안녕하세요
과개교합 옥니 거미스마일 치료 설명드리겠습니다.
인비절라인 라이트는 14개의 장치 안에서 해결 가능한 라이트한 부정교합에 쓰는 짧은 프로그램입니다.
부정교합의 라이트함 의 정의는 의사마다 다르고 인비절라인 라이트로 고칠 수 있는 범위는 실력에 따라 갈릴 것 입니다.
인비절라인 라이트는 야무지게 사용하면 고칠 수 있는 부정교합이 아주 많습니다.

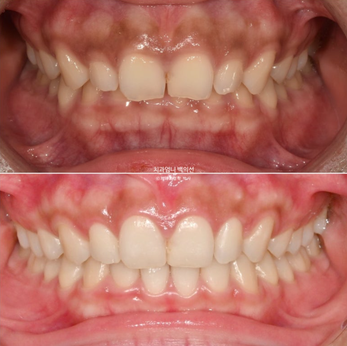
24.03~25.01
오늘은 앞니가 깊게 물리는 과개교합과 거미스마일이 있을 때 인비절라인 라이트로 단기간에 어떤 것을 할 수 있는 지 보여드리겠습니다.
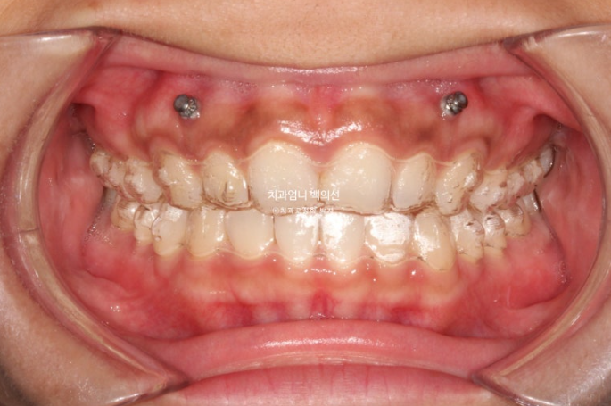
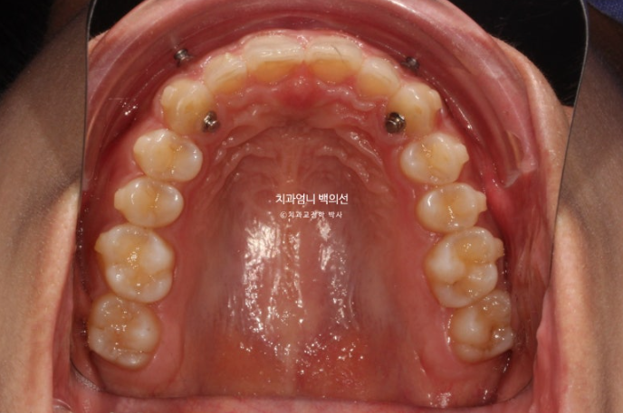
24년 3월 잇몸성형을 위해 오신 분입니다.

24.03
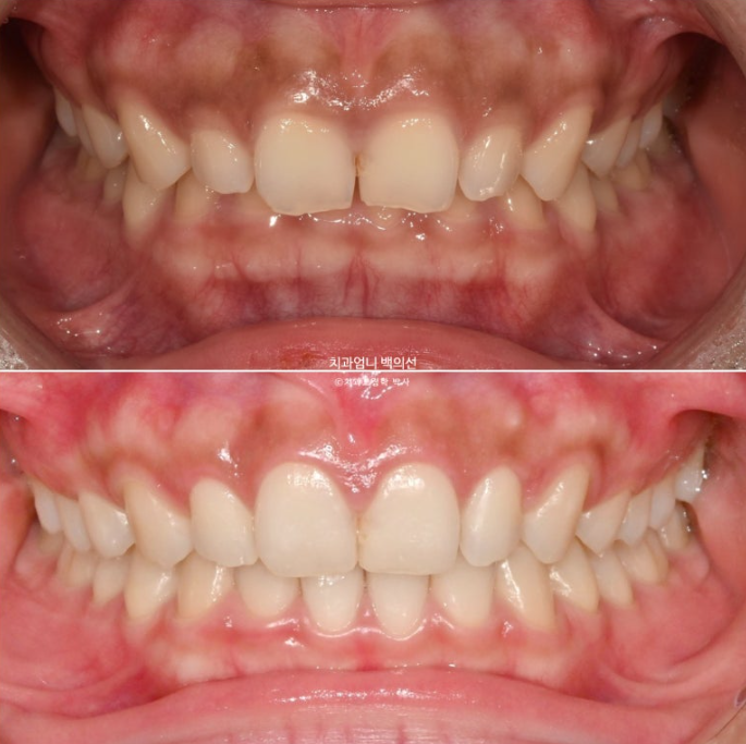
위 앞니 4개가 전반적으로 짧은 편이고 웃을 때 잇몸이 많이 보이는 거미스마일이 있습니다.
잇몸성형으로 거미스마일을 어느정도는 해결할 수 있지만 앞니가 뒤로 쓰러진 옥니이고 깊게 물리는 과개교합도 있고 앞니 사이도 벌어져 있어서 교정을 권유드렸습니다.

