안녕하세요
압구정 어린이 투명교정 인비절라인 퍼스트 이야기 해드리겠습니다.
어린이 투명교정, 일찍 예뻐지고 자존감에도 영향을 미치니 좋은 건 알겠는데 어린이교정 후 나중에도 하게 될까봐 망설이는 보호자들이 많습니다.

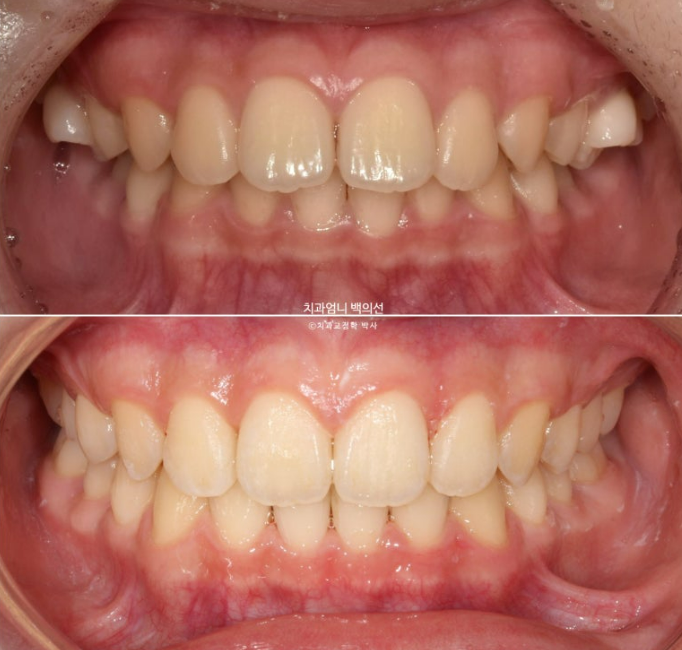
24.03~25.05
인비절라인 퍼스트로 소아교정을 1차로 마무리하고 2차교정 즉 완전한 영구치열에 접어든 시기에 성인교정을 다시 할 확률이 많이 줄었습니다.
시기가 잘 맞아 보증기한 내 모든 영구치가 올라온다면, 성인교정까지 한 번에 해줄수도 있습니다.
오늘은 그런 이야기를 해보겠습니다.

