안녕하세요
압구정 어린이교정 설명드리겠습니다.
아래턱이 작은 무턱은 상악 성장 과잉, 하악열성장 두가지 패턴이 있습니다.
전자는 헤드기어라는 장치를 써서 상악 성장을 억제해주고, 후자는 액티베이터나 트윈블럭과 등이 악정형 장치를 통해 아래턱을 자라나오게 해줌으로써 하악 열성장을 개선합니다.

23.06~25.06
전자든 후자든 어린이 성장교정에 있어서 가장 중요한 것은 타이밍입니다.
너무 일찍 시작해서는 효과가 미미하고, 너무 늦으면 시기를 놓치게 됩니다.
성장치료의 최적기는 바로 <최대성장기>입니다.
그래야 가장 단기간에 가장 큰 효과를 볼 수 있습니다.
인비절라인 퍼스트 어린이교정에서 무턱치료 또는 비대칭 치료에서 쓰이는 MA (mandible advance) 라는 기능에 대해 이전부터 여러번 포스팅 했습니다.
특히 아이의 최대성장기와 맞물린다면 같은 기간 치료하더라도 더 좋은 효과를 볼 수 있습니다.
오늘은 하악 열성장 무턱치료에서 인비절라인 퍼스트 MA를 이용한 치료를 보면서 치료과정과 결과에 대해 포스팅을 해보겠습니다.

23.06
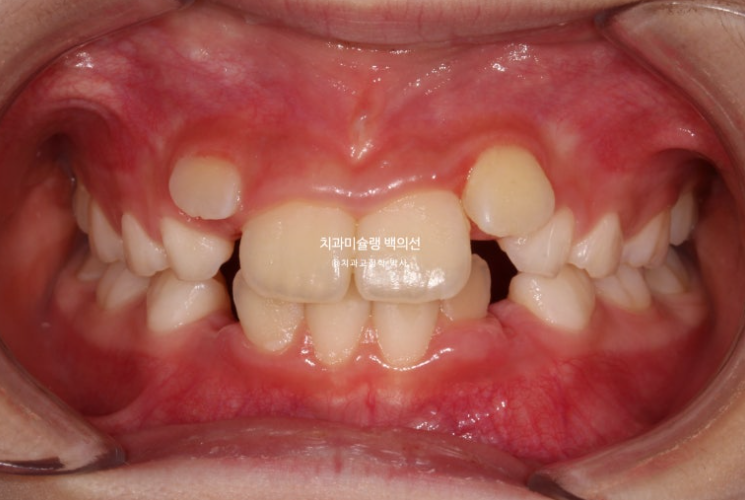
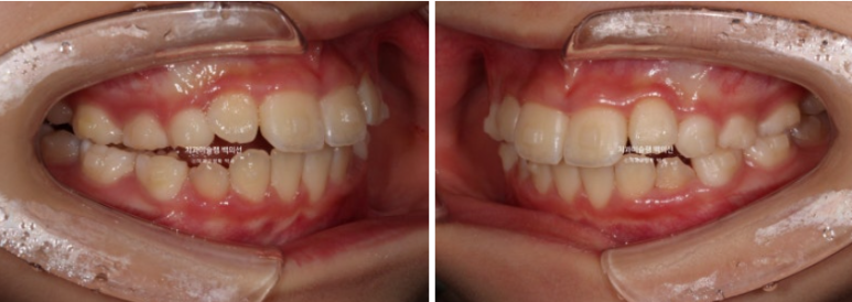
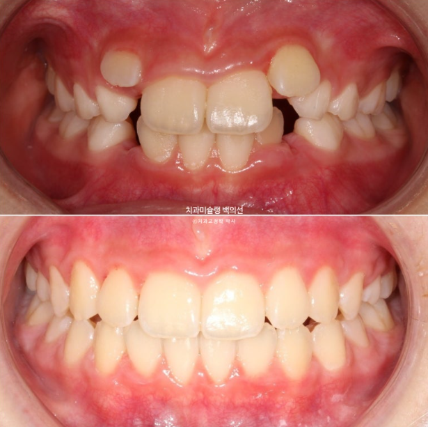
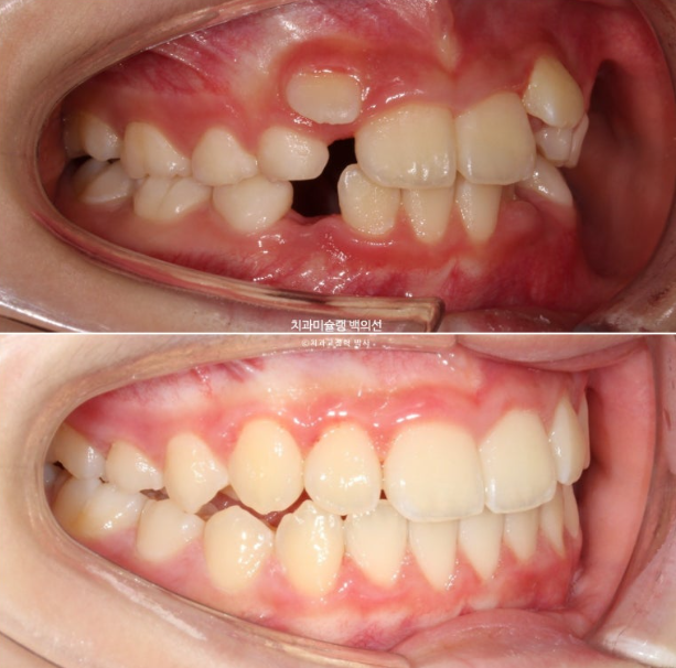
2년 전 교정치료를 위해 내원한 만 8세 어린이입니다.
이제 겨우 유치 앞니가 빠지고 영구치 앞니가 나오는 시기인데
앞니부터 심한 덧니로 내려오니 부모님이 놀라서 오셨습니다.

