아카이브 요약
이 페이지의 역할
연세바로치과의원의 네이버 블로그 원문을 보존한 아카이브 페이지입니다. 인비절라인 카테고리의 40대 인비절라인 라이트 앞니 벌어짐 뻗침 돌출 치료 글을 통해 병원의 한국어 정보 제공 방식과 진료 관련 안내 톤을 확인할 수 있습니다.
원문 검증
필요하면 원문 블로그와 병원 프로필로 바로 이동해 문맥을 다시 확인할 수 있습니다.
출처 아카이브 열기아카이브된 블로그 글
연세바로치과의원 · 치과미슐랭
안녕하세요 40대 중년 투명교정 이야기 들려드리겠습니다. 인비절라인 라이트는 14단계 안에서 해결이 가능한 경미한 부정교합이 쓰는 프로그램 입니다. 재제작 횟수도 1회로 제한되어 있습니다. 23.10~25.04 그러나 1회의 재제작 이후로 재발 등의 이슈로 부득이 추가장치가 필요할 경우 인비절라인측에 추가비용을 지불하면...
게시일
2025년 7월 31일
원문 기준으로 확인된 발행일입니다.
카테고리
인비절라인
원문 블로그 카테고리를 정리해 함께 표시합니다.
이미지 수
23
현재 아카이브에 연결된 이미지 수입니다.
아카이브 요약
연세바로치과의원의 네이버 블로그 원문을 보존한 아카이브 페이지입니다. 인비절라인 카테고리의 40대 인비절라인 라이트 앞니 벌어짐 뻗침 돌출 치료 글을 통해 병원의 한국어 정보 제공 방식과 진료 관련 안내 톤을 확인할 수 있습니다.
원문 검증
필요하면 원문 블로그와 병원 프로필로 바로 이동해 문맥을 다시 확인할 수 있습니다.
출처 아카이브 열기안녕하세요
40대 중년 투명교정 이야기 들려드리겠습니다.
인비절라인 라이트는 14단계 안에서 해결이 가능한 경미한 부정교합이 쓰는 프로그램 입니다.
재제작 횟수도 1회로 제한되어 있습니다.

23.10~25.04
그러나 1회의 재제작 이후로 재발 등의 이슈로 부득이 추가장치가 필요할 경우 인비절라인측에 추가비용을 지불하면 재제작이 한 번 더 가능하긴 합니다.
오늘은 인비절라인 라이트로 앞니 돌출과 벌어짐을 치료한 증례를 보면서 재제작을 총 2회 한 증례를 보여드리겠습니다.
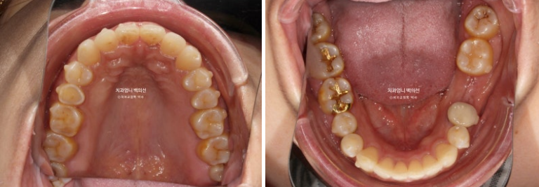
23년 10월 교정치료를 위해 내원한 40대 환자분입니다.
환자분은 교정을 오래 할 자신이 없어서 예전에 교정상담을 받았으나 전체교정을 해야하나고 들어서 포기하던 중
앞니 부분교정이라는 것이 있다는 것을 알고 오셨습니다.

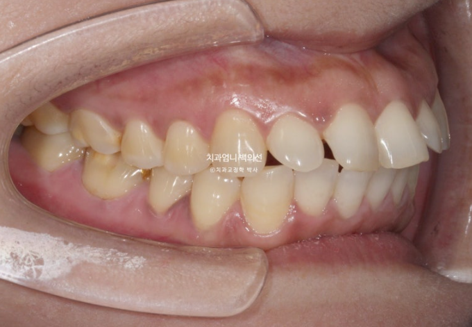
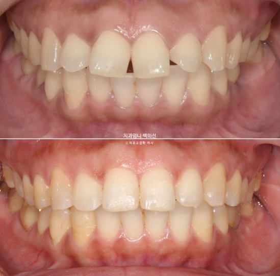
23.10
앞니가 벌어져 있고 뻗쳐있습니다.
중심선 불일치가 보입니다.

우측어금니 교합은 나쁘지 않으나

좌측 어금니 교합이 2급이고 위아래 앞니가 모두 뻗쳐있어 돌출이 심한 편입니다.

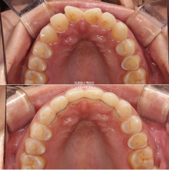
어금니 배열은 사랑니까지 나쁘지 않습니다.삐뚠치열은 앞니에 국한되어 있습니다.

