안녕하세요.
압구정 인비절라인 치과 입니다.
오늘은 한쪽 작은어금니 선천적 결손으로 인해 틀어진 앞니 중심선을 작은어금니 발치 없이 인비절라인으로 어떻게 하는 지 안내드리겠습니다.

23.07~25.04
덧니가 심하거나 중심선을 맞춰야 하는 경우라면 작은어금니 발치가 유리하긴 합니다.
특히 작은어금니 하나가 선천적으로 없는 경우라면 중심선이 결손치 쪽으로 쏠려있기 마련입니다.
그러나 사랑니 공간이 충분하다는 전제하에 작은어금니 발치 없이도 어금니 사랑니 공간으로 밀면 중심선을 맞추고
덧니도 해결할 수 있습니다.

23.07
23년 7월 교정치료를 위해 내원한 환자분입니다.
고치고 싶은 것은 중심선 비대칭과 덧니입니다.

왼쪽 위 작은어금니 하나가 선천적으로 없으면 이로 인해 그쪽으로 윗니 중심선이 돌아가 있습니다.
다른 병원 상담에서는 결손된 작은어금니를 제외한 나머지 작은어금니 3개를 발치해야 하고 치료기간은 2년 이상 소요된다고 듣고 오셨습니다.

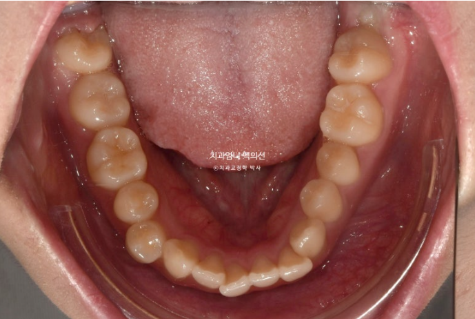
23.07
앞니가 뻗쳐 있습니다.

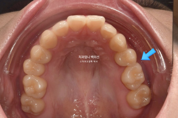
파란 화살표가 원래 작은어금니가 하나 더 있어야할 자리, 즉 선천적으로 결손된 작은어금니 자리입니다.

다행인건 가용한 사랑니 공간이 충분한 점입니다.
입매 돌출감이 미미하여 비발치 치료 권유드렸습니다.
즉 작은어금니 발치 없이 사랑니 공간을 이용하여 교합을 맞추고 중심선을 맞추기로 했습니다.
저에게 발치교정이냐 비발치교정이냐의 기준은?
치료의 편의성이 아닌 환자의 입매 입니다.
비발치로 덧니를 펴면 생기는 문제점은 앞니가 앞으로 돌출된다는 것인데 이 부분도 어금니를 사랑니공간으로
밀어 해결하기로 했습니다.
또한 뻗친 앞니 각도도 개선해야합니다.
인비절라인 치료 선택하셨고 사랑니 발치 후에 치료도 진행했습니다.
23년 8월부터 1년동안 60여개의 장치를 낀 모습입니다.
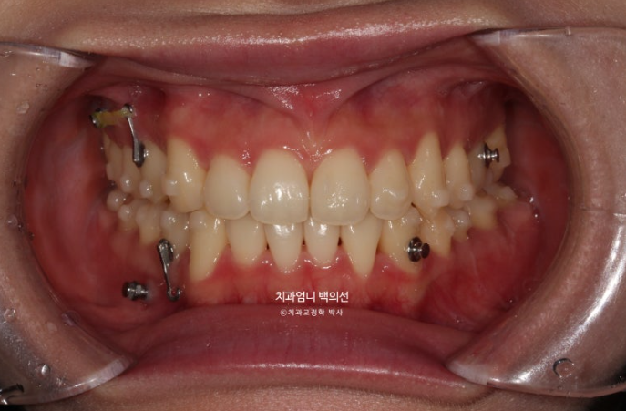
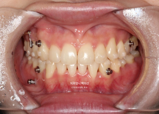
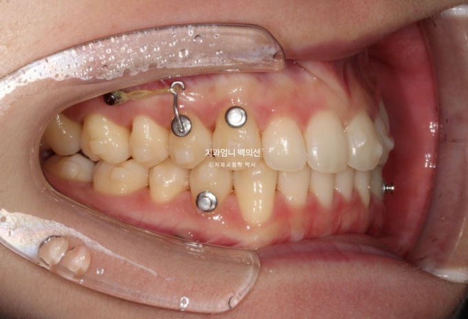
중간평가입니다.
필요한 곳에 교정용 나사인 미니스크류를 심고 진행해야 효율이 좋습니다.