이미 다른 치과 여러곳을 다녀오셨고 치과마다 시작 시기나 치료방법에 대해 말이 달랐다고 합니다.

이 날 자리가 좁으면 치아가 회전된 상태로 나오거나 입천장으로 나오거나 이 친구처럼 덧니로 내려오게 됩니다.

23.06
아랫니도 공간이 많이 부족합니다.

골격분석상 하악골 여성장을 동반한 무턱으로 진단되어 치료 목표는
-
악궁확장을 통한 덧니 해소
-
MA 기능으로 하악성장 유도
이 두가지가 되겠습니다.
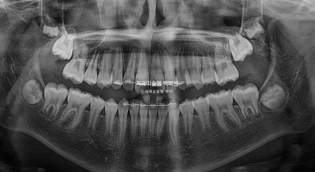
손 엑스레이 성장판 분석한 결과 최대 성장기가 시작되는 시점이라 타이밍도 아주 좋습니다.
인비절라인 퍼스트로 권유드렸고 치료를 시작했습니다.
치료계획은 전반부의 악궁확장 및 덧니해소 단계와 후반부의 MA를 통한 하악성장 유도 두단계로 나뉩니다.

전반부 장치 갯수는 23개로 약 6개월이 예상되고

후반부에는 24단계부터 53단계까지 MA 단계입니다.

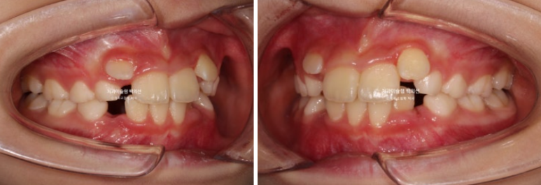
23.09
하이캐나인 등 심한 덧니는 이렇게 장치에 포함시키지 않고 옆치아들만을 움직여 공간만 벌려주는 것이 좋습니다.
자연스럽게 제자리를 찾아 내려오도록 유도하는 것 입니다.
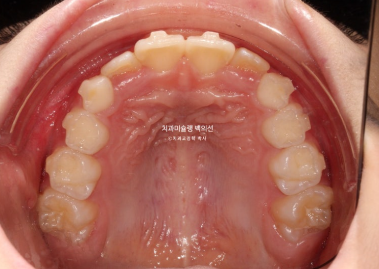
23년 6월부터 11월까지 6개월간 전반부 치료를 끝낸 모습입니다.

23.11
악궁확장을 통해 확보된 공간으로 앞니 덧니가 잘 내려오고 있습니다.


악궁확장을 통해 넓어진 악궁

23.11
아래 앞니도 배열이 되었고 아래는 벌써 송곳니가 제자리로 잘 올라오고 있습니다.
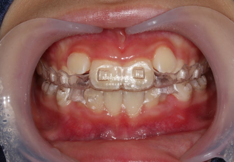
이제 본격적으로 아래턱 성장을 시작하는 MA단계에 접어듭니다.

24.12
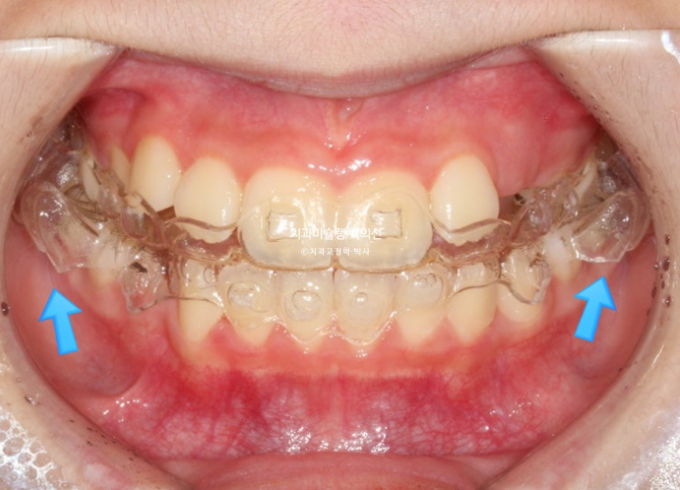
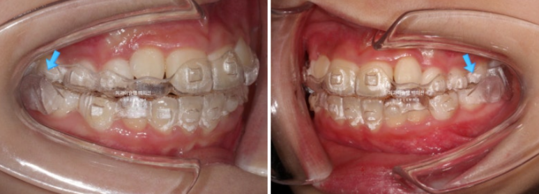
파란화살표 부분을 보자면


장치 양옆에 날개처럼 튀어나온 부분이 Wing 이며 이 부분이 아래턱의 위치를 정상위로 유도합니다.

