안녕하세요
압구정 교정치과입니다.
웃을 때 잇몸이 많이 보이는 분들 계시죠?
오늘 웃을 때 잇몸이 많이 보이는 분들 잇몸미소 해결을 위한 합입교정 알려드리겠습니다.
앞니를 올릴 때 어금니도 같이 합입 시키면 하관이 짧아지고 얼굴이 작아지며 입술도 편하게 다물리게 됩니다.

발치없이 입술부전증을 확실하게 해소하려면?
단순 사랑니 공간을 이용한 후방이동보다는 전체치열 함입을 동반하는 것이 효과가 더 뚜렷합니다.
인비절라인 교정으로 전체치열 함입교정을 어떻게 진행하는 지 보여드리겠습니다.
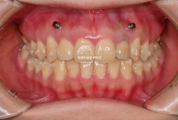
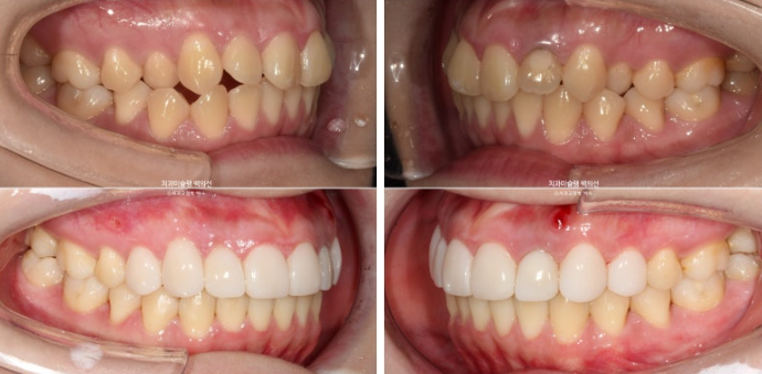
23년 12월 교정치료를 위해 멀리 지방에서 오신 환자분입니다.

23.12
환자가 고치고 싶은 것은 배열, 교합, 거미스마일(잇몸미소) 마지막은 비대칭 입니다.
엑스레이 검사 결과 뼈의 비대칭은 경미하나 상하 치아중심선이 어긋나있어서 이 부분 개선을 원하셨습니다.

23.12
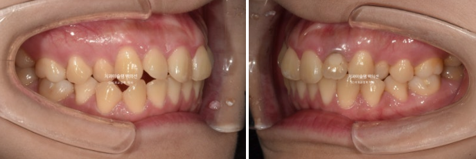
교합은 거꾸로 물리는 어금니 반대교합도 있고, 뜨는 부분도 있고 앞니 하나는 신경치료 후 변색이 되어 있습니다.

작은어금니가 입천장으로 들어가 있어 반대교합 상태였습니다.

멀리 지방에서 오는만큼 내원간격이 중요해서 인비절라인으로 치료하기로 했습니다.
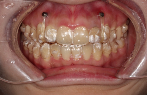
첫 세트 장치는 30개가 나왔으며 위 앞니 뿐만 아니라 어금니까지 전체치열을 후방이동하며 함입시키는 계획입니다.
교정용 나사와 고무줄을 이용하여 주도면밀한 치료계획하게 치료를 진행했습니다.

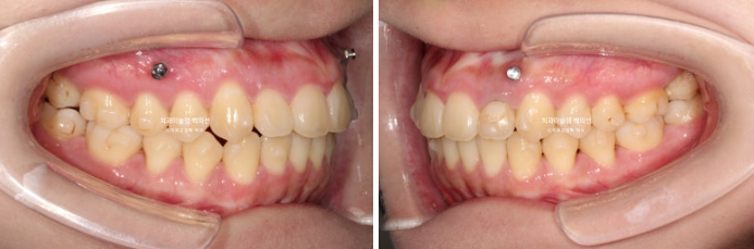
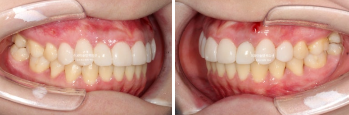
24.08

24.08
30개 장치를 1월부터 10월까지 10개월간 낀 모습입니다.

