안녕하세요
압구정 교정치과입니다.
덧니가 심한데 입술 돌출이 없으면 비발치 교정을 진행합니다.
보통은 사랑니를 빼고 사랑니를 빼고 사랑니 공간을 이용하여 어금니를 사랑니공간으로 보내 앞니를 배열합니다만
사랑니 공간이 없는 경우도 있습니다.
이 경우 악궁확장 장치를 써서 덧니를 비발치로 배열하기도 합니다.
오늘 포스팅은 30대 후반의 성인에서 악궁확장장치를 사용하여 발치없이 심한 덧니를 해결한 증례를 보여드리겠습니다.
아울러 MSE 악궁확장장치로 입천장 뼈가 벌어졌을 때 일어나는 변화들에 대해서도 소개드릴게요.
30대 MSE 악궁확장 덧니 반대교합 비발치 클리피씨 부작용

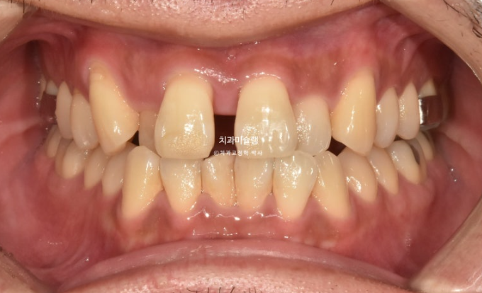
24.07
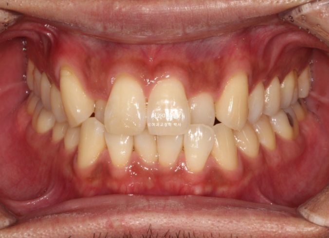
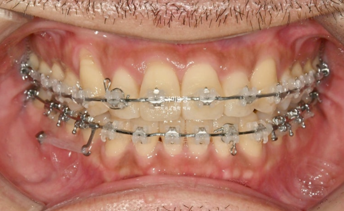
덧니가 있고 위아래 치아 중심선이 어긋나 있습니다.
치아중심선이 어긋나 있는 것은 아래턱 비대칭이 있기 때문입니다.

그에 비해 뒤쪽 어금니 교합은 좋은 편 입니다.



24.07
환자분의 얇은 입술과 입매를 고려하면 작은어금니 발치교정은 하지 않는 것이 좋은 상황이라 비발치 교정을 결정합니다.

그러나 사랑니 공간이 없는 상황이라 비발치 후방이동 방법은 쓰기 어렵습니다.
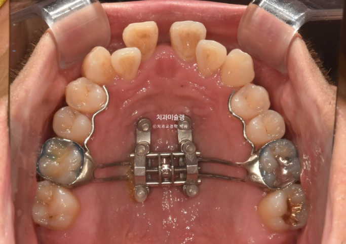
따라서 상악 악궁확장장치를 통해 덧니를 해결하기로 합니다.
30대 후반이라는 나이와 성별을 고려하면 악궁확장 실패 가능성이 커서 악궁확장장치 심는 날 봉합부를 따라 뼈를 느슨하게 만드는 corticopuncture도 함께 시행해야 합니다.
24년 10월 악궁확장이 성공하여 앞니 사이가 벌어졌습니다.

24.10
이렇게 앞니가 벌어지면 잘된 일입니다.

24.10
악궁확장 장치는 약 6개월간 유지하여 벌어진 봉합부에 다시 단단한 뼈가 차오르도록 도모합니다.

