안녕하세요
압구정 교정치과입니다.
압구정 어린이교정
어린이 돌출입 교정 이야기 해드리겠습니다.

24.04~25.11
성인에서 돌출입을 해결하려면 작은어금니 발치나 사랑니 발치가 필요하지만, 아이들은 공간을 잘 활용하면 발치 없이도 어느정도 돌출 해소가 가능합니다.

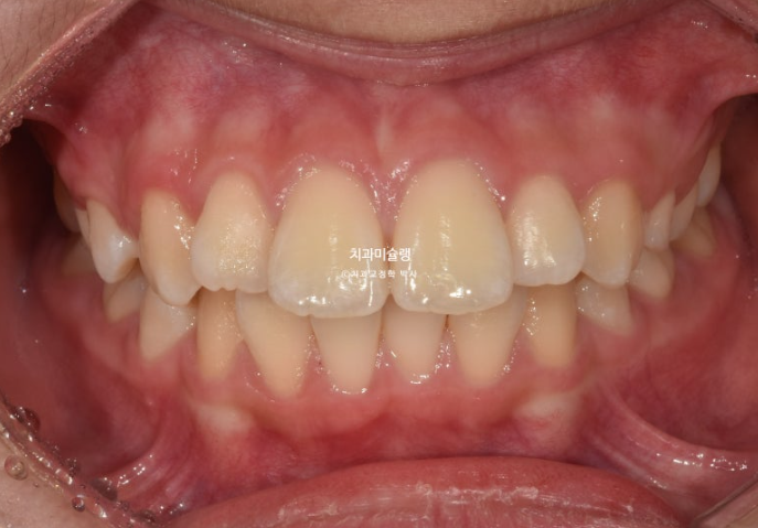
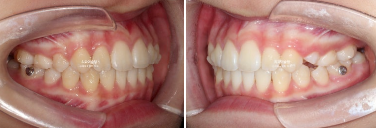
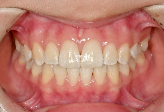
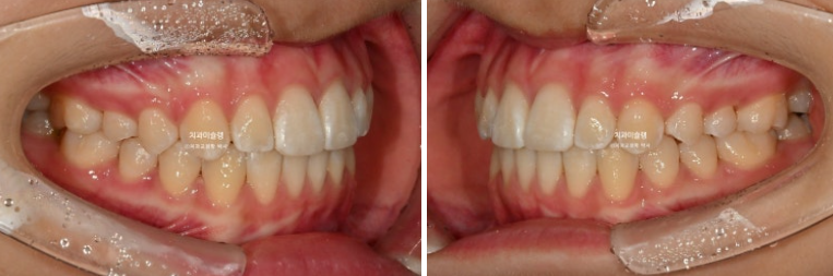
24.04
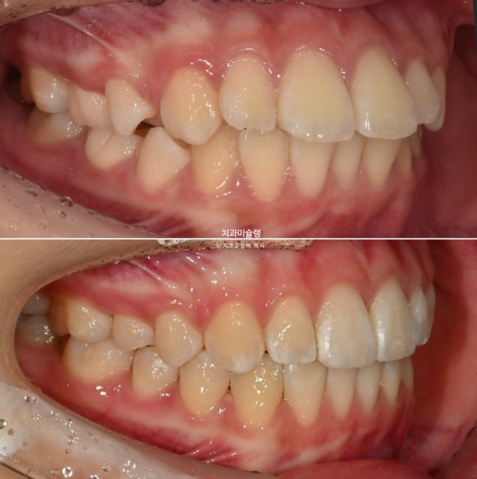
앞니가 유독 사이즈도 크고 아래로 내려와 있습니다.

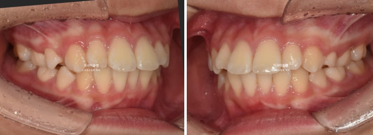
측면에서 보면 뻗쳐서 튀어나와있죠


유치가 위 아래 합쳐서 아직 5개가 남아있어 인비절라인 퍼스트 어린이 교정 권유드렸습니다.
만약 조금 더 늦게 와서 유치가 남아있지 않다면 청소년 또는 어른용 프로그램 인비절라인이 필요합니다.

