안녕하세요
압구정 교정치과 입니다.
치아교정으로 인상을 드라마틱 하게 바꿀 수 있는 교정은 크게 두가지 입니다.
첫번째는 뭐니뭐니해도 돌출입 교정입니다.

23.07~25.07
두 번째는 거미스마일 교정입니다.

23.07~25.07
여기에 상악 전체치열 함입교정까지 더해 아래턱의 자가회전까지 일으킨다면 교정만으로도 양악수술 못지 않은 드라마틱한 결과가 탄생합니다.

23.07
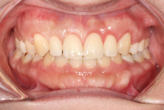
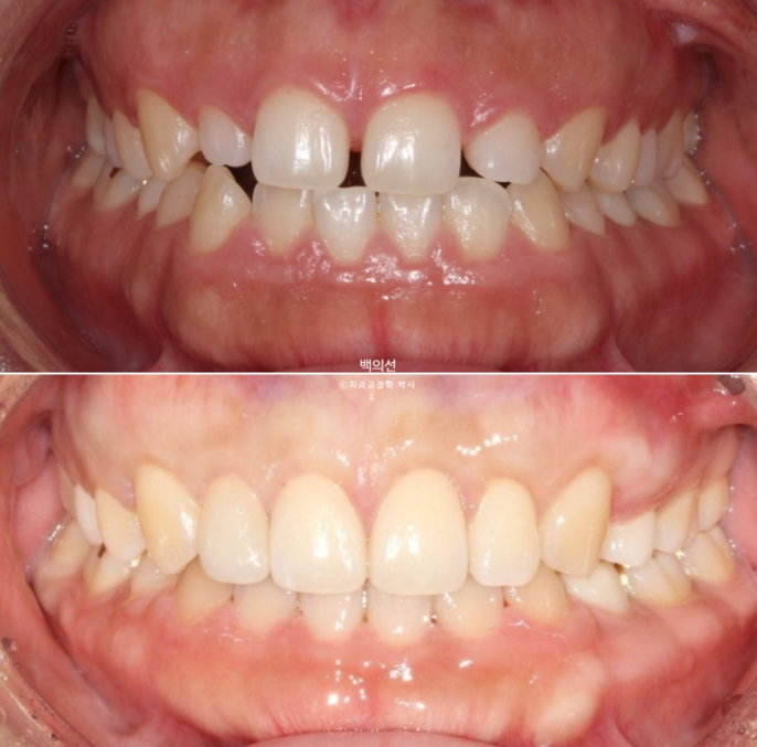
2년 전 교정치료를 위해 오신 환자분입니다.
고치고 싶은 것은 세가지 입니다.
벌어짐
비대칭
무턱
아래턱이 좌측으로 틀어져 있는 골격적 비대칭이 있고 앞니 중심선도 어긋나 있습니다.

