안녕하세요.
압구정 교정치과 입니다.
오늘은 심한 덧니를 비발치로 또 인비절라인으로 어떻게 치료하는 지 보여드리겠습니다.

23.09~25.03
치아가 완전히 겹쳐져서 덧니가 배열될 공간이 단 1mm도 없는 경우, 치료의 퍼스트 초이스는 당연히 발치교정 입니다. 그런데 덧니쪽만 발치를 하면 안되고 보통 나머지 소구치도 발치를 해야하기 때문에 4개나 빼야하는 경우가 많습니다.
하지만 환자분이 비발치를 원하고, 비발치로도 치료할만 하다 판단되면 비발치로 치료하기도 합니다.
오늘은 그런 케이스를 보여드리겠습니다.
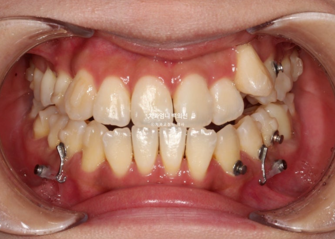
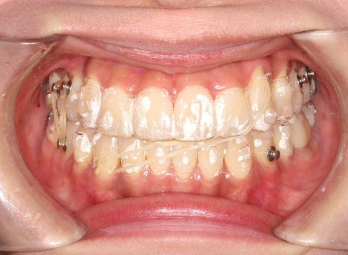
23년 8월, 교정치료를 위해 내원한 환자분입니다.
고치고 싶은 것은 단 하나 <덧니> 였습니다.

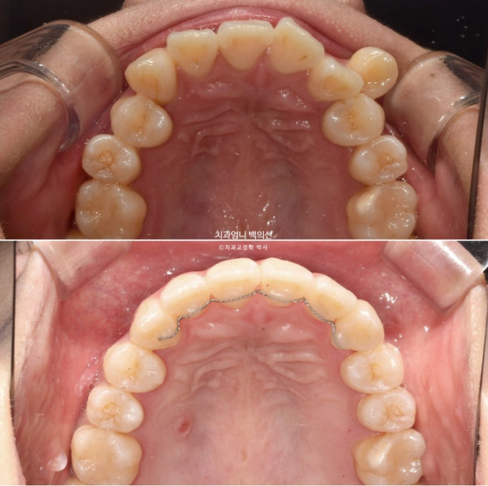
23.09
왼쪽 송곳니 하나가 완전히 배열에서 벗어나 있습니다.
덧니가 있으면 덧니쪽으로 중심선이 쏠리기 마련입니다.

위 앞니 중심선이 덧니쪽으로 틀어져 있는 것이 보입니다.

23.09
송곳니가 덧니가 제자리로 들어올 공간이 단 1mm도 없습니다.

심한 덧니입니다.


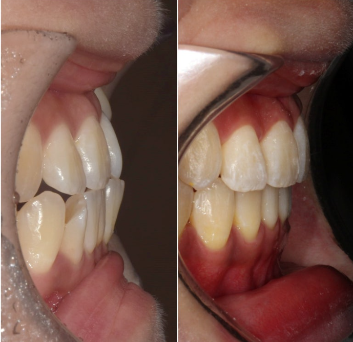
앞니는 윗니가 아랫니를 덮지 못하고 거꾸로 물리는 반대교합과 절단교합이 보입니다.
이 경우 입을 다물때 아랫입술이 나와보이고 입매가 부자연스럽습니다.

