안녕하세요 인비절라인 발치교정 소개해드리겠습니다.
인비절라인 발치교정 까다로운 이유는 ?
어금니 쓰러짐이 생기기 쉽고 앞니 교합이 깊어지기 쉽기 때문입니다.
이 두가지를 잘 컨트롤 해야 인비절라인 발치교정이 성공적으로 마무리 됩니다.

23.01~25.07
예전에 초진 상담 시 어떤 환자분께서 이렇게 물어본 적 이 있습니다.
<원장님은 브라켓 붙여서 마무리한 케이스는 없으신가요?>
왜 없겠습니까 ^^
오늘은 생각나는 그 환자분을 위한 포스팅입니다.

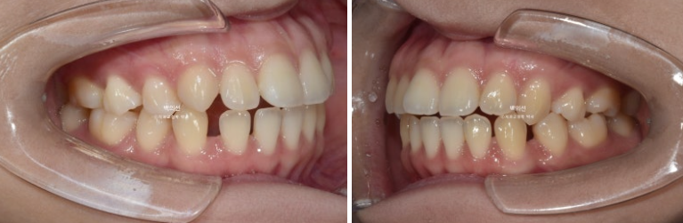
23.01
2년 전 인비절라인 교정치료를 위해 내원한 환자분입니다.
환자분이 고치고 싶은 것은
치아 비대칭
앞니로 면이 안 끊김 (개방교합)
두 가지입니다. 안모에서는 돌출입도 보였습니다.

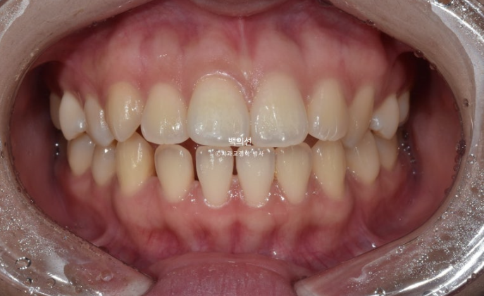
23.01
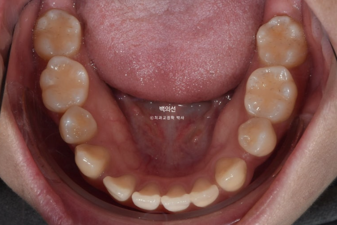
앞니 중심선이 다르고 아랫니에 듬성듬성 공간이 벌어져 있습니다.

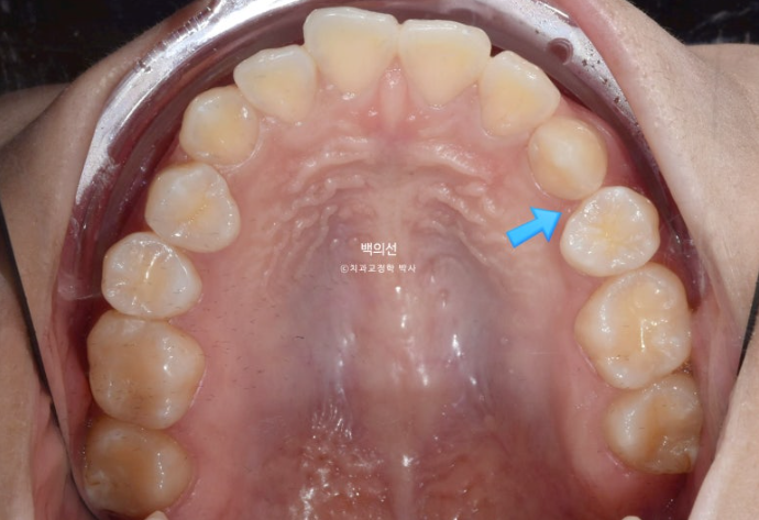
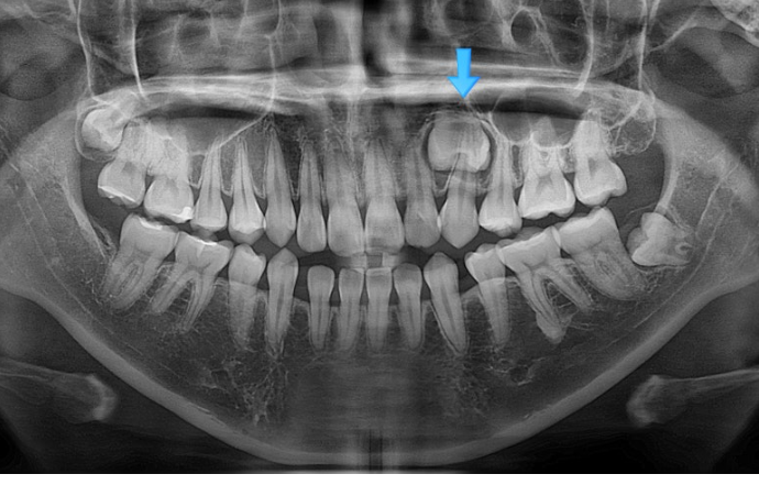
23.01
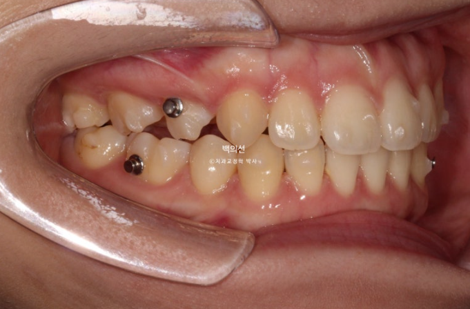
파란 화살표 자리에 있어야할 첫번째 작은어금니는 어디로 갔을까요?

