안녕하세요
압구정 어린이 교정 소개해드리겠습니다.
프리올소 라는 장치는 프랑켈 장치의 최신 간단 버전 쯤으로 생각하시면 편합니다.
아래턱의 위치를 간단하게 잡아주는 장치인데 앞니가 거꾸로 물리는 반대교합에서 간편하고 빠른 효과를 냅니다.
과거에는 페이스마스크나 헤드기어 뿐 아니라 액티베이터, 트윈블럭, 프랑켈 등 근기능장치를 많이 썼었는데
지금은 인비절라인 퍼스트와 프리올소가 나온 이후 치료가 간단해지고 무엇보다 아이와 부모님도 편해졌습니다.

프리올소는 그러나 효과가 단지 "앞니 반대교합 해소"에 한정되기 때문에 비대칭치료나 악궁확장 등이 필요하면 어린이 투명교정 인비절라인퍼스트를 병행해야 합니다.
오늘은 비대칭과 주걱턱이 있는 친구가 프리올소에 이어 인비절라인 퍼스트로 치료한 증례를 보겠습니다.

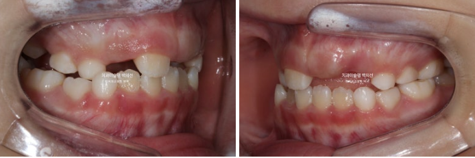
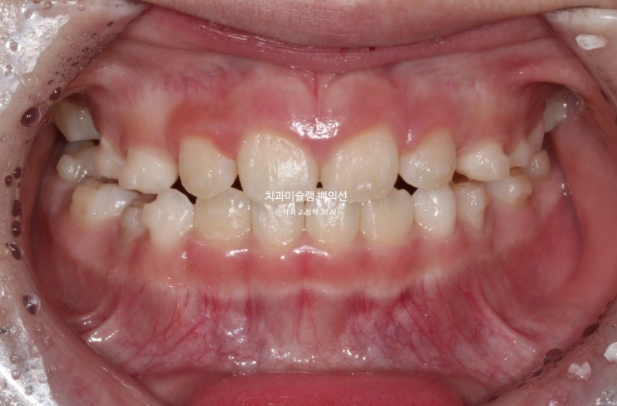
2022.08
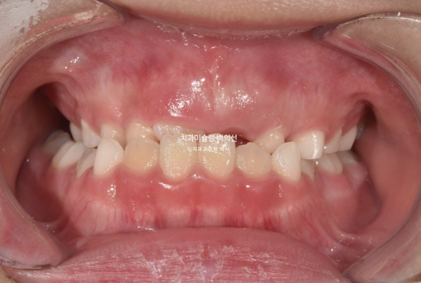
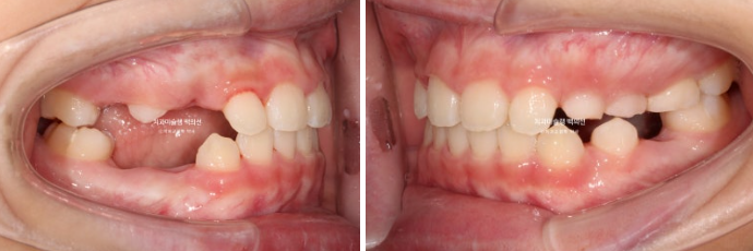
2022년 8월 내원한 어린이 입니다.
앞니 반대교합과 비대칭 치료를 위해 오셨습니다.
앞니 뿐 아니라 송곳니, 일부 어금니까지 거꾸로 물리는 상황입니다.


앞니 반대교합은 프리올소와 같은 장치로 간단하게 넘겨줄 수 있지만 더 큰 문제는 비대칭입니다.

아래앞니와 함께 아래턱이 우측으로 돌아가 있습니다.
골격분석 결과 페이스마스크와 같이 적극적인 주걱턱 치료는 불필요하고 가성주걱턱일 가능성이 높아 간단하게 반대교합 부터 넘기기로 합니다.
프리올소 권유드렸고 2달만에 앞니 반대교합은 해결이 되었습니다.