24.04
안모로 보면 앞니 돌출때문에 입이 잘 다물어지지 않는 입술부전증과 호두주름 (호두턱)이 관찰됩니다.
다행히 남아있는 유치 사이즈가 나중에 나올 영구치 사이조보다 크고 여러가지를 계산해보면 따로 영구치 발치 없이도 위앞니 기준 3mm 후방이동이 가능할 것으로 예상이 됩니다.
물론 어린이 교정용 프로그램인 인비절라인 퍼스트라고 할지라도 아이가 벌써 돌출이 심하면 작은어금니 발치를 먼저 하기도 합니다만
이 아이는 추가 발치 없이 3mm 정도 돌출개선을 목표로 치료에 들어갔습니다.

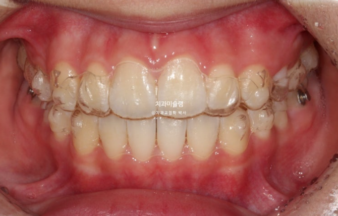
24.09
24년 9월까지 6개월간 첫세트 20개 장치를 모두 낀 후 모습입니다.
전반전이 끝났다고 표현할 수 있겠습니다.

24.09
내려와 있던 가운데 앞니 두 개는 위로 올라가면서 높낮이가 맞아졌고

24.09
앞니돌출은 개선이 되었습니다.
그 사이 남아있던 유치가 빠지고 영구치가 잘 나오고 있습니다.


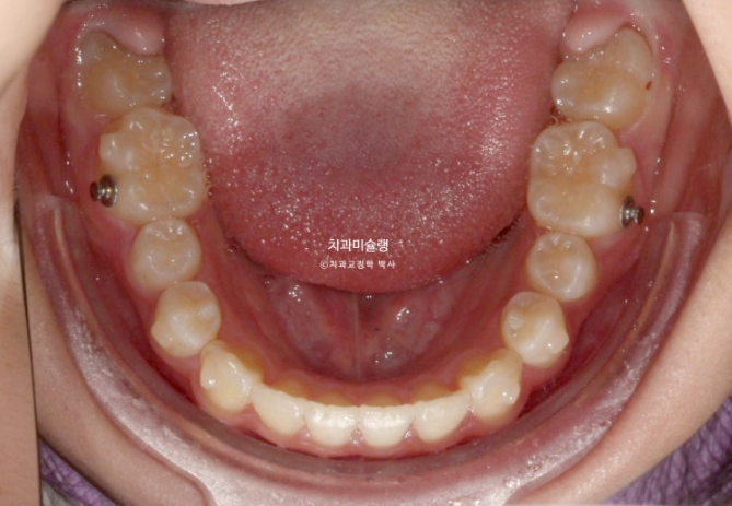
24.09
배열은 좋습니다
이대로 치료를 마무리 해도 되지만

24.09
아직 빠지지 않은 상악 유치과 아직 덜 내려온 작은어금니를 좀 더 기다립니다.
완전한 영구치열에 접어들어 교합이 완성된 상태로 끝나면 유지장치도 그만큼 더 완벽하게 들어갑니다.
어린이교정의 한계를 핑계삼기 보다는 어린이 교정이지만 성인교정만큼 완벽한 결과를 위해 부단히 노력하고 있습니다.
이후 약 7개월간 마지막 장치를 잘 때만 유지용으로 까면서 치료를 잠시 쉬어갑니다.
남은 유치가 빠지고 영구치가 나오기를 기다리는 시간입니다.