네 매복이 되어있습니다.
매복치를 빼야만 교정이 가능한 경우도 많습니다. 하지만 이 매복치의 경우 매복깊이가 상당히 깊어 합병증이 우려가 되는 바 인접 치아들이 매복치를 건드리지 않게 치료계획을 세우기로 합니다. 다행히 매복치가 있는 좌측은 치아이동이 크게 필요하지 않습니다.
지난 번 말씀드렸듯이 작은어금니가 결손되어 없는 경우 치아 중심선이 그쪽으로 돌아가게 됩니다.
이 치아 중심선을 다시 중앙으로 끌어와 얼굴과 인중과 맞춰야 합니다.
이 환자분도 마찬가지입니다. 작은어금니가 매복된 쪽으로 앞니 중심선이 돌아가 있습니다.


23.01
아래에도 첫번째 작은어금니가 양쪽에 각각 결손되어 있네요. 그래서 공간들이 남아 치아들이 벌어져 있습니다.
태어날때부터 없는 치아를 선천적 결손치라고 합니다.
결론적으로 작은어금니 4개 중 3개가 입안에서 안 보이는 상태입니다. 2개는 결손, 한 개는 매복.
마침 돌출입도 보여서 이런 경우 유일하게 남아있는 작은어금니 1개만 빼면 작은어금니 4개 발치교정 한셈 치고 교정치료를 하면 좋습니다.
유일하게 잘 나와있는 작은어금니 1개를 아쉽지만 발치하고 인비절라인 치료에 들어갔습니다.

23.05
고무줄을 걸며 인비절라인 치료를 진행합니다.

23.05
치료시작 6개월차, 벌써 발치공간이 절반정도 닫힌 것 처럼 보입니다. 이 당시에도 발치한 쪽 어태치먼트가 일부 맞지 않아 어금니가 약간 쓰러지려는 경향이 보였으나 바로 재제작에 들어가진 않습니다.
어태치먼트가 안 맞는 부분이 한두군데 보여도 쓰러짐이 악화되지 않을정도로 어태치먼트 보강을 하고 진도를 먼저 나가는 편입니다. 만약 어태치먼트가 안 맞을때마다 계속 재제작을 할때마다 새 장치 기다리는 시간만 최소 한 달 이상이라 토탈 치료기간이 너무 길어지기 때문입니다.(원장님마다 컨셉은 다를 수 있습니다.)

23.10
그리고 치료 시작 10개월차, 교합면 사진을 보면 마치 발치공간이 다 닫힌것 처럼 보입니다.

23.10
그러나 발치공간으로 어금니가 쓰러진걸 볼 수 있습니다.
인비절라인 발치교정이 이러한 변수 없이 잘 진행 되려면 하루 20시간 이상 단 하루도 빼먹지 않고 잘 껴줘야 합니다.
이제 더이상 재제작을 미룰 수 없고 쓰러진 어금니도 세워야합니다.