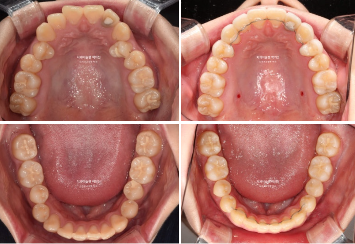
24.10
앞니 배열은 좋아졌지만 중심선이 아직 아쉽고 앞니 높낮이 단차의 개선이 좀더 필요합니다.

24.10
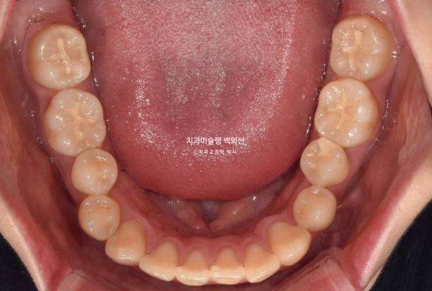
어금니 교합은 좋습니다.

24.10
배열도 대부분 완료되었습니다.
10개월간 안모 변화 보겠습니다.

23.12~24.10
거미스마일은 개선되었고 하관이 벌써 짧아진 것이 보입니다.

23.12~24.10
거미스마일과 돌출, 특히 잇몸이 튀어나온 잇몸돌출은 많이 좋아졌습니다.

23.12~24.10
앞니가 뒤로 들어가며 호두주름이 사라졌습니다.
입이 처음보다 편하게 다물립니다.
안모의 확실한 개선을 확인 한 후 환자분과 상의 하에 중심선 개선 및 교합 개선을 위해 추가장치 제작에 들어갔습니다
24년 11월

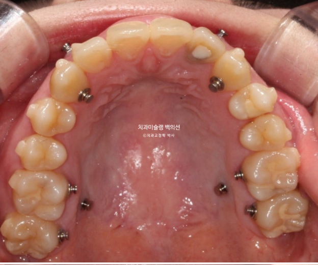
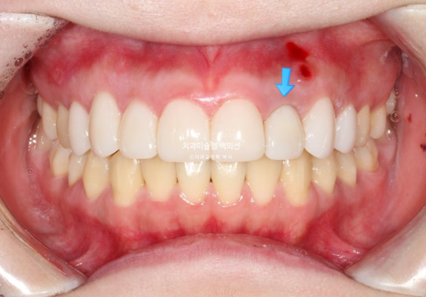
25.08
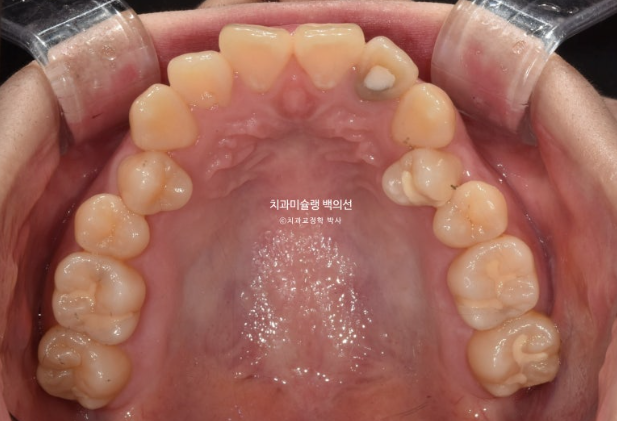
중심선은 이제 정확히 맞습니다.
환자분이 교정 마무리 후 타병원에서 무삭제라미네이트를 하고 오셨습니다.

