안녕하세요
압구정 인비절라인 치과 입니다.
오늘은 인비절라인 컴프레헨시브로 치료한 증례를 보면서 빕라치로 앞니 돌출과 덧니를 개선하는 과정을 보여드리겠습니다
특히 많은 예비 교정인들이 궁금해하시는 인비절라인 치료과정상 부득이하게 어금니가 떠서 잘 안물리는 부분에 대한 이야기도 해보겠습니다.

2022.10~2025.03
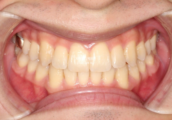
돌출입과 비대칭을 주소로 인비절라인 교정치료를 위해 찾아 온 환자분입니다.
멀리 지방에서 오느라 내원간격이 중요한 분이었습니다. 집중할때 꽉 무는 버릇때문에 평소 턱이 아픈 증상도 있었습니다.

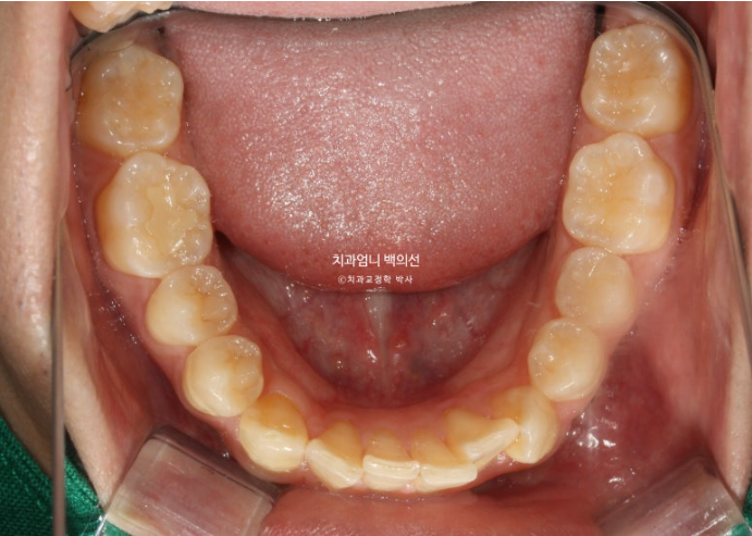
22.10
중심선 불일치가 보입니다.
골격적 비대칭은 경미하지만 앞니 중심선이 많이 달라 비대칭감을 크게 느끼고 있는 상태입니다.

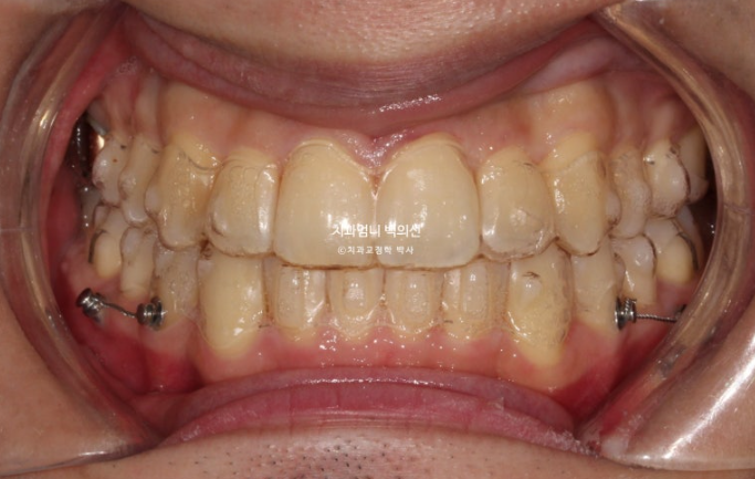
22.10
구치부 교합은 3급이며 앞니 뻗침이 보입니다.
입술이 돌출된 건 아니지만 말하거나 웃을때 앞니가 뻗쳐있어 돌출감을 느끼는 상태입니다.

