안녕하세요
압구정 교정치과입니다.
태어날때부터 없는 치아를 선천적 결손치라고 합니다.
아래 앞니는 가장 흔한 선천적 결손 부위이고 아래 앞니 4개 중 2개가 함께 결손된 경우도 많습니다.

이렇게 아래 앞니 2개가 동시에 없는 경우 아래앞니 사이에 공간이 남게되는데
치료방법은 안모분석결과에 따라 달라집니다.
즉, 마침 돌출입이 있어서 돌출해소를 해야하는 상황이라면 교정으로 공간을 전부 없애기도 합니다.
그러나 돌출이 없다면 임플란트나 브릿지를 해서 치아 하나를 수복해주는 것이 좋습니다.
오늘은 후자의 경우에 대해 인비절라인 라이트와 브릿지로 치료한 증례 보여드리겠습니다.

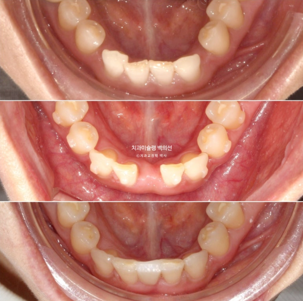
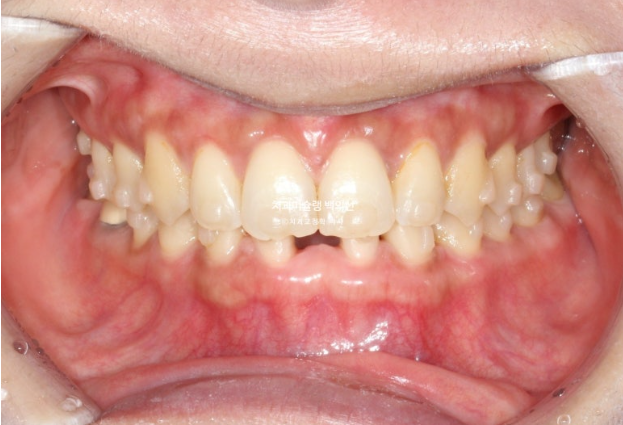
24.08
교정치료를 위해 내원한 환자분입니다. 아래 앞니 두 개가 없어서 이 사이 벌어짐을 치료하고자 오셨습니다.
환자분은 유럽에 거주하시는 분이었고
내원을 자주 못하는 상황입니다.
윗니가 아랫니를 깊게 덮는 과개교합도 보입니다.

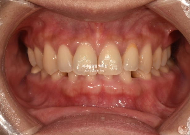
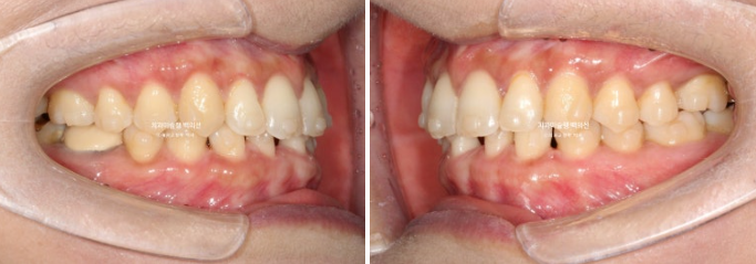
24.08
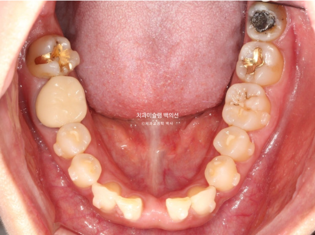
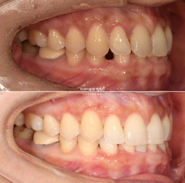
사진에 보이는 구멍은 앞니가 없어 송곳니가 앞니 자리로 이동하고 송곳니와 작은어금니 사이 공간이 벌어져 있습니다.

24.08
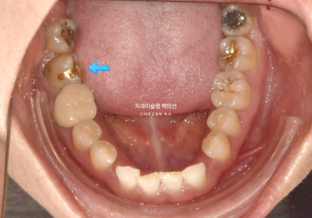
송곳니가 없는 것 처럼 보이지만 사실은 앞니 2개가 선천적으로 없는 상태입니다.
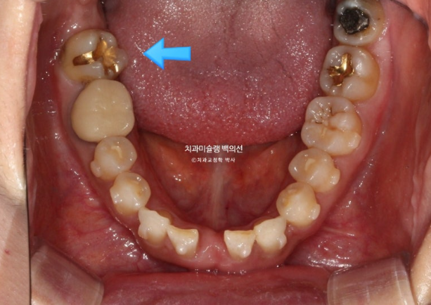
환자분이 모르고 있던 또 다른 문제는 파란화살표 제 2대구치가 혀쪽으로 쓰러져 있는 것 입니다.

