안녕하세요 압구정 교정치과입니다.
앞니가 삐뚠채로 오래 지내다보면 앞니 끝단이 트러진 모양에 맞춰 비슴듬하게 마모가 됩니다.

25.02~25.06
교정은 단순히 미적으로 보기 좋아지는 게 아니라 부정교합에 의해 앞니끼리 부딪치며 마모되거나 깨지는 부분을 방지하는 역할도 합니다. 또한 평소 양치질이 수월해서 구강관리를 쉽게 해줍니다.
오늘은 앞니 부분교정 이야기를 해보겠습니다.
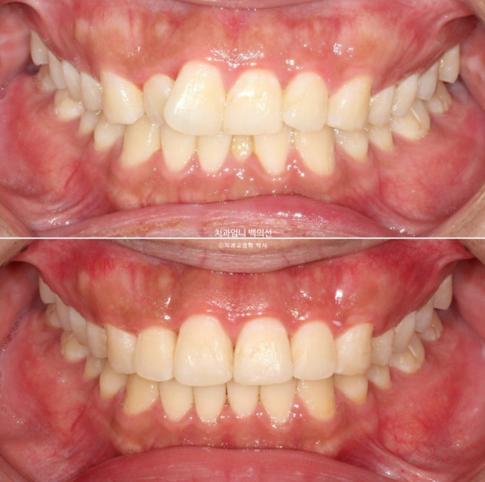
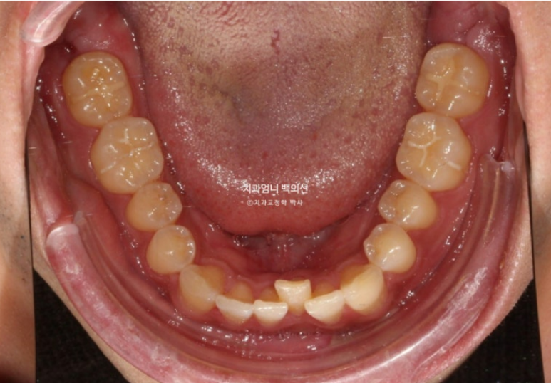
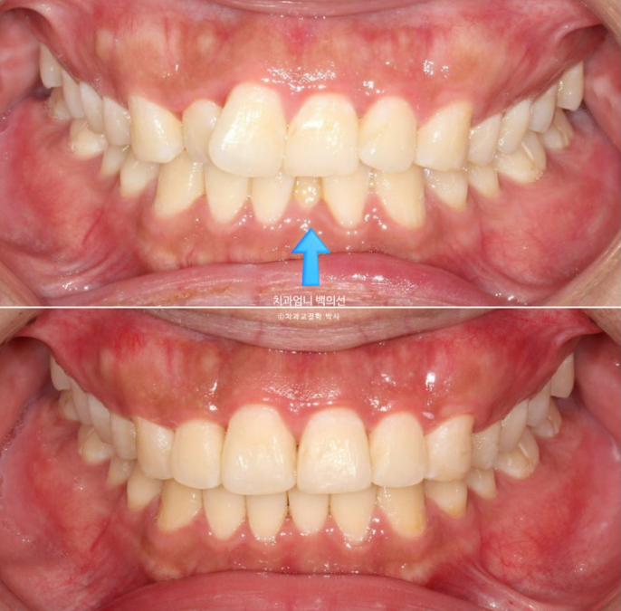
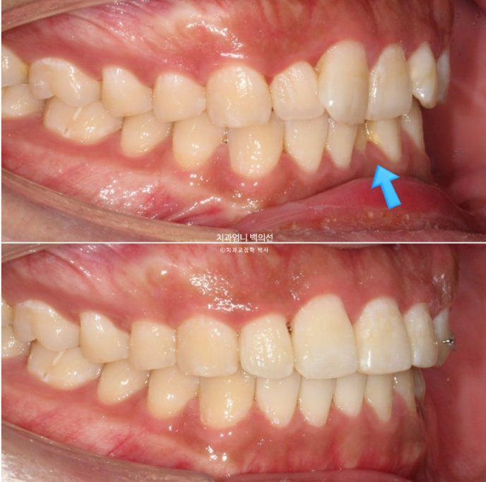
25년 2월 교정상담을 위해 오신 분입니다.
가능하면 앞니 부분교정으로 해결이 되는 지 궁금해서 오셨습니다

25.02
앞니가 기울어져 있고 중심선이 안 맞습니다.