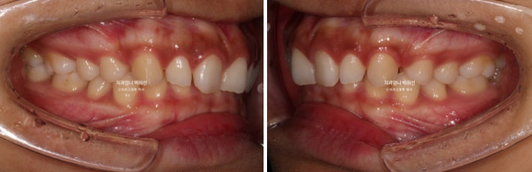
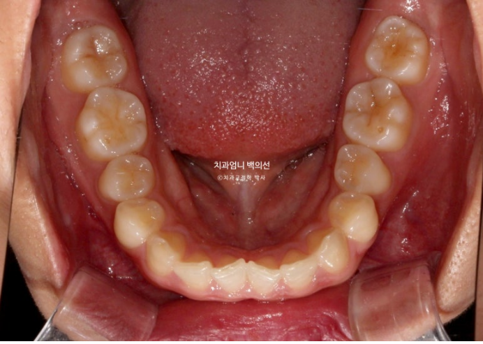
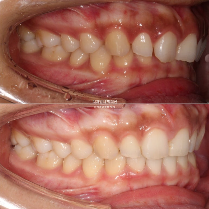
어금니교합은 좋습니다.
위 앞니가 아래 앞니를 깊게 덮어 아래앞니가 전혀 보이지 않는 정도의 심한 과개교합입니다.
위 앞니는 정상각도보다 뒤로 쓰러진 옥니입니다

앞니 사이사이에 벌어진 틈도 있습니다.

24.03
어금니 교합이 좋아 인비절라인 라이트 권유드렸고, 대신 미니스크류를 심고 고무줄을 걸어 길지 않은 기간에 과개교합과 거미스마일을 확실히 개선하기로 했습니다.

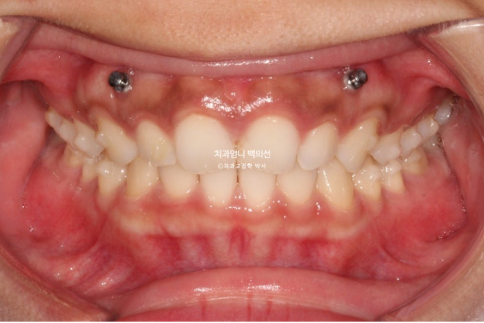
24.07
첫세트부터 앞니쪽에 교정용 나사를 심고 고무줄을 겁니다.
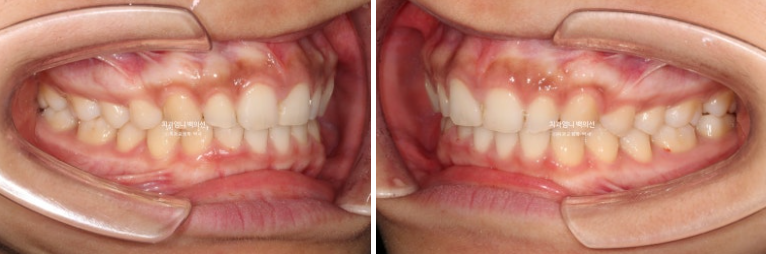
24년 7월까지, 첫 세트의 14개 장치를 모두 낀 후 모습입니다.

24.07
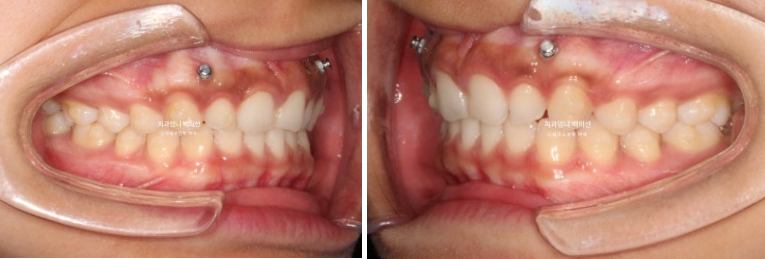
과개교합이 해소되며 아래앞니가 비로소 모습을 드러냅니다.