24.08
빨간색 치축으로 표시한 치아가 쓰러진 치아입니다.
이 치아는 씹는데 중요한 역할을 하는 치아이므로 반드시 세워주는 것이 좋습니다.
그러려면 쓰러진 큰어금니 바로 뒤 썩은 사랑니는 빼주는 것이 좋습니다

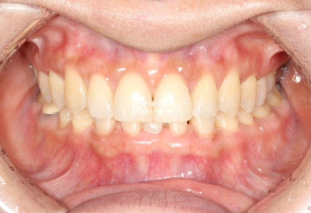
환자분의 안모는 공간을 함부로 모으면 안되는 상황입니다.
즉 입술이 얇고 돌출이 전혀 없는 상황이었습니다.
앞니가 뒤로는 단 1mm도 움직이면 안되는 상황이죠.
따라서 좌우로 분산된 공간을 몰아서 아래 앞니 한 개를 수복할 공간을 마련한 후 임플란트 또는 브릿지로 수복을 하기로 합니다.
인비절라인 라이트 권유드렸고 치료에 들어갔습니다.
한달 반을 기다려서 24년 9월에 첫 장치를 끼기 시작했고 인비절라인 라이트에서 허용하는 14개 장치를 모두 가지고 출국하셨습니다.
한국에 거주하는 환자분들은 인비절라인 교정 시 통상 2-3 개월에 한번씩은 중간 체크를 합니다만 해외 거주주이라 내원이 제한적입니다.
중간 내원없이 해외에서 일주일 간격으로 교체 후 24년 2월 4개월만에 내원했습니다.

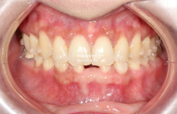
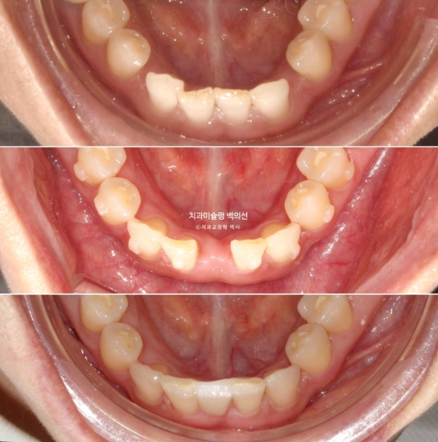
25.02
과개교합은 소량 개선되었고 아래앞니 공간은 가운데로 잘 모아졌습니다.

25.02
원래 벌어져 있던 공간은 대부분 없어졌으나 미세공간이 아직 남아있습니다.

25.02
파란화살표 쓰러져있던 큰어금니는 꽤 많이 섰습니다.
남은 공간을 정리하고 과개교합을 좀 더 개선하고자 재제작에 들어갑니다.
원래라면 재제작에도 1달의 시간이 필요하지만 환자분의 이번 한국일정이 한달이 채 되지 않아 추가장치는 외국에서 국제배송으로 받아서 끼기로 했습니다.
그렇게 3월부터 8월까지 중간 내원없이 추가장치 14개를 스스로 다 낀 후 지난달 내원한 모습입니다.

25.08
이제 아래 앞니 브릿지를 할 준비를 합니다.

25.08
아래 정가운데 앞니 이외에 다른공간은 모두 닫혔습니다.

25.08
뼈 상태를 고려하여 임플란트 보다는 브릿지가 낫다고 판단하여 브릿지로 앞니를 수복하기로 합니다.
좌우 인접치를 깎아서 한덩어리로 씌우는 방식의 브릿지 보다는 치아를 깎지 않고 뒤쪽에서 붙이는 형태의 메릴랜드 브릿지로 수복하기로 합니다.

25.08
메릴랜드 브릿지가 들어간 후 어태치먼트를 전부 제거하고 치료를 마무리 하였습니다.
현재는 비베라 제작을 기다리는 중 입니다.

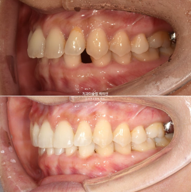
선천적 결손으로 벌어져 있던 빈공간은 깔끔히 해결이 되었습니다.
이제 전 후 비교 보겠습니다
총 치료기간은 1년, 재제작은 1회 했고 교정치료 내원간격은 5개월 입니다.

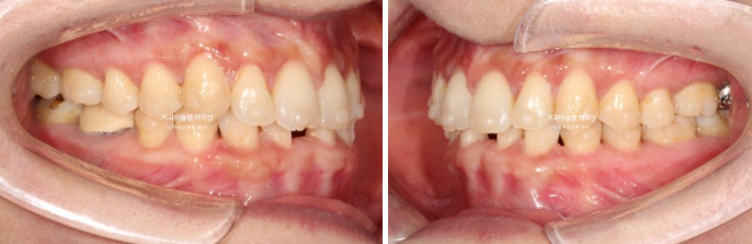
24.08~25.08

24.08~25.08
쓰러져 있던 두번째 큰어금니는 잘 세웠습니다.

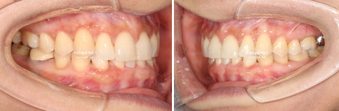
24.08~25.08

24.08~25.08
1년에 걸쳐 교정치료기간 동안 아래 앞니공간이 이동하는 모습은 이러합니다.

24.08~25.08
이제 안모비교 보겠습니다.

24.08~25.08

24.08~25.08
입매변화는 크지 많지만 과개교합의 개선으로 아랫입술이 소량뒤로 들어가며 입술이 좀 더 조화로워 졌습니다.
선천적 결손이 2개 있고 해외거주로 내원이 매우 제한적인 상황이지만 인비절라인 라이트로 좋은 결과를 얻을 수 있었습니다

