안녕하세요
압구정 인비절라인 교정치과입니다.
충치 등으로 치아를 잃었을 경우 교정을 통해 잃은 치아를 대체할 수 있다면 얼마나 좋습니까?
특히나 잃은 치아가 큰어금니라면? 사랑니로 큰어금니 대체가 가능합니다.

23.10~25.08
오늘은 작은어금니 발치 없이 사랑니 공간을 이용하여 돌출입을 해소하면서 동시에
상실된 큰어금니 자리에 사랑니를 끌어와 대체하는 교정 이야기를 해보겠습니다.
인비절라인으로 작은어금니 발치교정을 넘어서 이제는 이런치료도 가능하구나를 느껴보세요

23.10
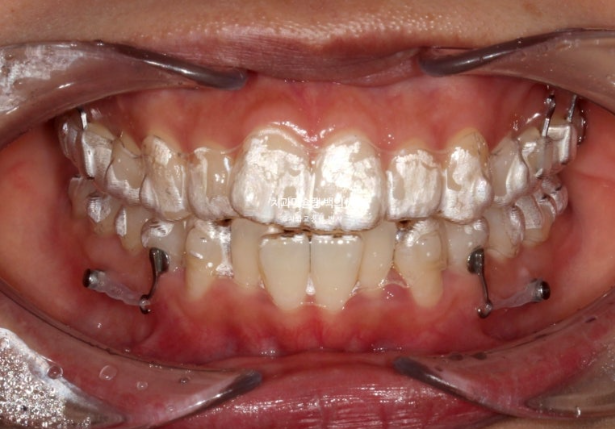
23년 10월 교정을 위해 온 30대 환자분입니다.

앞니는 뻗쳐있고 좌측 큰어금니 자리가 비어있습니다.

아래 앞니는 삐뚤하여 배열할 공간이 필요하고

위 첫번째 큰어금니 (제1대추치)가 한쪽은 발치되어있고 한쪽은 아직 발치는 안 했지만 발치진단이 나온 상황입니다.
이 환자분은 사실 4개월전에도 교정상담을 오셨습니다.

23.06
그 당시 파노라마 엑스레이를 보면 위 큰어금니가 상태가 좋지 않아 발치진단이 나온 상태였습니다.
그 사이 빼야할 치아들을 빼고 오셨습니다.

환자분의 돌출감을 고려했을 때 작은어금니 발치교정이 맞지만 환자분은 작은어금니 발치까지는 원하지 않으셨습니다.
작은어금니 발치 없이 사랑니 공간만을 이용하는 비발치 돌출입 교정은 그 효과가 드라마틱하진 않겠지만, 이미 충치로 큰어금니 2개를 잃은 상황에서는 작은어금니 발치가 부담이 될 수 있습니다.
환자분의 의견을 반영하여 치료계획을 세웠습니다.
상악은 빼야하는 제 1대구치 (첫번째 큰어금니) 두 개를 빼고 공간을 없애면서 앞니를 뒤로 보내고 사랑니 큰어금니 자리로 데려와 대체하여 쓰기로 합니다.
이렇게 하면 큰어금니 자리를 임플란트 없이 교정으로 마무리가 가능하니 일석이조 입니다
하악은 양쪽 사랑니를 빼고 사랑니 공간으로 후방이동 시켜 앞니를 뒤로 보내기로 합니다.
작은어금니 발치교정을 인비절라인으로 하면 통상 2년에서 2년반을 설명 드리지만 큰어금니 발치공간은 작은어금니 발치공간의 1.5배 이상이 되기에 치료기간 3년을 설명드렸습니다.
결론적으로는 환자분이 장치를 잘 껴준 덕에 2년도 채 안 걸려서 마무리가 되었습니다.
첫세트 장치는 49개 입니다.

교정용 나사를 심어 하악은 후방이동

상악은 어금니 쓰러짐을 최소화 하기 위한 장치를 여기저기 달고 공간 폐쇄를 이어갑니다.
38번 장치를 끼던 중 어금니 쓰러짐이 심해져서 치료를 중단하고 재제작에 들어갔습니다.
재제작 당시 모습입니다.

24.07
앞니 배열은 좋아졌고

큰어금니 발치공간은 많이 줄었으나

큰어금니 쓰러짐이 보입니다.
인비절라인 발치교정에서 쓰러져버린 큰어금니를 세울 때 브라켓을 붙이고 철사를 넣기도 하지만 가능하면 재제작을 통해 마무리 하는 것을 선호합니다.

