안녕하세요
30대 교정 소개해드리겠습니다.
선천적 결손 치아가 2개나 있는 경우에 임플란트 없이 교정치료로 어떻게 치료하는 지 보여드리겠습니다.

23.10~25.06
이가 없으면 임플란트를 해야한다고 생각하기 쉽지만, 사실 교정치료만으로 빈공간 마무리가 가능합니다.
특히 돌출이나 덧니가 있다면 결손치를 발치한셈 치고 치료에 들어가면 좋습니다.
오늘은 그런 케이스 이야기 해보겠습니다.
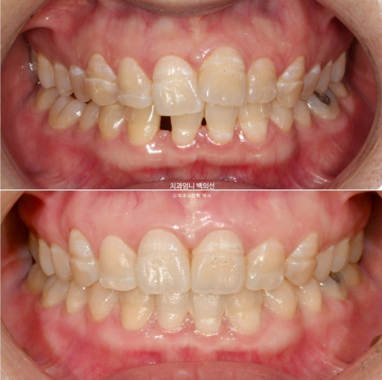
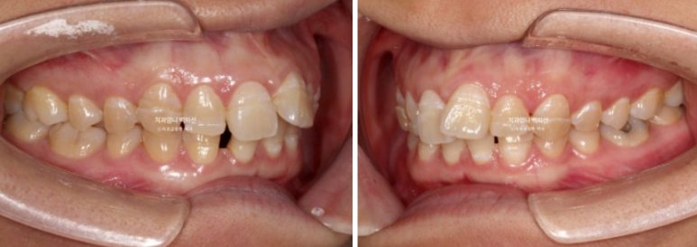
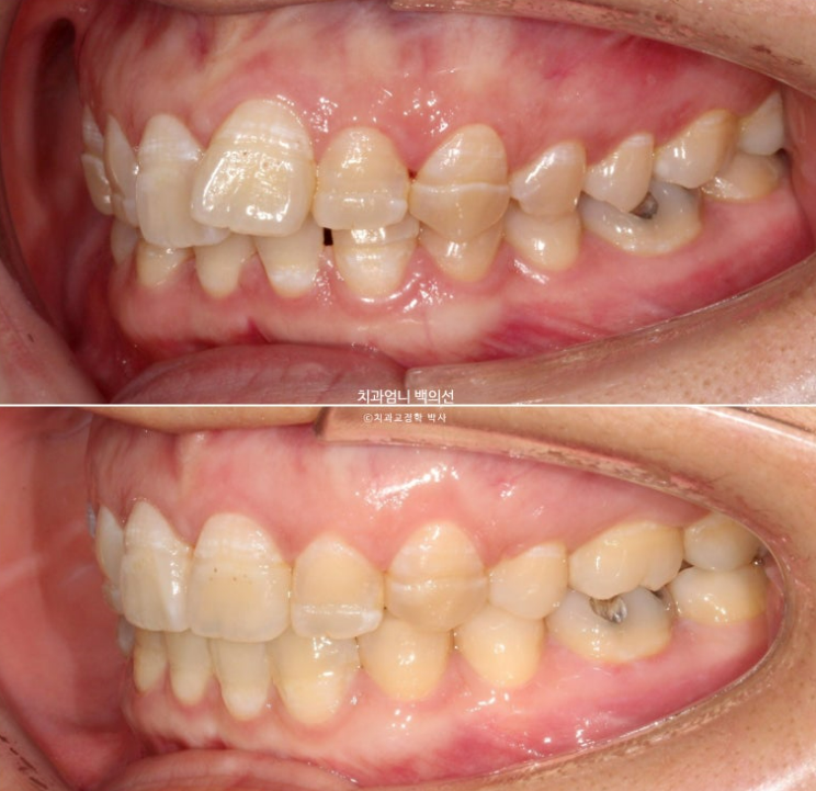
23년 10월 교정치료를 위해 찾아오신 30대 환자분입니다.

23.10
아래 앞니 사이에 벌어진 공간이 있고 위 앞니는 덧니가 있습니다.
앞니에 울퉁불퉁한 띠가 있는데 법랑질저형성증 입니다.
치아 건강에 문제가 되는 부분은 아니지만 오목한 부분에 음식이 잘 고입니다.
청결관리를 더 잘해줘야 합니다.

앞니가 튀어나와 돌출도 있습니다.

아래 앞니 4개 중 2개가 없습니다.
태어날때부터 없는 경우를 선천적 결손이라고 합니다.