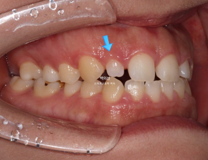
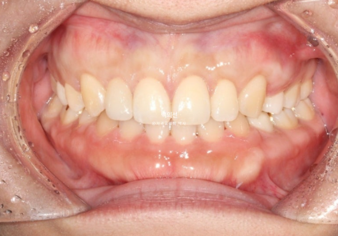
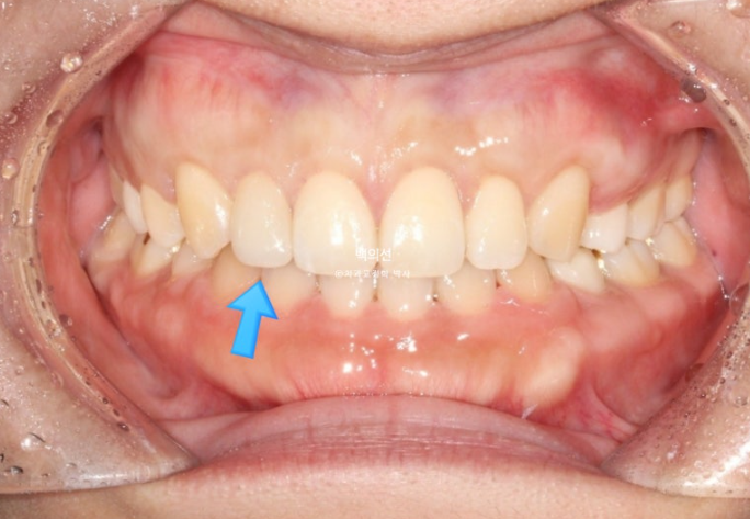
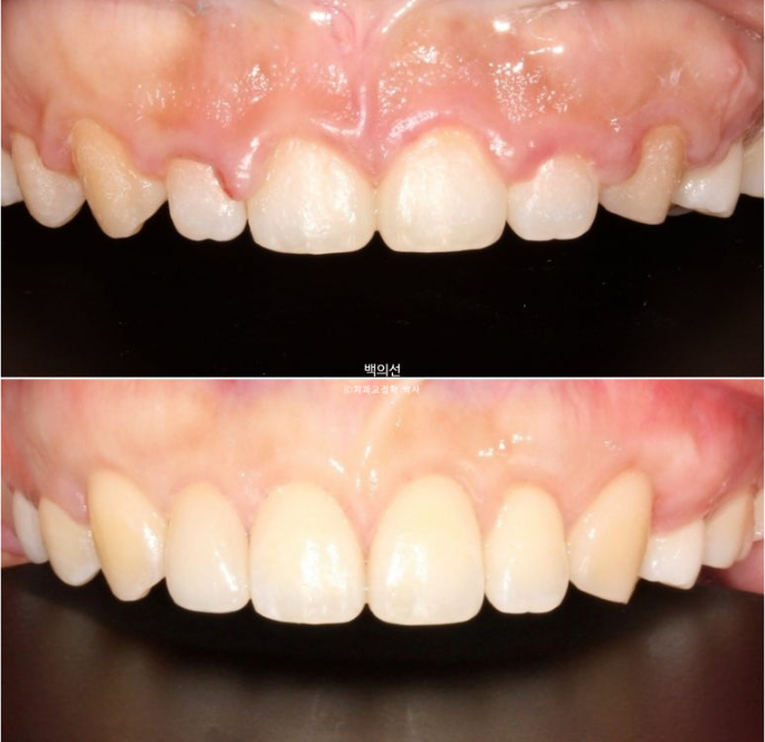
파란화살표는 왜소치 입니다.
교정 후 라미미네이트 수복이 필요합니다.
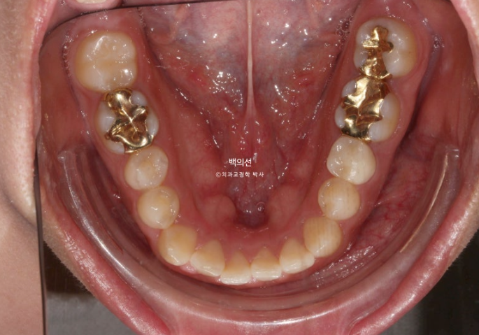
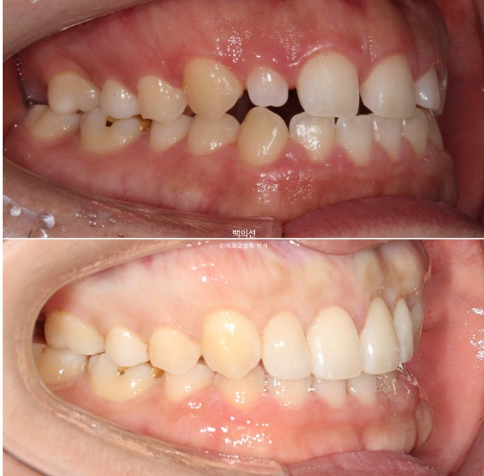
위 앞니가 아래 앞니를 덮지 못하는 개방교합이 보입니다.

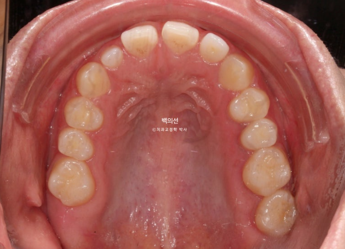
교합면에서 보면 안쪽 맨 뒤 큰어금니 하나가 없는 것이 보입니다.
선천적 결손치아 입니다.

23.07

23.07

23.07
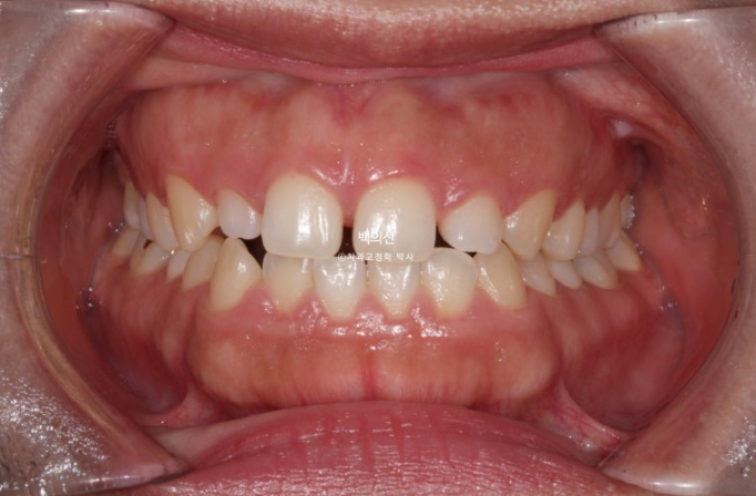
웃을 때 잇몸이 많이 보이는 거미스마일이 눈에 띕니다.
돌출에 의해 입술이 편하게 안다물러지는 입술부전증 그리고 이로인한 호두턱 (호두주름)도 보입니다.
실제로 골격 분석을 해보면 무턱이 심하지는 않지만, 돌출입으로 인한 턱끝 과긴장 즉 호두턱은 없는 무턱도 만들어내는 주범입니다.
적극적인 돌출 해소를 위해 작은어금니 4개 발치가 필요한 상황입니다.
하지만 큰어금니가 결손된 쪽은 작은어금니 발치 없이 후방이동으로 균형을 맞추기로 합니다.
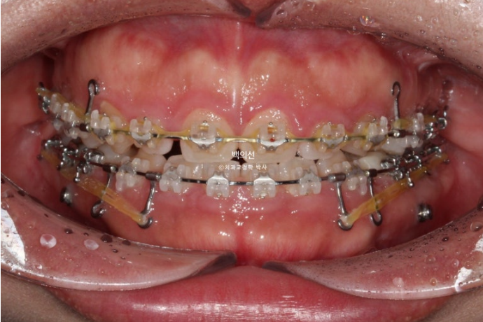
클리피씨 교정을 선택하셨고 작은어금니 3개를 발치 후 치료에 들어갔습니다.
치료 시작 1년째 사진입니다.

