안녕하세요 압구정 인비절라인 교정치과 입니다.
인비절라인 교정을 시작했으나.. 스스로 열심히 끼기가 어려워 뒤늦게 클리피씨 철사교정으로 바꾸는 경우가 가끔 있는데요 오늘은 그런 이야기를 들려드리겠습니다.

23.05~25.07
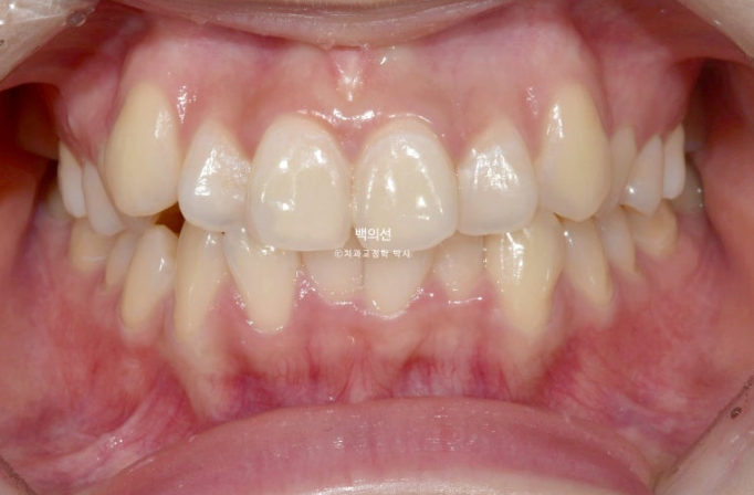
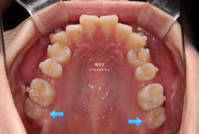
2년 전 5월, 인비절라인 교정을 위해 내원한 환자분입니다.

23.05
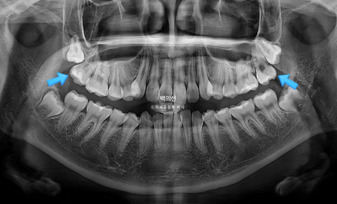
송곳니 덧니가 심한편입니다.

23.05
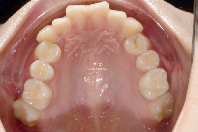
맨 뒤 큰어금니는 뒤로 나있습니다.

23.05

23.05

23.05
파란 화살표 위 마지막 큰어금니는 매복된 사랑니에 눌려 사랑니를 발치하지 않으면 바로세우기 힘든상황입니다.
그런데 씨티를 찍어보니 매복된 사랑니가 상악동과 닿아있어 발치가 쉽지 않은 상황입니다.
무리하게 발치를 시도했다가 상악동천공 등의 부작용이 생길 수 있습니다.

23.05
이런 경우 사랑니의 사이즈나 모양이 큰어금니와 비슷하면 맨뒤에 위치한 두번째 큰어금니를 빼고 그곳으로 사랑니 맹출을 유도하면 좋습니다.

23.11
송곳니는 잡아놓고 위 어금니들을 뒤로 밀어내며 송곳니 덧니를 가지런히 만들 공간을 얻기로 합니다.
맨 뒤 큰어금니까지 뺏으니 어금니 후방이동이 수월한 편입니다.

23.11
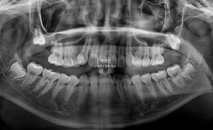
엑스레이에서 치료시작 6개월만에 사랑니가 발치한 두번째 큰어금니 자리로 금방 내려온 것이 보입니다.

23.11
파란화살표는 발치한 맨 뒤 큰어금니 자리로 내려온 사랑니랍니다.
치료시작 6개월차 사진을 보면 큰어금니들을 뒤로 보내어 어금니 사이에 공간이 생겼습니다. 덧니를 펼 공간이 꽤 많이 만들어졌습니다.
하지만 이 시기에 환자분이 장치를 잘 끼지 않아 장치가 맞지 않게되어 재제작에 들어갔습니다.
재제작 장치를 끼기 시작한 것은 한달후인 24년 1월입니다. 그런데 24년 8월까지 환자분은 치과에 오지 못했습니다.

