안녕하세요.
압구정 교정치과입니다.

23.11~25.10
주걱턱 즉 골격성 3급 부정교합에서 치료방법은 두가지입니다.
양악수술을 해서 완벽한 안모를 도모 할 것이냐 또는 교정만으로 절충치료를 할 것이냐 입니다.
만약 양악수술에 대한 거부감이 있는 경우 어느정도의 결과의 한계를 감안하고 교정만으로 치료를 하기도 합니다.
물론 주걱턱 정도가 아주 심하다면, 양악수술 없이는 교정치료 시도조차 하지 않는 게 나은 경우도 더러 있습니다.
교정치과에서 정밀진단이 필요한 부분이죠.
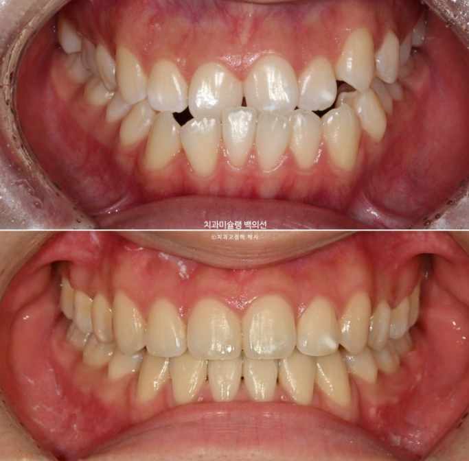
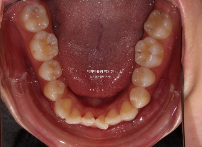
약 2년전, 교정치료를 위해 내원한 환자분입니다.

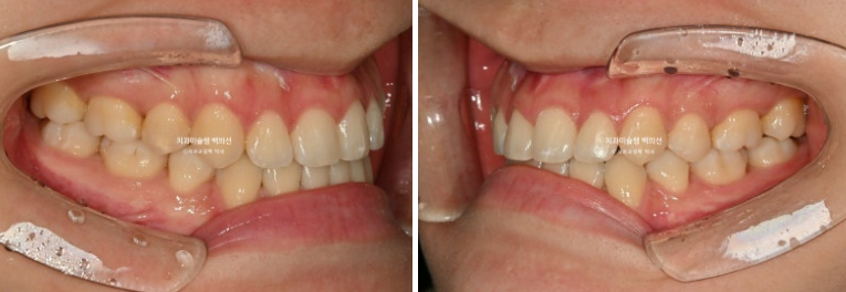
위아래 중심선이 서로 약 2mm가량 어긋나 있고 송곳니 덧니도 있습니다.


주걱턱으로 인해 앞니가 거꾸로 물립니다.
반대교합이라고 합니다.
골격성 주걱턱이라 양악수술이 필요한 상황인걸 알고 계시지만 양악수술까지는 원치 않았죠.

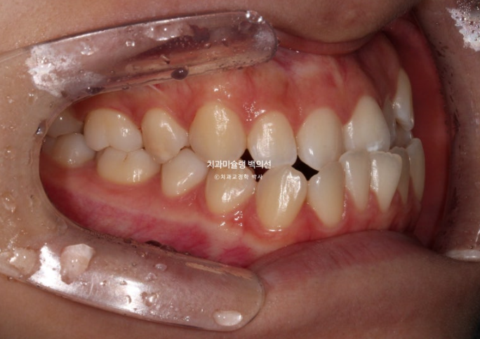
파란 화살표에 작은어금니가 하나 없습니다.
즉 결손치도 하나 있는 상태입니다.

