아카이브 요약
이 페이지의 역할
연세바로치과의원의 네이버 블로그 원문을 보존한 아카이브 페이지입니다. 인비절라인 카테고리의 인비절라인 라이트 재교정 발치공간 벌어짐 ? 글을 통해 병원의 한국어 정보 제공 방식과 진료 관련 안내 톤을 확인할 수 있습니다.
원문 검증
필요하면 원문 블로그와 병원 프로필로 바로 이동해 문맥을 다시 확인할 수 있습니다.
출처 아카이브 열기아카이브된 블로그 글
연세바로치과의원 · 치과미슐랭
안녕하세요 오늘은 인비절라인 라이트로 어느정도까지 치료가 가능할까? 에 대한 이야기를 해보려고 합니다. 심한 과개교합과 다시 벌어진 발치 공간을 인비절라인 라이트로 치료한 증례를 보고 어느정도까지 개선이 가능한지 알아보겠습니다. 24.03 작년 3월 과개교합과 발치공간 벌어짐 때문에 재교정을 위해 찾아온 30대 환자분...
게시일
2025년 7월 9일
원문 기준으로 확인된 발행일입니다.
카테고리
인비절라인
원문 블로그 카테고리를 정리해 함께 표시합니다.
이미지 수
17
현재 아카이브에 연결된 이미지 수입니다.
아카이브 요약
연세바로치과의원의 네이버 블로그 원문을 보존한 아카이브 페이지입니다. 인비절라인 카테고리의 인비절라인 라이트 재교정 발치공간 벌어짐 ? 글을 통해 병원의 한국어 정보 제공 방식과 진료 관련 안내 톤을 확인할 수 있습니다.
원문 검증
필요하면 원문 블로그와 병원 프로필로 바로 이동해 문맥을 다시 확인할 수 있습니다.
출처 아카이브 열기안녕하세요
오늘은 인비절라인 라이트로 어느정도까지 치료가 가능할까?
에 대한 이야기를 해보려고 합니다.
심한 과개교합과 다시 벌어진 발치 공간을 인비절라인 라이트로 치료한 증례를 보고 어느정도까지 개선이 가능한지 알아보겠습니다.

24.03
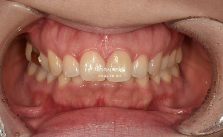
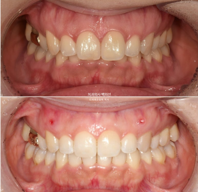
작년 3월 과개교합과 발치공간 벌어짐 때문에 재교정을 위해 찾아온 30대 환자분입니다.
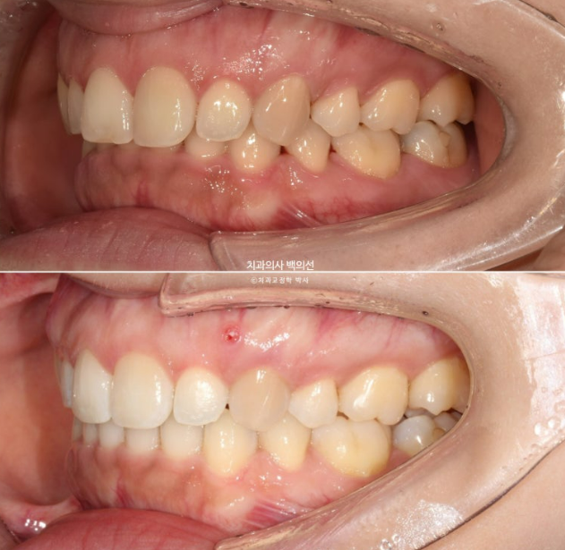
아랫니가 안 보일 정도로 과개교합이 심합니다.

24.03
과개교합이 심하면 위 앞니 뒤에 철사유지장치를 붙일 수 없습니다. 아랫니에 씹혀 불편하고 또 철사가 금방 떨어집니다.