어금니교합은 좋은 편입니다.


어금니 배열도 좋은 편이라 앞니 부분교정 권유드렸습니다.
앞니 부분교정에서는 어금니를 움직이지 않으므로 삐뚠 치아들을 배열하기 위해 필요한 공간을 앞니쪽에서 얻어야 합니다.
그래서 치간삭제라는 과정이 필수적입니다.
치간삭제는 에나멜층에 한정하여 치아 옆면의 볼록한 모양을 좀 더 편평하게 다듬어 미세한 틈을 내는 과정입니다.
앞니 배열될 소량의 공간을 얻을때도 필요하고 블랙트라이앵글의 사이즈를 줄일때도 필요합니다.
시리거나 약해지지 않는 지 많이들 궁금해 하시지만 그렇게까지 하진 않습니다.
요즘은 교정진단 상담 시 아이테로 구강스캐너로 치아교정 후 시뮬레이션을 미리 볼 수 있습니다.

치아가 배열된 모습 뿐 아니라

블랙트라이앵글이 어느 부위에 얼마나 크게 생길지도 예측해서 보여줍니다.
특히 이 경우 튀어나온 앞니가 사선으로 비스듬히 마모된 부분이 있어서 미리 사전에 눈으로 확인시켜드리기 위해서 시뮬레이션을 활용하고 있습니다.
그렇지 않으면 치아가 배열되면서 마모된 부분이 드러나며 교정 중 치아가 깨졌다 또는 기울어졌다 라고 오해하실 수 있기 때문입니다

위가 치료 전 아래가 치료 후 예상 시뮬레이션 입니다.
파란 화살표 부위의 비스듬히 마모된 부분이 교정 전에는 티가 안나다가 배열이 완료가 되면 비로소 티가 많이 나게 되는거죠.
이런 경우 마모된 부분을 레진으로 수복하기 보다는 티가 덜나게끔 끝단을 조금 편평하게 다듬으면 좋습니다.
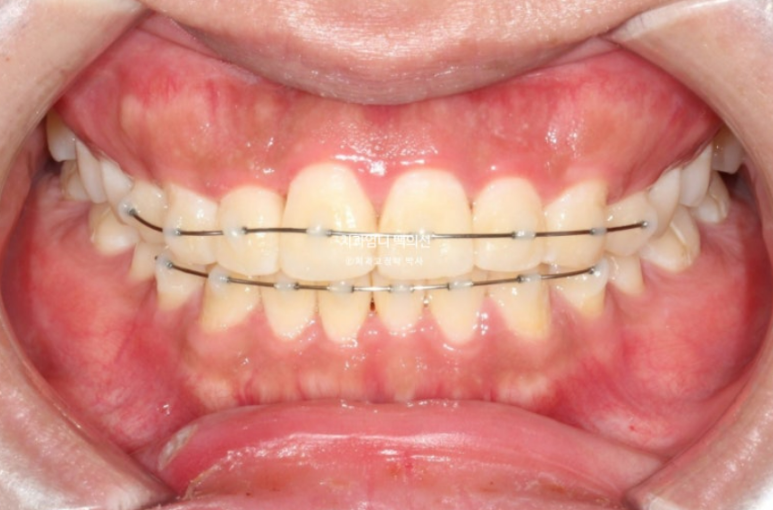
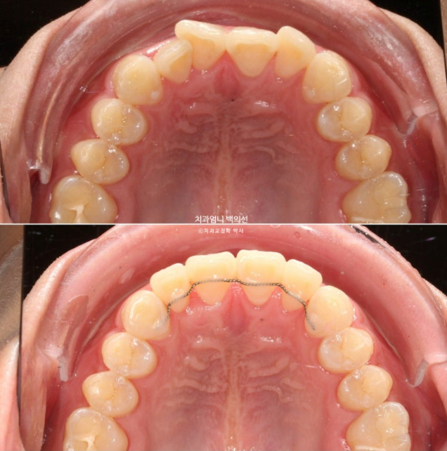
MTA 부분교정을 제1소구치부터 제1소구치까지 위 아래 8개씩 부착하여 치료를 시작했습니다.