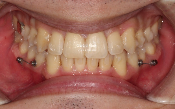
2022.10
송곳니가 많이 회전되어있고

2022.10
송곳니를 포함한 앞니 치아들이 겹쳐져 있습니다.
의대생 환자분이 본과생으로 재학중인 대학병원에서 진단 받기로는 작은어금니 4개 발치를 하지 않으면 입이 처음보다 나올거라는 진단을 받았다고 했습니다.
저의 진단은 다릅니다. 입술 돌출이 없고 사랑니 공간이 충분하니 작은어금니 발치 없이 사랑니 공간으로 어금니를 밀어내어 앞니 뻗친 각도와 덧니를 개선하는 치료를 권유드렸습니다. 만약 환자분이 입술돌출이 있고 사랑니 공간이 없었다면 저도 역시 작은어금니 발치교정을 권유했겠지요.
잠깐 다른 이야기를 하자면, 초진 진단 상담을 하다보면 상담 마지막에
"다른 병원에서는 발치교정 인비절라인으로 안된다고 하던데요?"라고 반문하는 환자분이 계십니다.
즉 다른말로는 백원장님은 왜 된다고 하시나요?겠죠
이 경우 안된다고 했던 원장님께 왜 안된다고 하시는 지 물어보는게 빠르겠죠?
교정원장님이 권유하는 치료는 그 원장님이 가장 자신있는 치료입니다. 자신있다는 말은 치료 경험이 많고 결과가 보장이 된다는 말입니다.
환자가 아닌 원장 입장에서 당연하지만 많은 환자분들이 간과하는 사실을 하나 알려드릴게요
실력과 관계없이 어느정도 진료 경험이 누적이 되었다면
과연 A 방법으로 치료했을 때 치료가 잘 될지, 잘 안될지 정도는 원장님 입장에서 충분히 예측이 됩니다.
치료가 잘 안될것 같다면 또는 A라는 치료방법에 대한 경험이 전무하다면 당연히 환자분께 "그 치료법으로 치료하면 결과가 안 좋습니다." 라고 설명을 하겠습니다.
원장님이 치료 결과에 대한 기준이 어느정도 높다는 전제하에 치료가 잘 진행이 안되면 환자분도 힘들지만 원장님 스스로와 병원도 힘이 듭니다.
저도 안되는 치료는 안된다고 즉, 저는 못한다고 말씀드립니다.
어떤 원장님이 권유하는 치료법은 그 원장님이 가장 자신있고 결과를 책임질 수 있는 치료라고 보시면 됩니다.
환자분은 작은어금니 4개 발치교정이 필요하다는 대학병원 진단과는 별개로 저의 진단과 치료계획을 믿고 치료를 시작하셨습니다. 늘 이야기 하지만 좋은원장님을 만나 교정치료가 잘 되는 것은 환자분의 복입니다.
첫 세트 장치 79개가 나왔습니다. 일주일씩 교체한다면 1년 8개월이 예상됩니다. 물론 이 기간은 환자분의 착용시간과 협조도에 따라 달라집니다.

24.09
환자분이 지방에 거주하여 3달에 한 번씩 내원했으며 중간중간 장치 교체 주기가 7일보다 길어진 시기도 있었습니다. 그래서 79개 장치를 다 끼는데 예상보다 길어진 1년 11개월이 걸렸습니다.
22년 10월에서 24년 9월까지 1년 11개월간 79개의 장치를 모두 낀 후 모습입니다.

24.09
앞니 중심선 불일치가 많이 좋아졌으나 아직 완벽히 맞지는 않습니다.

24.09
어금니 교합도 교합관계 자체는 1급으로 좋아졌으나 위아래 틈이 보입니다.
교합과 중심선을 좀 더 개선하고자 추가장치 재제작에 들어갔습니다
24년 10월부터 25년 3월까지 고무줄을 끼며 6개월간 추가장치 치료를 마무리 했습니다.

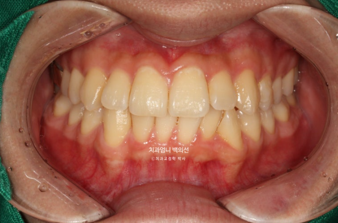
25.03
치료 후 중심선은 완벽하게 맞습니다.
여기서 잠깐 <인비절라인 교정은 교합이 안 좋게 끝난다>라는 썰에 대한 설명을 해드리겠습니다.

25.03
1급 교합관계가 드디어 달성되었다는 전제 하에 (교합관계조차도 엉망인데 교합이 안 좋게 끝난다는 상황은 제외하겠습니다.) 사진과 같이 위아래 어금니가 약간 뜨는 현상이 생깁니다.
그 이유에 대한 SCI 논문입니다.
학구적인 환자분들 논문을 읽어보시면 이해가 쉬울테지만 쉽게 정리해드리겠습니다.
인비절라인은 치아 옆부분에만 장치가 들어가는 철사교정과 다르게 씹는면 즉 교합면을 장치가 덮습니다
상악 하악 장치 두께를 합친것 만큼 교합면에 씹히는 장치 부분이 부득이하게 존재하고 이것때문에 의도치 않게 어금니가 0.9mm 가량 함입이 됩니다.
씹는힘이 치아를 뼛속 방향으로 밀어넣는 함입력으로 작용하는 것이죠
무는힘이 센 분들은 이 현상이 좀 더 두드러집니다
구치부 함입의 원인이 장치 씹힘 이거 때문에 인비절라인 치료가 끝나고 장치를 더이상 안끼게 되면 장치가 씹히는 현상 때문에 함입이 되었던 어금니가 자연스럽게 다시 생리적인 원래 위치를 찾으면서 소량 내려옵니다.
즉 구치부 교합 안정화가 일어나 어금니가 잘 안 닿던 것이 닿게 됩니다.
이 기간은 통상 2주정도입니다.