24.08
7개월만에 다시 내원했을 때 모습입니다.
그동안 장치를 못 꼈다고 고백했습니다.
7개월전에 분명히 벌어져 있던 어금니 사이 공간은 안타깝게도 장치를 아예 안 끼는 동안 모두 사라져 버렸습니다.
인비절라인 교정을 사정이 생겨 잠깐 중단하는 경우, 원래 끼던 마지막 장치라도 잘때만이라도 계속 껴야 합니다.
그렇지 않으면 그동안 움직여놓은 치아들이 대부분 원래 자리로 돌아가게 됩니다.
치아가 원래 자리로 돌아가려는 성질은 생각보다 매우 강력하며 따라서 철사유지장치와 뺏다꼈다 하는 가철식 유지장치는 필수입니다.
환자분은 더구나 내년에 중요한 일을 앞두고 있어 9개월내로 치료 마무리를 원하셨기에 지금이라도 클리피씨를 붙여서 치료를 마무리 하길 원했습니다.
장치를 오랫동안 안 끼면서 그동안 움직였던 치아가 전부 제 위치로 돌아가 클리피씨 장치를 붙인 이당시 상황은
23년 5월 초진상황과 비슷하다고 보시면 됩니다.

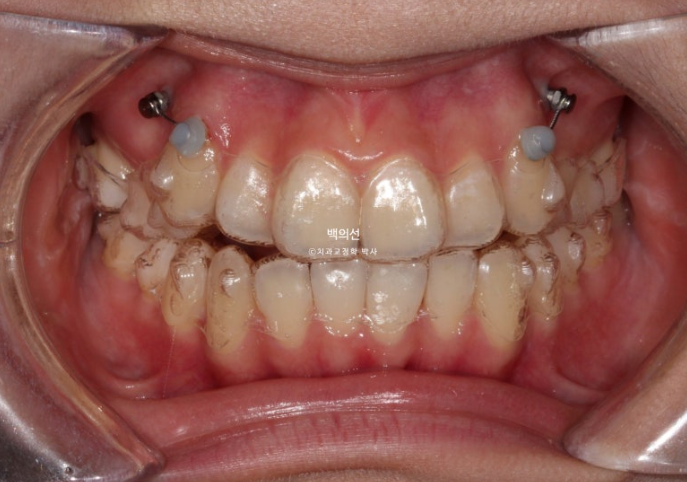
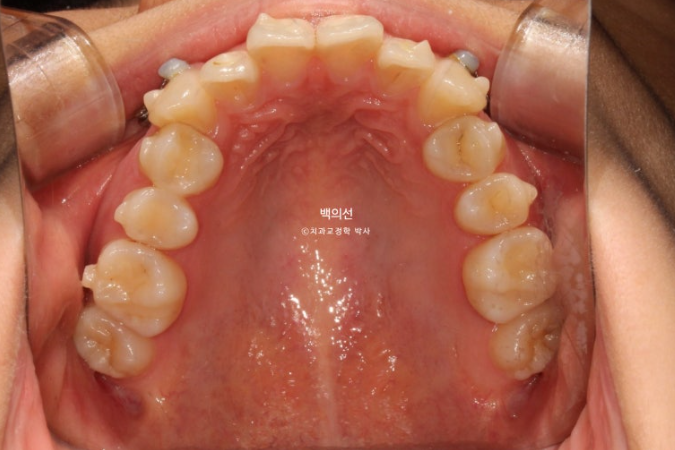
25.01
위에는 교정용 나사를 두 개 심어 송곳니 덧니를 가지런히 할 공간을 어금니 후방이동으로 얻기로 합니다.
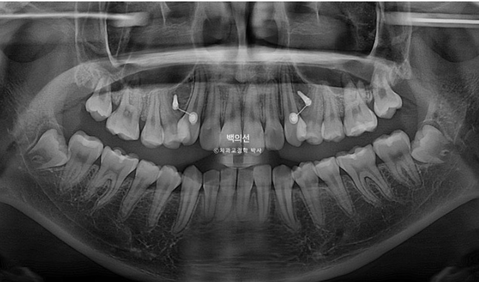
클리피씨 장치를 붙인 사진이 없어 엑스레이로 대체합니다.
그렇게 클리피씨 장치를 붙인지 11개월째, 치료를 마무리 하였습니다.

