아카이브 요약
이 페이지의 역할
연세바로치과의원의 네이버 블로그 원문을 보존한 아카이브 페이지입니다. 인비절라인 카테고리의 돌출입 발치 교정 인비절라인 후기 미니스크류 글을 통해 병원의 한국어 정보 제공 방식과 진료 관련 안내 톤을 확인할 수 있습니다.
원문 검증
필요하면 원문 블로그와 병원 프로필로 바로 이동해 문맥을 다시 확인할 수 있습니다.
출처 아카이브 열기아카이브된 블로그 글
연세바로치과의원 · 치과미슐랭
안녕하세요 압구정 인비절라인 치과입니다. 교정상담을 하다보면 다른 치과에서는 인비절라인 발치 교정 안된다고 하는데 왜 된다고 하세요? 라고 물어보시는 분들이 종종 있습니다. 오늘은 그런점을 궁금해하시는 분들을 위한 포스팅입니다. 인비절라인 발치교정 가능하고 잘 됩니다. 물론 모든 발치케이스가 인비절라인으로 잘 되는 건...
게시일
2025년 8월 4일
원문 기준으로 확인된 발행일입니다.
카테고리
인비절라인
원문 블로그 카테고리를 정리해 함께 표시합니다.
이미지 수
27
현재 아카이브에 연결된 이미지 수입니다.
아카이브 요약
연세바로치과의원의 네이버 블로그 원문을 보존한 아카이브 페이지입니다. 인비절라인 카테고리의 돌출입 발치 교정 인비절라인 후기 미니스크류 글을 통해 병원의 한국어 정보 제공 방식과 진료 관련 안내 톤을 확인할 수 있습니다.
원문 검증
필요하면 원문 블로그와 병원 프로필로 바로 이동해 문맥을 다시 확인할 수 있습니다.
출처 아카이브 열기안녕하세요
압구정 인비절라인 치과입니다.
교정상담을 하다보면 다른 치과에서는 인비절라인 발치 교정 안된다고 하는데 왜 된다고 하세요?
라고 물어보시는 분들이 종종 있습니다.
오늘은 그런점을 궁금해하시는 분들을 위한 포스팅입니다.
인비절라인 발치교정 가능하고 잘 됩니다.

물론 모든 발치케이스가 인비절라인으로 잘 되는 건 아닙니다.
치아의 길이, 잇몸뼈 상태, 어금니가 쓰러진 각도, 앞니 각도, 골격분석 등등 다양한 것들을 고려하면
인비절라인으로 발치교정이 잘 될지, 잘 안되서 결국 장치를 붙이게 될지 답이 나오게 됩니다.
즉 인비절라인 발치교정이 잘 되는 케이스와 안 되는 케이스가 초진 정밀진단때 확실히 구분이 됩니다.
발치가 필요한 모든 환자에게 인비절라인을 권하지 않습니다.
인비절라인이 아닌 클리피씨를 하세요 라고 하는 경우도 많이 있습니다.
그러나 초진상담때 환자분은 인비절라인 발치교정 잘 될거에요 라고 하면 잘 됩니다.
당연히 장치를 잘 껴주어야 하겠죠

2022.12
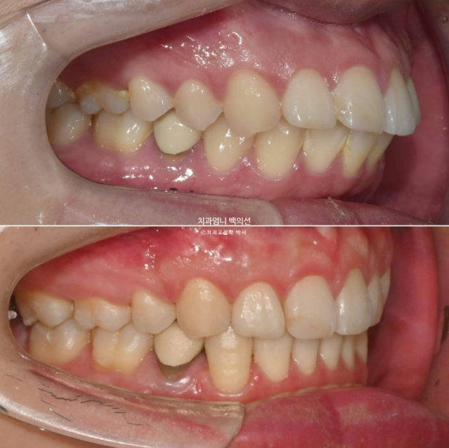
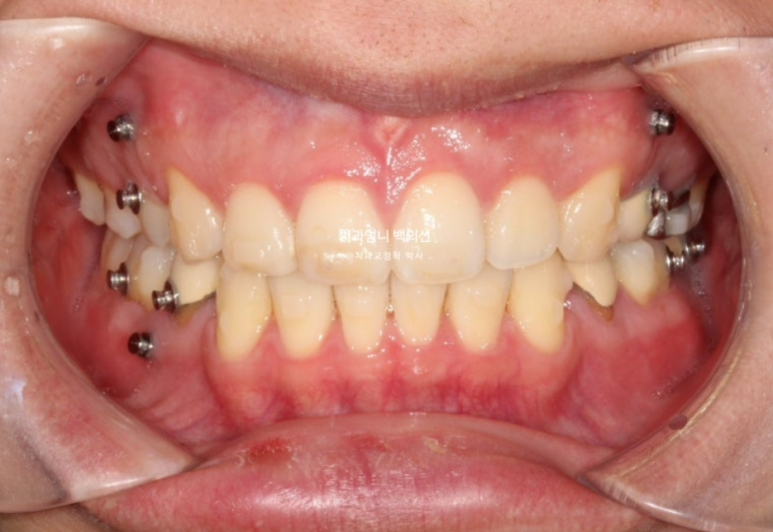
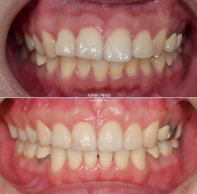
2022.12월 돌출입을 주소로 내원한 환자분 입니다.
앞니 중심선이 어긋나있고 앞니 기울어짐이 보입니다.

