안녕하세요 압구정 교정치과입니다.
웃을 때 잇몸이 많이 보이는 미소를 거미스마일 이라고 합니다.
교정으로 치열을 함입시켜 거미스마일을 고치는 치료를 오래전부터 많이 하고 있습니다.
2017년도에 SCI 저널인 KJO에 압구정 연세바로치과 백의선 대표원장님이 제 1저자로 발표한 비발치 거미스마일 함입 교정 증례를 참고하시면 좋습니다.
오늘은 덧니와 돌출이 심해 발치교정이 필요한 분에서 거미스마일 개선까지 이어지는 치료과정을 보여드리겠니다.

2022.12~2025.06
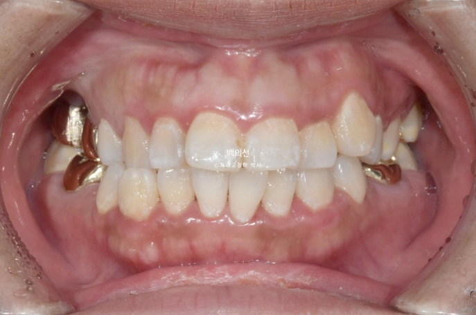
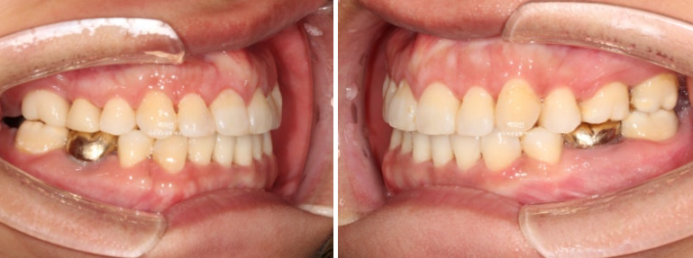
22년 12월 교정치료를 위해 내원한 환자분입니다.
고치고 싶은 것은 덧니 등 배열과 돌출입니다.

2022.12
턱의 비대칭도 있어 앞니 치아중심선이 약 2mm 어긋나 있으며 아래턱이 돌아간 우측으로 송곳니와 어금니가 반대 교합입니다.


2022.12
공간이 좁아 덧니도 있고

2022.12
앞니 배열도 개선이 필요합니다.

2022.12
웃을 때 잇몸이 많이 보이는 거미스마일도 심한 편이고

2022.12
돌출이 심해 입술이 편하게 안다물어지는입술부전증도 보입니다.
입술부전증이 있으면 턱끝에 힘이 저절로 들어가게 되어 턱끝이 울퉁불퉁하게 보이는 호두턱 (호두주름)도 함께
나타나게 됩니다.
특히 이 호두주름은 턱끝의 외형을 뭉투하게 만들어 마치 무턱이 보이게 하고 또 하관이 길어보이게 만들죠.

아랫입술이 윗입술에 비해 더 나와 있습니다.
똑같은 돌출이라도 이런 입매는 뚱한 인상을 주게 됩니다.
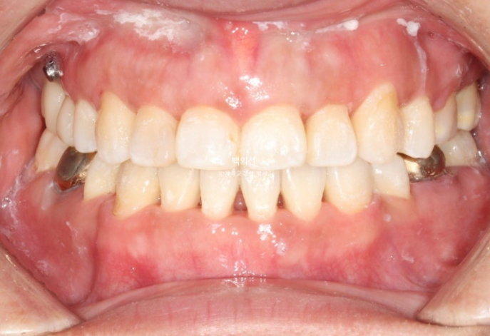
덧니도 있고 돌출도 심하니 작은어금니 4개 발치교정이 필요한 상황입니다.

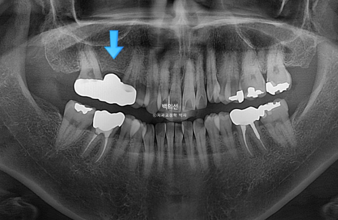
2022.12
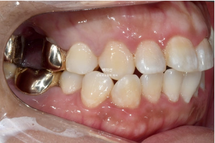
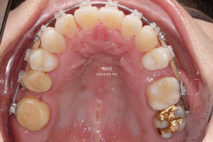
그런데 파란 화살표 부분에 큰어금니가 하나 없습니다.
오래 전 큰어금니가 빠진 부분을 브릿지로 치료해 놓은 상태입니다.
치료의 편의성을 위해서는 작은어금니 4개 발치가 필요하나 브릿지 자체가 오래되기도 해서 파란 화살표쪽 분악은 추가적인 소구치 발치 없이 브릿지를 잘라내어 큰어금니 빈공간에 이용하기로 합니다.
그러면 작은어금니 발치갯수를 4개에서 3개로 줄일 수 뿐더라 오래전 큰어금니 빠진 자리를 임플란트 없이 교정으로 메꿀 수 있는 장점이 큽니다.
물론 단점도 있습니다. 작은어금니를 뺏을 때 생기는 7mm 정도의 공간을 줄이는 시간보다는 큰어금니가 없는 10mm이상의 공간을 줄이는 시간이 오래 걸리기에 토탈 치료기간은 통상 작은어금니 4개를 발치했을 때 걸리는 2년 보다는 몇 달 늘어나게 됩니다.
하지만 환자분께는 더 이로운 치료계획입니다. 치료의 편의성보다는 환자분에게 장기적으로 이로운 방향의 치료계획을 제시하고 있습니다.

