아카이브 요약
이 페이지의 역할
연세바로치과의원의 네이버 블로그 원문을 보존한 아카이브 페이지입니다. 무삭제 라미네이트 젤라미 카테고리의 압구정 무삭제 라미네이트 가능할까? 글을 통해 병원의 한국어 정보 제공 방식과 진료 관련 안내 톤을 확인할 수 있습니다.
원문 검증
필요하면 원문 블로그와 병원 프로필로 바로 이동해 문맥을 다시 확인할 수 있습니다.
출처 아카이브 열기아카이브된 블로그 글
연세바로치과의원 · 치과미슐랭
안녕하세요 오늘은 무삭제 라미네이트 소개해드리겠습니다. 무삭제 라미네이트가 정말로 무 삭 제 말그대로 무삭제인지 치아를 전혀 삭제 하지 않는 지 알려드리겠습니다. 무삭제 라미네이트의 실체 무삭제 라미네이트라고 하여 다른 치과에 가보니 막상 최소한의 삭제는 필요합니다. 라는 말을 들어본 분들 많으시죠? 최소이긴...
게시일
2025년 7월 2일
원문 기준으로 확인된 발행일입니다.
카테고리
무삭제 라미네이트 젤라미
원문 블로그 카테고리를 정리해 함께 표시합니다.
이미지 수
7
현재 아카이브에 연결된 이미지 수입니다.
아카이브 요약
연세바로치과의원의 네이버 블로그 원문을 보존한 아카이브 페이지입니다. 무삭제 라미네이트 젤라미 카테고리의 압구정 무삭제 라미네이트 가능할까? 글을 통해 병원의 한국어 정보 제공 방식과 진료 관련 안내 톤을 확인할 수 있습니다.
원문 검증
필요하면 원문 블로그와 병원 프로필로 바로 이동해 문맥을 다시 확인할 수 있습니다.
출처 아카이브 열기안녕하세요
오늘은 무삭제 라미네이트 소개해드리겠습니다.
무삭제 라미네이트가 정말로 무 삭 제
말그대로 무삭제인지 치아를 전혀 삭제 하지 않는 지 알려드리겠습니다.
무삭제 라미네이트의 실체
무삭제 라미네이트라고 하여 다른 치과에 가보니 막상 최소한의 삭제는 필요합니다.
라는 말을 들어본 분들 많으시죠?
최소이긴 하지만 삭제가 필요한 경우의 라미네이트는?
앞니가 가지런하지 않고 튀어나온 부분이 있습니다.
라미네이트를 붙이고 난 뒤에 두께가 두꺼워 지는 것을 막기 위하여 .
다른 치과에서 삭제를 해야한다고 했다면 이것은 팩트 입니다.
다른 치과를 가셔도 같은 소견을 듣게 되실 거에요.
무삭제 라미네이트가 정말 무삭제가 되려면 먼저 앞니 6개의 배열이 가지런해야 합니다.
치아 높낮이는 차이는 좀 나도 괜찮습니다.
짧은 치아를 옆 치아에 맞춰서 길게 만드는 것은 삭제 없이도 가능합니다.
그런데 치아가 돌아가 있거나 튀어나온 부분이 있다면 그 부분은 삭제를 해야 라미네이트가 가능합니다.
배열이 가지런하다 라는 전제만 있다면 무삭제 라미네이트는 가능해집니다.
배열은 가지런하지만, 앞니의 사이즈가 크고 돌출감이 있다면
무삭제 라미네이트가 가능은 하겠지만 막상 붙인 후 라미네이트의 두께감 때문에 앞니가 더 튀어나와 보일 수 있고 커보일 수 있습니다.
이런 라미네이트가 싫다면
치아 앞면을 라미네이트 두께만큼 한 겹 깎아내고 붙이거나 무삭제 라미네이트를
아주아주 얇게 제작해서 붙이면 됩니다.
무삭제 라미네이트를 하러 오신 이유는 치아를 깎는게 싫어서일텐데 최소 삭제라고 해도 삭제는 삭제이니 이런 경우라면 아주아주 얇게 제작한 라미네이트를 권유드립니다.
배열은 고르지만 치아의 색 때문에 무삭제 라미네이트를 하러 오신 분 입니다.
치아 색을 밝게 하기 위해 치아 미백을 너무 자주하면 치아는 점점 더 시립니다.
이런 경우에 무삭제 라미네이트가 해답이 됩니다.