환자분은 교정으로 고치고자 하는 것이 오직 배열과 벌어진 공간 두 가지 였습니다.
하지만 윗니 돌출도 있어서 상악 소구치 2개 발치교정 쪽으로 치료계획을 세웠습니다.
아래는 치아가 원래 2개가 없으니 상악만 교정발치 2개를 하면 균형도 맞아지고 상악에만 국한된 덧니와 돌출 문제도 같이 해결할 수 있습니다.
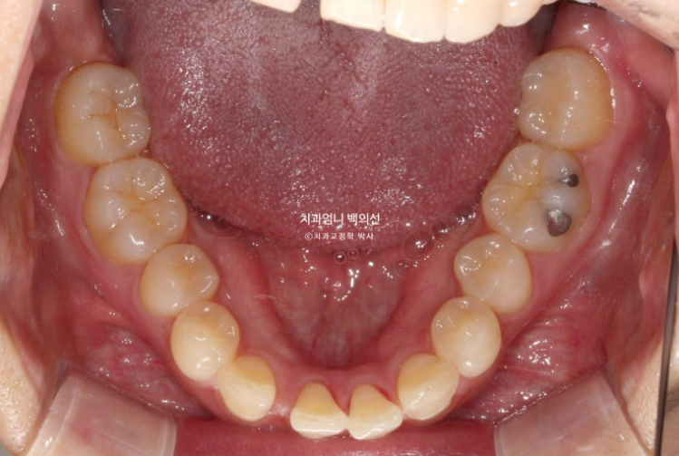
단 이경우 아래 송곳니는 결손된 앞니 자리로 끌어와 앞니로 대체하고 아래 작은어금니를 송곳니 자리로 끌어와 송곳니로 대체합니다.
이렇게 하면 어금니도 정확한 1급 교합관계 달성이 가능합니다.
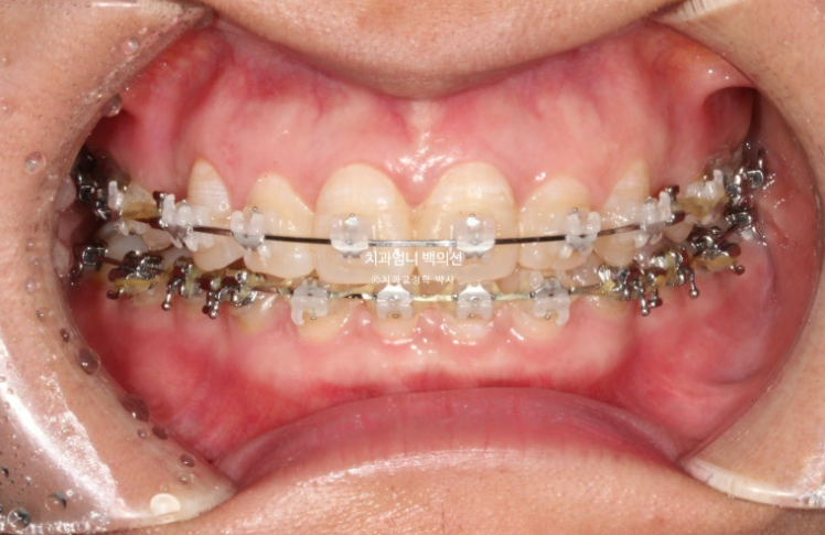
클리피씨 교정 선택하셨습니다.

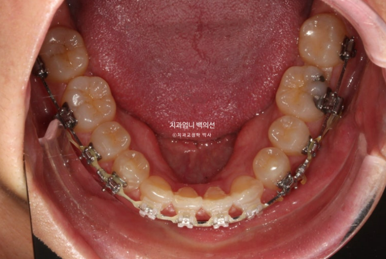
24.07
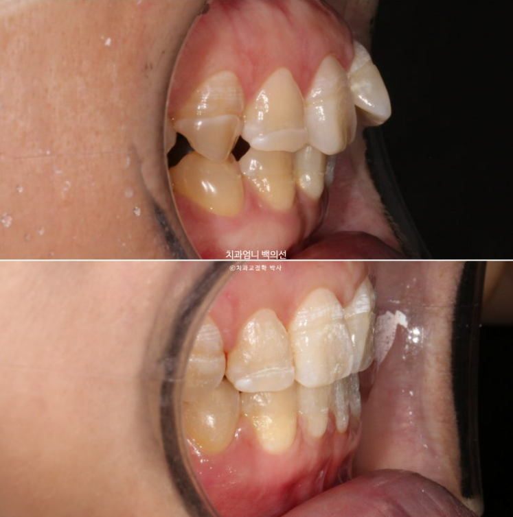
치료시작 10개월째 모습입니다.

상악 발치공간이 보입니다.