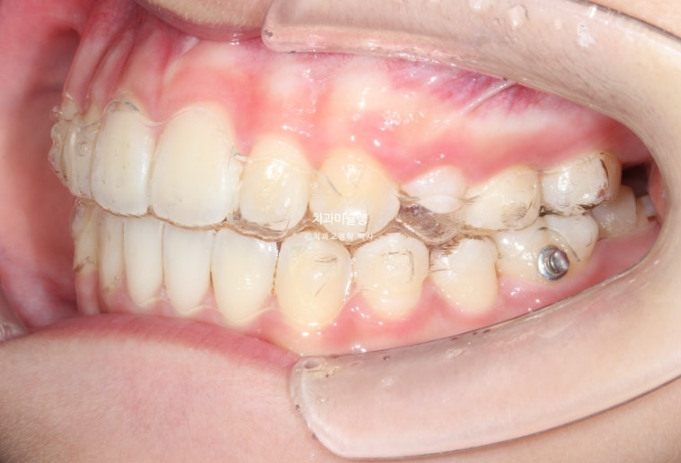
25.04
드디어 남은 유치가 다 빠졌습니다.
돌출 개선을 조금 더 도모하고자 두번째 세트 장치 제작에 들어갑니다.
사이즈가 큰 앞니를 미량의 치간삭제를 통해 줄이고 앞니 각도도 좀 더 개선하기로 합니다.
두번째 세트 장치는 15개가 나왔고 25년 11월까지 6개월간 장치를 열심히 껴주고 드디어 치료를 마무리 했습니다.

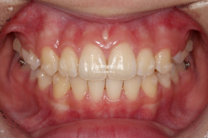
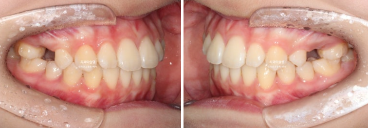
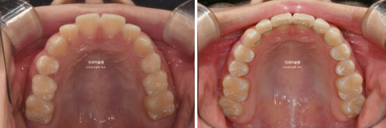
25.11
중심선은 잘 맞고 배열도 좋습니다.

그 사이 마지막 작은어금니까지 모든 영구치가 나와 교합이 완성이 되었습니다.
1급 물샐틈 없는 교합관계를 보입니다.
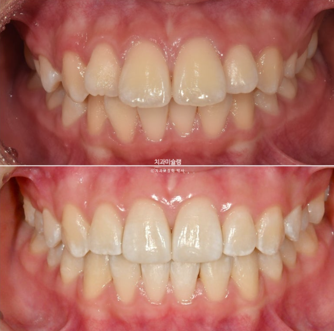
이제 전후 비교 보겠습니다.
총 치료기간은 1년 6개월이고 중간에 영구치 나오기를 기다리며 쉬는 시간이 7개월이고 액티브하게 장치를 열심히 끼던 시간이 약 11개월입니다
재제작은 총 1회 했습니다.

24.04~25.11

24.04~25.11
결과가 성인교정에 준하는 만큼 유지장치도 성인에 준하게 들어갑니다.
비베라 유지장치 하기로 했습니다.

24.04~25.11
성인이 되어 교정을 다시 안해도 되게끔 하는 것이 어린이 교정에 임하는 압구정 교정치과 목표입니다.

24.04~25.11
이제 안모가 얼마나 변했는지 볼까요

24.04~25.11
앞니 돌출과 높낮이 차이를 개선하고 약간의 치간삭제를 더해 치료했으므로 이제 더이상 앞니가 토끼이같이 커보이지 않습니다.

24.04~25.11

24.04~25.11
돌출로 인해 턱끝에 잡혔던 울퉁불퉁한 호두주름은 사라지고 매끈한 턱라인을 되찾았네요

24.04~25.11
돌출입이 해소가 되니 입매가 더 예뻐졌습니다.

25.11
치료기간동안 치근흡수는 없으며 치근평행도는 좋습니다.
돌출 앞니와 입매 개선이 눈에 띕니다.
성인이 되어 교정을 다시 할 필요가 없도록 아이와 부모님이 고생을 두 번 하지 않도록 많은 노력을 기울이겠습니다.
돌출입 비발치 어린이 교정 입술부전증 호두주름 호두턱 토끼이빨 인비절라인퍼스트 포스팅 도움이 되셨나요?
어린이 교정 고민 중인 분들에게 이 포스팅이 도움이 되었기를 바랍니다.