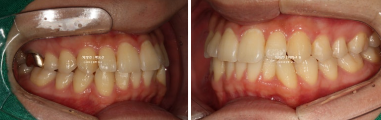
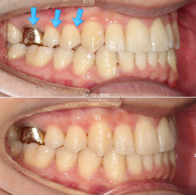
2주 후
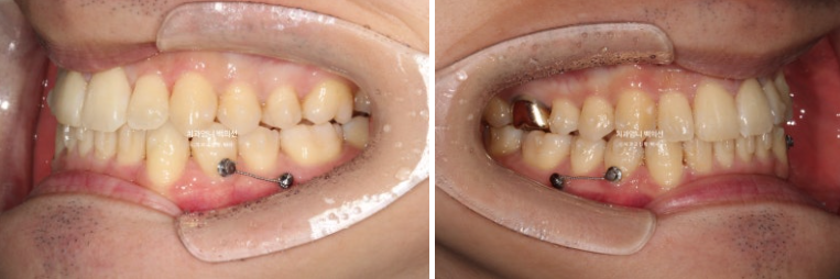
2주간 마지막 인비절라인 장치의 어금니 부분을 잘라내고 잘때만 끼면 사진과 같은 변화가 나타납니다 어금니에 타이트하고 이븐한 교합이 자연스레 형성됩니다.

2주 후

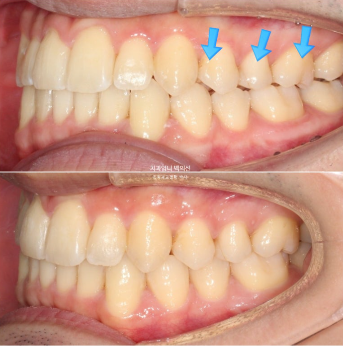
2주 후
파란 화살표 부분이 치료 마무리 직후 논문대로 어금니 교합이 0.9mm떠있는 상태로 보시면 됩니다.
아래 사진은 2주간 교합 안정화 과정을 거쳐서 어금니가 잘 닿게된 모습입니다.
특히 환자분은 교정 후 가철식 유지장치로 비베라를 원하였는데 비베라 제작을 위해 먼저 어금니 교합 안정화가 반드시 선행되어야 합니다 어금니가 뜬 상태로 비베라가 제작되면 안되겠죠.
만약 썰컴 유지장치를 제작한다면 이야기가 다릅니다.
인비절라인 치료 마지막 단계에서 어금니 교합을 안정화 시키는 방법에 대한 기존 포스팅을 참고하시면 좋습니다.
이렇게 교합안정화 과정까지 마치고 25년 3월에 치료를 마무리 하였습니다.
토탈치료기간은 2년 5개월 소요되었습니다. 재제작은 1회 했습니다.
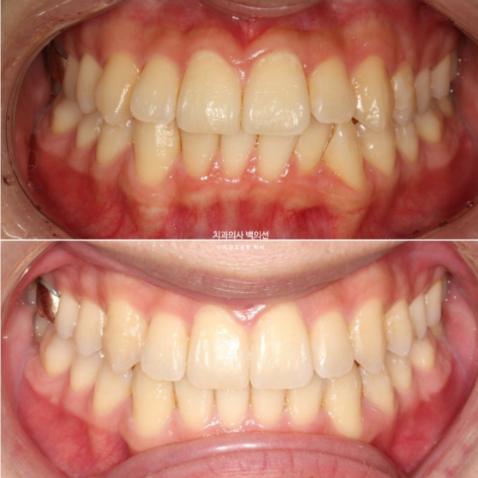
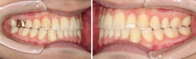
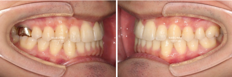
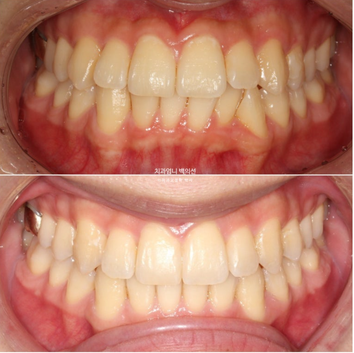
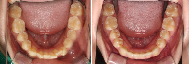
이제 전 후 보겠습니다.

22.10~25.03

22.10~25.03

22.10~25.03
아무리 비베라 유지장치를 끼더라도 철사유지장치는 필수입니다.
안모에서는 어떤 변화가 있는지 보겠습니다.

22.10~25.03
뻗쳐있던 앞니와 송곳니가 개선이 되고 스마일라인이 정돈되었습니다.
앞니 기울기와 중심선이 개선이 되니 비대칭처럼 보이던 것도 해소가 되었습니다.

22.10~25.03
앞니뻗침이 개선되었습니다.
앞니 뻗침과 돌출이 위 아래 각각 2mm 가량 개선된 것이 보입니다.

22.10~25.03
앞니가 뒤로 2mm 들어갔으나 윗입술은 변화없고 아랫입술은 소량 뒤로 들어갔습니다.
아랫입술은 아래 앞니 후방이동량에 대한 변화가 predictable 하고 linear 하나 윗입술은 그에 비하면 덜한데 이에 대한 이야기를 하자면 길어지니 다음기회에 설명드리겠습니다.
환자분은 현재 비베라 착용 중이며 이악물기 습관 개선을 위해 교정 완료 후 보톡스 치료도 받으셨습니다.
인비절라인 교정치료를 앞둔 분들에게 이 포스팅이 도움이 되길 바랍니다.