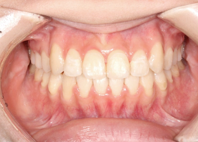
25.07

교합은 좌우 정 1급을 달성했으며 좋습니다.
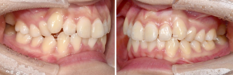
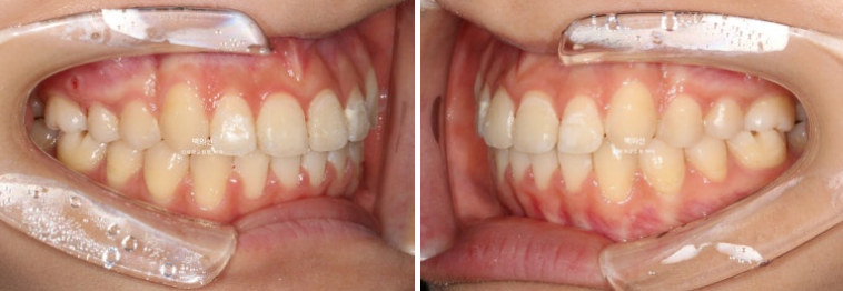
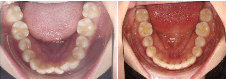
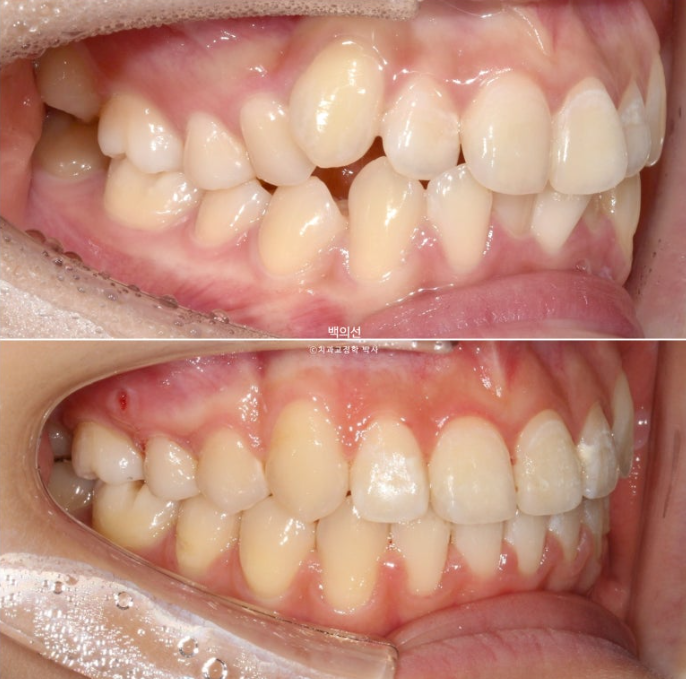
좌 : 치료 전 / 우 : 치료 후

23.05~25.07
파란화살표는 사랑니입니다.

23.05~25.07
이제 전후 비교 보겠습니다.
인비절라인으로 치료를 시도했던 기간은 1년 3개월(그중에 7개월은 장기 미내원), 클리피씨 장치를 붙여 치료한 기간은 11개월 입니다.

23.05~25.07

23.05~25.07

교정을 하면 얼굴이 갸름해집니다.
사랑니를 빼도 갸름해지지 않는다는데 교정을 한다고 갸름해질리가?
이유가 궁금하시면 하단 포스팅 참고하시면 좋습니다. 내용 후반부에 교정하면 갸름해지는 이유를 잘 정리해놓았답니다.
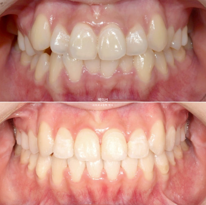
웃는 사진 보겠습니다.