브릿지를 잘라낸 모습입니다.
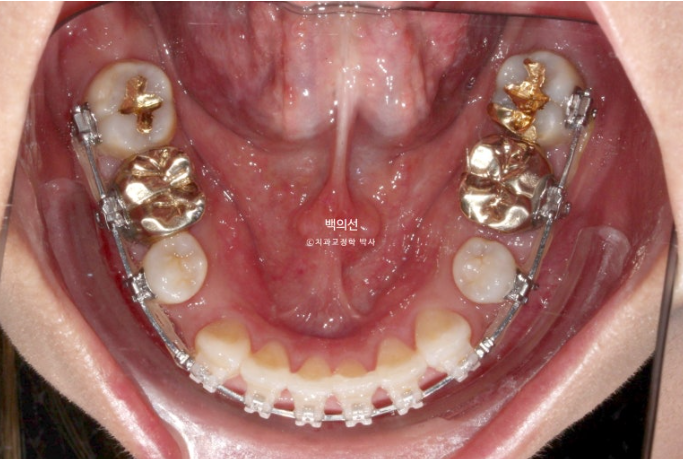
클리피씨 치료를 선택하셨고 치료에 들어갔습니다.
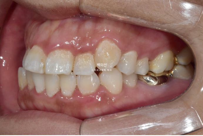
2년후인 23년 11월 모습입니다.

23.11

발치공간이 약 3mm씩 남아있습니다.
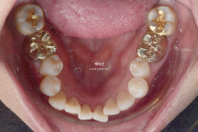
잘라낸 브릿지의 지대치는 임시치아 상태로 교정을 진행하고 교정치료 마무리 시점에서 새 크라운으로 최종 수복을 합니다.

23.11
이후 발치공간 폐쇄 및 교정용 나사인 미니스크류를 이용한 거미스마일 개선 치료를 더 진행 후 25년 6월, 치료를 마무리 했습니다. 총 치료기간은 2년 6개월입니다.

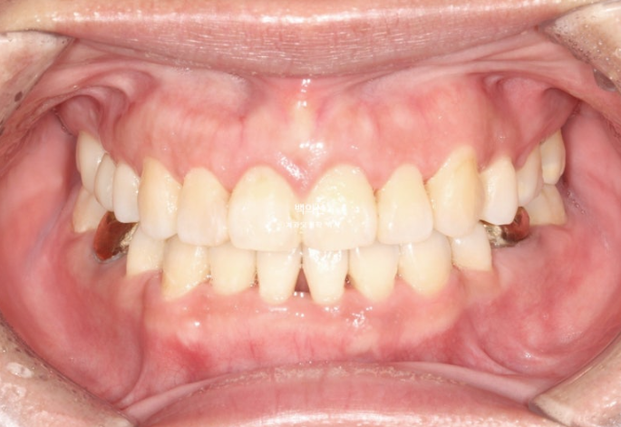
25.06
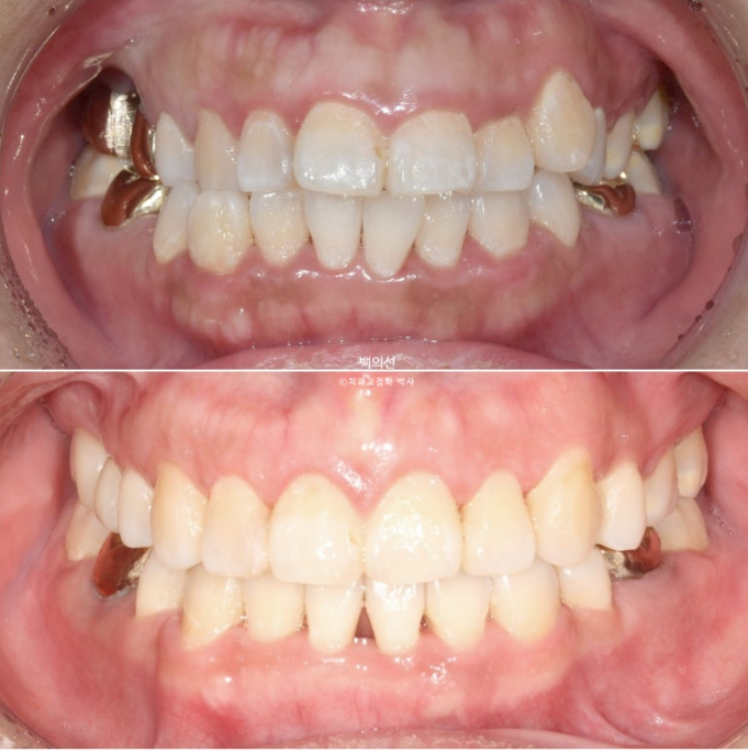
교정과 크라운치료를 모두 마친 후 클리피씨 브라켓을 제거한 모습입니다.
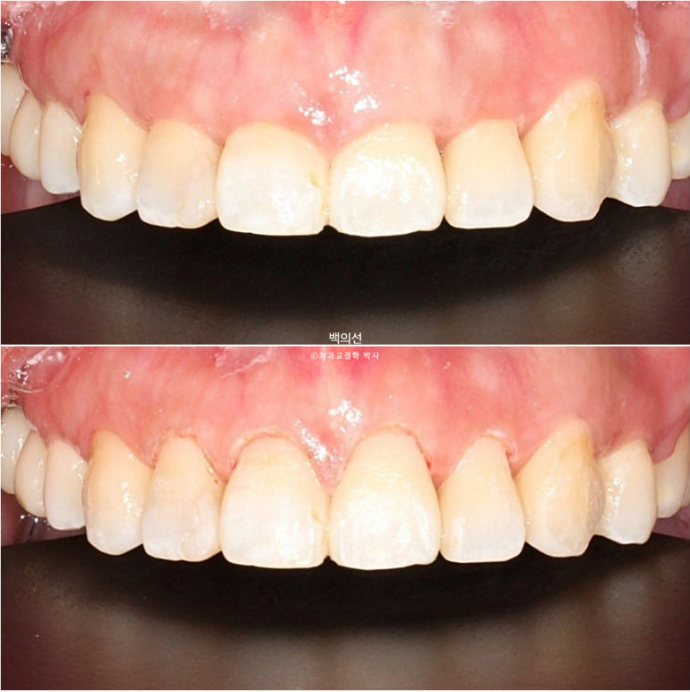
짧은 앞니 길이를 회복하고자 위 앞니 4개에 잇몸성형을 합니다.