만약 환자분이 작은어금니 하나가 없지 않았다면 비발치로 치료를 고려했을지도 모르나, 이미 없는 작은어금니에 균형을 맞추고자 나머지 작은어금니 3개 발치 계획을 세웠습니다.
치아 갯수 균형을 맞춰야 하니 상악도 발치를 하긴 하지만, 발치공간으로 위 앞니가 뒤로 들어가지 않게 잘 컨트롤하며 치료를 이어가야 합니다.
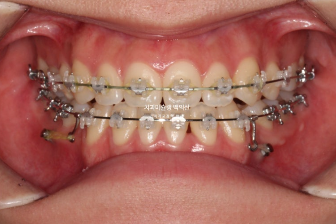
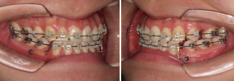
클리피씨 선택하셨고 당일 치료 들어갔습니다.

24.09
위 앞니는 최대한 뒤로 들어가지 않도록 유지하면서, 아래 앞니는 최대한 뒤로 많이 넣기 위해 아래에 교정용 나사를 2개 심었습니다.


25.08
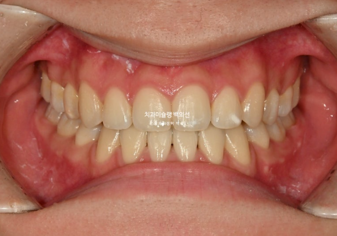
약 3달간 디테일한 조정을 거쳐 드디어 25년 10월, 치료를 마무리 했습니다.

25.10
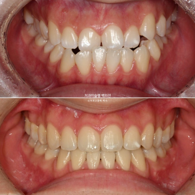
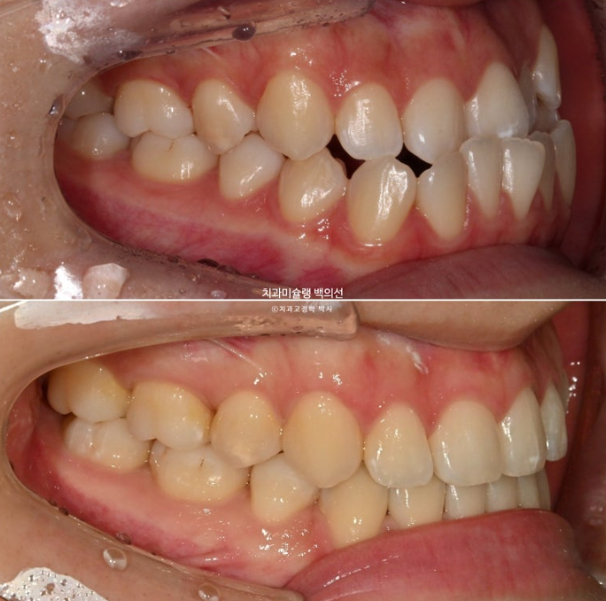
중심선은 정확히 맞습니다.

물샐틈 없는 1급 교합입니다.

이제 전후 비교 보겠습니다.
총 치료기간은 2년에서 한달 모자란 1년 11개월 입니다.

23.11~25.10
어긋나 있던 위아래 중심선이 일치되었습니다.

23.11~25.10

23.11~25.10
앞니가 거꾸로 물리는 반대교합이 해결되었습니다.
이제 안모비교 보겠습니다.

23.11~25.10

23.11~25.10
자신있게 웃으며 삽시다.

23.11~25.10

23.11~25.10
아랫입술이 뒤로 들어가며 입매가 조화로워 졌습니다.
정밀한 후방이동량 조절의 결과
발치교정임에도 불구하고 아래턱끝이 부각되어 보이지 않습니다.

25.10
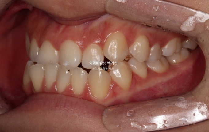
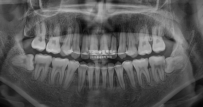
2년 가까운 기간동안 위 앞니 두 개 정도에 치근흡수가 보입니다.
치근평행도는 좋습니다.
이에 따른 아랫입술의 후방이동이 눈에 띕니다.
결과가 아주 좋습니다.
주걱턱으로 양악수술을 고민 중인 분들에게 이 포스팅이 도움이 되길 바랍니다.