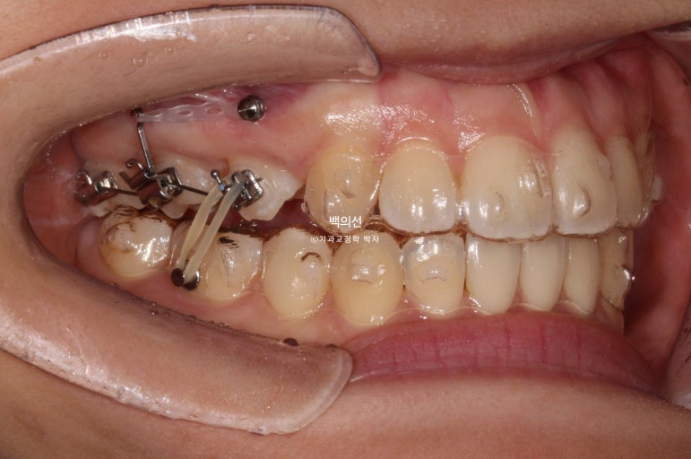
23.10
쓰러진 어금니를 세우는 데에는 인비절라인이 효과적인 경우도 있고 브라켓이 효과적인 경우도 있습니다.
이 경우 쓰러진 정도가 심해 부라켓을 붙여 부분교정으로 쓰러진 어금니를 세우기로 합니다.
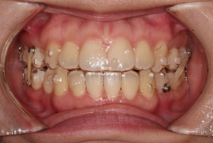
23년 10월부터 5개월간 어금니에 부분적으로 브라켓을 붙이고 나사를 심고 고무줄을 걸며 쓰러진 어금니를 세웠습니다.

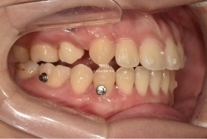
24.03
5개월에 걸친 부분교정으로 이제 겨우 어금니가 섰으니 재제작을 준비해야죠.
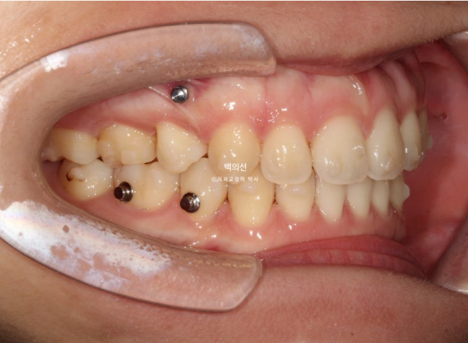
첫 추가장치 제작에 들어갔고 24년 4월부터 12월까지, 34개 추가장치를 모두 낀 후 모습입니다.

발치공간은 어금니 쓰러짐 없이 잘 닫혔고

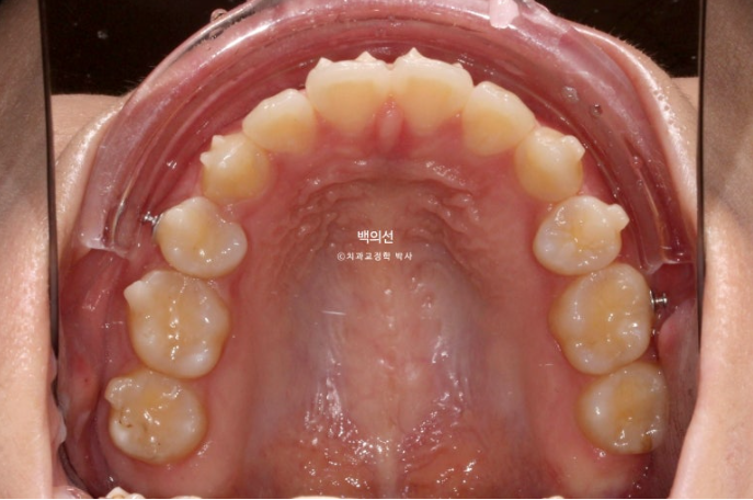
양측 교합은 모두 좋습니다.