치료시작 4개월째 모습입니다.

배열이 거의 완료되었습니다.
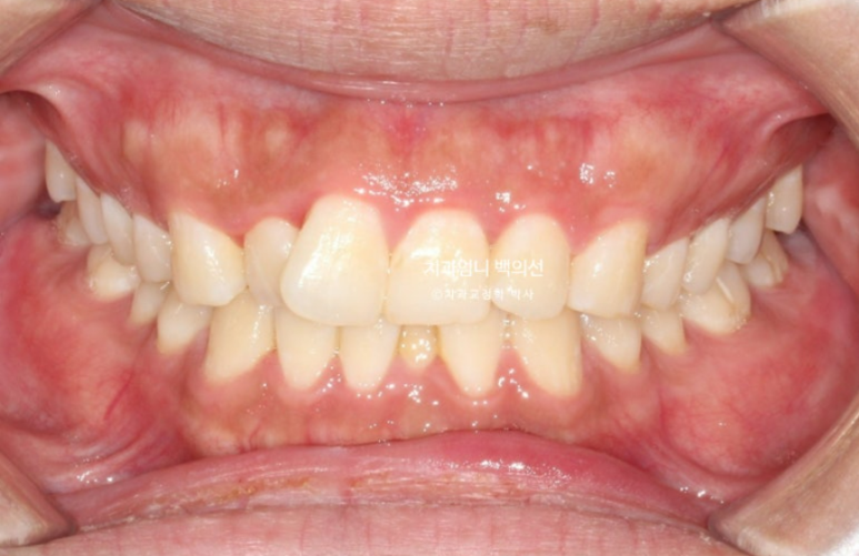
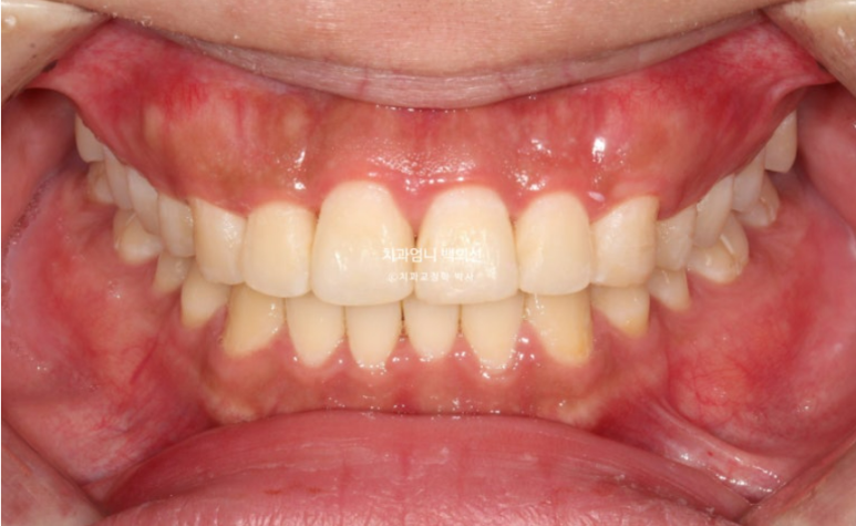
25년 6월, 5개월만에 치료를 마무리 했습니다.

25.06
문제의 앞니 끝단 모양을 조금 다듬어 마모된 부분이 티가 덜나게 해드렸습니다.

원래 좋았던 교합은 잘 유지가 되었습니다.

유지장치까지 들어간 모습입니다.
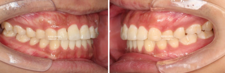
이제 전 후 비교 보겠습니다.

