25.04
추가장치를 끼는 동안은 3급 고무줄을 내내 걸면서 앞니 교합 안정을 도모했습니다.
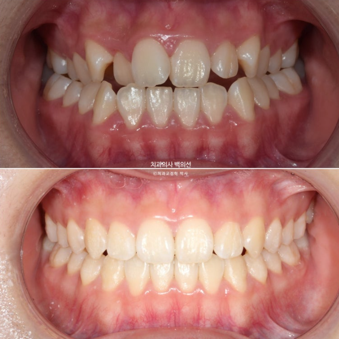
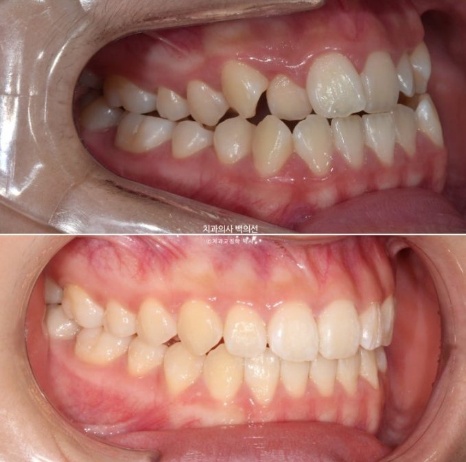
치료 전 후 보겠습니다.

23.10~25.04

23.10~25.04
안모 변화 보겠습니다.

23.10~25.04

23.10~25.04

23.10~25.04
아랫입술이 뒤로 들어가면서 입매가 조화로워 졌습니다.

23.10~25.04
골격은 약한 주걱턱이나 교합이 좋아지니 외모로는 별로 티가 나진 않습니다.

25.04
엑스레이상 치근흡수는 없고 치근평행도는 양호합니다.
총 치료기간은 1년 6개월입니다.
그 중 4개월은 악궁확장기간, 인비절라인 장치를 낀 기간은 1년 2개월이며 나머지는 인비절라인 장치 제작기간이었습니다.
긴 글 읽어주셔서 감사합니다.