24.07
치료계획을 다시 세우고 24년 8월부터 추가장치를 끼기 시작했습니다.
추가장치 갯수는 31개 입니다.
24년 8월부터 25년 4월까지 31개 추가장치를 모두 낀 후 모습입니다.

25.04
중심선은 잘 맞으나 앞니 사이 미세공간이 남아있습니다.
또한 위 앞니 사이 블랙트라이앵글도 눈에 띕니다.

발치공간은 깨끗하게 없어졌고

배열은 좋습니다.

25.04
쓰러졌던 큰어금니들은 잘 섰으나 한쪽 어금니 교합의 개선이 좀 더 필요합니다.
미세공간의 해결, 블랙트라이앵글, 어금니 교합 개선을 위해 두번째 추가장치 제작을 합니다.
25년 5월부터 8월까지 14개 추가장치를 모두 낀 후 치료를 마무리 했습니다.

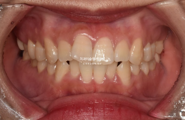
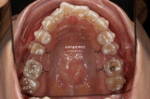
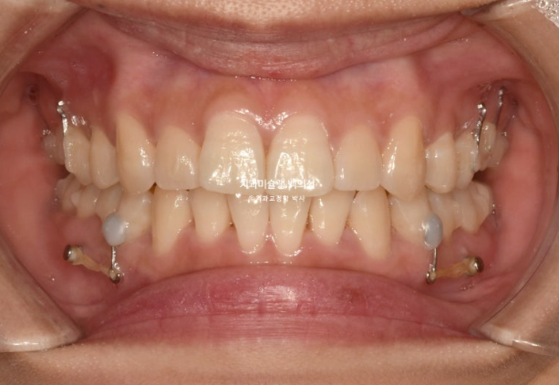
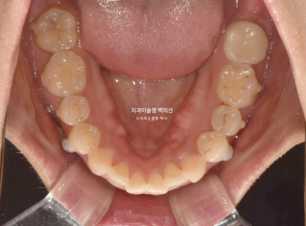
25.08
중심선은 일치하고 교합도 좋습니다.

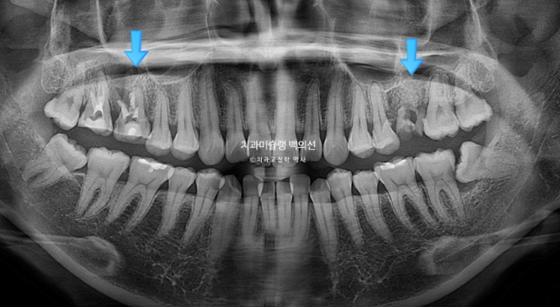
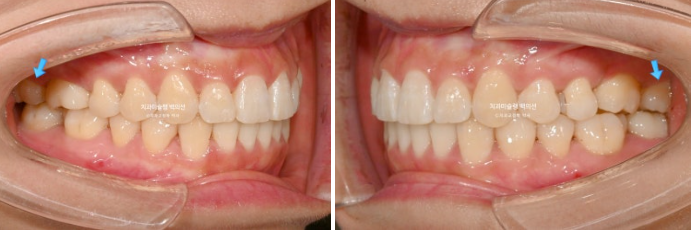
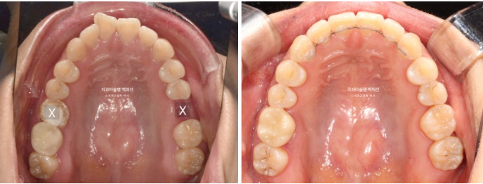
파란화살표 둘째 큰어금니 (제2대구치)자리에 있는 치아는 사실 사랑니입니다.
그 앞 제 1대구치 자리에 와있는 치아는 사실은 제 2대구치입니다.
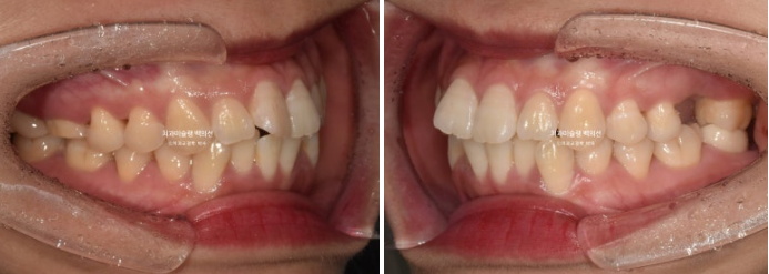
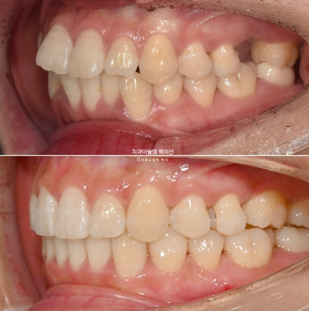
이제 전후비교 보겠습니다.
총 치료기간은 1년 10개월, 재제작은 2회 했습니다.