24.07
발치공간 폐쇄, 앞니 후방이동, 거미스마일 해소와 하관길이 및 무턱의 해소를 위한 전체치열 함입을 진행합니다.

25.02
드디어 25년 7월, 2년의 교정치료를 마무리 합니다.
이제 클리피씨 브라켓을 떼고 잇몸성형과 왜소치 라미네이트를 할 차례입니다.

25.07
잇몸성형 직후 모습입니다.

25.07
잇몸성형 회복기를 거쳐 이제 라미네이트 직전 모습입니다.

25.07
왜소치에 무삭제 라미네이트까지 들어간 모습입니다.
어느쪽이 자연치이고 어느쪽이 왜소치 라미네이트 일까요?

25.07
정답은 파란 화살표 치아가 바로 젤라미입니다.

25.07
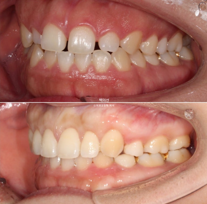
어금니 교합은 물샐틈 없이 좋습니다.

23.07~25.07

23.07~25.07
고정식 철사 유지장치까지 들어간 모습입니다.

23.07~25.07
비대칭으로 인해 어긋났던 중심선이 맞아졌습니다.
교정만으로 턱뼈의 비대칭을 바꿀 순 없지만 최소한 치아중심선은 정확히 맞춰줄 수 있습니다.
교정 후 사진에서 앞니 교합이 다소 깊게 물리는 게 보이시죠?
의도한 부분이며 초진 시 앞니 물리는 게 얕으면, 재발을 고려하여 정상보다 좀 더 깊게 물리게 마무리 하는 게 좋습니다.
교정이 끝난 후 재발을 어느정도 고려한 과수정 즉 overcorrection의 개념은 치료에서 아주 중요하죠.

23.07~25.07
왜소치는 무삭제 라미네이트 젤라미로 깔끔하게 수복되었습니다.

23.07~25.07
어금니 교합관계는 좌우 모두 1급 입니다.

25.07
교정 직후 잇몸성형 전과 잇몸성형 후 모습입니다.
이제 안모 변화 보겠습니다.

23.07~25.07
턱끝의 비대칭은 그대로이지만 턱끝 긴장이 풀리면서 턱라인이 한결 개선이 되었습니다.
특히 하관의 길이가 짧아진 것도 눈에 띕니다.
하관 길이의 변화는 후반 엑스레이 중첩에서 다시 보여드리겠습니다.

23.07~25.07
아름다운 치아비율과 스마일라인이 돋보입니다.
왜소치 쪽으로 돌아가 있던 앞니 중심선은 이제 코, 인중과 맞아졌네요.

23.07~25.07
거미스마일의 확실한 개선

23.07~25.07
자연스럽고 예쁜 입매가 돋보입니다.
돌출로 입이 잘 안물려서 생긴 호두주름 때문에 무턱의 오명을 썼던 예쁜 턱라인이 비로소 드러났습니다.

2년간의 교정기간동안 앞니 일부에 경미한 치근흡수가 보입니다.
치근평행도는 좋습니다.
위 앞니 기준 뒤로 4mm 들어갔고, 거미스마일 개선을 위해 위로도 2mm 올라간 것이 확인이 됩니다.
사실 앞니의 변화보다 주목해야할 것은?
아래턱의 위치입니다.
상악 전체치열 함입으로 인해 아래턱이 더 다물어지는 자가 회전이 일어나고 턱끝이 위로, 앞으로 약 2mm 이동했습니다.
하관이 짧아지고 턱끝이 실제로 앞으로 나오게 된 것입니다.
이렇게 실제로 턱끝이 앞으로 나온데다가 돌출입 개선으로 턱끝부위 근육긴장이 풀리며 호두턱이 사라져 아래턱 라인이 드라마틱하게 바뀌었습니다.