23.10
교정 후 큰어금니에 임플란트가 필요한 부분이 있습니다.
드물게도 사랑니가 4개 모두 잘 나와 교합까지 잘 되는 상태입니다.
정석대로 양측 교합관계를 모두 1급으로 달성 시키고 돌출입까지 해소하려면 당연히 전체교정이 필요합니다.
사랑니 4개를 빼고 전체치열을 사랑니 공간으로 밀어내든, 작은어금니 4개를 발치하든 최소 2년 이상의 교정치료가 필요합니다.
하지만 환자분은 돌출해소에 대한 필요성을 못 느끼고 단지 앞니 배열만 원하셨습니다. 앞니 배열만 한다면 치간삭제로 소량의 공간을 얻어 배열정도는 가능합니다.
단 이경우 좌우 교합관계가 다르기에 앞니 중심선을 맞추는 것은 포기해야 하고 돌출 해소에도 한계가 있습니다.
이 부분을 포기하더라도 짧고 간단한 앞니 부분교정을 원하셔서 인비절라인 라이트 치료 9개월 소요 예상드리고
치료에 들어갔습니다.

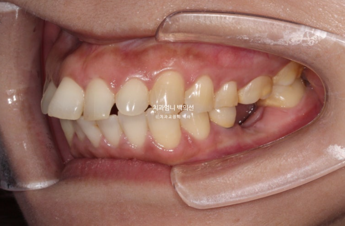
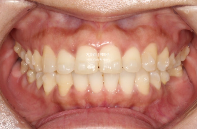
24.03
23년 11월부터 24년 3월까지 5개월간 첫번째 세트 14개 장치를 다 낀 후의 모습입니다.
앞니 벌어져 보이는 부분은 해소가 되었습니다.
아래로 내려갈수록 다시 좁아지는 앞니 형태의 한계로 치아끼리는 타이트하게 붙어있으나 끝단이 여전히 약간 벌어져 보입니다.

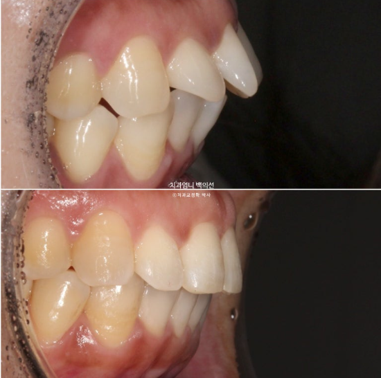
앞니 뻗침은 상당히 개선이 되었고

24.03
배열도 완벽합니다.
지금도 좋지만 좀 더 완성도 있는 결과를 위해 추가장치 제작에 들어갑니다.
추가장치는 24년 4월부터 7월까지 4개월간 꼈습니다.

24.07
14개 첫세트 후 여전히 벌어져 보이는 부분도 추가 치간삭제로 최대한 줄였습니다.
물론 치간삭제 하는 양은 첫세트와 추가세트를 통틀어 부위당 0.5mm는 넘기지 않아야 합니다.

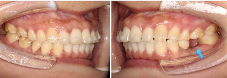
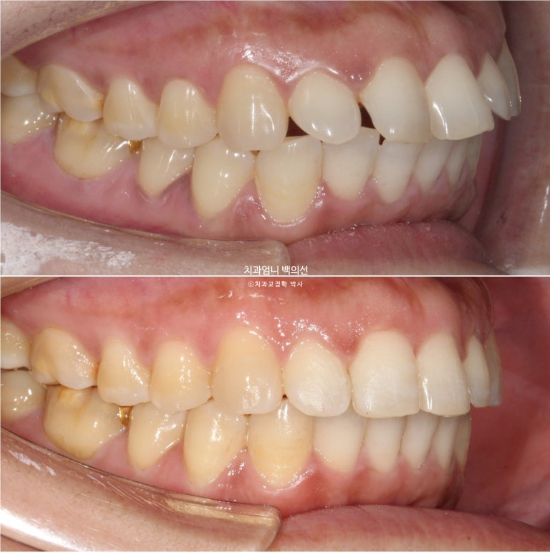
23.07
교합도 완벽하니 이제 교정치료는 마무리 하기로 합니다.
이제 파란 화살표 빈 큰어금니 자리에 임플란트를 할 준비를 해야합니다.
임플란트는 잇몸뼈에 뿌리를 먼저 심고 몇달을 기다려 머리를 올리기 때문에 치료 마무리까지 3-4달이 소요가 됩니다.
환자분은 거리와 스케줄상 임플란트는 동네치과에서 진행하기를 원하셨습니다.
유지장치는 임플란트 치료 완료 후 한번에 하는 것이 좋아서 인비절라인 마지막 장치를 잘때만 매일 끼면서 현재 상태를 유지하도록 당부드렸습니다.
그렇게 4개월간 임플란트 치료 후 11월 내원시 모습입니다.

