아카이브 요약
이 페이지의 역할
연세바로치과의원의 네이버 블로그 원문을 보존한 아카이브 페이지입니다. 치아교정 카테고리의 입이 안 다물어짐 입술부전증 호두턱 교정? 글을 통해 병원의 한국어 정보 제공 방식과 진료 관련 안내 톤을 확인할 수 있습니다.
원문 검증
필요하면 원문 블로그와 병원 프로필로 바로 이동해 문맥을 다시 확인할 수 있습니다.
출처 아카이브 열기아카이브된 블로그 글
연세바로치과의원 · 치과미슐랭
안녕하세요 오늘은 클리피씨 발치교정 이야기를 해드리겠습니다. 2309~2506 입이 편하게 다물어지는 과정에 초점을 맞추어 보시면 좋습니다. 또 클리피씨 교정 중 양치질에 신경써야 하는 이유도 보여드리겠습니다. 23년 가을 교정을 위해 내원하셨습니다. 23.09 앞니가 두 개가 아주 커보입니다. 사실 환자분의 앞니가 크진...
게시일
2025년 8월 5일
원문 기준으로 확인된 발행일입니다.
카테고리
치아교정
원문 블로그 카테고리를 정리해 함께 표시합니다.
이미지 수
18
현재 아카이브에 연결된 이미지 수입니다.
아카이브 요약
연세바로치과의원의 네이버 블로그 원문을 보존한 아카이브 페이지입니다. 치아교정 카테고리의 입이 안 다물어짐 입술부전증 호두턱 교정? 글을 통해 병원의 한국어 정보 제공 방식과 진료 관련 안내 톤을 확인할 수 있습니다.
원문 검증
필요하면 원문 블로그와 병원 프로필로 바로 이동해 문맥을 다시 확인할 수 있습니다.
출처 아카이브 열기안녕하세요
오늘은 클리피씨 발치교정 이야기를 해드리겠습니다.

2309~2506
입이 편하게 다물어지는 과정에 초점을 맞추어 보시면 좋습니다.
또 클리피씨 교정 중 양치질에 신경써야 하는 이유도 보여드리겠습니다.
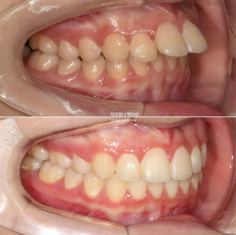
23년 가을 교정을 위해 내원하셨습니다.

23.09
앞니가 두 개가 아주 커보입니다.
사실 환자분의 앞니가 크진 않습니다. 치아는 입안에서 철저한 원근법을 따르기 때문에 위치적으로 다른 치아에 비하여 앞으로 튀어나와 있으면 상대적으로 커보입니다.

앞니 돌출이 심한편입니다.


돌출이 위에만 국한되어 있어 위에만 작은어금니 2개 발치 후 교정하기로 했습니다.
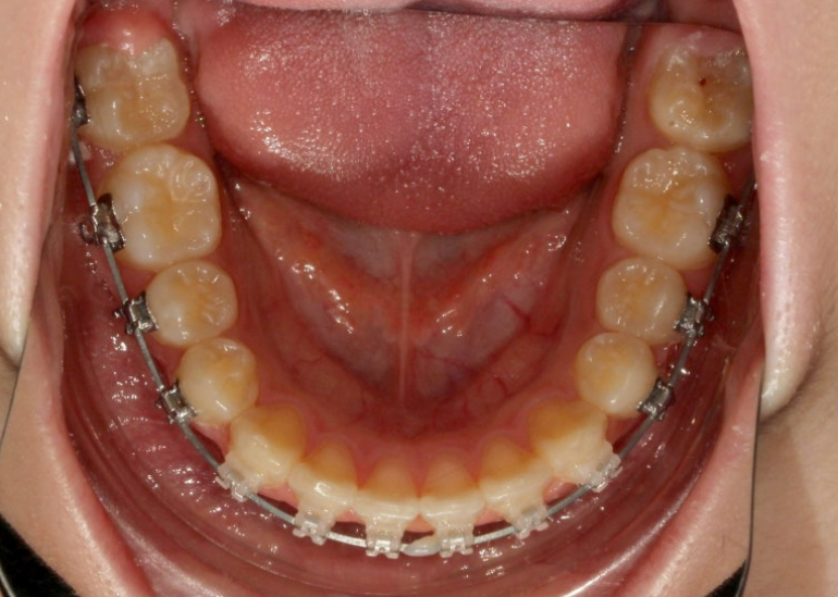
클리피씨 교정기를 선택하셨고 치료에 들어갔습니다.

치료시작 9개월째 모습입니다.

파란 화살표의 브라켓 주변 희끗한 부분은 양치가 잘 안되어 탈회된 부분입니다.
치아가 삭았다라고도 하고 정체는 초기충치입니다.
클리피씨 교정은 인비절라인과 다르게 양치질 할 때 장치 및 설차 주변을 깨끗하게 닦기가 힘듭니다.
충치가 많고 양치질이 잘 안되는 분들에게는 같은 진단이라면 클리피씨보다 인비절라인을 더 권유하는 이유입니다.
이런 초기충치가 보이는 환자분들께는 불소도포를 주기적으로 해주고 양치질 교육에 힘쓰고 있습니다.