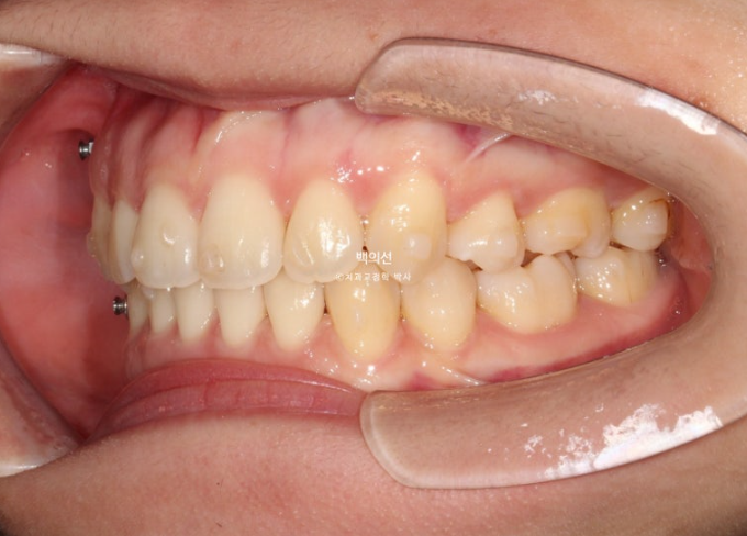
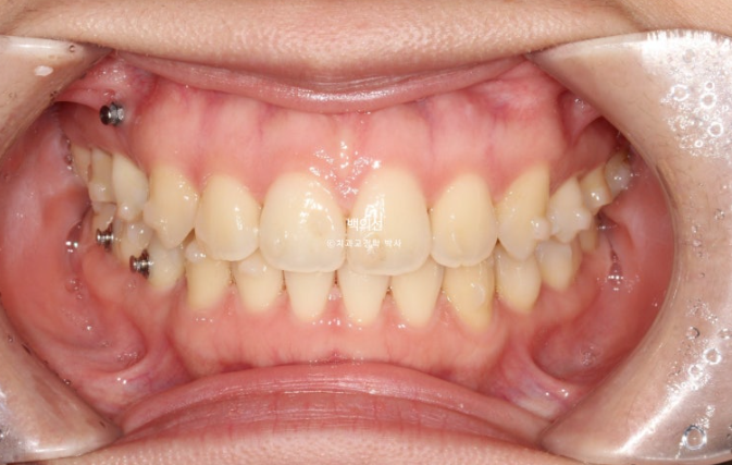
24.12
다만 앞니 중심선이 아쉽고

24.12
발치곡안이 미세하게 남아 두번째 추가장치 제작에 들어갔습니다.
25년 2월부터 6월까지 18개 추가장치를 모두 낀 후 치료를 마무리 하였습니다.
총 치료기간 2년 6개월입니다.

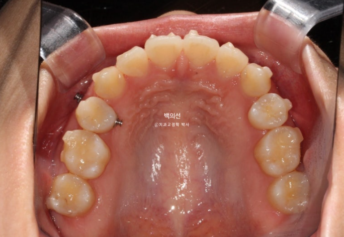
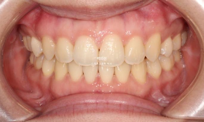
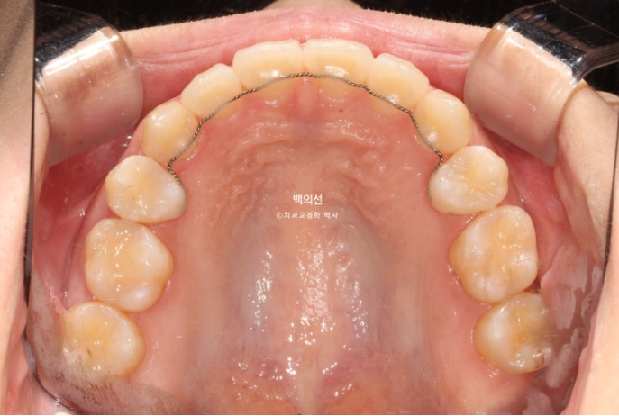
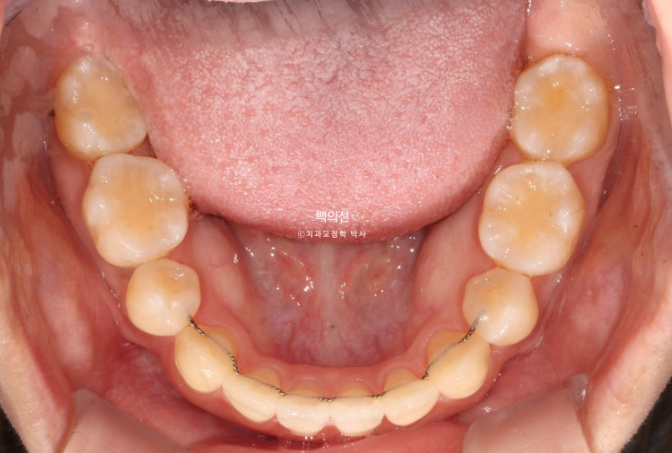
25.07
중심선은 정확히 맞으며

25.07
교합은 긴밀한 1급 교합관계가 보입니다.

25.07
남아있던 발치공간은 깔끔히 마무리 되었습니다.

