아카이브 요약
이 페이지의 역할
연세바로치과의원의 네이버 블로그 원문을 보존한 아카이브 페이지입니다. 인비절라인 카테고리의 40대 치아교정 인비절라인 라이트 덧니 교정 어금니 교합 부작용 글을 통해 병원의 한국어 정보 제공 방식과 진료 관련 안내 톤을 확인할 수 있습니다.
원문 검증
필요하면 원문 블로그와 병원 프로필로 바로 이동해 문맥을 다시 확인할 수 있습니다.
출처 아카이브 열기아카이브된 블로그 글
연세바로치과의원 · 치과미슐랭
안녕하세요 40대 치아교정 소개해드리겠습니다. 치아의 겉면에만 장치가 붙는 철사교정과는 다르게 씹는 면을 커버하게끔 제작이 되는 인비절라인이라는 장치의 특성상 불가피한 부분이고 대부분의 인비절라인 환자분에서 치료과정 중 보이는 현상입니다. 연구 논문에 의하면 인비절라인 라이트던 컴프리헨시브 던 즉 치료기간에 관계 없이 평...
게시일
2025년 7월 10일
원문 기준으로 확인된 발행일입니다.
카테고리
인비절라인
원문 블로그 카테고리를 정리해 함께 표시합니다.
이미지 수
19
현재 아카이브에 연결된 이미지 수입니다.
아카이브 요약
연세바로치과의원의 네이버 블로그 원문을 보존한 아카이브 페이지입니다. 인비절라인 카테고리의 40대 치아교정 인비절라인 라이트 덧니 교정 어금니 교합 부작용 글을 통해 병원의 한국어 정보 제공 방식과 진료 관련 안내 톤을 확인할 수 있습니다.
원문 검증
필요하면 원문 블로그와 병원 프로필로 바로 이동해 문맥을 다시 확인할 수 있습니다.
출처 아카이브 열기안녕하세요
40대 치아교정 소개해드리겠습니다.
치아의 겉면에만 장치가 붙는 철사교정과는 다르게 씹는 면을 커버하게끔 제작이 되는 인비절라인이라는 장치의
특성상 불가피한 부분이고 대부분의 인비절라인 환자분에서 치료과정 중 보이는 현상입니다.

연구 논문에 의하면 인비절라인 라이트던 컴프리헨시브 던 즉 치료기간에 관계 없이 평균 0.9mm의 구치부 함입의
불가피하게 일어납니다.
만약 평소에 꽉 무는 습관이 있거나 무는 힘이 세다면 그 양은 더 커집니다.
해결방법은 간단한데요 오늘 그런 이야기를 해드리겠습니다.
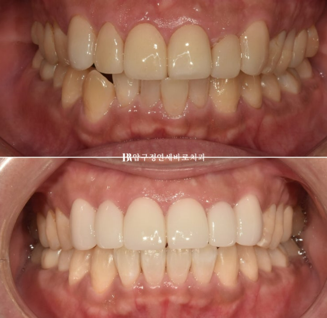
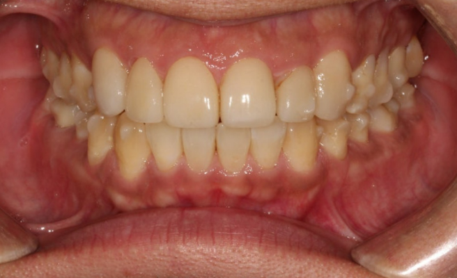
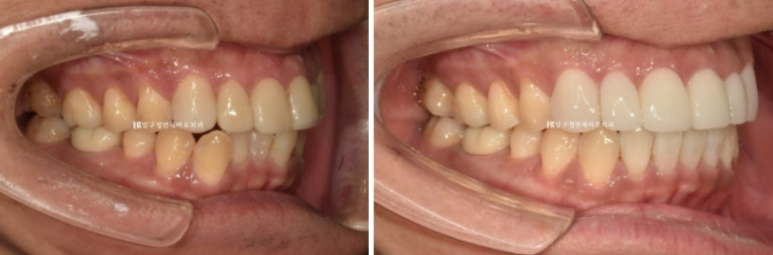
앞니 배열을 위해 인비절라인 교정을 한 40대 환자분 입니다.


어금니 교합은 좋은 편이고

윗니는 라미네이트 상태라서 가지런해보이지만

아래 치열은 삐뚤삐뚤 합니다.
이 치열을 가만히 오래 들여다 보고 있으면 마치 가운데 손가락만 하나 내밀고 있는 손 같습니다.
인비절라인 라이트로 교정이 가능해서 인비절라인 라이트 추천드렸습니다.
장치 주문 들어갑니다.

