안녕하세요
압구정 인비절라인 치과입니다.
브라켓 철사 교정을 진행하던 중 몸의 다른 문제로 두경부에 MRI 찍을일이 생기면 이 때문에 장치를 제거해야 하는 일이 종종 생깁니다.
오늘은 이런 일로 장치를 제거하고 남은 교정 마무리를 인비절라인으로 한 사례를 소개해드리겠습니다.

25.02
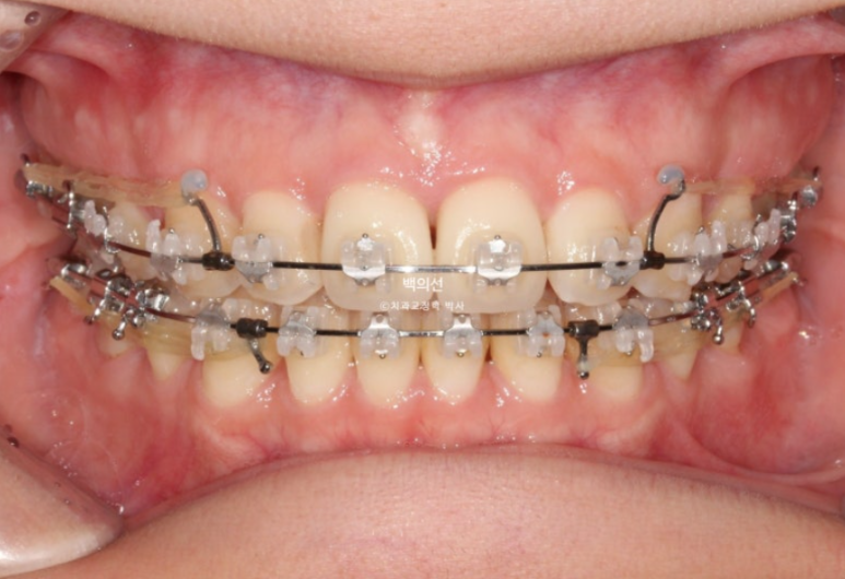
지난 2월 타병원에서 이미 2년 10개월째 클리피씨 발치교정을 진행하던 환자분이 오셨습니다.
교정치료 도중 머리부위에 MRI를 찍을 일이 많이 생겨서 인비절라인으로 치료를 마무리하고 싶어 오셨습니다.

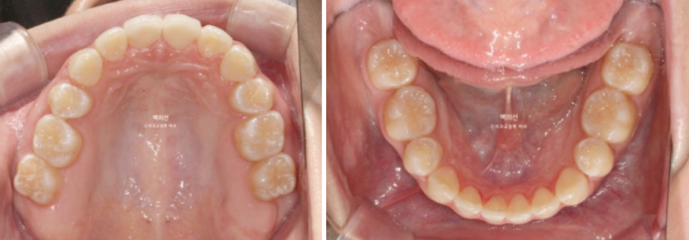
25.02

25.02
치료기간이 이미 2년 10개월이 된만큼 교정치료 마무리 단계입니다.

그런데 엑스레이상 치아 뿌리의 평행이 맞지 않는 부분들이 보입니다.
뿌리가 맞닿아 있으면 발치공간이 잘 닫히지 않을뿐더러 여러모로 좋지 않습니다.
치아 뿌리는 안 보이는 부분이지만 평행하게 맞추는 것이 장기적으로 환자분께 좋습니다.
환자분은 교정중이던 치과에 MRI촬영으로 인하여 인해 인비절라인으로 교정 방법을 바꿔 마무리 해주길 요청했었으나 기존치과에서는 인비절라인으로 뿌리이동이 안되기 때문에 발치교정은 절대 안된다. 라고
거부를 당했기에 결국 마무리하지 못하고 치과를 옮겨야 하는 상황이 된 것입니다.
남은 공간 마무리와 치아뿌리 각도 개선, 중심선 개선을 목표로 인비절라인 라이트를 권유드렸습니다.
인비절라인 장치제작을 위해 클리피씨 장치를 제거한 직후입니다.