23.11
사진의 파란화살표처럼 위 아래 윙 끼리 엇갈려 물리며 아래턱을 전방위치 시키며, 최대성장기와 맞물리면 하악골 성장까지 유도하게 됩니다.
23년 11월 24년 7월까지 53번 마지막 장치까지 다 끼면서 MA 단계를 마쳤습니다.

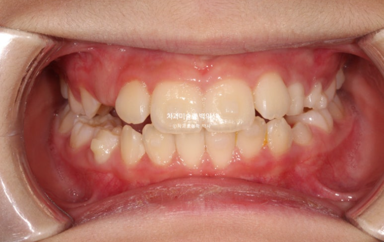
24.07
중심선은 잘 맞으며

24.07
그 사이 남은 유치들이 대거 빠지고 영구치들이 나오고 있습니다.


영구치들이 좀 더 맹출하도록 24년 7월부터 12월까지 5개월간 휴식시간을 갖습니다.
마지막 꼈던 장치를 잘때만 유지장치로 끼면서 말입니다.
지금도 12월에 재제작에 들어갔고 두번째 세트 장치는 총 22개입니다.
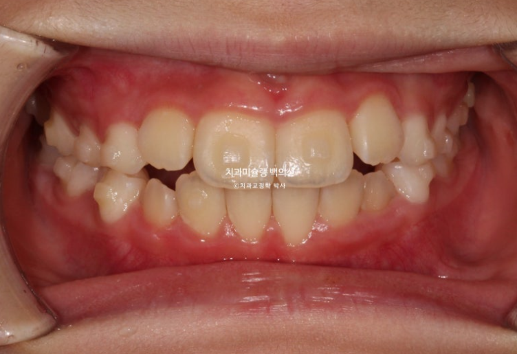
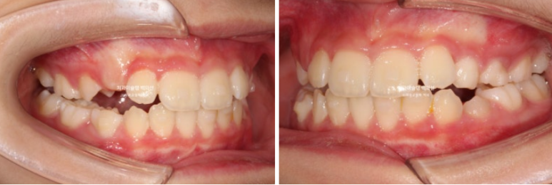
25년 6월 드디어 치료를 마무리 했습니다.

25.06
중심선은 잘 맞습니다.

아직 작은어금니들이 좀 더 내려와야 교합이 안정됩니다.

23.06~25.06
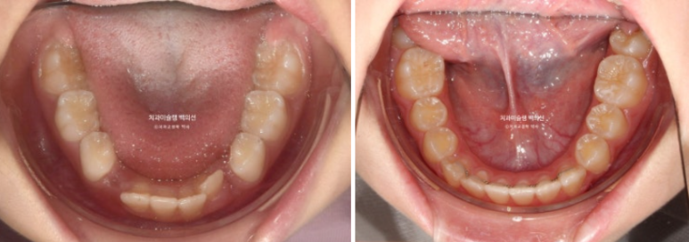
남아있는 유치는 없고 완전한 영구치열에 접어들었습니다.

나중에 2차교정을 안해도 될 정도가 되었습니다.
좋은 결과를 오래 유지하기 위해서 철사 고정식 유지장치 및 가철식 유지장치까지 꼼꼼하게 들어갑니다.


총 치료기간은 2년이고 중간에 쉬는 기간은 5개월이었습니다.

23.06~25.06

23.06~25.06

치근평행도는 좋으며 치근흡수는 없습니다.

23.06~25.06
처음에 비해 무턱을 나타내는 수치가 6.4에서 4.7로 줄어들었습니다
4.7은 이 나이대에서는 정상범위 입니다.

23.06~25.06
2년간의 골격 변화를 중첩해보겠습니다
아래턱이 많이 자라나왔는데 하관 길어짐 없이 바람직한 성장이 일어났습니다.

23.06~25.06
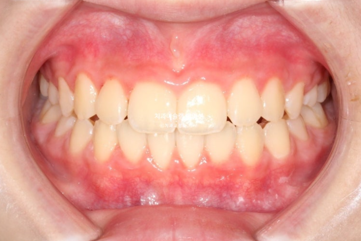
예쁜 스마일라인

23.06~25.06
예쁜 스마일라인

23.06~25.06
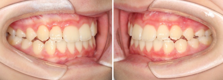
무턱의 해소

23.06~25.06
턱선의 개선이 눈에 띕니다.

어린이 교정을 고민 중인 분들에게 이 포스팅이 도움이 되길 바랍니다.

