안녕하세요 압구정 라미네이트 소개해드리겠습니다.
안티에이징 치트키 무삭제 라미네이트 소개해드리겠습니다.

치아도 나이들수록 노화됩니다.
색이 점점 어두워지고 교합으로 인하여 마모되고 살면서 받아온 레진치료 흔적으로 인해 얼룩덜룩 해집니다.
어느 고가의 피부 미용 시술을 일정간격으로 몇번을 한들, 단 한번의 진료로 얼굴에 조명을 켠듯 환해지고 젊어지는 시술은 무삭제 라미네이트 치료입니다.
무삭제 라는 단서가 들어가는 이유는?
치아를 깎아가면서까지 무리할 필요는 없다고 보기 때문입니다.
물론 무삭제 라미네이트도 영구적인 치료는 아닙니다.
시간이 지나 충치 등 문제가 생기고 나이가 들어 잇몸이 내려가면 그에 맞게 교체해주어야 합니다.

25.06
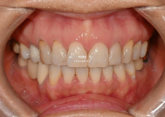
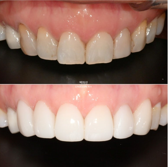
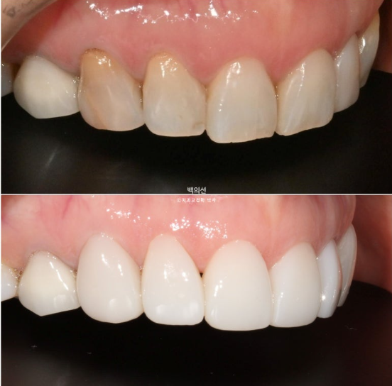
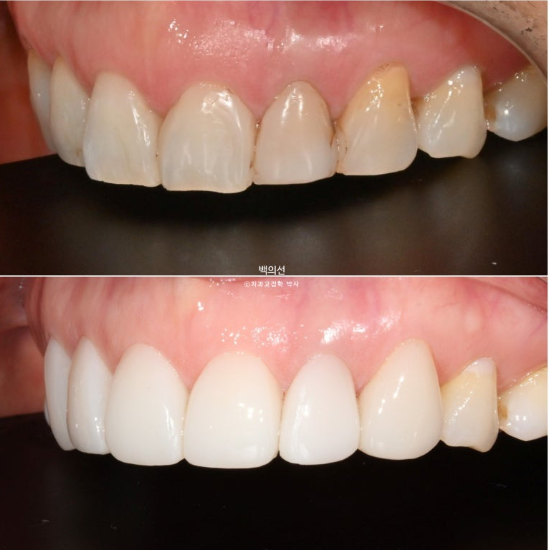
지난 달 무삭제 라미네이트 치료를 위해 내원한 환자분입니다. 치아는 가지런한 편이라 별도의 삭제나 사전 교정 없이 바로 무삭제라미네이트가 가능했습니다.

치아는 세월의 흔적이 느껴집니다. 블랙트라이앵글 레진으로 메워놓은 상태라 레진 제거가 필요합니다.

이제 젤라미 제작에 들어갑니다.
해외 거주하는 환자분 출국일정이 임박하여 피팅은 하지 않았습니다.
이갈이가 있어서 해외에 있는 동안 라미네이트가 손상될까 우려하여 이갈이 장치도 제작했습니다.

25.07

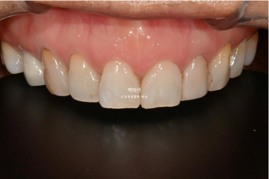
우윳빛 투명감은 젤라미의 강점입니다.




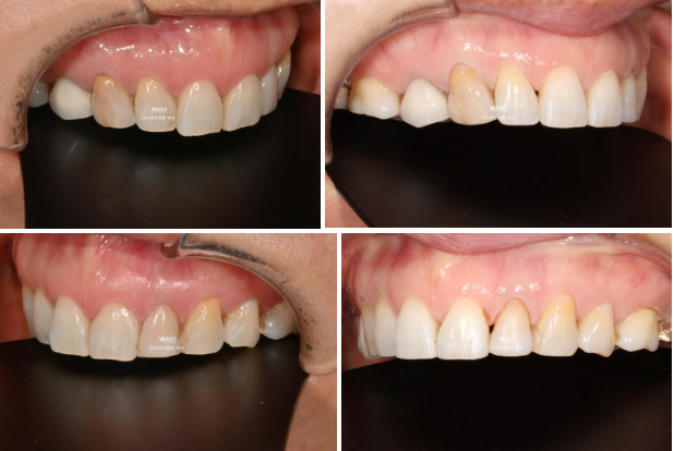
무삭제 라미네이트 젤라미의 두께를 가늠할 수 있는 사진입니다.
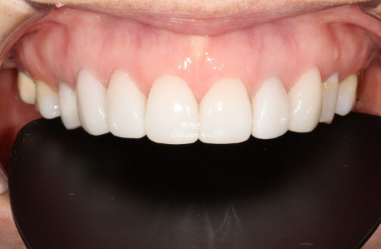
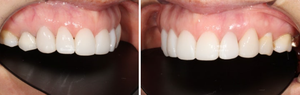
이제 안모 변화 보겠습니다.
무삭제 라미네이트를 안티에이징의 최고봉 이라고 하는 이유는 바로 안모변화입니다.


무삭제 라미네이트는 수명이 어떻게 되는 지 가장 많이 궁금해 하시는 거 같습니다.
무삭제 라미네이트 뿐 아니라 모든 치과 보철수복물에 해당되는 이야기지만 첫번째로 시술자가 꼼꼼하게 잘 치료하고 환자가 평소 관리를 잘하면 오래 쓸 수 있습니다.