25.08
신경 치료 후 까맣게 변색이 된 앞니는 실활치미백으로 치아 내부부터 변색을 제거한 뒤에 무삭제 라미네이트를 하는 것이 좋습니다.
그렇지 않으면 까만 부분이 잇몸과 라미네이트 사이로 비쳐나오게 됩니다.
라미네이트 두께나 투명도도 그렇고 좀 아쉽습니다.

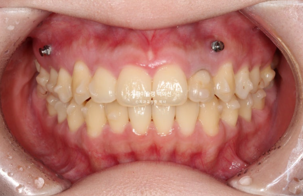
25.08
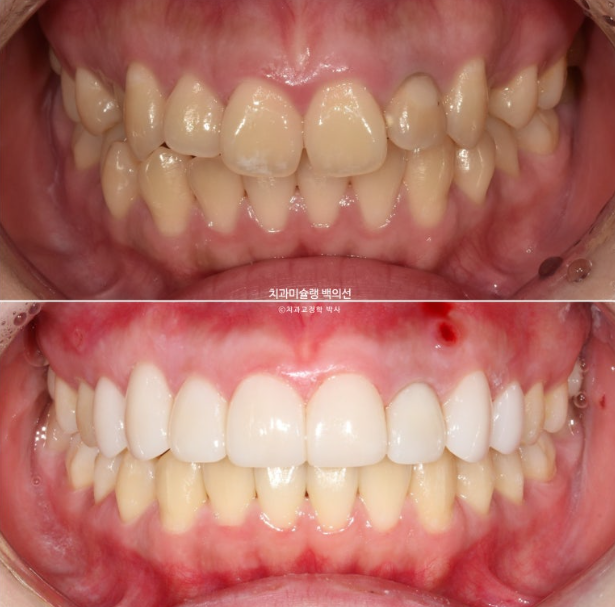
이제 전후 비교해보겠습니다.
총 치료기간은 1년 7개월, 재제작은 1회 했습니다.

23.12~25.08

23.12~25.08
맞아진 중심선과 배열의 개선이 보입니다.

23.12~25.08
반대교합의 개선이 됩니다.

23.12~25.08

23.12~25.08
거미스마일과 잇몸돌출의 개선이 눈에 띕니다.

23.12~25.08
호두주름은 사라졌고 입이 편하게 다물리며 턱선이 예뻐졌습니다.
위 앞니 기준 약 2mm 합입이 되었습니다.
위 어금니도 마찬가지로 약 2mm 합입이 되었습니다.
한마디로 상악 전체치열이 2mm 합입되었고 뒤로는 약 2mm 후방이동 하였습니다.
앞니뿐 아니라 어금니까지 상악 14개 전체치열의 후방이동 및 합입으로 아래턱이 자가회전하며 턱끝이 짧아졌습니다.
무턱인 경우 상악 전체치열 함입교정은 치열뿐 아니라 얼굴 형태의 변화도 큰 교정입니다.
턱끝이 앞으로 나오니 일석이조입니다.
이렇게 전체치열 함입교정도 인비절라인으로 잘 되는 편입니다.
최근에도 신환 교정 상담 중 단순 어금니 함입 개방교합 교정 케이스인데도 인비절라인으로는 절대 안된다는 타치과 상담을 듣고 오신 분이 계셨습니다.

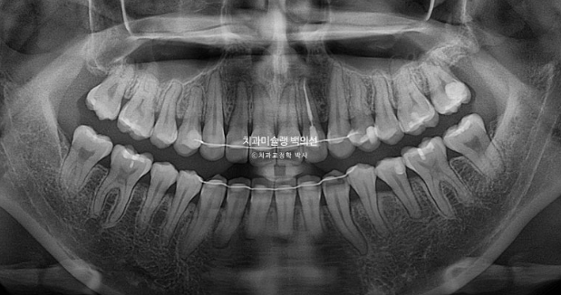
25.08
치근 평행도는 좋으며 치근흡수는 보이지 않습니다.
오늘이 이 포스팅이 교정을 고민 중이신 분들에게 도움이 되었기를 바랍니다