24.10
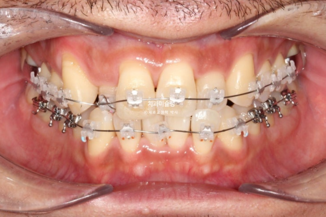
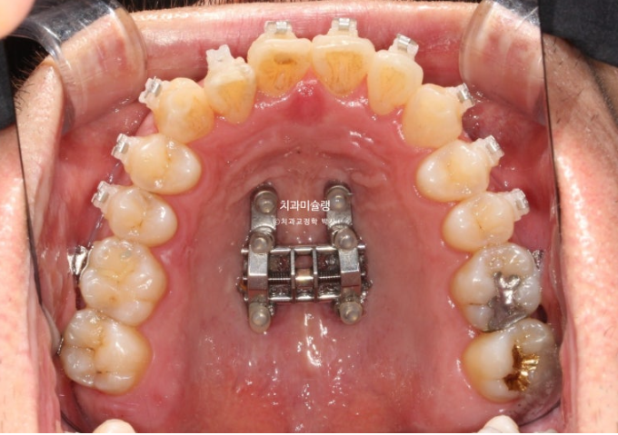
그 사이 윗니에 먼저 장치를 붙여 배열을 시작하고

24.12
2달 후 아랫니에도 장치를 붙여서 본격적인 교정을 시작합니다.

24.12
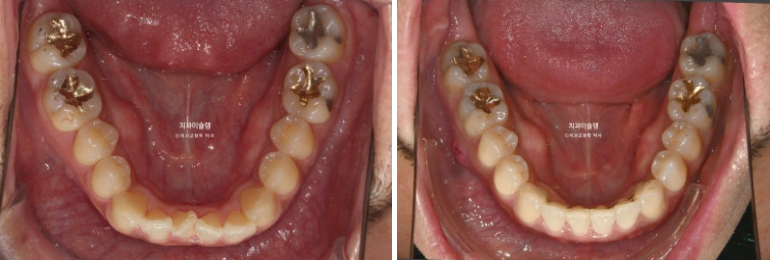
치료를 이어가다가 아래턱 비대칭에 의한 중심선 어긋남을 하기 위해 아래쪽에 교정용 나사도 하나 심었습니다.

25.09
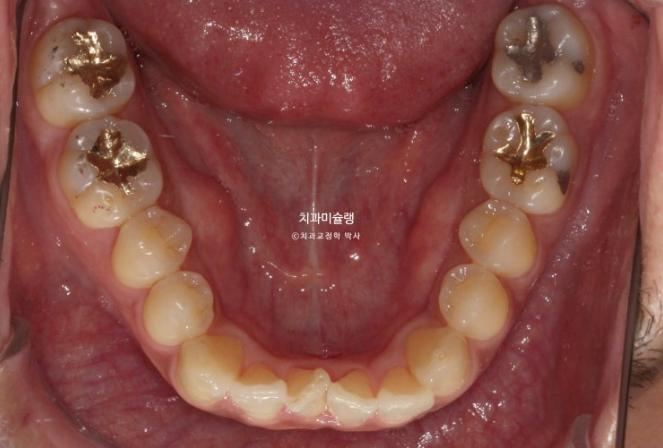
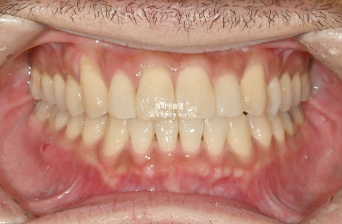
그리고 드디어 치료가 마무리 되었습니다.

