안녕하세요.
오늘은 심한 개방교합 치료에 대해 이야기 해보겠습니다.

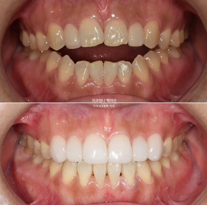
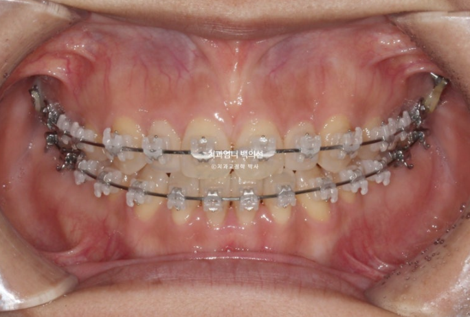
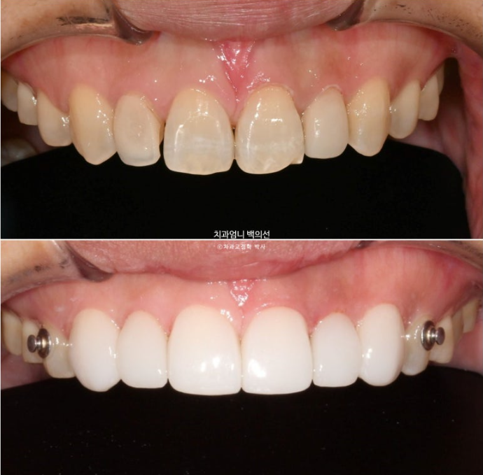
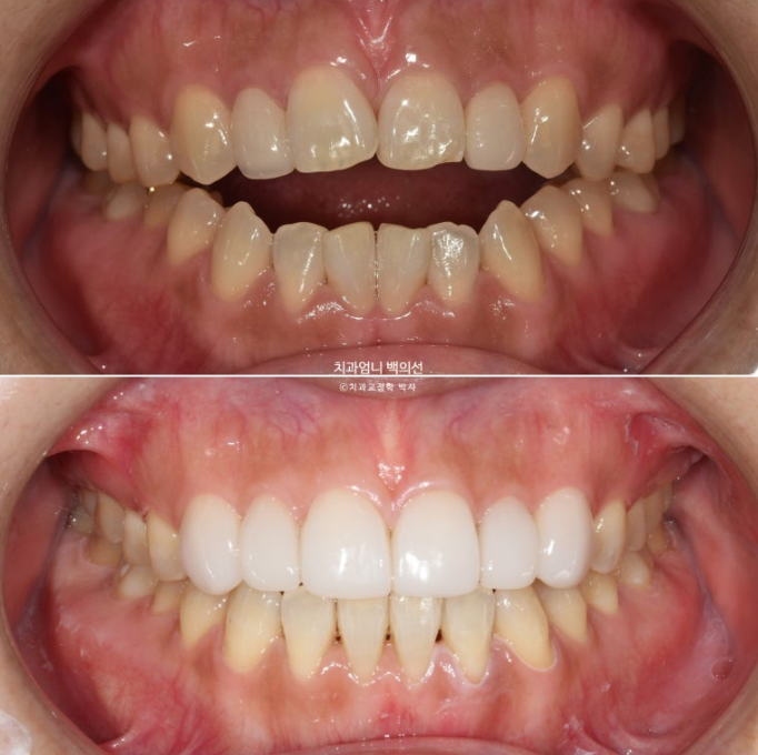
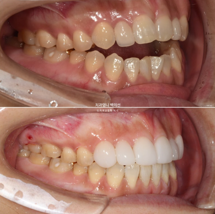
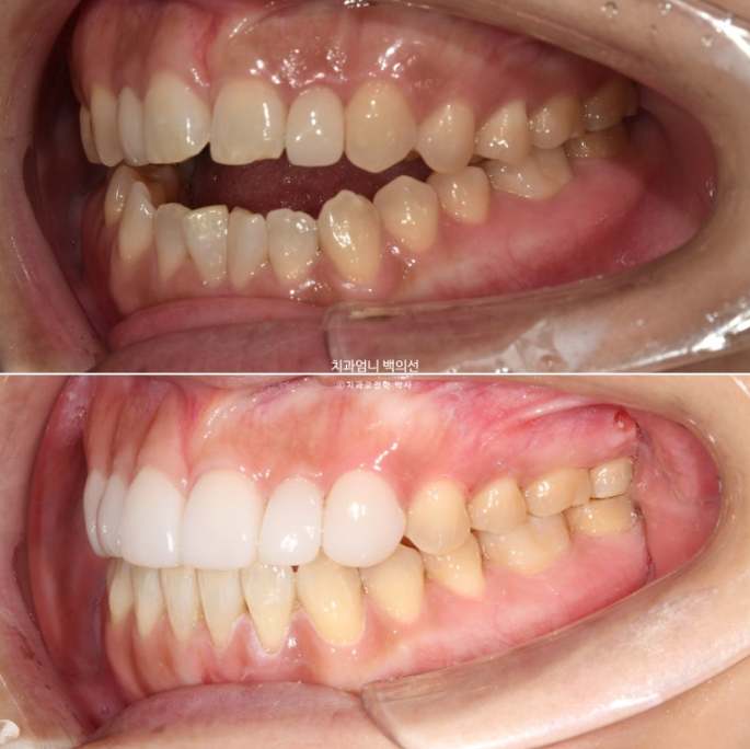
2023.05~2025.05
개방교합 치료는 교정으로 하기도 하고 양악수술로 하기도 합니다.
심한이라는 단서가 붙은건 앞니 벌어진양이 5mm 이상이기 때문입니다.
양악수술을 해야하느냐, 교정치료로 가능하냐의 기준은 개방량 5mm로 보기 때문입니다.
앞니 개방교합 치료방법은 두 가지 입니다. 어금니를 함입시키거나 앞니를 끌어내리거나 통상 재발경향이 적고 하관이 짧아지는 효과도 보기 위해서 어금니 함입 이동으로 해결을 하지만 앞니 개방교합 양이 2-3mm 넘어가면 어금니 함입만으로는 치료가 안됩니다. 앞니 정출과 어금니 함입이 동시에 이루어져야 합니다.
오늘은 그런 이야기를 해보겠습니다.