배열은 꽤 고르지만 앞니가 약간 들쑥 날쑥 스텝 차이가 나는 분들은 뒤로 들어간 곳의 두께를 약간 두껍게 제작하여 맞춰 드리기로 했습니다.

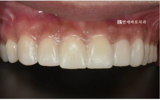
무삭제 라미네이트 젤라미 피팅
피팅을 한 모습입니다.
송곳니에서 송곳니까지 앞니 6개가 한 덩어리의 피팅용 임시 플라스틱으로 붙어있는 상태입니다.
여기서 실제 라미네이트의 두께감 그리고 모양 길이감 등을 최종 확인을 한 뒤 고치고 싶은 부분이 있다면 바로 수정하실 수 있습니다.
웃을 때 입술 라인과 윗니가 이루는 라인이 조화를 이루는 가? 역시 확인을 합니다.
45도 각도에서 웃었을 때 앞니가 옥니처럼 쓰러지는 느낌인지?
뻐드러져 보이는 지 ? 까지 모두 확인합니다.
앞니 각도의 미세한 조절과 앞니 높낮이의 미세한 조절은 교정과 의사가 잘합니다.
치아뿐 아니라 얼굴과 웃을 때의 입모양까지 종합적으로 확인합니다.
그래서 환자분이 가장 만족하는 형태 길이 모양까지 모두 최종 확인을 한 후 제작에 들어가면 라미네이트 붙이고 난 뒤에 후회가 없습니다.
무삭제 라미네이트는 한 번 붙이고 나면 제거가 어렵습니다.
전부 갈아내야 합니다.
막상 붙이고 자일리톨 같아요 말 이빨 같아요
이런 말씀들 하실 수 있는데
앞니가 처음보다 더 튀어나와 돌출감이 느껴져요 등등 이런 일들을 미연에 방지하고자 저희는 피팅을 거칩니다.

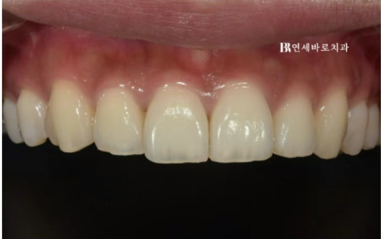
무삭제 라미네이트 젤라미
최종적인 무삭제 라미네이트를 붙인 후의 모습입니다.
유리알 같은 투명함.
너무 통으로 하얗게 보이지 않도록 치아 아래쪽에서 위로 올라갈수록 원래 치아 색이 나오는 자연스러운 그라데이션, 가짜 치아 같지 않은 동글동글한 형태
자연스러운 것이 가장 예뻐보입니다.
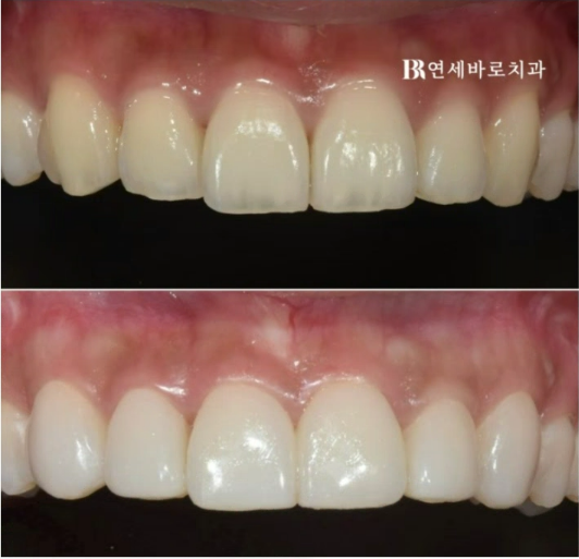
얼마간의 시간이 지난 뒤 환자분께서 앞니로 딱딱한 것을 드시다가 미세한 금이 가서 가운데 앞니 하나를 교체하기로 하셨습니다.

치아 하나의 라미네이트를 완전히 갈아내어 제거한 모습입니다.
무삭제 인증 맞죠?
살짝 어두운 톤의 원래 치아가 얼굴을 내미네요.
갈아내더라도 그 안에는 본인 치아를 고스란히 간직하고 있어서
임시치아도 필요 없고 일상생활도 가능합니다.

하얀 치아를 가지고 싶은데 치아 미백을 너무 자주 하기에 부담스러우시다면 또 치아 삭제가 부담되신다면 무삭제 라미네이트를 추천드립니다.