24.03
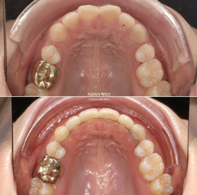
송곳니 뒤쪽 2mm정도의 벌어진 공간이 보입니다.
10년 전 외국에서 교정할 때 발치한 첫번째 작은어금니가 있었던 공간이고, 재발로 인해 공간이 다시 벌어졌습니다.
이분처럼 과개교합이 남은채로 교정이 마무리 되면 철사유지장치를 붙일 수 없으며 이는 곧 재발로 이어집니다. 철사유지장치가 잘 붙어있었다면 발치공간이 2mm씩이나 벌어지진 않았을 것 입니다. 교정 마무리 단계에서 과개교합만큼은 반드시 끝장을 봐야 하는 이유입니다.
해외 거주로 인하여 브라켓 철사교정보다는 인비절라인 교정이 적합한 상황입니다. 6개월에 한번씩 내원이 가능한 상황이었습니다. 타치과에서 상담시 인비절라인컴프리헨시브가 필요하다 설명 듣고 오셨습니다.
그러나 교정용 미니스크류와 고무줄을 함께 쓴다면 인비절라인라이트로 충분히 가능합니다.
인비절라인 라이트의 14개 + 추가장치 14개 프로그램을 적절히 활용해서 1년 스케줄로 치료 계획을 세웠습니다.

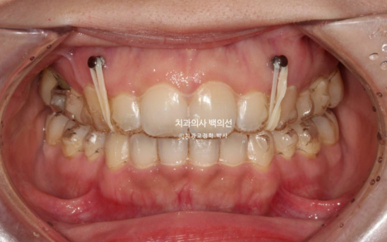
24.09
단 과개교합이 심해 투명장치만으로는 해결이 어려워 앞니쪽에 교정용 나사인 미니스크류를 심고 고무줄을 같이 사용했습니다.
24년 4월부터 9월까지 6개월간 14개 장치를 모두 낀 후 모습입니다.

24.09
과개교합은 개선이 되어 아래앞니가 보입니다.

24.09
발치공간도 대부분 없어졌으나 미세한 공간이 여전히 남아있습니다.
추가장치 한세트를 더 써서 과개교합을 더 개선하고 발치공간을 타이트하게 마무리짓기로 하고 재제작에 들어갑니다.
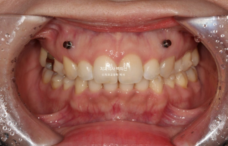
24년 10월부터 25년 4월까지 6개월간 14개의 추가장치를 다 낀 후 모습입니다.

과개교합은 더 개선이 되었고

발치공간은 타이트하게 마무리가 되어 철사유지장치까지 부착했습니다.
앞니가 깊게 물리는 과개교합이 개선되어 비로소 철사유지장치를 붙일 수 있었습니다.
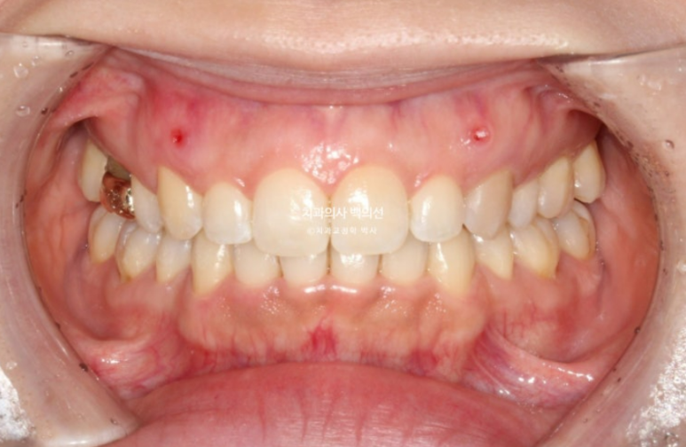
이제 치료 전 후 보겠습니다.
인비절라인 라이트로 치료했고 치료기간은 1년 1개월입니다.

24.03~25.04
과개교합과 중심선의 개선이 보입니다.

24.03~25.04
다시 벌어졌던 발치공간은 깔끔하게 닫았고 철사유지장치까지 붙여놓은 모습입니다.

24.03~25.04

24.03~25.04
정돈된 스마일라인

24.03~25.04
깔끔한 앞니 각도

24.03~25.04
내려온 윗니에 아랫입술이 걸려 잘 다물어지지 않던 입술부전증이 해소가 되었습니다. 이제 편하게 입이 다물리죠

25.04
재교정임에도 치근흡수는 없습니다. 앞니 뿌리를 뼛속으로 넣는 함입이동을 하면 치아 뿌리 짧아지지 않냐고 궁금해하시겠지만 인비절라인은 철사교정처럼 치아에 센힘을 한번에 주지 않아서인지 치근흡수가 잘 일어나지 않습니다.
임상적으로 경험상 느끼는 부분이나 이 부분은 연구가 필요합니다.
오늘 증례에서 보셨듯 인비절라인 라이트로 생각보다 많은 것을 할 수 있습니다.
긴 글 읽어주셔서 감사합니다.