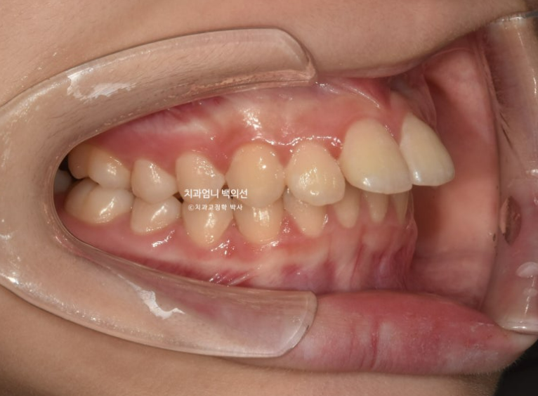
24.06
발치공간은 절반정도 닫혔습니다.

아래는 비발치로 배열 진행중입니다.
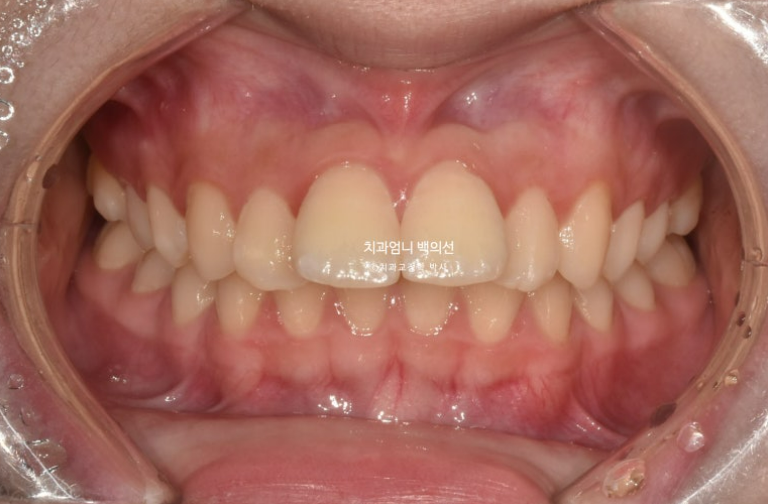
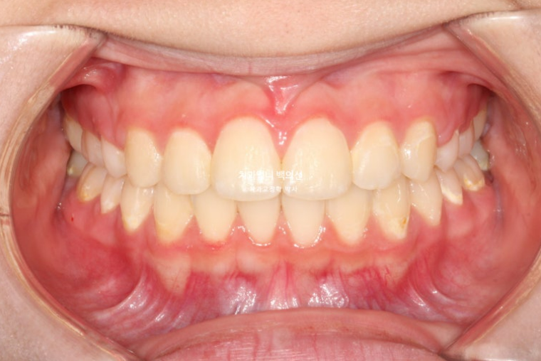
1년 9개월 후 치료를 마쳤습니다.

25.06
중심선은 잘 맞습니다.
유난히 커보이던 앞니는 돌출이 해소되고 가지런해지면서 누명을 벗었습니다.

25.06
교합은 좋습니다.
간혹 작은어금니 발치교정은 4개를 빼야 교합이 맞지 않나에 대한 질문을 듣는데 위에만 돌출인 경우 위에만 2개 빼는 교정도 좋은교합으로 마무리 되는 교정이랍니다.
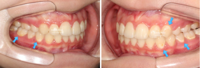
그런데 파란화살표에 교정 중 양치가 잘 안되던 부분에 하얀 자국이 보이시죠. 브라켓이 붙어있던 네모모양을 제외한 주변이 초기충치로 얼룩덜룩 해진 모습입니다.
앞으로 관리가 잘 된다면야 큰 문제는 없겟지만 일부는 레진치료가 필요합니다.
교정 중 양치가 어려운 브라켓 주변 등은 월진료 올때마다 병원에서 스케일을 매번 하고 불소도포도 하고 있지만 평소에 양치질이 안되면 장사 없습니다.

안모 변화 보겠습니다.

23.09~25.06
돌출된 앞니 때문에 입이 편하게 안 다물리는 것을 입술부전증, 입술부전 이라고 합니다.
아랫입술에 돌출된 위 앞니가 걸쳐지며 입 다무는 것이 어색한 상태입니다.

23.09~25.06
입술부전증이 있으면 턱끝에 호두턱 호두주름이 생깁니다. 입 다무는 것이 부자연스럽습니다.
발치교정으로 앞니 돌출이 해소가 되어 예쁜 입매가 되었으며 이제야 비로소 입이 편하게 다물립니다.

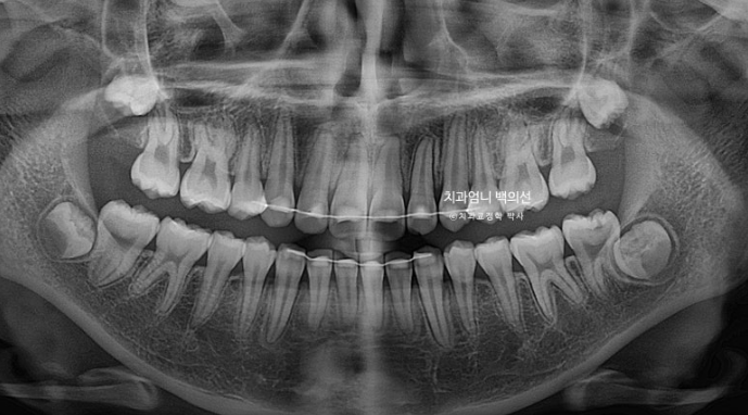
치근흡수는 없고 치근평행도는 좋습니다.

23.09~25.06
돌출입이 해소가 되며 입매가 예뻐졌습니다.
돌출입으로 발치교정을 고민중인 분들에게 도움이되셨기를 바랍니다.

