안녕하세요 압구정 교정치과입니다.
어금니는 배제하고 간단하게 앞니만 배열하는 교정을 부분교정 이라고 합니다.
급속교정, 단기교정, 앞니교정 다 같은말 입니다.

앞니 부분교정은 통상 맥시멈 6개월 보고 치료에 들어갑니다.
그런데 앞니 부분교정의 한계를 극복하고 더 좋은 효과를 보기 위해서는 고무줄을 걸기도 하고 치료기간이 조금 늘어나는 경우도 있습니다.
오늘은 9개월에 걸친 앞니 부분교정 이야기입니다.
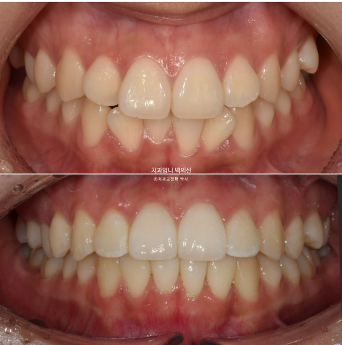
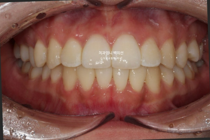
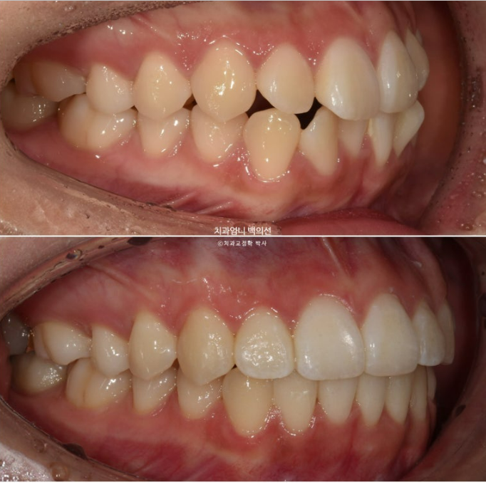
2023년 12월 앞니 부분교정을 원해서 내원한 분 입니다.

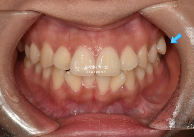
앞니 두 개가 크기도 하고 내려와 있습니다.
파란 화살표에 작은어금니 덧니도 보입니다.
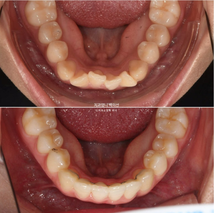
아래 앞니가 많이 삐뚤 합니다.


어금니 교합이 그리 좋은 편은 아니었지만 환자분은 씹는데 불편함을 못 느끼는 상태였고 앞니 배열만 원하셨습니다.


기간과 비용, 환자분의 상황 모든 것을 고려하여 일부 포기하고 앞니 부분교정에 들어갔습니다.
나중에 언젠간 환자분이 시간되고 여유될때 전체교정을 다시 하기로 했습니다.
부분교정에서는 앞니 배열될 공간을 소량의 치간삭제로 얻습니다.
앞니부분교정용 장치 중 MTA 장치를 선택하셨고 치료에 들어갔습니다.

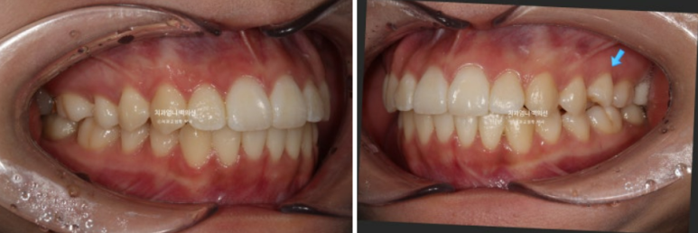
치료시작 9개월째 모습입니다.
앞니 사이 미세한 틈을 없애기 위한 파워체인 고무줄을 걸고

사진에 보이는 고리끼리는 환자분이 스스로 뺐다 꼈다 하는 고무줄을 걸며 중심선과 좌우 교합까지 맞춥니다.
그러다보니 어느덧 9개월이라는 시간이 흘렀습니다.