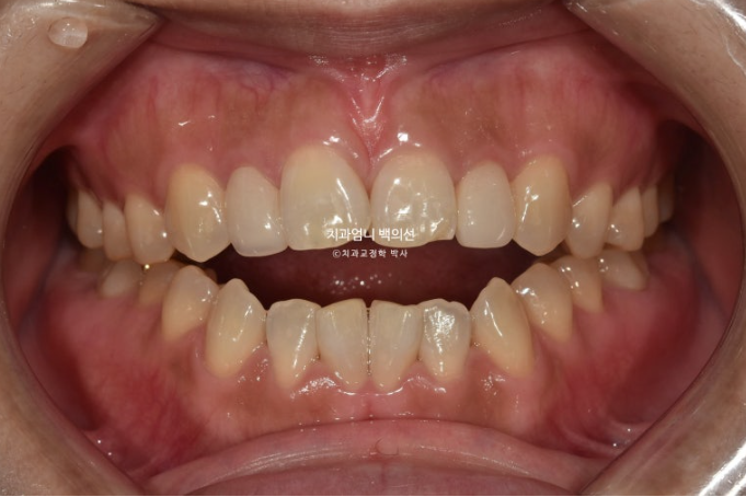
23.05
2년전 앞니 개방교합 치료를 위해 내원한 30대 환자분입니다.

23.05
앞니 벌어진 양이 5mm라 양악수술과의 경계지만 양악수술생각은 없으셔서 교정만으로 해결하기로 했습니다.

23.05
앞니 약간 삐뚠 부분도 함께 해결하기로 하고 치료에 들어갑니다. 클리피씨 교정을 권유드렸습니다.
어금니 합입기간동안 앞니에는 장치를 붙이지 않습니다. 그래야 클리피씨 장치 붙이는 기간을 최소화 할 수 있고 환자분도 편합니다.

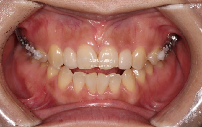
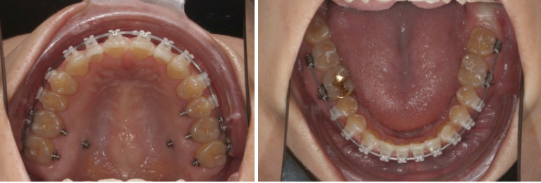
23.10
치료 시작 5개월차, 어금니 함입만으로도 앞니 개방교합이 많이 해소가 되었습니다.

23.10
사진에서 보듯이 어금니가 잇몸에 파묻히기 직전까지 함입을 시켰으니 이제 남은 개방교합은 앞니쪽에서 해결을 봐야죠. 이때부터 앞니를 정출시키기 위해 클리피씨 장치를 위아래 모두 부착했습니다.