인비절라인으로 치료 원하셨고 비발치 치료를 원했기때문에 그에 맞게 치료계획을 세웠습니다.
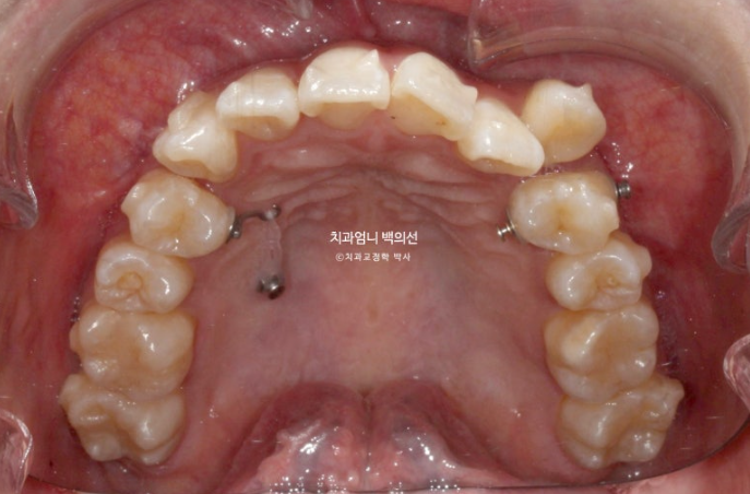
아래는 사랑니가 있던 공간으로 어금니를 뒤로 밀어내어 최종적으로 아래 앞니가 뒤로 2mm 들어가도록 했습니다.
위도 마찬가지로 사랑니 공간으로 어금니들을 전부 후방이동 시켜 덧니가 배열될 공간을 얻기로 했죠.
덧니가 배열되면서 자칫 주변치아들이 처음보다 뻗쳐나오지 않도록, 치료계획이 조금 복잡하더라도 신경을 많이 써야 합니다.
첫 세트의 장치는 66개가 나왔습니다.
23년 9월부터 24년 5월까지, 8개월간 장치를 낀 모습입니다.
치료시작

24.05
8개월간 앞니에선 큰 변화가 없죠?
어금니를 하나씩 뒤로 보내느라 초반 8개월을 대부분 소모합니다. 교정용 나사인 미니스크류도 각 분악당 최소 1개씩은 필요합니다.

24.05
다행히 환자분은 장치를 성실하게 껴주었습니다.
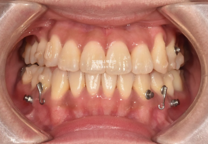
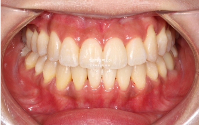
24년 11월 드디어 66개 장치를 모두 낀 후 모습입니다.

24.11
덧니는 제자리를 찾았고 아직 중심선 불일치가 보입니다.

24.11
덧니가 해결되었으니 큰 공사는 끝났네요.

24.11
어금니 교합이 뜨는 부분과 먼저 닿는 부분들을 개선하고자 재제작에 들어갑니다.

재제작 추가장치 갯수는 17개 나왔습니다.
어금니 교합 안정화와 중심선 개선을 위해 추가장치에서는 고무줄 처방이 들어갑니다.

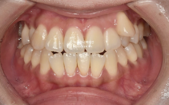
25.03
25년 1월부터 25년 3월까지 장치를 모두 낀 후 모습입니다.
총 치료기간은 1년 6개월입니다.

25.03
드디어 완벽히 일치하는 치아 중심선과 안정적인 덧니 배열

치아중심선은 위 아래 치아끼리 맞는 것도 중요하지만, 전반적인 인중과 얼굴과도 맞아야 합니다.

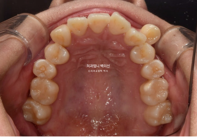
25.03

어금니 교합이 좋지 않으면 치료를 마무리 짓지 않습니다.