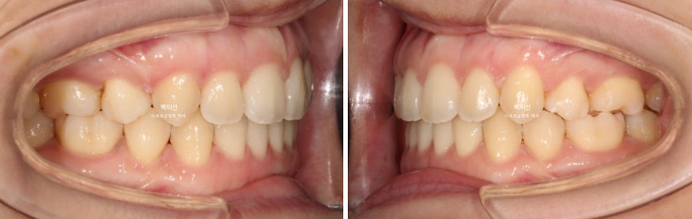
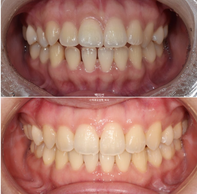
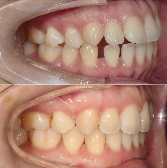
이제 전 후 비교해보겠습니다.

23.01~25.07
맞아진 중심선과 개선된 앞니 개방교합. 이제 면 편하게 끊어 드실 수 있겠어요.

23.01~25.07
어금니 교합이 기존 3급에서 정1급 교합관계로 바뀌었습니다.

23.01~25.07
뻗쳐있던 위 앞니가 해소가 되면서 돌출이 해소되었습니다.
이제 안모 비교해보겠습니다.

23.01~25.07
사진에서 보이듯, 교정하면 턱이 갸름해집니다. 입매도 예뻐집니다.
무엇보다 돌출된 앞니 때문에 잘 다물어지지 않던 입술과 턱라인이 자연스러워졌습니다.
특히 이 환자분은 어금니 함입으로 하악골 자가회전이 일어나며 하관이 짧아지는 효과가 나타나며 더 예뻐졌습니다.

23.01~25.07
아름다운 스마일라인이 돋보입니다.
웃을때 입술의 기울어짐은 교정으로 개선되는 부분이 아닙니다.
그러나 덜 올라간 입꼬리를 반대편에 맞춰 글어 올리는 연습을 하면 미소 대칭성을 찾을 수 있습니다.
실제로 승무원 준비하시는 분들은 입꼬리 높이를 맞추더라구요

23.01~25.07
예쁜 앞니 예쁜 미소

23.01~25.07
예쁜 입매

23.01~25.07
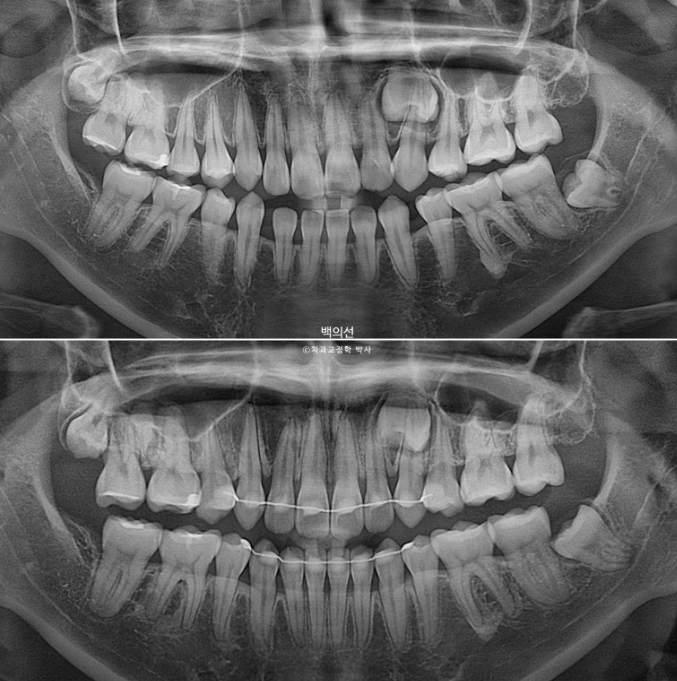
2년반 교정기간동안 매복치는 건드리지 않았고 그대로 잘 남아있습니다.
치근평행도는 좋습니다.
2년반의 기간동안 치근흡수는 일어나지 않았습니다.
돌출된 앞니가 뒤로 들어가며 입매가 개선되었습니다.
주목할 점은 아래턱의 자가회전 입니다.
어금니 함입으로 인해 아래턱이 더 다물리면서 하관이 짧아지고 턱끝이 처음보다 앞으로 나왔습니다.
돌출입 개선과 하악골 자가회전의 콜라보는 입매를 드라마틱하게 개선시킵니다.
환자분의 소중한 시간과 비용, 노력이 아깝지 않도록 늘 100점짜리 결과를 위해 노력합니다.

