안녕하세요 압구정 인비절라인 교정치과 연세바로치과입니다.
돌출이 심해 입이 안다물어질 정도라면 발치교정이 필요합니다.
발치교정이 과연 인비절라인으로 잘 되느냐 안되느냐에 대한 논란은 기존 포스팅들로 대체하기로 하고

23.07~25.09
오늘은 돌출입 발치교정을 하면서 동시에 상악 전체치열 함입으로 거미스마일 (잇몸미소)와 무턱을 해결한 증례를 보여드리겠습니다.
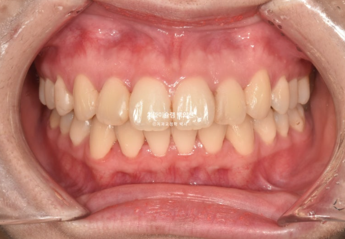
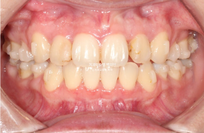
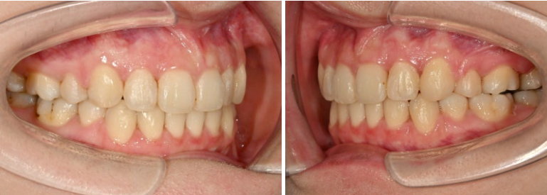
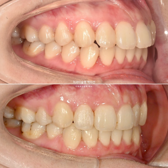
23년 7월 교정치료를 위해 내원한 20대 환자분입니다.

23.07
오래 전 비발치교정을 했던 이력이 있습니다.
앞니는 가지런한 편이며 중심선도 거의 맞습니다.

교합은 좋은 상태이고

치열도 꽤 가지러한 편입니다.
입안 사진만 보면 재교정을 왜하나 싶겠지만 환자분이 재교정을 해서라도 고치고 싶은 것은
돌출입
거미스마일 입니다.

돌출입이 심한 경우 입술이 편하게 다물리지 않는 입술부전증을 동반하며, 사진과 같이 턱끝에 힘이 들어가 호두턱, 호두주름을 만듭니다.
결과적으로 턱끝이 무턱처럼 보이게 하죠.
이 부분에 대해서는 치과미슐랭 유튜브 내용을 참고하시면 좋습니다.

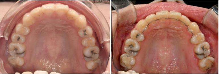
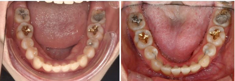
거미스마일도 심한 편이었으며 돌출과 거미스마일 해소를 위해 작은어금니 4개를 발치하고 치료에 들어갔습니다.
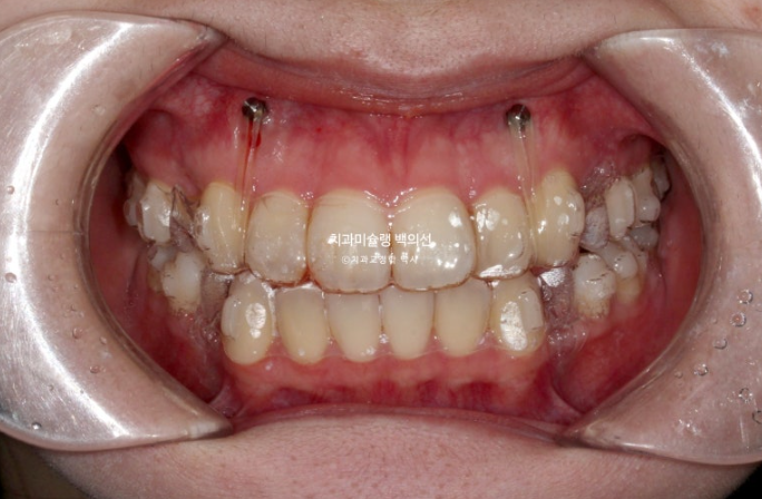
치료방법은 인비절라인 선택하셨고 첫 세트 장치는 85개가 나왔습니다.

23.12


일주일에 장치를 1개씩 교체해가며 치료를 진행합니다.
발치교정에서 거미스마일 개선을 위해서는 교정용 나사에 환자분이 뺏다꼈다 하는 고무줄 처방이 함께 들어갑니다.
환자분은 장치와 고무줄을 열심히 껴주었습니다.
25년 5월까지 1년 10개월간 85개 장치를 모두 낀 후 모습입니다.