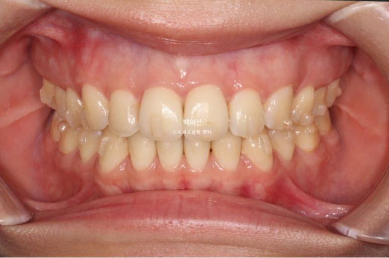
25.02
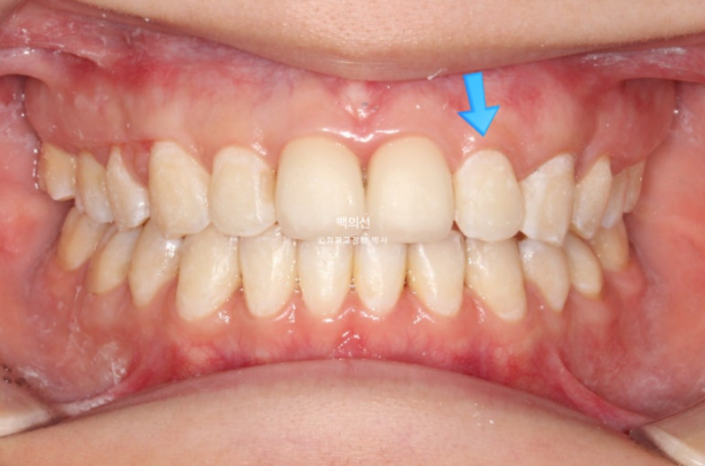
아직 맞지 않는 중심선은 남은 공간이 닫히면 자연스레 맞아질 것 입니다.
아까 엑스레이에서 치축이 기울어져 있던 파란화살표 측절치는 튀어나와 보이고 기울어져 보입니다.

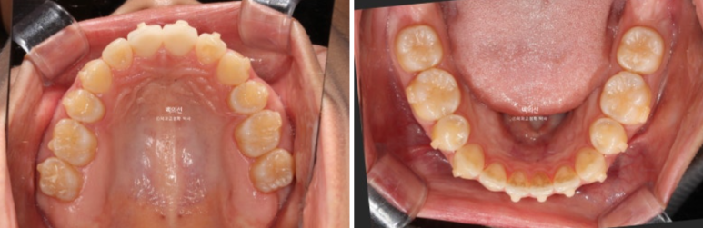
25.06
25년 3월부터 25년 6월까지 인비절라인 장치 14개를 다 낀 후 모습입니다.

25.06
중심선을 잘 맞아졌으며

25.06
남아있던 발치공간도 깔끔하게 사라졌습니다.
인비절라인라이트는 추가장치 제작의 기회가 1번 있지만 경과가 좋아 재제작 없이 치료를 마무리 하였습니다.

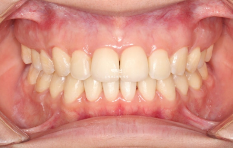
25.07
기울어져 보이던 측절치는 대칭성을 회복했으며

25.07
교합은 처음보다 좋아졌습니다.