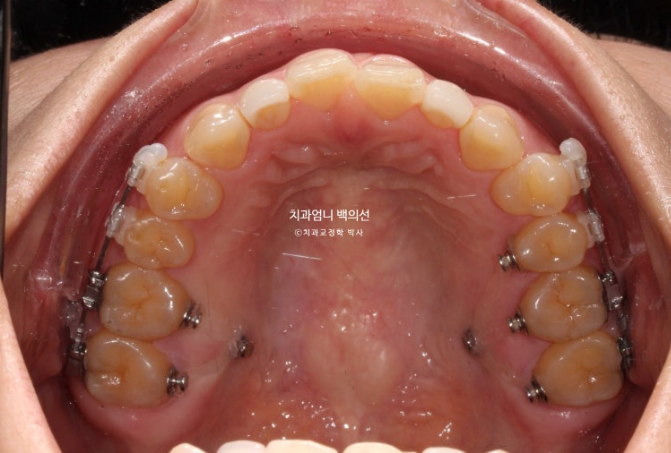
24.05
치료시작 1년 후 모습입니다.

배열 교합 등 모든게 양호해서 마무리 교정 5개월을 더 진행한 후, 이제 무삭제 라미네이트 젤라미 치료 준비에 들어갑니다.

24.10
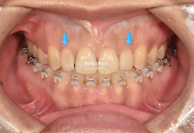
치료시작으로부터 1년 5개월 후 모습입니다. 먼저 위 장치 다 떼고 피팅준비를 합니다.
파란 화살표 측절치는 환자분이 오래전 했던 왜소치 라미네이트입니다.
이 라미네이트도 제거 후 재제작 하기로 합니다.
피팅 준비물이 도착하기까지 7일이 걸립니다.

피팅 모습입니다.
이 상태에서 환자분의 니즈를 더해 젤라미 제작에 들어갑니다.
젤라미 제작은 10일이 걸립니다.
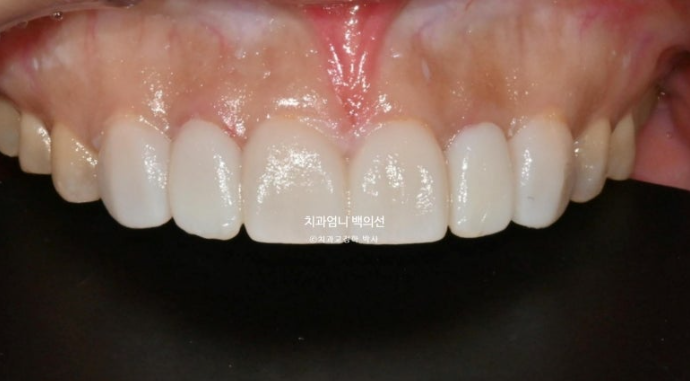
젤라미 부착 후 모습입니다.

24.11
앞니 깨진 부분이 깔끔하게 회복되었습니다.
100% 무삭제로 진행했습니다.
라미네이트 치료를 하는 3주의 기간 동안 철사 없이 교정 결과가 얼마나 잘 유지가 되나 모니터링을 합니다.

역시나 앞니 개방교합이 소량 재발을 해서 고무줄 거는 고리를 붙이고 고무줄을 거는 치료를 더 진행했습니다.
그리고 25년 5월, 드디어 2년만에 치료를 마무리 했습니다.

25.05

교합도 좋고 중심선도 잘 맞습니다.

23.05~25.05
유지장치도 꼼꼼하게 들어갑니다.
개방교합 재발을 위해서는 치열을 단단하게 잡아주는 비베라가 좋습니다. 비베라 제작 권유드렸고 현재는 비베라 장치가 도착하길 기다리는 중입니다.
이제 전후비교 보겠습니다.

23.05~25.05

23.05~25.05

23.05~25.05
개방교합이 해소가 되었으니 이제 음식을 앞니로 베어드실 수 있게 되었습니다.
뿐만아니라 하관이 짧아지는 효과도 보실 수 있습니다.
이제 안모사진으로 전후비교 보겠습니다.

23.05~25.05
어금니 함입으로 하악골이 자가회전 하며 하관이 상당히 짧아졌는데 이는 정면 사진에서도 눈에 띕니다.

23.05~25.05

25.05
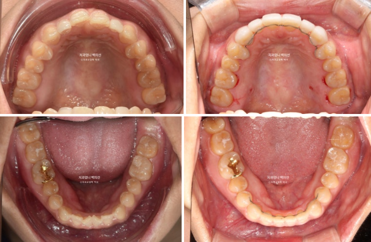
치근흡수는 보이지 않고 뿌리 배열은 좋습니다.
2년간의 치료결과 중첩을 해보면 어금니가 3mm 함입되었고 앞니가 위 아래 각각 1mm씩 정출이 되어 개방교합이 완전히 해소되었습니다.
함입된 어금니 덕에 아래턱이 더 다물리며 자가회전이 일어나서 하관이 짧아졌습니다.
심한 개방교합으로 마음고생 중인 분들에게 이 포스팅이 도움이 되길 바라며 글 마치겠습니다.


#압구정교정치과 #함입교정 #무삭제라미네이트 #젤라미 #강남라미네이트 #강남무삭제라미네이트 #압구정라미네이트