23.05~25.07
돌아가있던 송곳니 덧니가 해소가 되며 입동굴이 시원하게 생겼습니다.

23.05~25.07
깔끔해진 미소

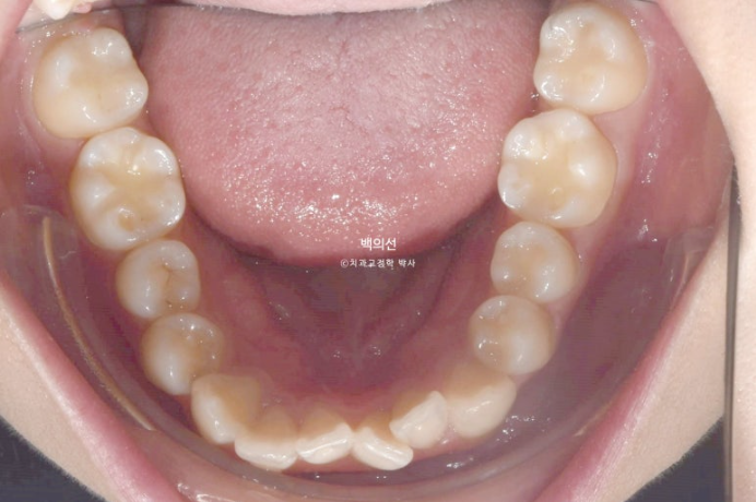
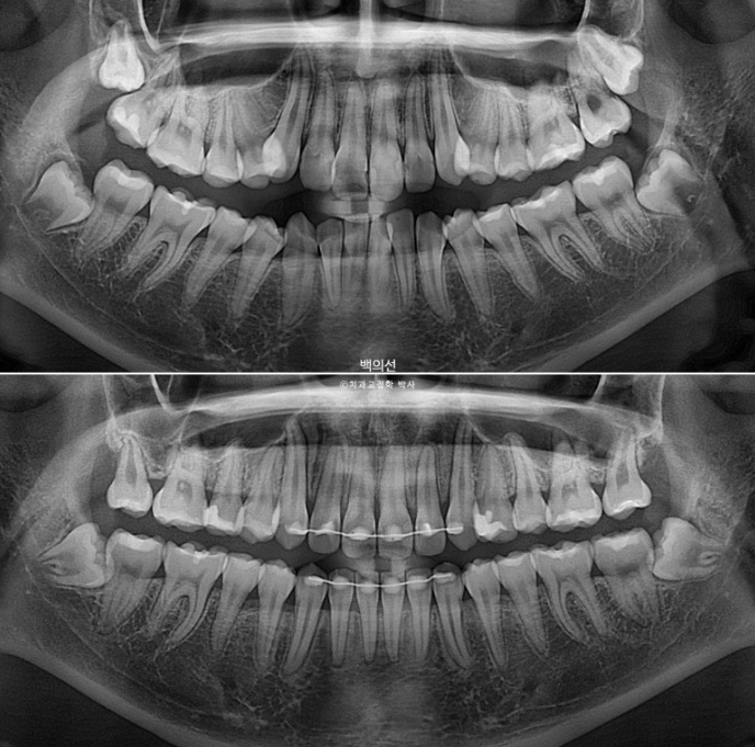
2년 2개월간 치근흡수는 없으며 치근평행도는 좋습니다.
특히 송곳니 덧니 쪽으로 쓰러져 있던 송곳니와 작은어금니 뿌리 치축 개선이 눈에 띕니다.
환자분이 인비절라인 장치를 잘 껴주었다면 굳이 클리피씨 붙이지 않고서도 치료결과가 좋았을텐데 하는 아쉬움이 남지만, 환자분 개개인이 처한 상황이 모두 같을 순 없습니다.
약간 돌아갔지만 결과가 좋아 다행입니다.