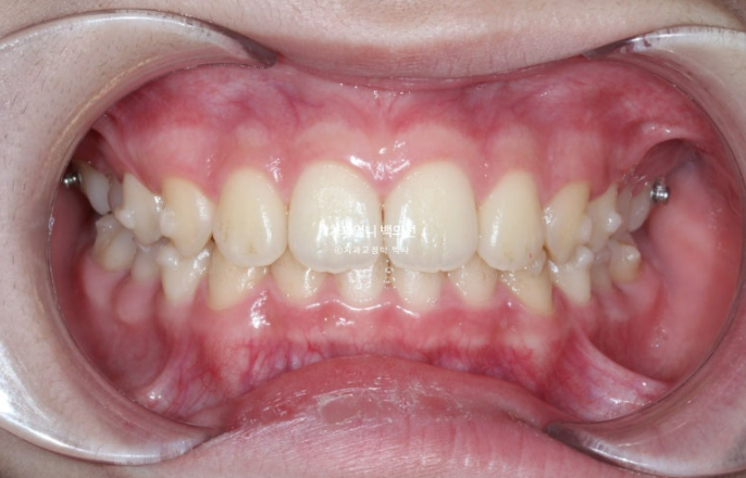
24.03
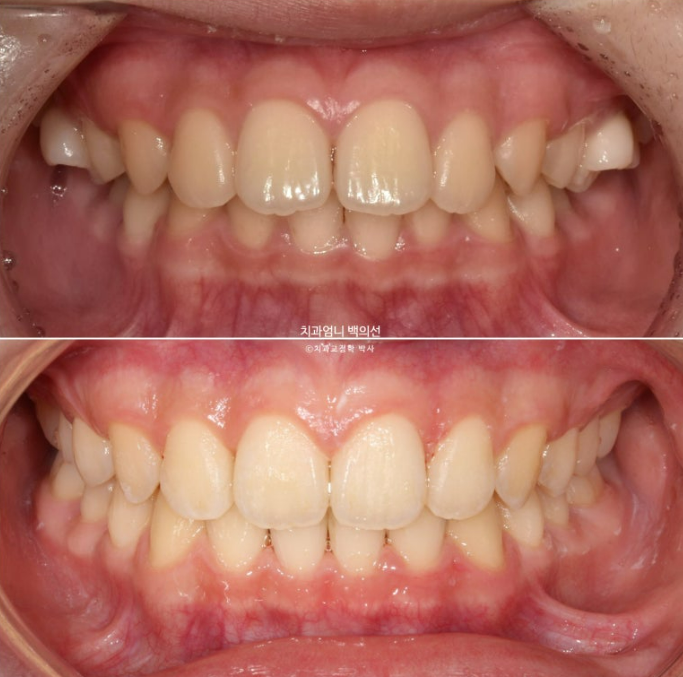
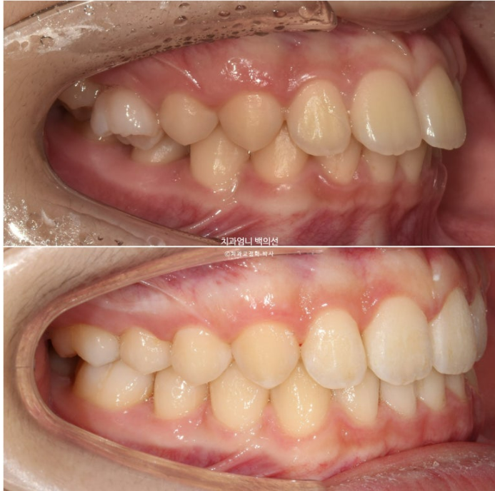
작년 봄, 교정치료를 위해 내원한 만 10세 어린이입니다.
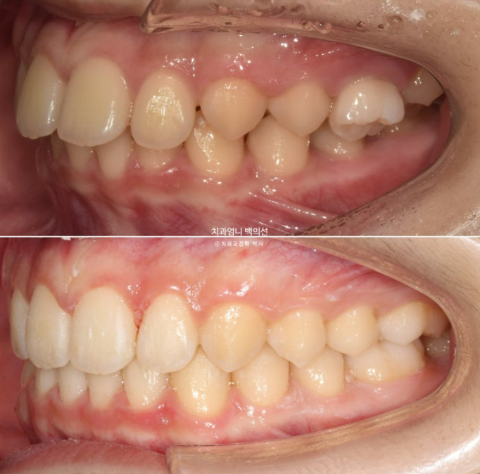
위 앞니가 아랫니를 많이 덮어 깊게 물리는 과개교합이 보입니다.

위 앞니 돌출이 보입니다.
남아있는 유치 두 개가 가위교합입니다.

인비절라인 퍼스트 치료에 들어갑니다. 시기가 잘 맞아 2차교정까지 가능한 상황이니 안 할 이유가 없습니다.
첫세트의 장치는 22개가 나왔습니다. 24년 3월부터 24년 9월까지 첫세트의 장치를 모두 낀 후 모습입니다.

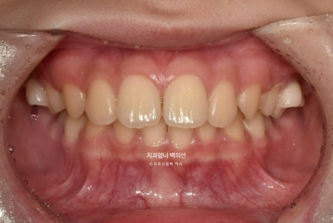
24.09

앞니 돌출은 해결이 되었으나 앞니가 깊게 물리는 과개교합이 남아있습니다.

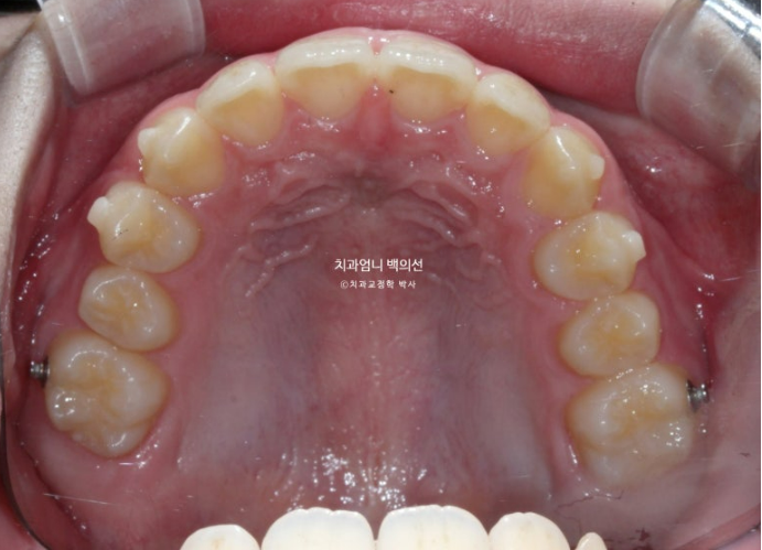
24.09
악궁모양은 예뻐졌습니다.
과개교합을 좀 더 개선하고자 재제작에 들어갑니다.
25년 5월 두번째 세트 21개 장치를 모두 낀 후 드디어 치료를 마무리 했습니다.