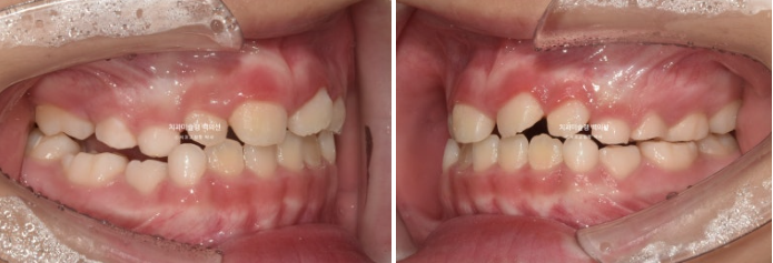
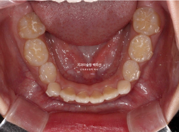
2022.10
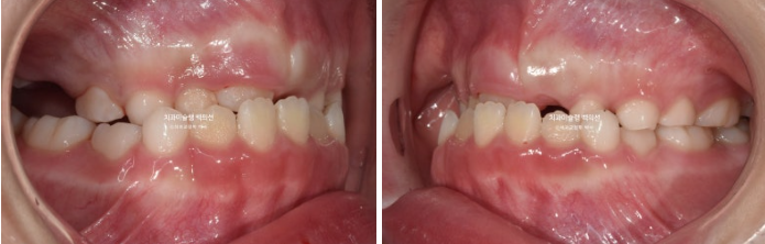
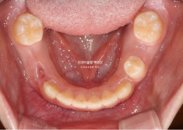
하지만 여전히 어금니 반대교합이 남아있습니다.
유치 송곳니도 여전히 거꾸로 물려 교합간섭이 남아있습니다.

어금니 반대교합은 상악 악궁이 좁아서 생기는 문제입니다.
즉 악궁확장이 필요하고 인비절라인 퍼스트로 악궁확장을 동반하여 MA (mandible advance, 하악전진기능) 기능을 이용한 비대칭 치료가 필요합니다.
MA 기능을 활용한 인비절라인퍼스트 어린이 비대칭 교정은 기존 포스팅 참고하시면 좋습니다.
23년 5월까지 프리올소를 밤에만 유지용으로 끼며 약 8개월간 앞니가 나오길 기다립니다.
인비절라인퍼스트는 앞니 4개가 다 나온 직후 치료를 시작하는게 장치 안정성 측면에서 좋습니다.
그래서 치료시기를 서두르지 않고 기다리는게 좋습니다.

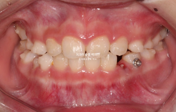
23.05
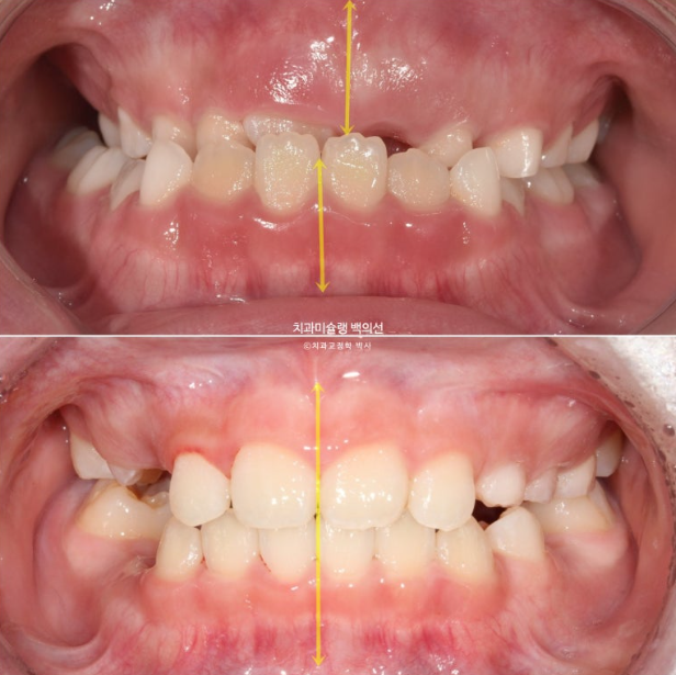
드디어 앞니 4개가 나왔으며 반대교합 치료 결과는 잘 유지되고 있습니다.


어금니 반대교합의 원인은 좁은 상악 악궁에 있습니다.

이제 인비절라인퍼스트 치료로 악궁확장, 앞니배열 등을 먼저 진행하여 교합간섭 해소를 도모합니다.

23년 6월부터 11월까지, 6개월간 첫세트 30개 장치를 모두 낀 후 모습입니다.

악궁확장을 통해 어금니 반대교합은 해소되었고 앞니배열은 좋아졌습니다.

나중에 영구치 송곳니 날 공간도 충분히 마련되었습니다.

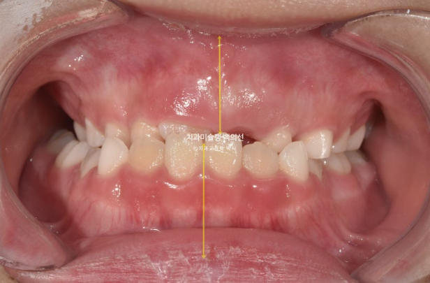
앞니 중심선 개선을 위해 재제작에 들어갔습니다.
23년 12월부터 추가장치를 끼기 시작했습니다.

