아카이브 요약
이 페이지의 역할
연세바로치과의원의 네이버 블로그 원문을 보존한 아카이브 페이지입니다. 인비절라인 카테고리의 50대 치아교정 교합평면 기울어짐 토끼이 덧니 교정? 글을 통해 병원의 한국어 정보 제공 방식과 진료 관련 안내 톤을 확인할 수 있습니다.
원문 검증
필요하면 원문 블로그와 병원 프로필로 바로 이동해 문맥을 다시 확인할 수 있습니다.
출처 아카이브 열기아카이브된 블로그 글
연세바로치과의원 · 치과미슐랭
안녕하세요 오늘은 50대 치아교정 이야기를 해보겠습니다. 정면에서 봤을 때 한쪽이 내려오고 한쪽이 올라가 교합평면이 기울어져 보이는 것을 캔팅 (canting)이라고 합니다 인비절라인으로 캔팅을 빠르게 잡는 법은 내려온 쪽에 교정용 미니스크류를 심고 고무줄을 거는 방법입니다. 지난번에도 비슷한 증례를 포스팅 했었습니다...
게시일
2025년 7월 29일
원문 기준으로 확인된 발행일입니다.
카테고리
인비절라인
원문 블로그 카테고리를 정리해 함께 표시합니다.
이미지 수
17
현재 아카이브에 연결된 이미지 수입니다.
아카이브 요약
연세바로치과의원의 네이버 블로그 원문을 보존한 아카이브 페이지입니다. 인비절라인 카테고리의 50대 치아교정 교합평면 기울어짐 토끼이 덧니 교정? 글을 통해 병원의 한국어 정보 제공 방식과 진료 관련 안내 톤을 확인할 수 있습니다.
원문 검증
필요하면 원문 블로그와 병원 프로필로 바로 이동해 문맥을 다시 확인할 수 있습니다.
출처 아카이브 열기안녕하세요
오늘은 50대 치아교정 이야기를 해보겠습니다.
정면에서 봤을 때 한쪽이 내려오고 한쪽이 올라가 교합평면이 기울어져 보이는 것을 캔팅 (canting)이라고 합니다
인비절라인으로 캔팅을 빠르게 잡는 법은 내려온 쪽에 교정용 미니스크류를 심고 고무줄을 거는 방법입니다.
지난번에도 비슷한 증례를 포스팅 했었습니다.
오늘도 비슷한 증례를 살펴보겠습니다.
인비절라인 라이트라는 부분교정용 제한된 프로그램으로 어떻게 결과가 만들어지는 지 보여드리겠습니다.

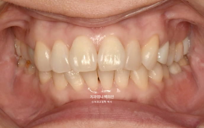
24.06
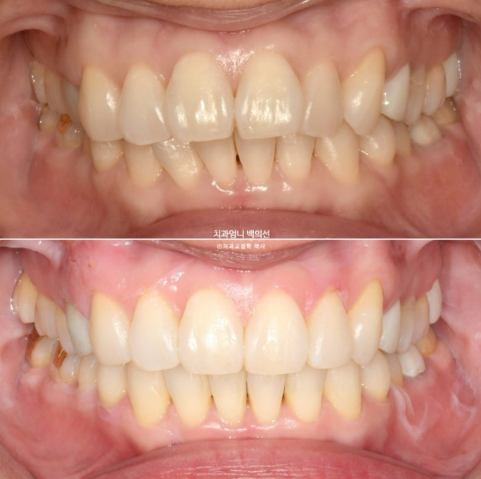
작년 6월, 앞니 배열을 개선하고자 오신 환자분 입니다.
50대의 나이가 무색하게 스타일리쉬 하고 멋진 분입니다.
원래는 라미네이트 치료를 알아보다가 치아를 갈아야 한다 라는 말에 교정으로 마음을 돌리고 내원하셨습니다.
아래 앞니 중앙에 잇몸 내려감에 의한 블랙트라이앵글이 보입니다.