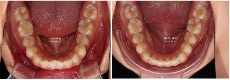
벌어진 틈을 깔끔하게 사라졌습니다.

24.07

삐뚤했던 앞니배열도 좋아졌습니다.
3.5개월의 변화라고 보기 힘들정도로 환자분은 열심히 껴주었고 치료계획도 완벽했습니다.
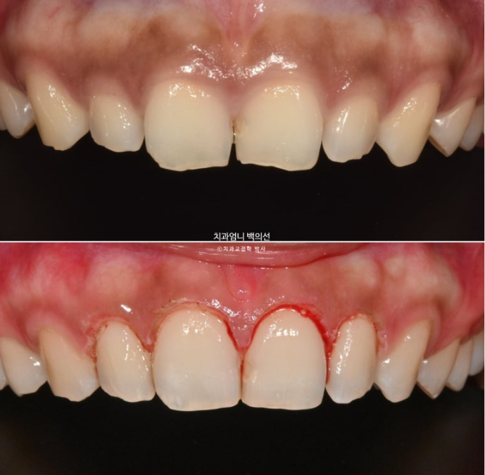
앞니를 위로 좀더 올려 거미스마일을 더 개선하고자 추가장치를 제작했습니다.

중간에 잇몸성형도 했습니다. 치아를 과도하게 덮고 있는 잇몸을 걷어내는 과정입니다.
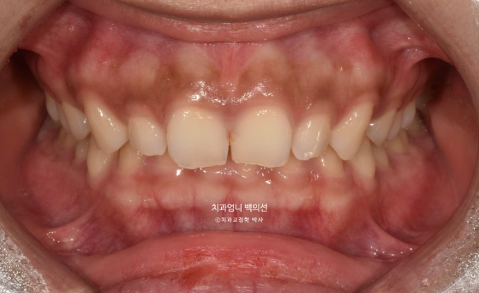
24년 9월부터 25년 1월까지, 5개월간 14개 추가장치를 모두 낀 후 모습입니다.
총 치료기간은 10개월 입니다.

25.01
길이가 짧아 답답해보이던 앞니가 잇몸성형으로 비율이 좋아지며 보기에 시원해졌습니다.

좋았던 교합은 잘 유지되었고

24.03~25.01

좋아진 배열과 사라진 틈.
이제 전후 비교 보겠습니다.

24.03~25.01
과개교합의 확실한 개선

안모 비교 보겠습니다.

24.03~25.01
거미스마일은 많이 개선이 되었습니다.

24.03~25.01
앞니가 뒤로 쓰러져 있던 옥니도 상당히 개선되었습니다.

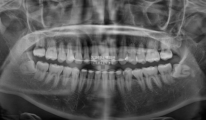
10개월의 치료기간 동안 치근흡수는 없으며 치근평행도는 양호합니다.
아래앞니과 위 앞니의 상당량의 함입이 눈에 띕니다. 위아래 앞니가 2mm씩 함입되었습니다.
덕분에 입술은 처음보다 좀 더 편하게 다물리게 되었습니다.
과개교합 교정이 끝나면 앞니 교합이 다시 깊어지지 않도록 전체치열을 수직적으로도 확실히 잡아주는 비베라 유지장치를 하는 게 가장 좋습니다. 비베라 유지장치에는 앞니교합이 깊어지지 않게끔 하는 바이트블럭 까지도 처방이 가능하거든요.
이 환자분도 현재는 비베라를 매일 잘 때만 끼며 잘 유지하고 계십니다.
초진 상담시 환자분들께 듣는 타치과 상담 이야기 중
"인비절라인 라이트는 단시간에 무리한 이동을 일으키기 때문에 치아에 부담이 되고 재발이 잘된다."
라고 설명하며 컴프리헨시브로 유도하는 경우가 종종 있는 듯 합니다.
그러나 유지장치도 환자분의 처음 상태 및 재발양상까지 고려하여 전략적으로 들어간다면, 재발될 걱정은 안해도 됩니다.
내 사전에 내가 치료한 교정환자의 재발은 없다.
라는 마인드로 진료하고 있습니다.
내년 초쯤 이 환자분의 1년 후 정기검진 상태를 포스팅해보겠습니다.
오늘도 긴 글 읽어주셔서 감사합니다.

