안녕하세요
압구정 교정교정치과입니다.

2023.02~2025.05
덧니와 돌출이 함께 있다면 발치교정이 필요합니다.
돌출과 덧니가 윗니에 국한된 경우, 위 작은어금니 2개만 발치하기도 합니다.
발치교정을 앞둔 환자분들이 가장 걱정하는 것은 합죽한 입매, 옥니, 얇아진 입술, 길어진 인중 등등
원치않는 입매 부작용들입니다.
이 부분을 고려한 치료과정이 중요하겠습니다.

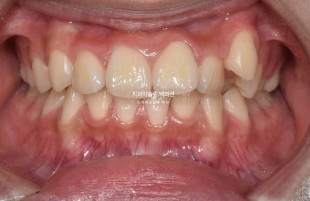
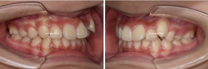
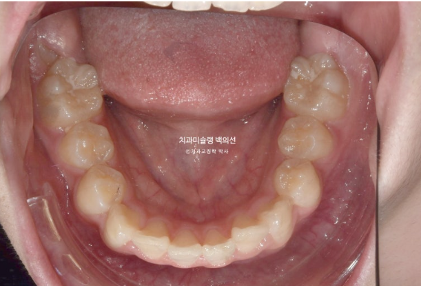
23.02
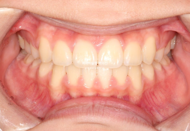
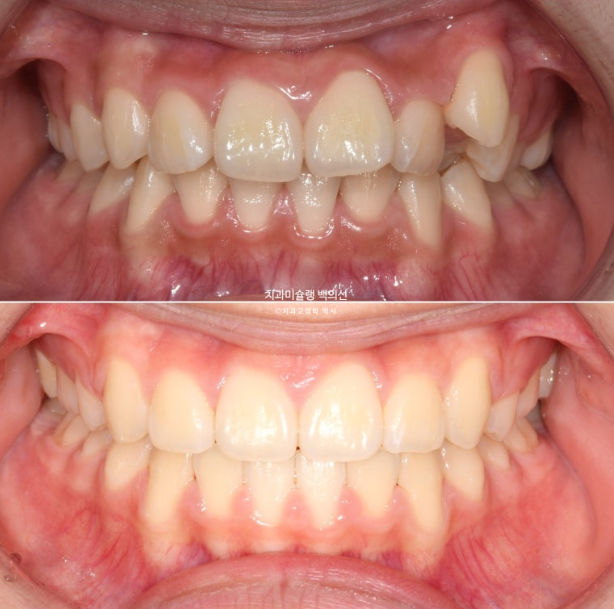
23년 2월 교정치료를 위해 온 중학생 환자분입니다.
덧니와 중심선 불일치, 과개교합 등이 눈에 띕니다.

덧니가 있으면 덧니쪽으로 중심선이 돌아가게 됩니다.
교정치료로 치아중심선을 코와 인중에 맞춰야 합니다.

앞니 뻗침도 있어서 약간의 돌출입도 있습니다.


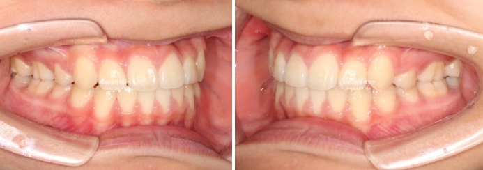
덧니와 돌출 해소를 위해 작은어금니 발치교정이 필요합니다.
단 위에만 2개 발치 치료계획을 세워습니다.
아래 작은어금니까지 총 4개를 빼면 입이 너무 많이 들어가게 되기 때문입니다.
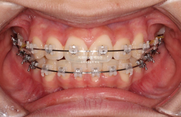
클리피씨 교정 선택하셨고 치료 들어갔습니다.
치료시작 1년째 모습입니다.

24.02

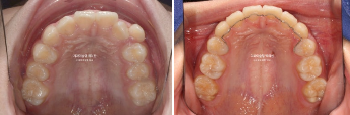
상악 발치공간은 편측으로 약 1/3 남아있으며 아직 한쪽 제2대구치가 나오지 않은 상황입니다.

두번째 큰어금니가 나오길 기다리며 치료를 천천히 이어갑니다.
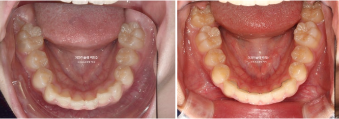
교정 종료 시점에 뺏다꼈다 하는 유지장치를 제작해야 하는데
두번째 큰어금니까지 다 나온 후 제작하는 게 가장 좋기 때문입니다.
그래서 치료 종료 시기를 두 번째 큰어금니까지 나온 후로 연기하는 것이 좋습니다.
치료시작 2년 3개월차, 드디어 치료를 마무리 합니다.

25.05
중심선은 잘 맞으며 교합은 깔끔합니다.
위에만 작은어금니를 발치하면 교합이 괜찮나요?
하는 질문을 많이 하십니다.

상악만 발치교정 결과 교합은 이러합니다.
이제 전 후 비교 보겠습니다.

23.02~25.05

총 치료기간은 2년 3개월입니다.

23.02~25.05

23.02~25.05
이제 안모비교 보겠습니다.

23.02~25.05
코와 인중이 맞아진 상악 중심선
2mm의 어긋남이 해소가 되어 맞아진 상악과 하악 치아중심선
적절한 입동굴로 아담해진 치열
완만한 U자형의 스마일라인
미소가 훨씬 정돈되고 깔끔한 느낌이 듭니다.

23.02~25.05
뻗치치도 옥니처럼 뒤로 너무 들어가지도 않은 적절한 앞니 각도

23.02~25.05
입술 돌출 역시 과하지 않게 입술 볼륨감을 유지한채 적당히 들어갔습니다.
결과에서 보듯 작은어금니 4개 발치는 불필요했습니다.
윗니돌출이 해소가 되면서 입술이 편하게 다물립니다.
치료당시 아직 중학생이라 성장에 의해 아래턱이 조금 성장했습니다.
덧니와 돌출입으로 교정이 필요하신 분들에게 이 포스팅이 도움이 되시길 바랍니다.