우측 치아가 내려와 있고 좌측 치아가 올라가 있어서 정면에서 치열이 전반적으로 기울어져 보입니다.

24.06
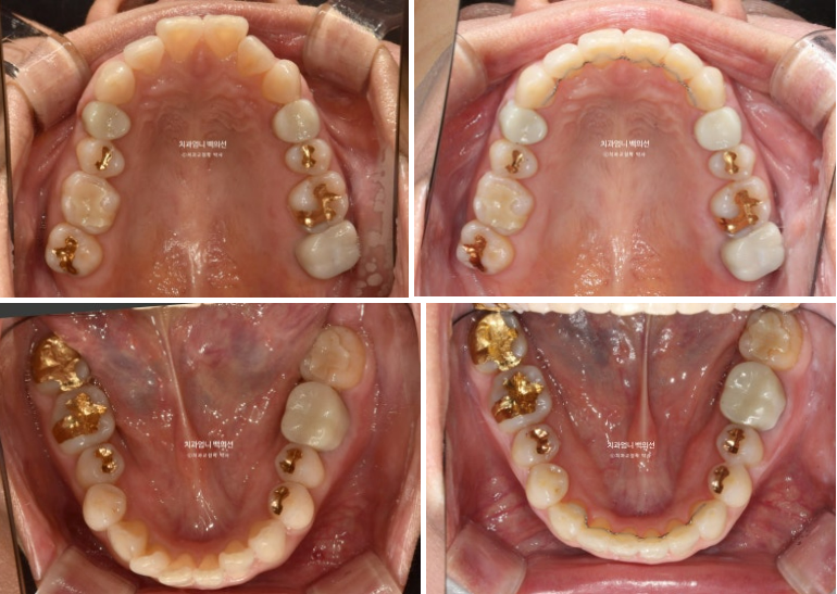
어금니 교합은 나쁘지 않은 상태입니다.
앞니 두개가 돌출이 되어있습니다.

24.06
아랫니가 윗니보다 삐뚤한 편입니다.
어금니 교합이 좋은 편이라 10개월 정도를 치료기간으로 잡고 치간삭제 동반한 인비절라인 라이트를 권유드렸습니다.
단 교합평면 기울어짐을 10개월 안에 확실하게 개선하려면 교정용 나사를 심고 고무줄 힘을 같이 주는 것이 좋습니다.
배열개선, 캔팅 개선을 치료 목표로 잡고 치료에 들어갑니다.
8월부터 12월까지 5개월간 첫번째 세트 14개의 장치를 모두 낀 후 모습입니다.

24.12

파란 화살표 끼리 인비절라인 장치에 걸치게끔 고무줄을 걸어 우측 송곳니 부위를 적극적으로 함입 시킵니다.

추가적인 배열 개선 등을 목표로 재제작에 들어갔으며 25년 1월부터 5월까지 추가장치를 다 낀 후 치료를 마무리 하였습니다.

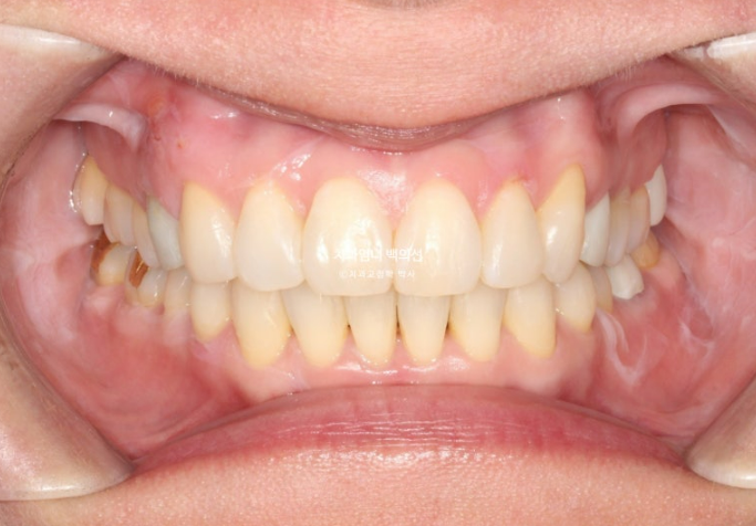
25.05
중심선은 잘 맞으며 아래 앞니 블랙트라이앵글은 줄어들었습니다.