24.09
중심선이 처음에 비해 좋아졌으나 아직 불일치가 보입니다.
환자가 직접 뺏다꼈다 하는 고무줄 처방도 들어갔고 첫번째 세트와 70개 장치를 모두 낀 후 모습은 다음과 같습니다.

24.11
고무줄 처방으로 인해 중심선은 정확하게 맞으며

24.11

24.11
교합은 나쁘지 않습니다.

24.11

24.11
배열도 좋습니다.

24.11
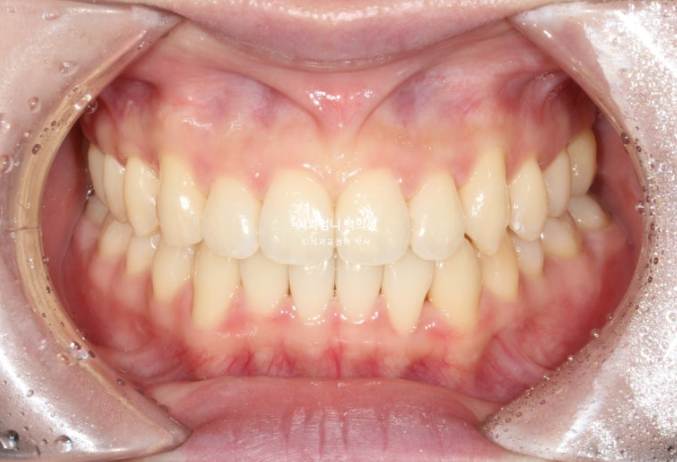
웃는 사진에서는 결손치 쪽으로 돌아가 있던 윗니 중심선이 드디어 코와 인중을 만나게 되었습니다.
그러나 왼쪽 앞니 하나가 미미하게 치축이 기울어져 보입니다.
이 부분과 교합 안정화를 위해 추가장치 제작에 들어갑니다. 24년 12월부터 25년 3월까지 14개 추가장치를 다 낀 후 치료를 마무리 하였습니다.

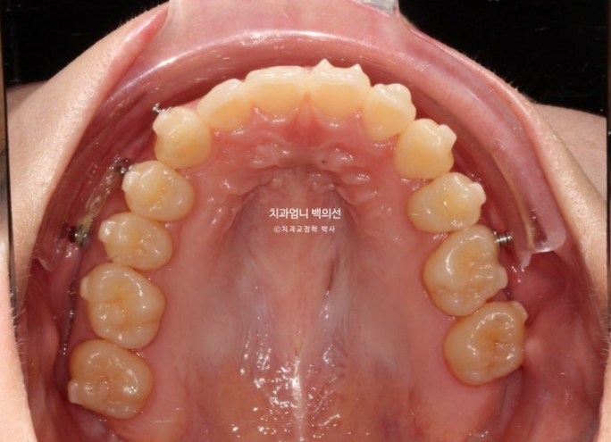
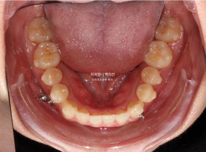
25.04
중심선과 교합이 좋고 기울어진 앞니 하나의 치축도 개선이 되었습니다.

