안녕하세요
정면에서 봤을 때 한쪽이 내려오고 한쪽이 올라가 교합평면이 기울어져 보이는 것을 canting, 캔팅 이라고 합니다.
인비절라인으로 캔팅을 빠르게 잡는 법은 내려온쪽에 교정용 미니스크류를 심고 고무줄을 거는 방법입니다.
인비절라인 라이트라는 부분교정용 제한된 프로그램으로 어떻게 결과가 만들어지는 지 보여드리겠습니다.

24.06
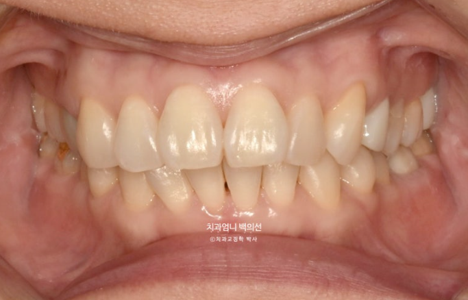
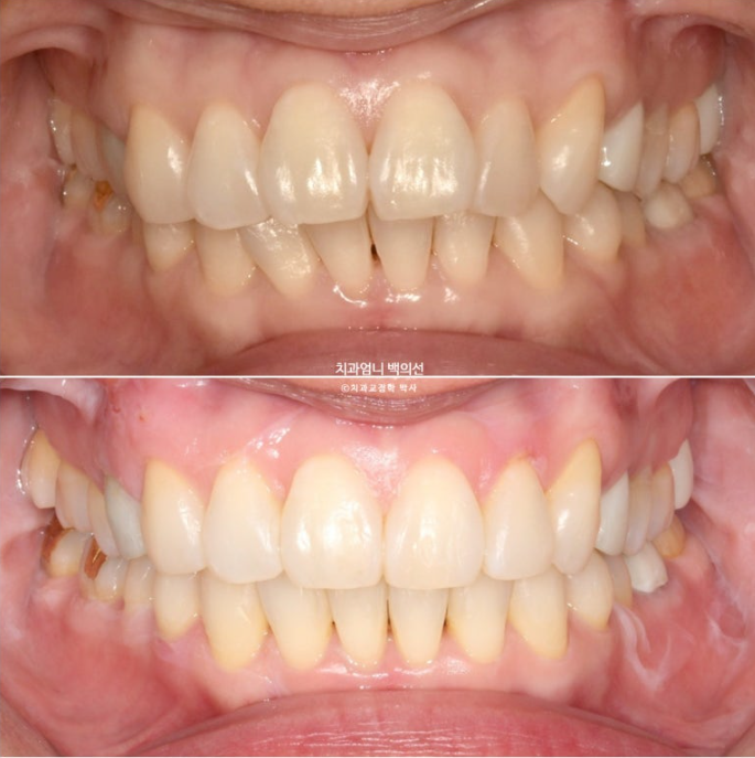
작년 6월 앞니 배열을 개선하고자 오신 환자분 입니다.
50대의 나이가 무색하게 스타일리쉬하고 멋진 환자분이셨습니다.
원래는 라미네이트 치료를 알아보다가 치아를 갈아야 한다는 말에 교정으로 마음을 돌려서 내원하셨습니다.
아래 앞니 중앙에 잇몸 내려감에 의한 블랙트라이앵글이 보입니다.

우측 치아가 내려와있고 좌측 치아가 올라가 있어서 정면에서 치열이 전반적으로 기울어져 보입니다.

24.06
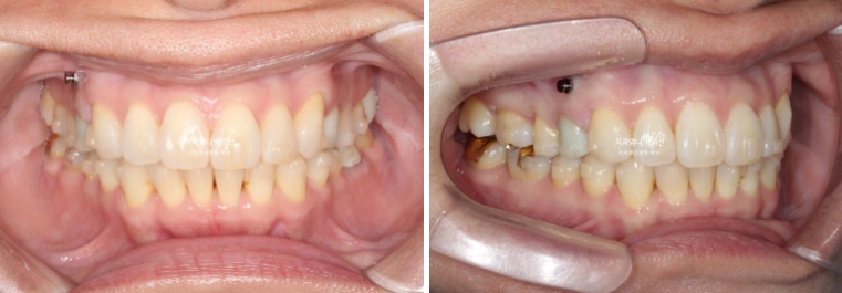
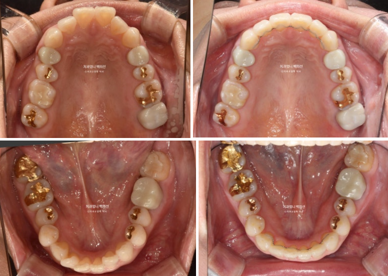
어금니 교합은 나쁘지 않습니다.
앞니 두 개가 돌출이 되어있습니다.

24.06
아랫니가 윗니보다 삐뚤합니다.
어금니 교합이 좋은 편이라 10개월 정도를 치료기간으로 잡고 치간삭제를 동반한 인비절라인 라이트를 권유드렸습니다.
단 교합평면 기울어짐을 10개월 안에 확실하게 개선하려면 교정용 나사를 심고 고무줄 힘을 같이 주는 것이 좋습니다.
배열 개선과 캔팅 개선을 치료 목표로 잡고 진행합니다.
8월부터 12월까지 5개월간 첫번째 세트 14개의 장치를 모두 낀 후 모습입니다.

24.12

파란 화살표 끼리 인비절라인 장치에 걸치게끔 고무줄을 걸어 우측 송곳니 부위를 적극적으로 함입시킵니다.

추가적인 배열 개선 등을 목표로 재제작에 들어갔고 25년 1월부터 5월까지, 추가장치를 다 낀 후 치료를 마무리 했습니다.

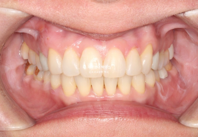
25.05
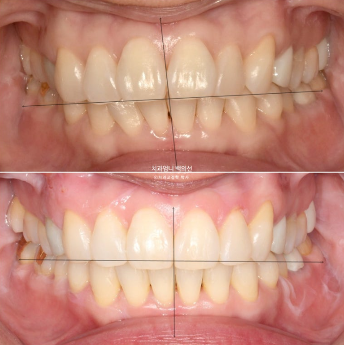
중심선은 잘 맞고 아래 앞니 블랙트라이앵글은 줄었습니다.

25.05
교합이 좋지 않으면 치료를 마무리 짓지 않습니다.
이제 치료 전 후 비교 보겠습니다.
총 치료기간은 10개월 입니다

24.06~25.05
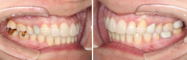
기울어진 아래 앞니 치축 개선이 눈에 띕니다.

24.06~25.05
가지런한 배열과

24.06~25.05
교합평면 기울어짐은 좋아졌습니다. 더불어 깔끔한 스마일라인이 돋보이네요.

24.06~25.05

24.06~25.05

24.06~25.05
토끼이빨 해결되고 나니 이미지가 더 세련되어 보이죠
50대 중년이라 교정이 오래걸릴까봐 망설이는 분들에게 이 포스팅이 도움이 되었기를 바랍니다.