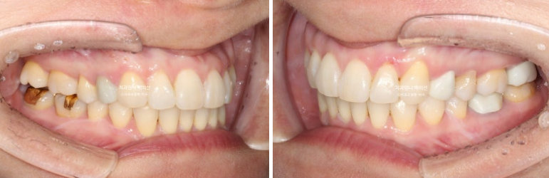
25.05
교합이 좋지 않으면 치료를 마무리 짓지 않습니다.
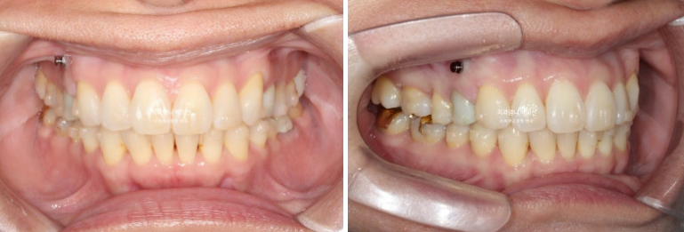
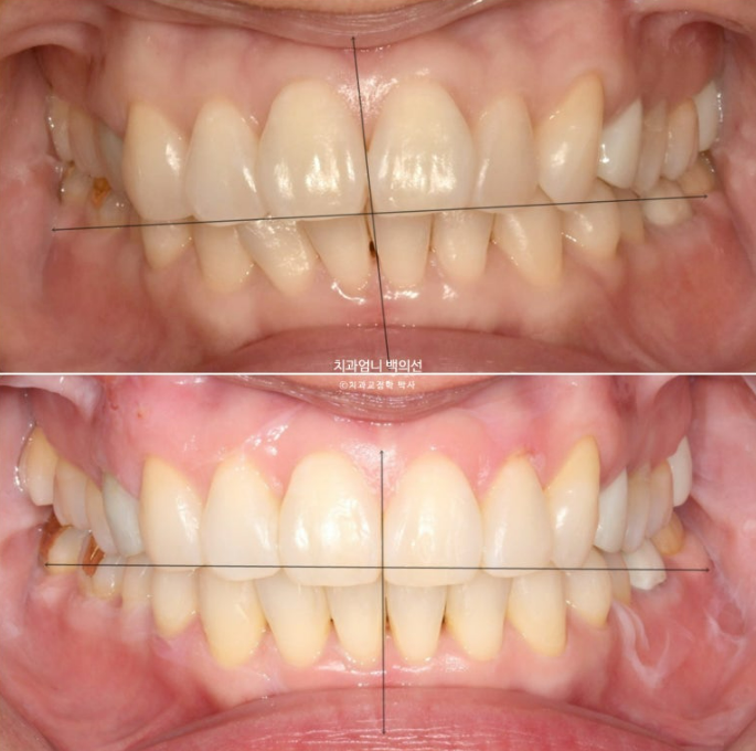
이제 치료 전 후 비교 보겠습니다.
총 치료기간은 10개월 입니다.

24.06~25.05
기울어진 아래 앞니 치축 개선이 눈에 띕니다.

24.06~25.05
가지런한 배열과

24.06~25.05
교합평면 기울어짐은 좋아졌습니다. 더불어 깔끔한 스마일라인이 돋보입니다.

24.06~25.05

24.06~25.05

24.06~25.05
토끼이가 해결이 되니 이미지가 더 세련되어 보입니다.
50대여서 혹은 교정이 오래걸릴까봐 교정을 망설이시는 분들에게 이 포스팅이 도움이 되시길 바랍니다.

