안녕하세요
압구정 인비절라인 치과 입니다.
오늘도 인비절라인 포스팅입니다.
개방교합 치료에 인비절라인은 좋은 치료 방법입니다.
오늘은 앞니 개방교합을 인비절라인으로 치료한 증례를 보면서 턱끝 위치 변화도 같이 보여드리겠습니다.

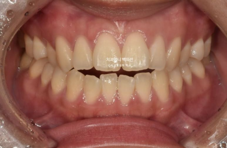
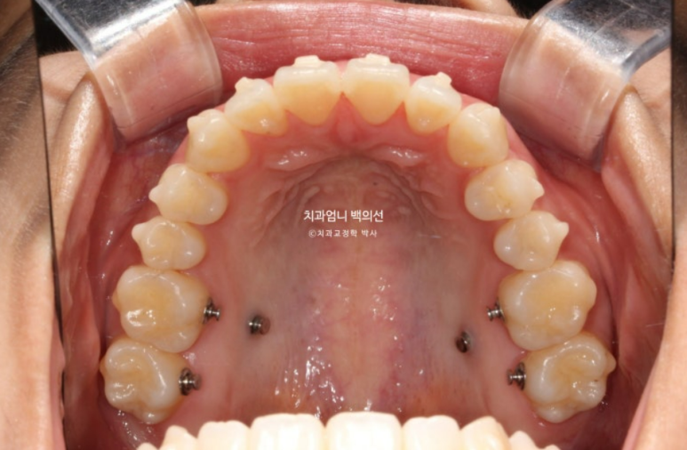
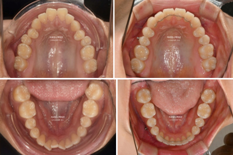
23.11
23년 11월 개방교합 치료를 위해 내원한 환자분입니다.
앞니 돌출감도 느끼는 상태입니다.
소구치 4개 발치교정을 하면 앞니 개방교합이야 앞니가 뒤로 가는 과정에서 편하게 해결이 되겠지만

입매가 이렇게 예쁜데 예쁜 입매가 발치교정으로 인해 안 예뻐질 수 있습니다.

23.11
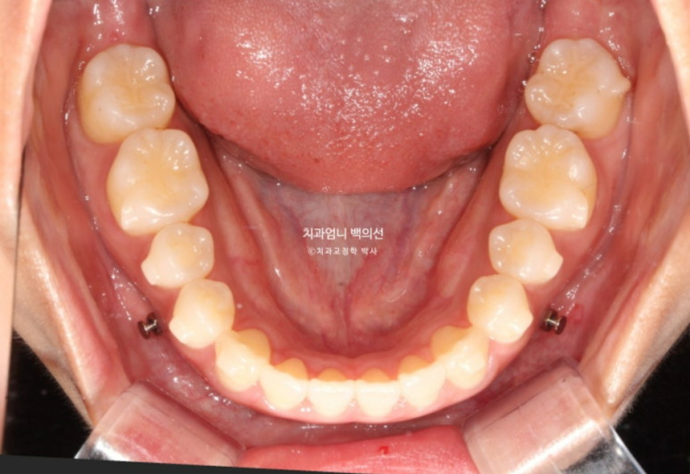
삐뚤한 치아 배열은 사랑니 공간을 이용해서 어금니를 뒤로 밀어내어 해결하기로 하고 앞니 개방교합은 어금니 함입을 통해 해결하기로 합니다.
어금니 함입은 입천장에 교정용 나사 미니스크류를 심어 도모하기로 합니다.
사랑니 공간으로의 후방이동 역시 미니스크류가 필요하죠.
악궁확장에 대해서는 악궁이 좁은 게 아니라 단순히 첫번째 작은어금니가 입천장으로 기울어진 상황이라 악궁확장은 따로 하지 않습니다.
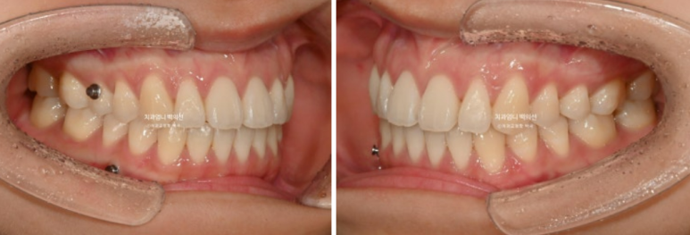
23년 12월 1번장치를 끼기 시작해서 25년 1월까지 총 51개 장치를 다 낀 후 모습입니다.