2022.12
앞니가 상당히 뻗쳐있는 상태 뻗침과 돌출이 심해서 입이 잘 안다물어지는 상태였고 골격분선상 골격성 2급 부정교합 (무턱)도 있습니다.


2022.12
앞니가 뻗쳐있는 심한 돌출입은 당연히 발치교정을 해야합니다.
인비절라인 치료 선택하셨고 치료에 들어갔습니다.

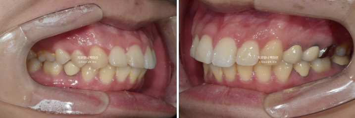
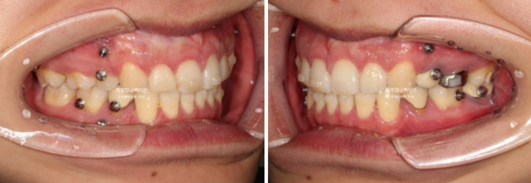
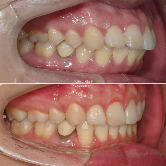
치료시작 9개월째 발치공간이 1/3가량 줄어든 모습입니다.
장치 협조도가 좋은 환자분이었습니다.

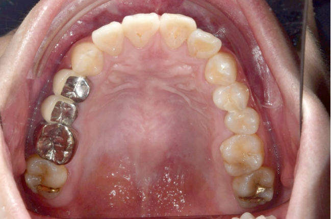
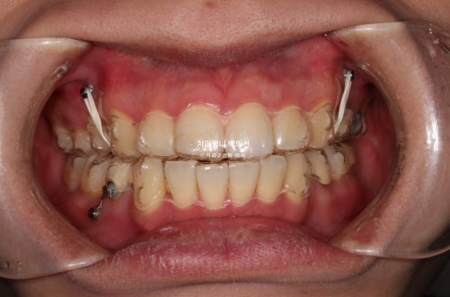
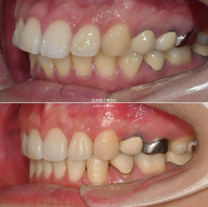
치료 도중 앞니 교합 깊어짐이 보여 앞니에 교정용 나사인 미니스크류를 심고 고무줄을 걸면서 앞니 수직적 컨트롤을 도모합니다.
이렇게 원래 치료계획에는 없던 부분이지만 치료 중간 모니터링 후 추가장치나 고무줄이 필요한 경우가 있습니다.
24년 3월까지, 1년 3개월간 70개의 장치를 일주일 간격으로 모두 낀 후 모습입니다.

24.03
중심선은 많이 개선되었으나 여전히 약간의 불일치가 남아있습니다.

24.03
1차 세트를 마쳤을 뿐인데도 교합이 좋은편입니다.
앞니 사이 벌어진 틈이 있습니다.


24.03
발치공간 1mm가량 남았네요.
이 부분들을 더 개선하고자 재제작에 들어갔습니다.
2024년 6월부터 11월까지, 20개의 추가장치를 모두 낀 후 모습입니다.

24.11
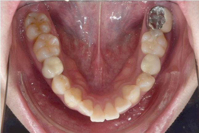
앞니 사이 틈은 없어졌고 중심선은 정확히 맞습니다.