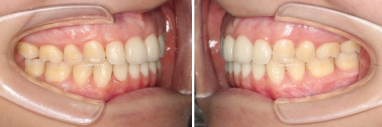
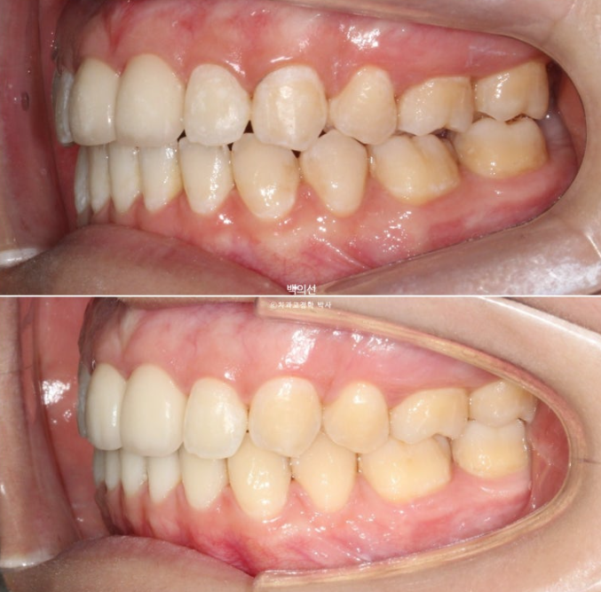
25.02~25.07
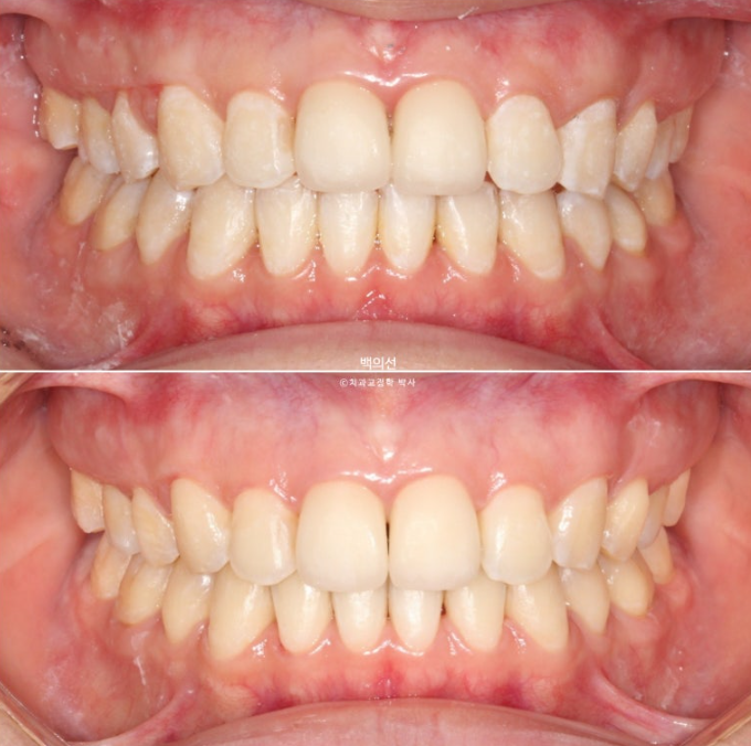
이제 전후 비교 보겠습니다.
총 치료기간은 4개월입니다.

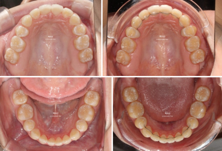
25.02~25.06

25.02~25.06

25.02~25.06
어금니교합 뿐만 아니라 앞니 교합까지 더 긴밀해졌습니다.
이제 안모변화 보겠습니다.

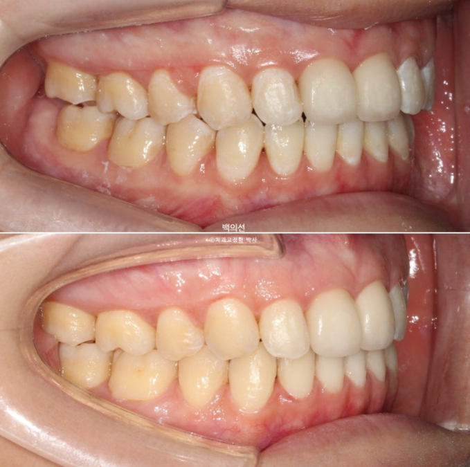
25.02~25.06
남은 공간이 사라지며 윗니 돌출이 개선되었습니다.

25.02~25.06
뼈속에서 붙어있던 송곳니와 작은어금니 뿌리들은 4개월의 교정으로 비로소 서로 멀어지며 정렬을 찾았습니다.
간혹 "인비절라인 뿌리이동이 안된다더라" 라는 잘못된 정보를 물어보는 환자분들이 계십니다.
오늘 이 포스팅이 도움이 되길 바랍니다.
감사합니다.