25.10
거의 맞아진 중심선

교합은 물샐틈 없는 1급 교합관계를 보입니다.
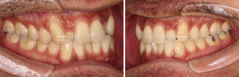
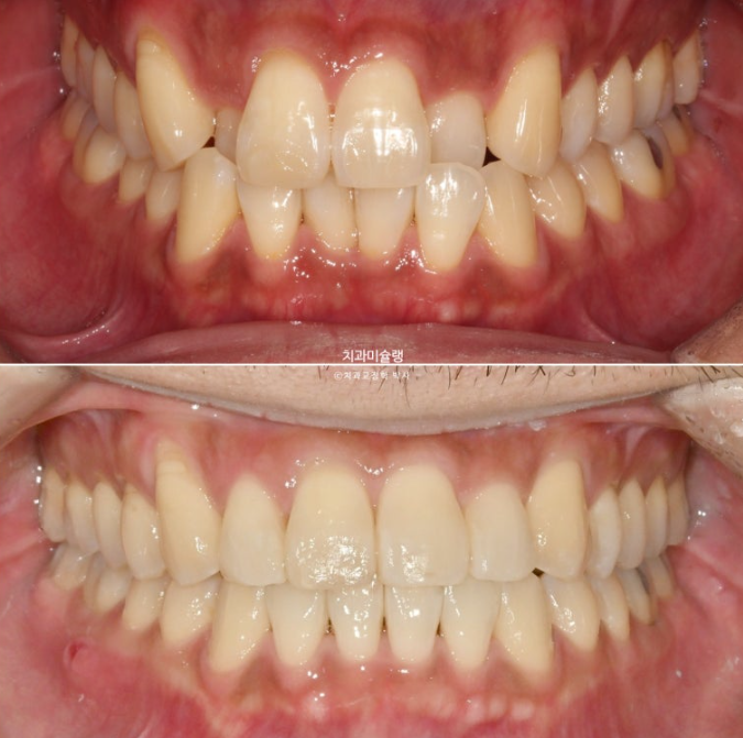
전 후 비교 보겠습니다.

24.07~25.10

24.07~25.10
악궁확장 기간을 포함하여 총 치료기간은 1년 3개월입니다.

24.07~25.10
중심선의 개선과 덧니의 해소
이제 안모비교 보겠습니다.
악궁확장을 하면 양쪽 콧볼 사이 간격이 아주 약간 넓어집니다.
한마디로 코평수가 늘어납니다.
비염이 있는 분들은 숨쉬기 훨씬 좋아 편하다 라고 많이들 이야기 하십니다.

24.07-25.10
사진에서 살짝 보이듯 콧볼이 넓어진 느낌은 거의 없습니다.
간혹 코가 넓어질까봐 악궁확장을 주저하는 분들이 있습니다만 눈에 띄는 정도는 아니라는 결론..
얼마전 다른 어떤 환자분이 주변에서 인상이 좋아졌다 신수가 훤해졌다 라는 말을 많이 듣는다며 좋아하셨는데요

24.07~25.10
신수가 훤해졌다는 말 참 오랜만에 들었습니다.
예뻐졌어요 라는 말보다는 전반적인 인상이 밝아지고 좋아졌다는 느낌을 잘 표현해주는 말이네요
이 환자분도 웃는 모습을 전후 비교해보니 훨씬 신수가 훤해지는 느낌입니다.

24.07~25.10
코가 참 예쁘신 환자분
입매변화 있는 교정은 아닙니다.

25.10
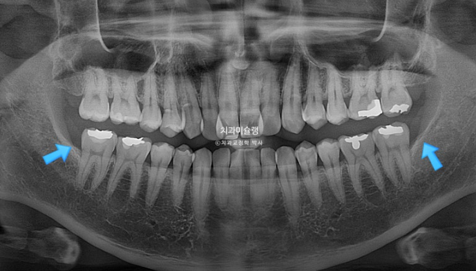
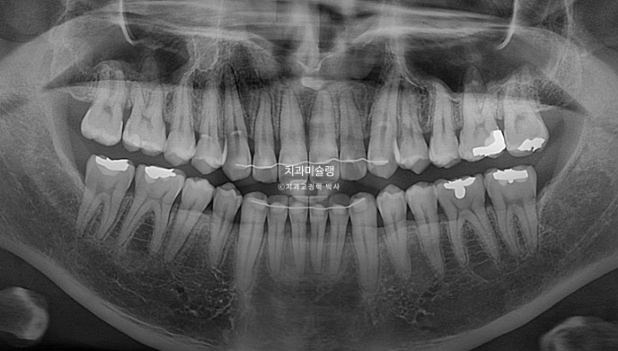
교정 후 치근흡수는 없고 뿌리 정렬상태도 좋습니다.
덧니 때문에 교정이 필요한데 발치는 무서운 분들에게 이 포스팅이 도움이 되길 바랍니다.