25.06
잇몸성형 직후 모습입니다. 잇몸성형은 <성형> 글자가 들어가니 무섭게 느껴지지만, 실제로는 피가 나거나 하지 않습니다.
잇몸성형 후 일주일간의 회복기간을 거친 후 모습입니다.

25.06
중심선을 잘 맞으며 아래턱 비대칭에 의한 반대교합은 해소되었습니다. 교정으로 턱뼈 자체를 바꿀 수는 없지만 최소한 치아중심선을 맞춰줄 수 있습니다.
아쉬운 점으로는 아래 앞니 블랙트라이앵글입니다.
치간삭제를 더 하면 블랙트라이앵글 사이즈를 줄일 수 있지만, 환자분이 무리한 치간삭제를 원치 않아 많은 양은 진행하지 않았습니다.

25.06
교합은 1급 교합관계를 보이며 물샐틈없이 좋습니다.

2022.12~25.06
브릿지를 잘라낸 공간은 교정으로 깔끔히 마무리 되었고 교정 중 사용한 임시치아는 교정 마무리 시점에서 흰색 크라운으로 교체되었습니다.

2022.12~25.06
이제 전 후 비교 보겠습니다.

2022.12~25.06
안모 비교 보겠습니다.

2022.12~25.06
돌출입이 해소되면 아랫입술이 소량 얇아졌습니다.
윗입술에 비해 아랫입술이 더 나와있기 때문에 아랫입술이 얇아지면 뚱한 느낌 개선에 도움이 됩니다.
뿐만 아니라 사각턱 부위의 갸름해짐도 눈에 띕니다.

2022.12~25.06
교정과 잇몸성형으로 거미스마일은 개선되었습니다.

2022.12~25.06
돌출이 개선되며 호두주름이 개선되었고 입술은 한결 편하게 다물립니다.

2022.12~25.06
거미스마일과 돌출의 개선

2022.12~25.06
턱끝 호두주름 때문에 뭉툭해 보이던 턱라인이, 돌출입 개선으로 인해 입술부전증 해소로 호두주름이 사라지며 예쁜 라인을 되찾았습니다.

25.06
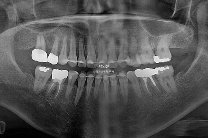
2년 반에 걸친 교정기간동안에도 치근흡수는 없으며 치근평행도는 양호합니다.
똑같은 돌출입 발치교정도 환자분마다 상황은 조금씩 다릅니다. 치료계획 단계의 발치 치아의 선택에서부터 개개인의 입매를 고려한 치료 마무리까지, 최고의 결과를 위해 늘 노력하고 있습니다.