25.05
중심선은 잘 맞으며

앞니사이 공간이 조금 남아있습니다.
어금니 교합은 좋은 편


미세하게 남은 발치공간을 없애기 위해 추가장치 제작에 들어갑니다.
추가장치 갯수는 11개이며 25년 6월부터 9월까지 꼈습니다.
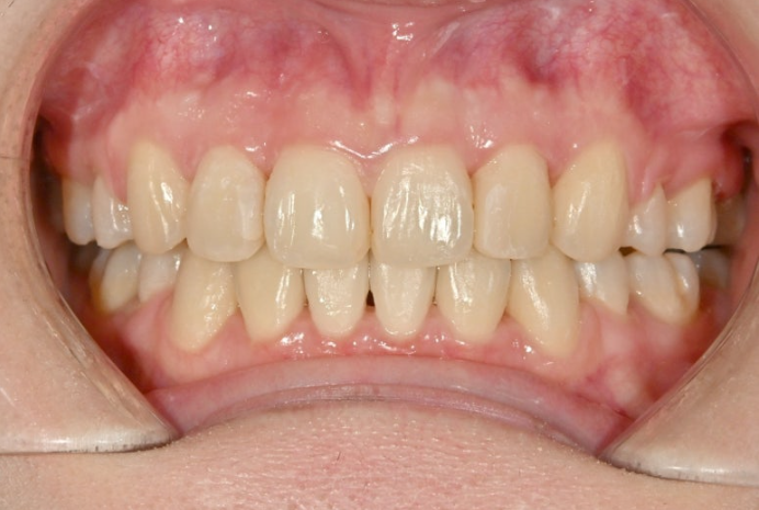
그리고 이번달 드디어 치료를 마무리 했습니다.

25.09
중심선은 잘 맞으며

25.09
어금니 교합은 좋습니다.
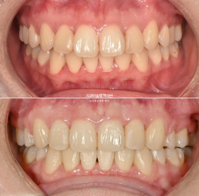
이제 전후비교 보겠습니다.
총 치료기간은 2년 2개월, 재제작은 1회 했습니다.

23.07~25.09

유지장치까지 들어간 모습이죠.

23.07~25.09

23.07~25.09
이제 안모비교 보겠습니다.

23.07~25.09
턱끝의 울퉁불퉁했던 호두주름이 사라졌습니다.
입은 한결 편하게 다물리며 입술이 처음에 비해 얇아진게 보입니다.
입술 얇아짐은 돌출입 발치교정에서 피할 수 없는 부분이나, 환자분의 초진시 원래 입술이 도톰하여 얇아짐이 부작용으로써 나타나진 않았습니다.

23.07~25.09
비로소 편하게 다물리는 입술을 보니 제가 다 편안합니다.

23.07~25.09
주목할만한 점은 턱끝의 모양 변화
돌출이 개선되어 입술부전증이 해소되면서 턱끝이 불필요한 긴장이 풀린 것도 턱선 변화에 한몫 하지만
아래 엑스레이 중첩에서 보듯 상악 전체치열 함입으로 하악골 자가회전이 일어나 실제로 턱끝이 전방으로 나왔습니다.

23.07~25.09
거미스마일은 완전히 해소되었으며 스마일라인와 입동굴은 적절합니다.

23.07~25.09
예쁜 앞니 각도가 돋보이네요.

25.09
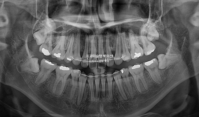
2년 2개월의 치료기간동안 치근흡수는 없었으며 치근평행도는 양호합니다.
초진과 마지막 옆모습 엑스레이 중첩결과를 보며 위 앞니가 약 3mm 합입되며 6mm 후방이동한게 보입니다.
3mm는 거미스마일 교정에서도 꽤 많은 양 함입한 셈인데 치료 중 치근흡수가 없었던 것이 바로 인비절라인 교정의장점입니다.
임상경험으로 비추어 클리피씨 교정에 비해 인비절라인 교정은 치근흡수가 훨씬 적습니다. 물론 연구가 필요한 부분이죠.
앞이 후방이동량이나 함입량보다도 더 주목해야할 점은 하악의 자가회전이 상당이 많이 일어남을 알 수 있습니다.
하관길이는 드라마틱하게 짧아졌고 하악골 회전에 의해 턱끝도 많이 앞으로 나왔습니다.
성장기 아닌 성인에서 양악수술 없이 이정도의 하악 위치 변화는 괄목할만한 결과입니다.
돌출입 발치교정을 고민 중인 포스팅이 도움이 되길 바랍니다.