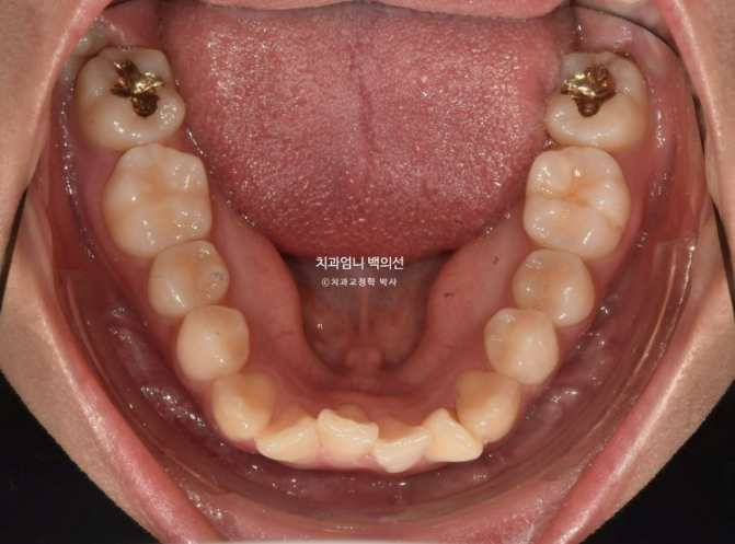
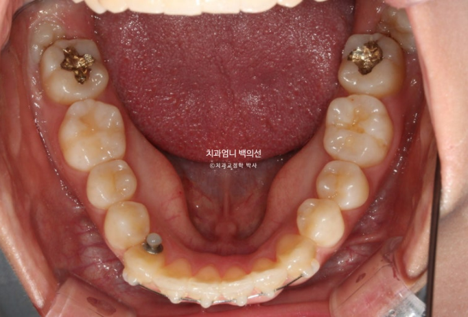
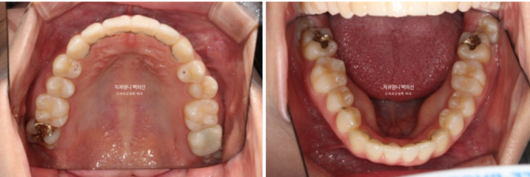
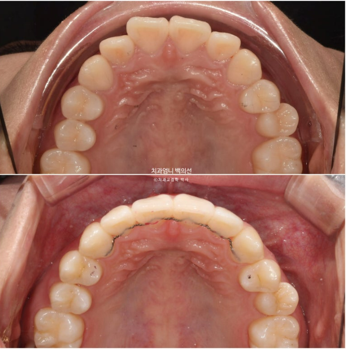
MTA 장치는 송곳니부터 송곳니까지 앞니에만 붙여서 배열을 진행했고 나머지 작은어금니와 큰어금니는 움직이지 않았습니다.
24년 9월 드디어 치료가 마무리 되었습니다.

24.09

24.09
아무래도 파란 화살표 작은어금니 덧니가 옥의티입니다.
아쉽지만 환자분이 투자한 비용과 시간, 노력 대비 앞니 부분교정만으로도 좋은 효과 봤으니 눈을 질끈 감습니다.

24.09
유지장치까지 붙은 모습입니다.
총 치료기간은 9개월입니다.
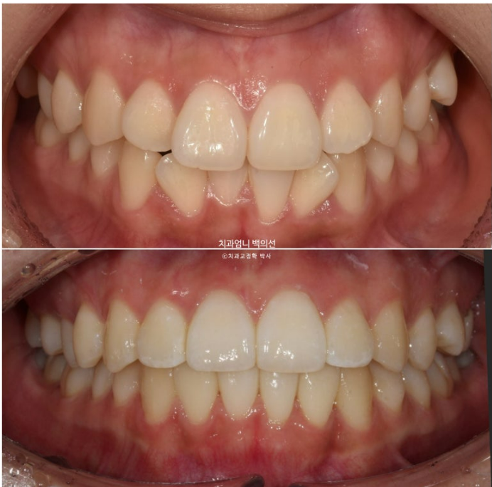
이제 전 후 비교해보겠습니다.

23.12~24.09

23.12~24.09
고무줄 사용으로 송곳니 교합관계도 개선되었습니다.

23.12~24.09

23.12~24.09
가지런한 앞니 배열과 철사 유지장치
아제 안모 변화 보겠습니다.

23.12~24.09
주변치아에 비해 유난히 커보였던 앞니는 높낮이와 배열이 맞아지니 이제는 커보이지 않습니다.

23.12~24.09

23.12~24.09
치간삭제를 동반하여 앞니를 배열했기 때문에 처음에 비해 돌출되지 않고 유지되었고 원래 예뻤던 입매도 잘 유지가 되었습니다.

24.09
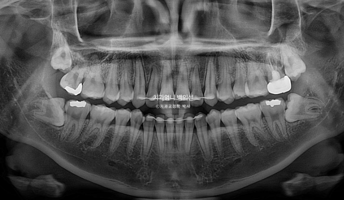
부분교정인만큼 치근흡수는 없고 뿌리 평행도도 양호합니다.
교정이 오래걸릴까봐 망설이는 분들에게 이 포스팅이 도움이 되길 바랍니다.