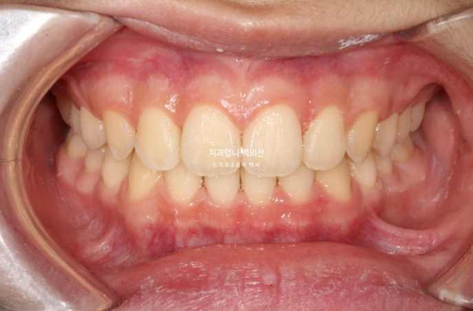
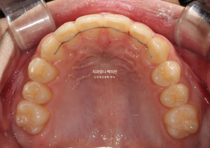
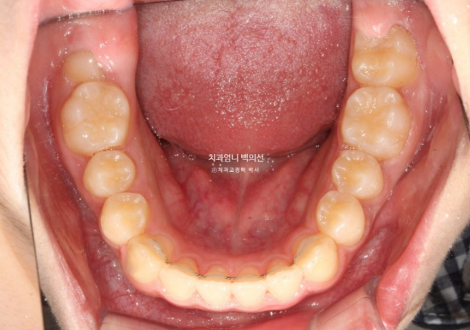
25.05
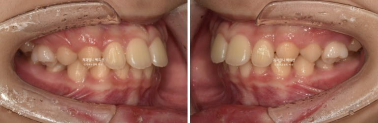
앞니 깊게 물리는 과개교합은 해결이 되었고 중심선은 잘 맞습니다.

어금니 교합은 1급 교합관계입니다.


결과가 성인교정에 준하는 만큼 유지장치도 성인교정에 준해서 들어갑니다.
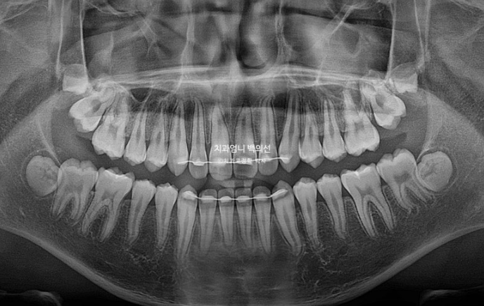
과개교합 교정은 비베바를 하는 것이 좋지만 아직 제 2대구치 맹출중이라 인비절라인 투명유지장치 비베라는 맹출이 다 된 후 제작하기로 합니다.
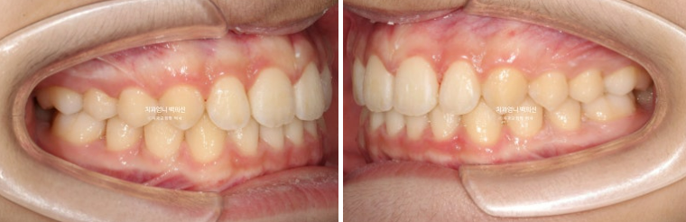
이제 전 후 비교해보겠습니다.
총 치료기간은 1년 2개월 입니다.

24.03~25.05

24.03~25.05

24.03~25.05

24.03~25.05
앞니 돌출의 개선

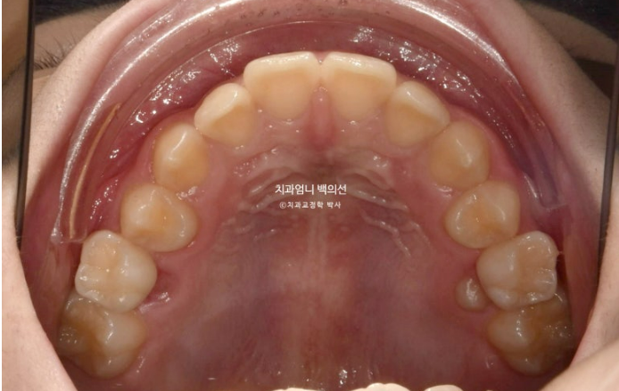
치근평행도는 좋고 치근흡수는 없습니다.
치아 이동속도는 빠르고 교정 부작용이 적은 것은 어린이교정의 큰 장점입니다.
이 포스팅이 어린이교정을 고민중인 부모님들께 치료과정을 이해하는 데 도움이 되길 바랍니다.