2024.1
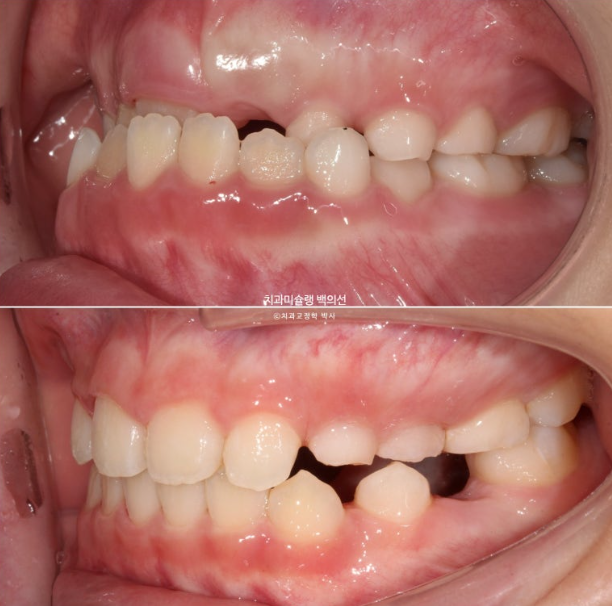
두달 후 중심선은 잘 맞아졌습니다.
뺏다꼈다 하는 고무줄 처방이 함께 들어갔습니다.


24.01
이후 잔여 공간 분배, 중심선 개선을 위한 MA 기능을 위해 재제작을 한 번 더했습니다.

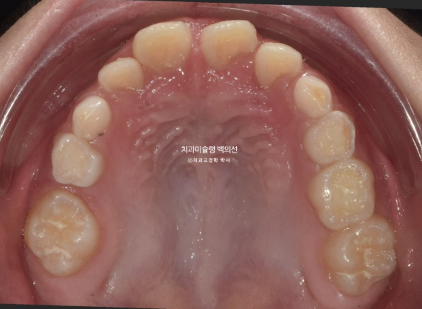
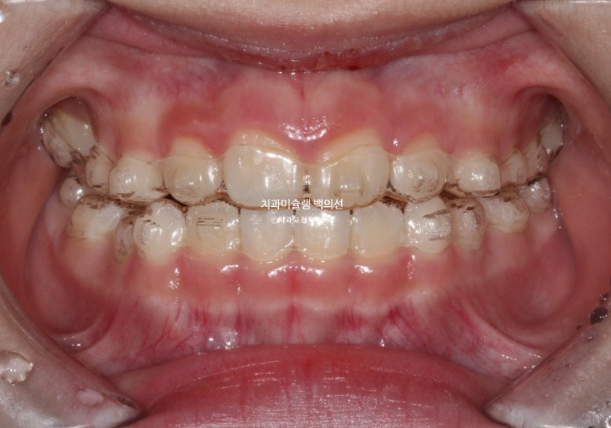
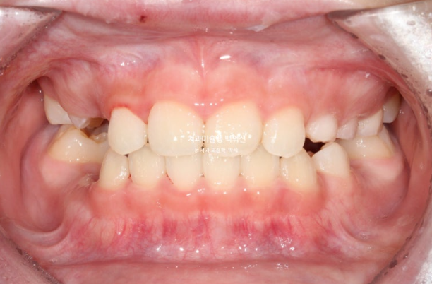
2025.5 드디어 치료를 마무리 했습니다.

중심선은 잘 맞으며

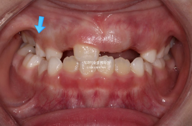
그사이 남은 유치들이 대거 빠지고 영구치 맹출을 기다리는 중입니다.


영구치가 다 나올때까지 유지는 뺏다꼈다 하는 가철식 유지장치를 사용키로 합니다.

아이가 아직 성장중인 만큼 꼼꼼한 사후관리가 필요합니다.
총 치료기간은 프리올소 2개월, 인비절라인 퍼스트 2년입니다.
성장을 이용한 비대칭 치료이니만큼, 최대성장기를 최대한 이용하기 위해 중간에 쉬는시간 없이 인비절라인퍼스트가 보증하는 보증기한동안 장치를 계속 착용했습니다.

비대칭은 개선되었으며 중심선은 맞아졌습니다.
앞니 교합은 좋습니다.

반대교합의 해소

치아뿐만 아니라 턱 비대칭의 개선

너무 일찍 시작하면 효과가 떨어지고 너무 늦으면 치료시기를 놓치는 것이 소아교정 성장교정 입니다.
비대칭이나 주걱턱으로 아이 교정치료를 고민하는 분들에게 이 포스팅이 도움이 되길 바랍니다.