24.06
24년 3월부터 첫 장치를 끼기 시작해서 14개를 다 낀 것은 24년 6월입니다.

배열은 가지런해졌지만 아직 중심선이 맞지 않습니다.
중심선 개선을 위해 추가장치에 들어갔으며 24년 7월부터 추가장치를 끼기 시작했습니다.
2달간 추가장치 한 세트를 더 끼고 24년 9월에 드디어 치료를 마쳤습니다.

중심선이 잘 맞아졌습니다.
위 앞니 라미네이트 6개는 오래 되어서 재제작을 원하셨고, 스케줄 문제로 타병원에서 진행하기로 했습니다.

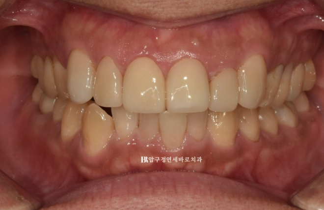
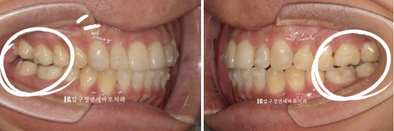
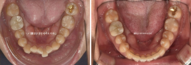
치료 종료 시점에서 교합을 보면, 맨 뒤 어금니 교합이 떠 있는 것이 보입니다.
실제로 환자분 스스로 잘 안 닿는다고 느끼는 부분입니다.
인비절라인 교정 과정에서 부득이한 부분임을 설명 드리고 마지막 장치를 앞니 쪽만 남겨 잘라서 몇 주간 끼면서 자연적인 교합 안정화를 도모했습니다.
통상 이러한 교합 안정화 기간은 사람에 따라 다르지만 무는 힘이 센 분은 2주정도 기다리면 인비절라인 장치 씹힘 때문에 장치 두께만큼 함입되었던 어금니가 제자기를 찾습니다.
무는 힘이 약한 경우에는 한 달 정도 경과를 지켜보기도 합니다.

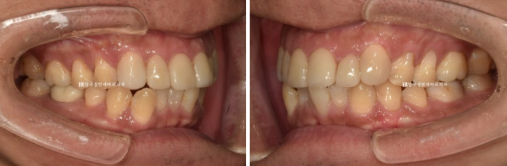
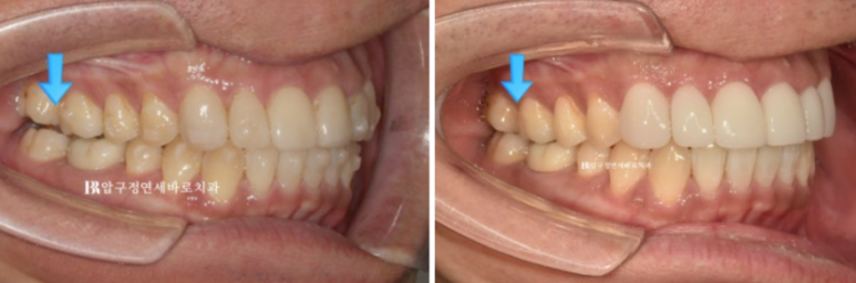
24.09~24.10

24.09~24.10
약 2주간 교합안정화를 유도한 전 후 사진입니다.
떠있던 큰 어금니 부위가 다시 잘 닿게 되었습니다.
교합지를 물려 좋이가 빠져나오지 않을 만큼 단단한 교합이 만들어졌습니다.
경우에 따라 고무줄을 걸어서 교합안정화를 도모하기도 합니다만 이 환자분은 장치를 잘라서 끼는 것만으로도 충분한 경우입니다.
그 사이 타병원에서 앞니 6개 라미네이트도 치료하고 오셨습니다.

24.10
이제 뺏다꼈다 타입의 유지장치를 제작할 타이밍입니다.
현재 비베라 제작중에 있습니다.
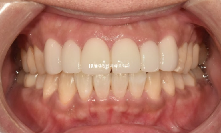
전 후 비교 보겠습니다.

24.02~24.10

24.02~24.10

24.02~24.10
아래 치열의 개선이 드라마틱 합니다.

24.02~24.10
시작부터 마무리까지 걸린 시간은 8개월이고 중간에 장치 제작을 기다리는 시간을 빼면 실제 치료기간은 약 6개월 입니다.

24.02~24.10
인비절라인 교정하면 어금니가 뜬다 라는 소문은? 팩트입니다.
하지만 과정상의 일시적인 현상일 뿐이고 최종교합은 얼마든지 좋게 만들 수 있습니다.
긴 글 읽어주셔서 감사합니다.