25.02~25.06
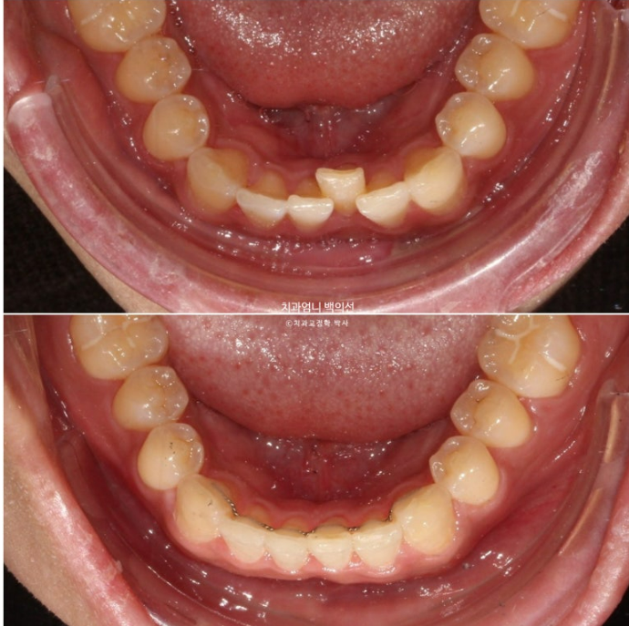
아래 앞니 중 안으로 쏙 들어가 있던 치아는 교정치료 전 후 위생 상태의 확연한 차이가 납니다.

치아가 삐뚠 부분에는 치태와 치석이 쉽게 쌓이는 데다가 일반 양치질로는 접근이 어려워 깨끗하게 닦이기 쉽지 않습니다.
교정 후 배열이 가지런해지니 유독 청소가 안되던 부위가 평소하는 양치질 만으로도 말끔해졌습니다.

25.02~25.06

25.02~25.06
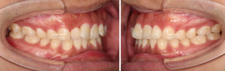
이제 안모 비교 보겠습니다.

25.02~25.06

25.02~25.06
깔끔해진 인상입니다.

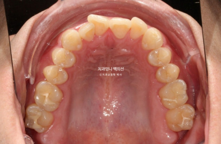
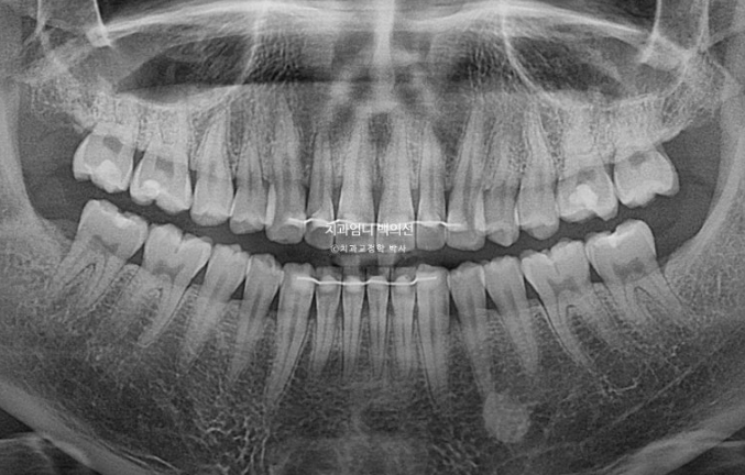
치근흡수는 없고 뿌리 평행도도 좋습니다.
앞니 부분교정도 경우에 따라서 이와같이 기간 대비 풀륭한 결과가 나옵니다.
치아교정은 단순히 예뻐지는 치료가 아닙니다.
평소 구강 위생 관리를 훨씬 수월하게 해줄 뿐 아니라 부정교합으로 인한 불필요한 깨짐과 마모로부터 보호하여 오랫동안 겅간한 치아를 유지할 수 있게 해준다는 사실을 잊지 말아주세요
기간이 오래걸릴까봐 교정을 망설이시는 분들께 이 포스팅이 도움이 되길 바라며 가까운 교정전문의에게 상담 먼저 받아보세요

