안녕하세요
오늘은 거미스마일 교정 이야기를 해보겠습니다.

거미스마일의 원인이 치아가 잇몸과 함께 내려와 있는 경우라면 교정으로 치아와 잇몸을 올려주시면 됩니다.
잇몸이 치아를 과도하게 덮고 있어서 원인이라면 잇몸성형술을 통해서 과도한 잇몸을 걷어내주면 됩니다.
오늘은 두 가지 원인이 혼재된 경우에 대한 이야기 입니다.

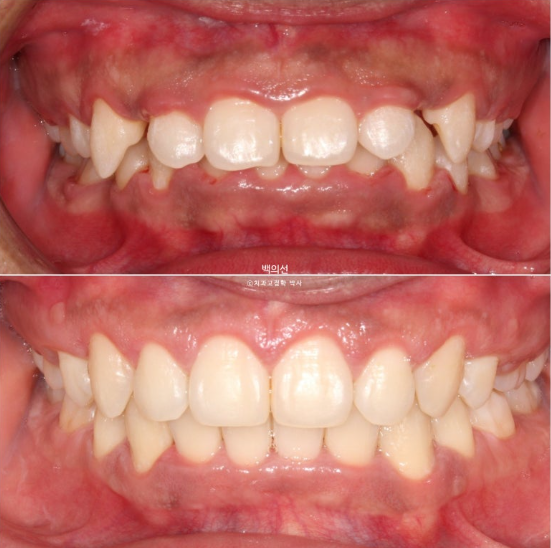
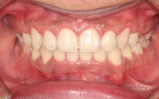
23.07
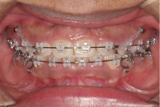
2년 전 교정치료를 이어받기 위해 오신 외국인 환자분입니다.
외국에서 발치교정 진행 중 브라켓을 붙인 채로 치료 도중 오셨으며 한국에 머무르게 되어 치료 마무리를 위해 오셨습니다.
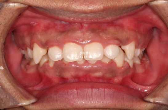
사진은 브라켓을 뗀 후 사진이고, 위 앞니가 아랫니를 많이 덮는 과개교합이 보입니다.

아랫니가 안 보일 정도의 심한 과개교합 입니다.

위 아래 발치공간이 절반 이상 남아있는 상황입니다.
단순 발치공간을 닫는데 집중하기 보다는 앞니를 위로 올려 거미스마일도 해결하기로 합니다.
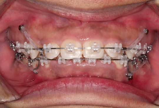
클리피씨 장치 부착하고 치료를 시작합니다.

23.11
치료시작 4개월차 입니다.
앞니를 위로 올려 뼛속 방향의 이동인 함입을 도모하게 되면 잇몸도 치아와 함께 올라가며 웃을 때 잇몸노출량이 줄어듭니다.
이를 위해 교정용 나사가 필요합니다.

24.06
치료시작 1년 차 과개교합은 해소가 되었습니다.

그리고 25년 5월, 본원에서 교정치료를 이어 시작한지 1년 10개월만에 치료를 마무리 했습니다.

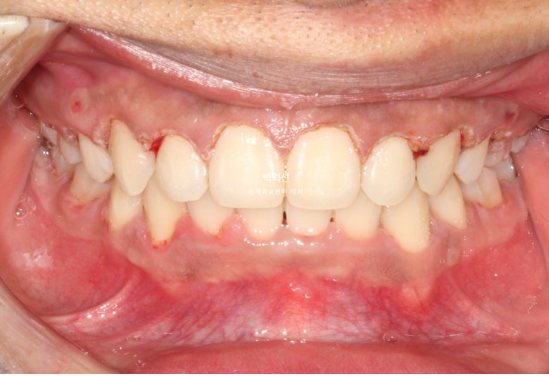
25.05
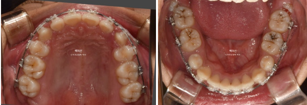
클리피씨 브라켓을 뗀 후 잇몸성형 직후 사진입니다.

25.05
앞니 각도와 어금니 교합은 좋고 1급 교합관계를 보입니다.

25.05
잇몸성형 일주일 후 잇몸이 잘 아물었습니다.
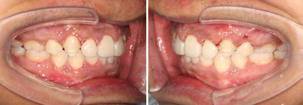
좌 - 치료 전 / 우 - 치료 후

23.07~25.05

23.07~25.05
이제 전후 비교 보겠습니다.

23.07~25.05
중심선은 잘 맞으며 과개교합은 좋아졌습니다.

23.07~25.05
안모에서는 확실한 거미스마일 개선이 눈에 띕니다.

23.07~25.05

앞니가 상당히 뒤로 들어갔음에도 치료 전과 후 입매 변화가 크지는 않습니다.
인중 부위의 볼롬함 감소와 아랫입술의 후퇴 정도만 눈에 띕니다.
위 앞니 기준 뒤로 4-5mm 들어갔고 위로는 2-3mm 함입되었습니다.
이 경우처럼 입술과 인중이 도톰하면 앞니 후방이동량이 상담함에도 입매 변화가 크지 않은 경우가 있습니다.
반대로 입술과 인중부위 살이 얇으면 앞니 후방이동량이 크지 않은데도 입매 변화가 큽니다.
사람에 따라 다르며 연조직(살) 두께, 탄성, 하다못해 성별에 따라서도 차이가 납니다.
성별에 따라 돌출입 교정에서 입매 변화가 어떻게 다른 지는 압구정 연세바로치과 백의선 대표원장님의 논문을 참고하세요

23.07~25.05
초진에 비해 치근흡수는 없고 치근평행도도 좋습니다.
거미스마일로 고민 중인 예비 교정인들에게 도움이 되기를 바랍니다.