아래는 송곳니를 앞니자리로 끌어오는 중입니다.
환자분이 30대임에도 치아이동속도가 빠른 편이였고
치료시작 년 8개월만에 치료가 마무리가 되었습니다.

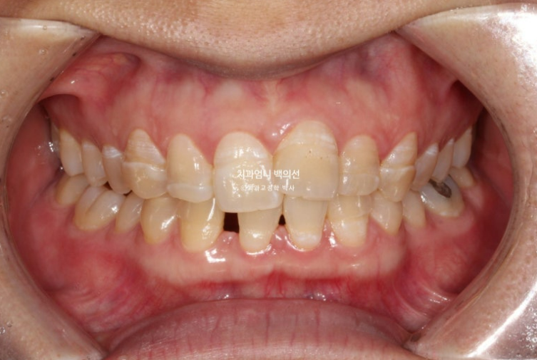
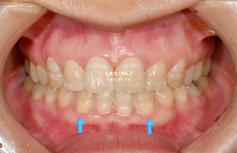
25.06
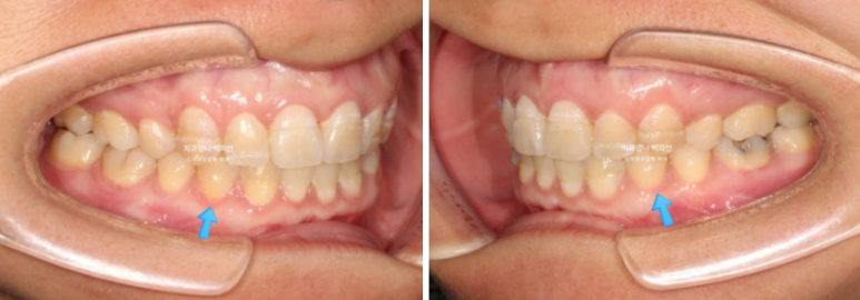
중심선은 정확히 맞고 앞니 교합도 좋습니다.
파란화살표는 사실 앞니가 아니라 송곳니 입니다.

어금니 교합관계는 정확히 1급입니다. 송곳니 자리에 있는 파란 화살표는 사실 송곳니가 아니라 첫번째 작은어금니입니다.
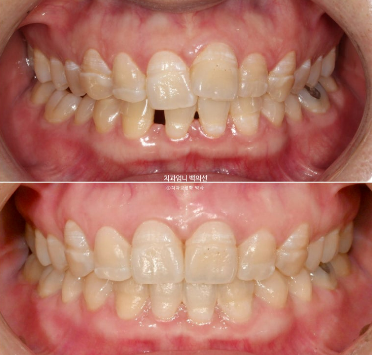
이제 전후 비교 보겠습니다. 총 치료기간은 1년 8개월입니다.

23.10~25.06

23.10~25.06
임플란트 없이 교정만으로 깔끔하게 마무리된 모습입니다.


양측 어금니 교합관계는 기존 3급에서 1급으로 개선되었고

23.10~25.06
앞니 덧니와 돌출이 해소가 되었습니다.
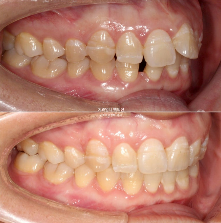
이제 안모 변화볼까요?

깔끔해진 미소

23.10~25.06
깔끔한 앞니 각도
윗니 돌출이 해소가 되었습니다.

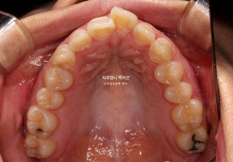
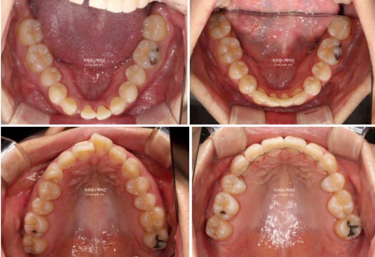
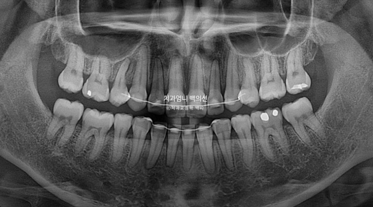
25.06
치근흡수는 없고 치근평행도는 좋습니다.,
선천적 결손이든 나중에 발치를 했든 간에
치아가 없어 공간이 빈경우 임플란트를 먼저 고려하기 보다는 가까운 교정전문의를 먼저 찾아가길 강력 추천드립니다.
임플란트는 또 한 번 심어놓으면 나중에 교정을 하고 싶어도 어려운 경우가 많습니다.
오늘도 좋은 하루 보내세요