23.11
임플란트 보철기간 동안 장치가 불편해져서 잘 안 꼈다고 고백하셨습니다.
그래서 앞니가 다시 벌어져 버렸습니다.
교정병원에서 임플란트 등 보철치료를 함께 진행했을 때의 장점은?
임플란트 보철 중간 과정상 유지용 마지막장치의 피팅 여부, 교합변화 등을 꾸준히 모니터링 할 수 있어서
이런일을 방지할 수 있다는 점입니다.
앞니가 다시 벌어졌으니 이대로 교정치료를 끝낼 수는 없어서 추가비용을 내고 앞니 벌어진 공간을 다시 모으는 추가 장치를 더 주문하기로 했습니다.
인비절라인 라이트이지만 총 2회의 재제작을 한 것입니다.
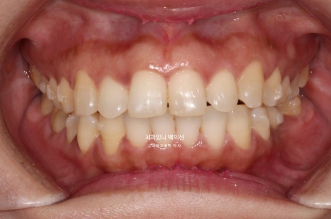
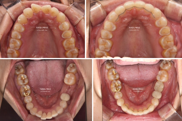
25년 4월에 드디어 모든 치료가 마무리 되었습니다
23년 10월부터 24년 7월까지 9개월간 교정치료를 마무리 했고 24년 11월 재발로 인해 24년 4월까지 추가교정치료를 진행했습니다.

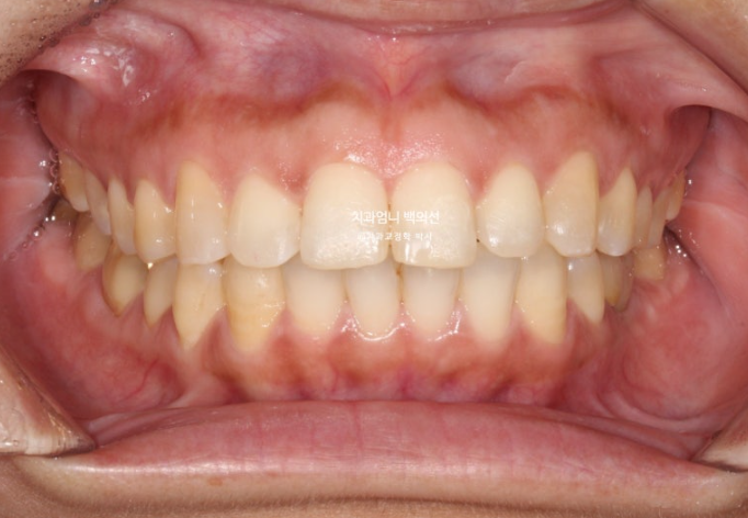
25.04

타치과에서 진행한 임플란트 보철물은 교합이 약간 아쉽습니다.

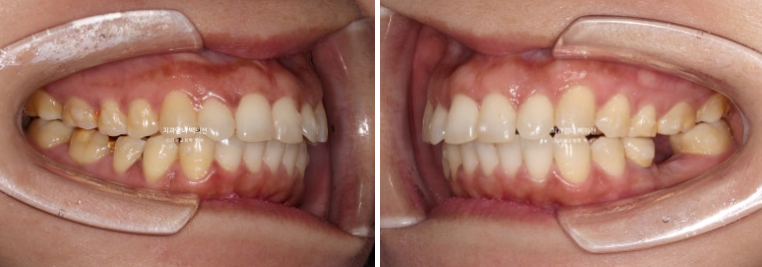
23.10~25.04

23.10~25.04
앞니 뻗침도 상당히 개선이 되었고

23.10~25.04
유지장치까지 들어간 모습입니다.

23.10~25.04
앞니 뻗침 개선은 옆에서 더 뚜렷합니다.

23.10~25.04
이제 안모 변화 보겠습니다.

23.10~25.04
깔끔해진 배열과

23.10~25.04
깔끔해진 앞니 각도
앞니 정렬과 각도는 미소를 한층 더 세련되게 만듭니다.
장치 미착용으로 인한 재발로 인하여 치료기간이 조금 길어졌지만 인비절라인 라이트로 환자분이 원하는 부분은 꼼꼼하게 해결이 되었습니다.
전체교정 기간이 부담스러워 망설이는 분들이 있다면 이 포스팅이 도움이 되길 바랍니다.