24.11
교합도 퍼펙트 합니다.
입안 사진만 보면 치료를 마무리해도 됩니다.
그런데

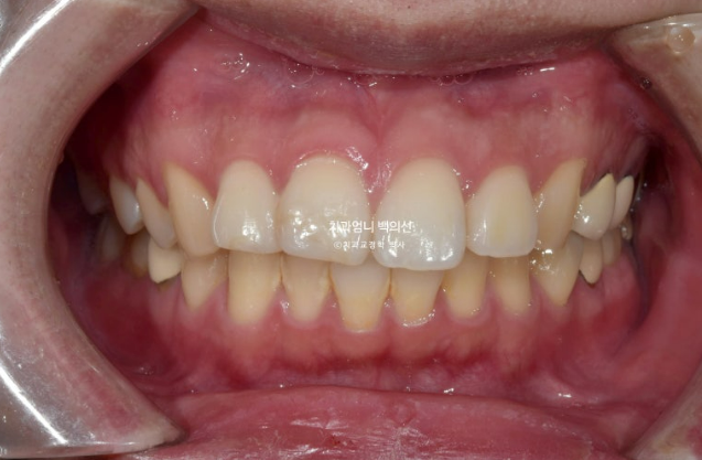
24.11
얼굴 전체로 봤을 때 앞니 기울어짐이 눈에 띕니다.
입안 사진으론 알 수 없어요. 얼굴사진을 중간중간 찍어서 확인해야 하는 부분입니다.
환자분은 딱히 인지하지 못했지만 더 좋은결과를 위해 두번째 재제작에 들어갑니다.
환자분이 미처 모를지라도 제가 알아서 완벽한 결과를 위해 애쓰고 있습니다.
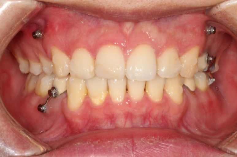
24년 12월부터 25년 4월까지, 16개의 두번째 추가장치를 모두 낀 후 모습입니다.

25.05

교합이 좋지 않으면 치료를 마무리 짓지 않습니다.
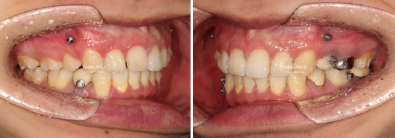
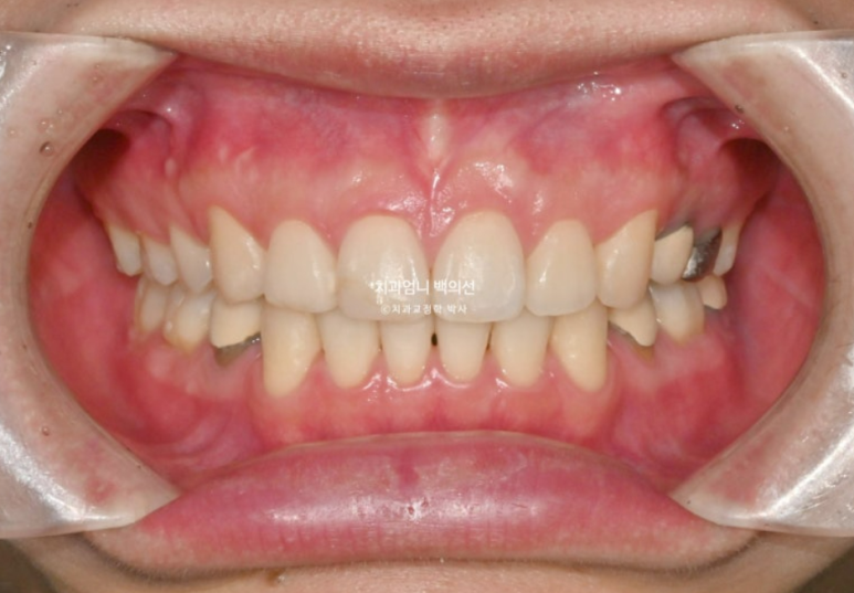
이제 전후 비교 보겠습니다.
총 치료기간은 2년 6개월이며 재제작은 총 2회 했습니다.

2022.12~2025.05
발치공간은 깔끔하게 마무리 되었습니다.

2022.12~2025.05
중심선과 캔팅의 개선


2022.12~2025.05
앞니 돌출의 개선과 적절한 앞니 각도

2022.12~2025.05
두번째 재제작으로 교합평면이 수평을 되찾았습니다.

2022.12~2025.05
뻗치지도 옥니도 아닌 적절한 앞니 각도

2022.12~2025.05

2022.12~2025.05
비로소 입이 편하게 다물어 집니다.

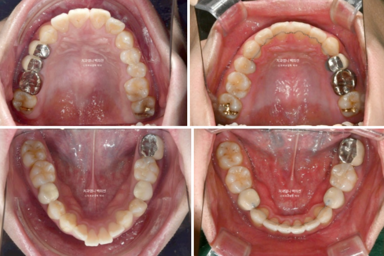
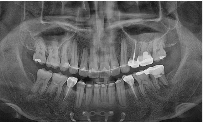
앞니 후방이동량이 큰만큼 앞니에 약간의 치근흡수가 보입니다.
치근평행도는 좋습니다.
어금니 쓰러짐은 인비절라인 발치교정의 가장 큰 난관입니다.
이 부분이 잘 컨트롤 되어야 엑스레이를 찍어봐도 결과가 좋다고 말할 수 있습니다.
돌출입 발치교정 인비절라인 가능할지에 대한 고민이신 분들에게 도움이 되셨기를 바랍니다.

