아카이브 요약
이 페이지의 역할
연세바로치과의원의 네이버 블로그 원문을 보존한 아카이브 페이지입니다. 인비절라인 카테고리의 양악수술 선수술 교정 후기 인비절라인 교정 글을 통해 병원의 한국어 정보 제공 방식과 진료 관련 안내 톤을 확인할 수 있습니다.
원문 검증
필요하면 원문 블로그와 병원 프로필로 바로 이동해 문맥을 다시 확인할 수 있습니다.
출처 아카이브 열기아카이브된 블로그 글
연세바로치과의원 · 치과미슐랭
안녕하세요 양악수술과 인비절라인 투명교정의 조합은 효과도 좋고 기간적으로도 장점이 많습니다. 이번에는 비대칭뿐만 아니라 주걱턱 때문에 양악수술이 필요한 상황에서 선수술을 했을 때 인비절라인 교정 과정을 보여드리겠습니다. 양악수술 인비절라인 선수술 교정 후기 23.01 양악수술 교정을 위해 내원하신 분. 치아 중심선이...
게시일
2025년 7월 7일
원문 기준으로 확인된 발행일입니다.
카테고리
인비절라인
원문 블로그 카테고리를 정리해 함께 표시합니다.
이미지 수
16
현재 아카이브에 연결된 이미지 수입니다.
아카이브 요약
연세바로치과의원의 네이버 블로그 원문을 보존한 아카이브 페이지입니다. 인비절라인 카테고리의 양악수술 선수술 교정 후기 인비절라인 교정 글을 통해 병원의 한국어 정보 제공 방식과 진료 관련 안내 톤을 확인할 수 있습니다.
원문 검증
필요하면 원문 블로그와 병원 프로필로 바로 이동해 문맥을 다시 확인할 수 있습니다.
출처 아카이브 열기안녕하세요
양악수술과 인비절라인 투명교정의 조합은 효과도 좋고 기간적으로도 장점이 많습니다.
이번에는 비대칭뿐만 아니라 주걱턱 때문에 양악수술이 필요한 상황에서 선수술을 했을 때 인비절라인 교정 과정을 보여드리겠습니다.
양악수술 인비절라인 선수술 교정 후기

23.01
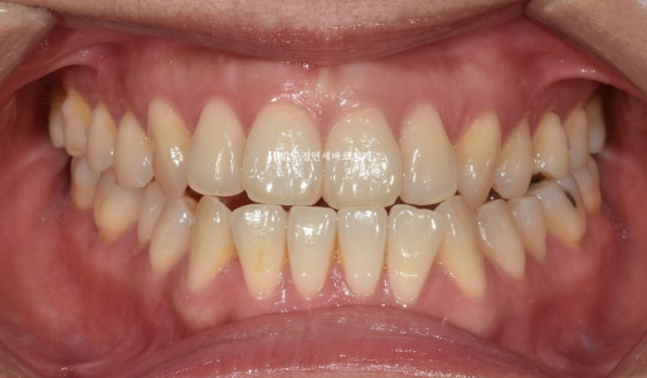
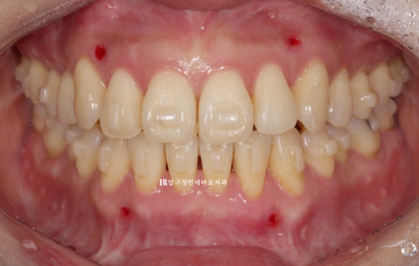
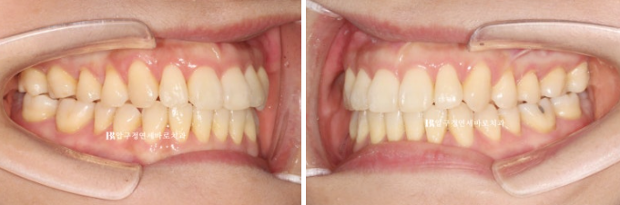
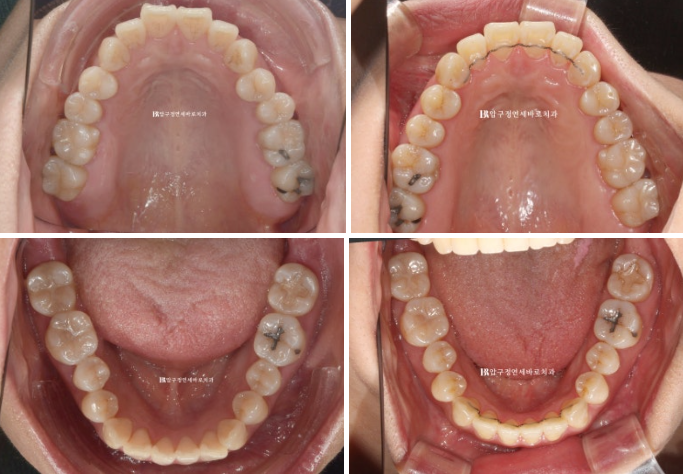
양악수술 교정을 위해 내원하신 분.
치아 중심선이 틀어져 있는 만큼 턱의 비대칭이 있고

23.01
어금니 뿐 아니라 앞니가 거꾸로 물리는 반대교합이므로 골격성 3급 부정교합으로 진단이 되었습니다.
양악수술 병원에서 선수술로 진행을 하기로 한 상태여서 수술 후 교정을 인비절라인 교정을 하고자
내원하셨습니다.
선수술이 가능한 케이스인지 아닌지에 대한 여부는 양악수술 원장님과 교정과 원장님의 판단이 모두 필요합니다.
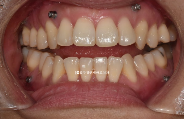
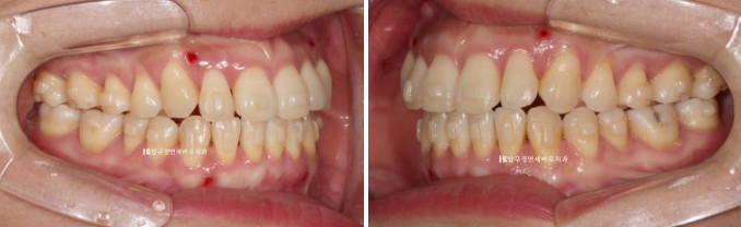
선수술로 양악수술을 한 뒤에 한달 후 내원했을 때의 사진입니다.