25.03
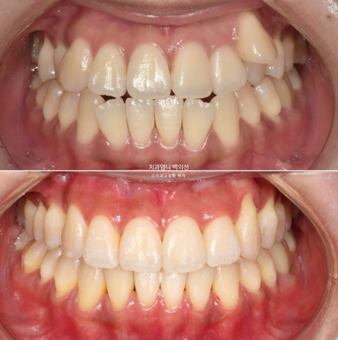
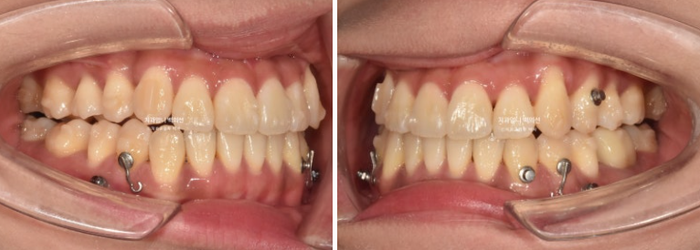
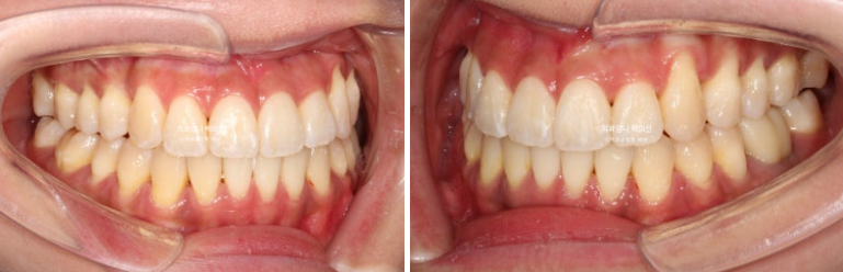
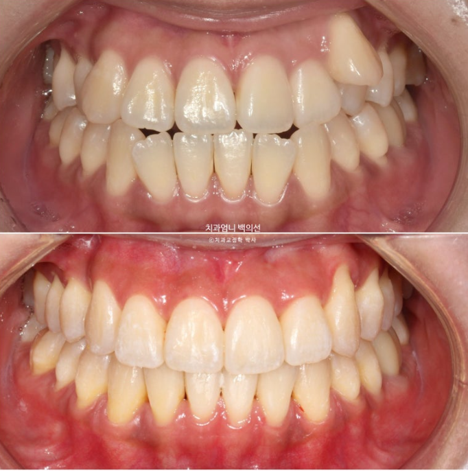
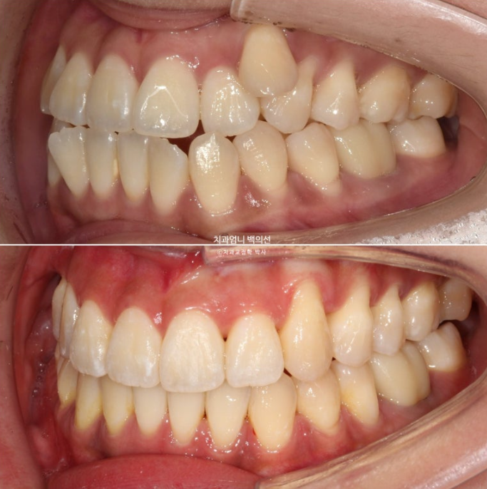
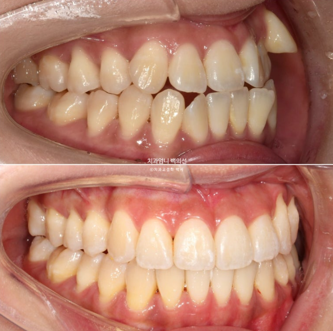
이제 치료 전후 비교 보겠습니다.

23.09~25.03
초진 3mm의 중심선 불일치가 해결되었습니다.
윗니가 아랫니를 덮는 양이 안정적입니다.

잘 내려와준 덧니입니다.


23.09~25.03

앞니가 거꾸로 물리던 부분도 정상교합을 찾았습니다
이제 전 후 안모 비교해보겠습니다.

얼굴과 맞아진 치아 중심선과 깔끔한 스마일라인

23.09~25.03
미소가 한결 예뻐지고 자연스러워졌습니다.
교정 도중 환자분의 축하할 개인사정이 생겨 치료 마무리 후 엑스레이는 찍지 못했습니다.
아래 앞니가 사랑니 공간을 이용하여 뒤로 2mm 후방이동 했습니다.
앞니 반대교합과 절단교합이 해소가 되며 아랫입술 역시 뒤로 2mm 들어갔습니다.
위 앞니는 목표대로 앞으로 나오지 않게 치료가 잘 되어 윗입술은 변화가 없습니다.

24.11
재제작 들어갈 당시 파노라마 엑스레이입니다.
치근흡수는 없고 치근평행도는 양호합니다.
재제작시 앞니에 치축 개선을 더했기 때문에 치료가 완전히 끝난 후 엑스레이에서는 치근평행도가 더 개선되었을 것입니다.
발치가 무서워 발치때문에 덧니교정을 고민중이신 분들에게 이 포스팅이 도움이 되길 바랍니다.
감사합니다.