23.10~25.08
발치된 큰어금니 자리를 뒤에있는 제2대구치와 사랑니로 감쪽같이 대체되었습니다.


23.10~25.08

23.10~25.08

23.10~25.08
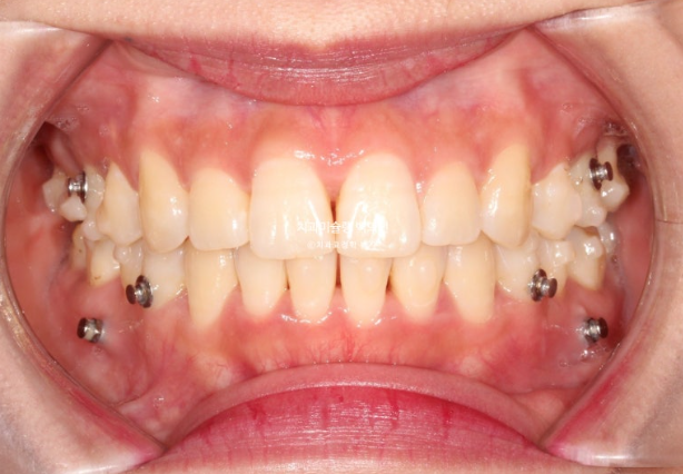
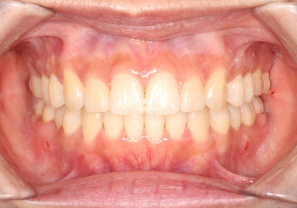
이제 안모 비교 보겠습니다.

23.10~25.08
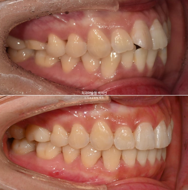
입이 편하게 다물리는 건 돌출입교정의 큰 기능적 효과 중 하나입니다.

23.10~25.08

23.10~25.08

23.10~25.08
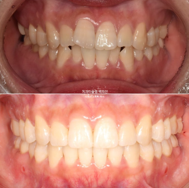
깔끔해진 미소

23.10~25.08
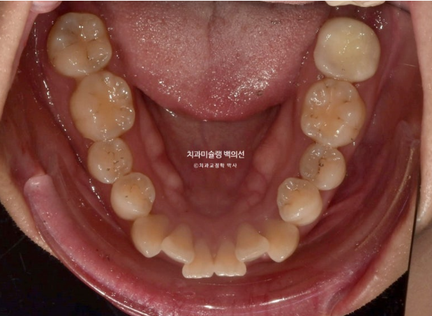
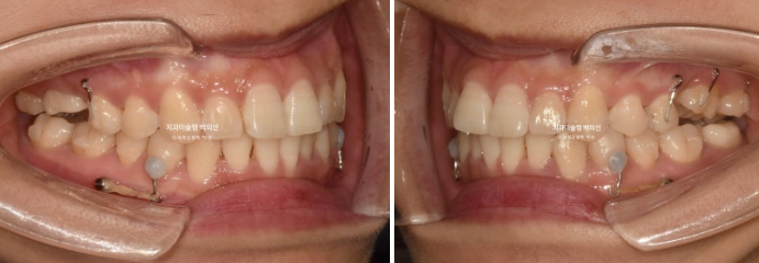
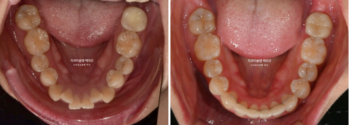
쓰러짐 없이 잘 배열되었으며 치근평행도는 좋습니다.
치근흡수는 없습니다.
인비절라인 교정에서 치근흡수는 체감상 클리피씨 교정의 1/10도 안되는 것 같습니다.
돌출된 앞니가 개선이 되면서 입 다무는 것이 한결 편해졌습니다.
인비절라인 발치교정은 매우 잘되는 치료이고 심지어 큰 어금니 발치공간도 문제 없이 해결이 가능합니다.
물론 환자분이 장치를 잘 껴준다는 전체하에 말입니다.
어금니를 잃고 속상해 하시는 분들에게 이 포스팅이 도움이 되길 바랍니다.