25.04
아무리 인빚러라인이라도 교합이 좋지 않으면 치료를 마무리 짓지 않습니다.
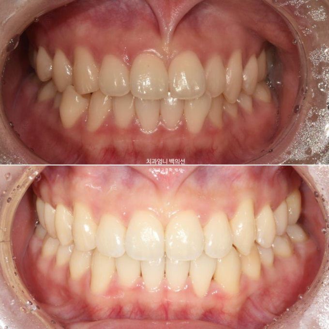
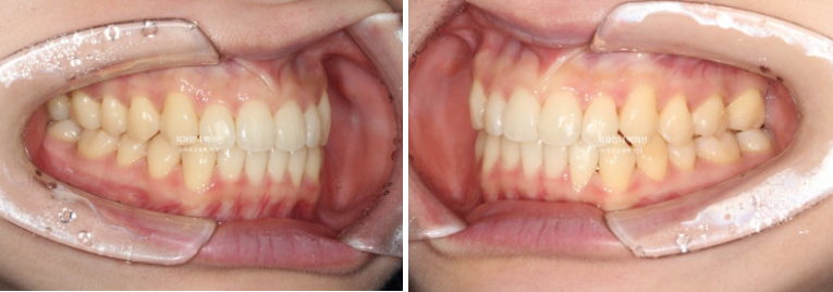
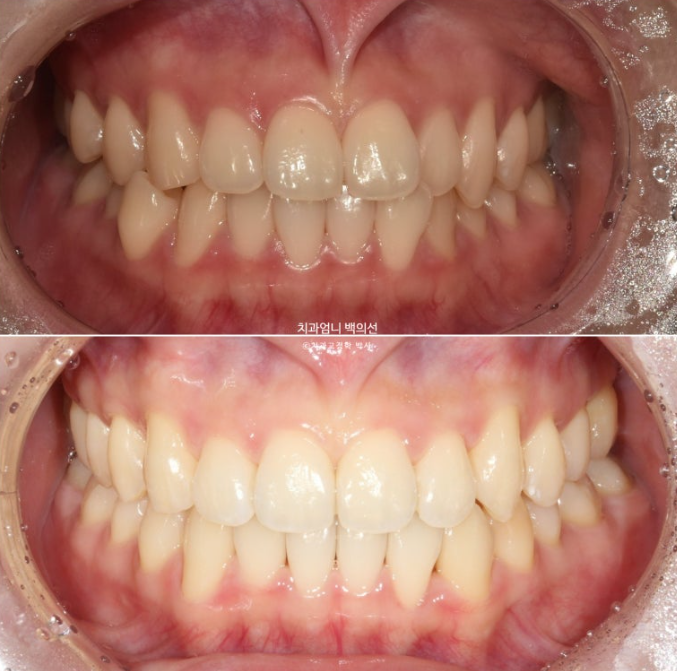
이제 전후비교 해보겠습니다.

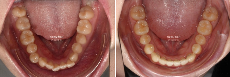
23.07~25.04

23.07~25.04
배열은 좋고

23.07~25.04
결손치 쪽으로 돌아가있던 상악 중심선은 아래중심선과도 만나게 되었습니다.

23.07~25.04
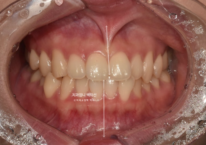
스마일라인이 특히나 귀여운 분
코과 인중에 맞춰진 앞니 중심선을 보니 편안합니다.

1년 9개월간의 치료기간동안 치근흡수는 일어나지 않았습니다.
치아 뿌리 평행도도 좋습니다.

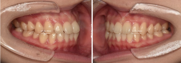
23.07~25.04
뻗쳐있던 앞니 각도가 개선이되고 입매가 정돈되었습니다.
발치했으면 큰일날뻔 했죠
앞니 뻗침도 개선이 되었습니다.
중심선 비대칭 때문에 교정치료를 고민중인 분들에게 이 포스팅이 도움이 되길 바랍니다.