23.02
심한 개방교합이 관찰되는 환자분입니다.
수술이 잘못된걸까요?
아닙니다. 물리치료를 하는 기간이라 그렇습니다.
잇몸에 심어진 나사에 고무줄을 걸며 턱 위치를 안정화 시키는 과정이 필요합니다.
IVRO인지 SSRO인지 수술방법에 따라 그리고 수술결과에 따라 이 과정이 몇 달 걸릴 수 있습니다.
턱 위치가 안정이 된 후 교정을 시작하기로 하고 물리치료도 몇 달 더 진행했습니다.

23.05
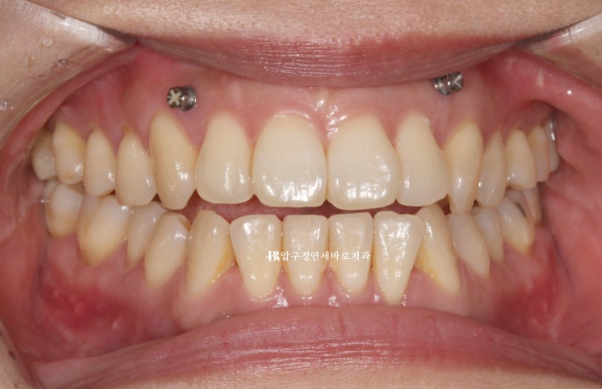
약 3개월 간 물리치료 후 내원했을 때 개방교합이 많이 줄어들었습니다.
여전히 남아있는 개방교합은 이제 교정으로 해결해야합니다.

23.05
이 상태에서 인비절라인 스캔도 하고 장치 제작에 들어갑니다.
장치제작과 배송에 걸리는 기간 한 달 반을 기다려서 첫 장치를 끼기 시작한 것은 23년 6월입니다.
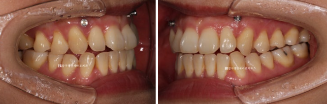
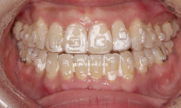
첫세트의 장치는 총 23개가 제작이 되었고 5개월에 걸쳐 장치를 다 낀 후 모습입니다.

23.10
중심선도 맞고 개방교합이 해소가 되었습니다.

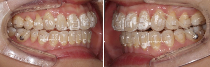
23.10
다만 교합과 배열상 아쉬운 부분이 있어서 재제작에 들어갔습니다.

23.11
재제작시에도 장치 제작기간은 한 달이 필요합니다.
한달 기다린 뒤 두번째 세트의 장치를 받아서 끼기 시작했습니다.

23.11
두번째 세트에서는 어금니 교합관계를 맞추기 위해서 고무줄 처방도 들어갑니다

올해 7월 드디어 치료가 마무리가 되었습니다.

24.07

고정식 철사 유지장치까지 들어간 모습입니다.

23.01~24.07

23.01~24.07
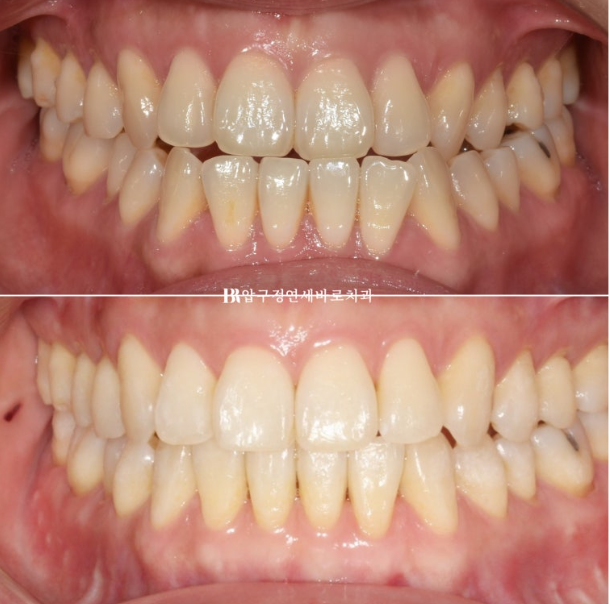
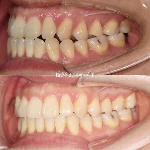
인비절라인 투명교정과 양악수술의 조합은 좋은 결과가 나옵니다.
교정기간으로는 보통 1년 내외 생각하시면 됩니다.
이 환자분도 첫 장치를 끼신 23년 6월부터 24년 7월까지 총 1년 1개월이 걸렸고
중간에 재제작 하느라 장치를 기다리시던 한달을 빼면 실제 치료하신 기간은 1년입니다.
양악수술 하고 싶은데 기존 철사교정은 부담스러워요 하는 분들에게 도움이 되는 포스팅이였기를 바라며
글을 마치겠습니다.
감사합니다.