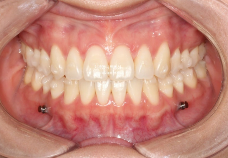
25.01
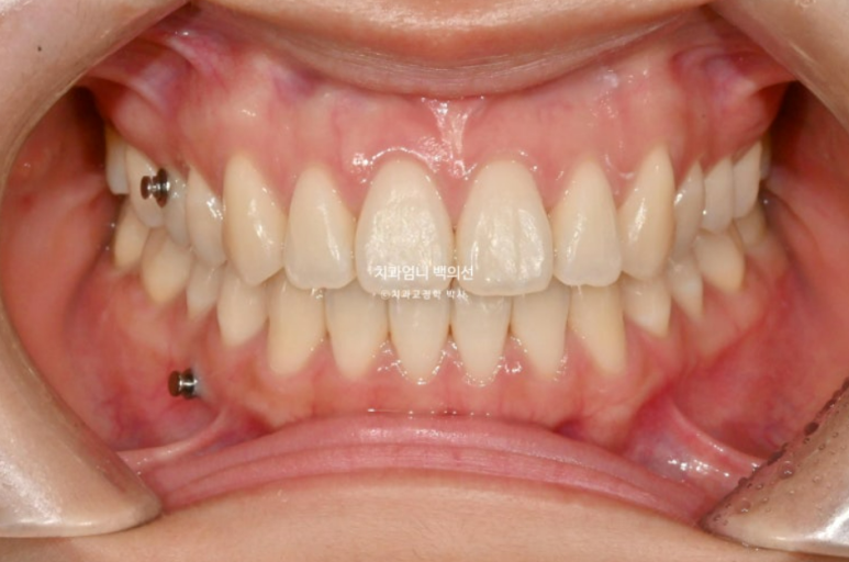
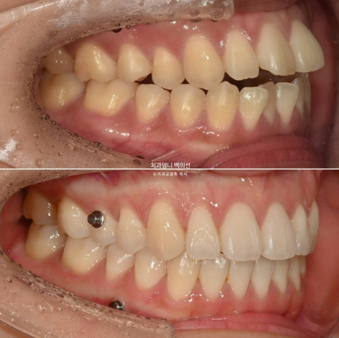
앞니 개방교합은 해소가 되었지만 앞니 중심선 불일치가 약 1mm 남았습니다.

우측 어금니 교합은 약간 떠있는 상태이고

좌측 어금니 교합은 좋습니다.


배열도 좋습니다.
교정용 나사는 위 2개 아래 2개 총 4개를 식립해서 진행했습니다.
첫번째 세트 51개 장치 안에서 미니스크류를 이용한 상악 어금니 합입과 하악 어금니 후방이동이 잘 일어났습니다.
교합 안정화와 중심선 개선을 목표로 추가장치 제작에 들어갔습니다.
추가장치 갯수는 12개이고 25년 2월부터 4월까지 3달간 꼈습니다.

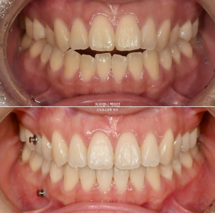
25년 4월 치료를 마무리 했습니다. 중심선은 이제 정확히 맞습니다.
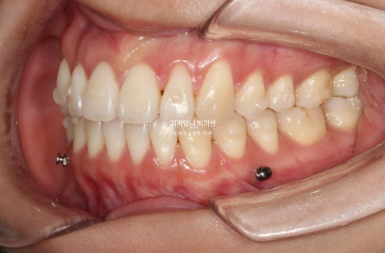
철사유지장치 부착 후 환자분은 가철식 유지장치로 비베라를 선택했는데 비베라 제작을 기다리는 2주동안 사진상 메탈고리와 하악 미니스크류 사이에 고무줄을 걸면서 초진시 떠있던 해당치아의 교합을 유지합니다.
처음에 들려있던 치아라 철사유지장치 부착 후 아무 장치도 안 끼기 시작하면 재발에 의해 미세하게 다시 들리기 때문입니다.

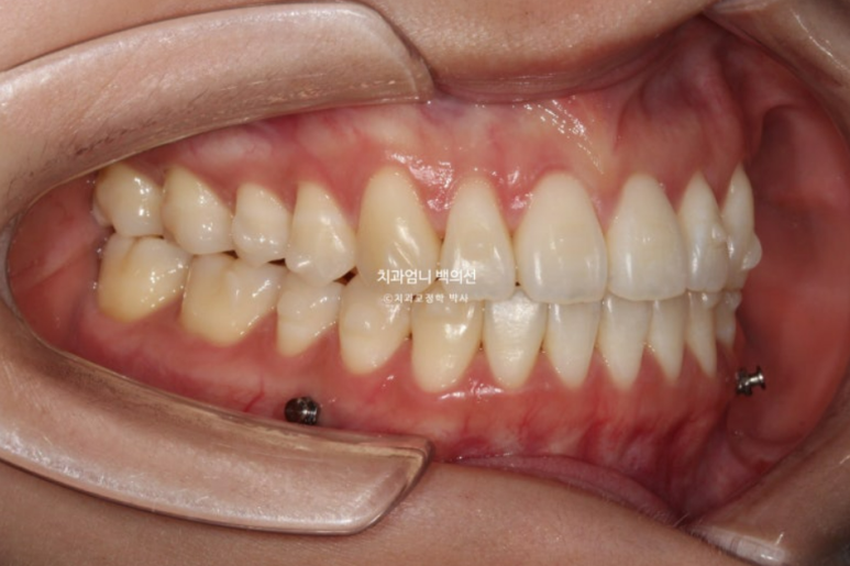
어금니 교합은 좋습니다.
이제 전 후 비교 보겠습니다.

배열은 좋으며 철사유지장치까지 붙은 모습입니다.

23.11~25.04

23.11~25.04
안모 변화 보겠습니다.

깔끔한 스마일라인과 입동굴

적절한 앞니 각도
이제 어금니 함입에 의한 하악골 자가회전 효과를 보겠습니다.

실눈 뜨고 보면 처음에 비해 하관이 약간 짧아지며 턱끝이 약간 나오고 도툼해졌습니다.
발치했으면 큰일날 뻔했습니다.
치근흡수도 없고 뿌리 평행도는 좋습니다.
개방교합으로 교정이 고민이시라면 이 포스팅이 도움이 되셨기를 바랍니다.

