안녕하세요
압구정 교정치과입니다.
오늘은 심한 돌출입 입술부전증 치료 후기를 들려드리겠습니다.
돌출입 발치교정 환자분이 가장 걱정하는 것은
<앞니가 너무 많이 들어가며 옥니나 합죽이가 될까봐 교정이 망설여집니다.> 이죠
반면 돌출과 총생이 너무 심해서 앞니를 최대한 뒤로 밀어넣어야 하는 경우도 있습니다.
오늘 바로 이 후자 이야기 해드릴게요
심한 돌출입 입술부전증 호두주름 발치교정 치료

23.08~25.10
입이 안 다물어질 정도의 심한 돌출과 호두주름, 무턱, 과개교합, 가위교합이 뒤섞인 복잡한 케이스에서 부작용을 최소화 하면서 가장 최선의 결과를 이끌어내는 과정을 보여드리겠습니다.
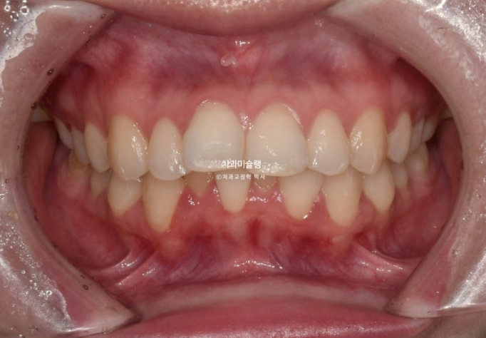
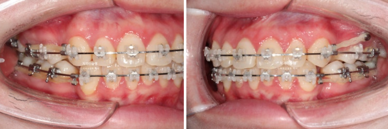
23년 8월 교정치료를 위해 내원한 환자분입니다.

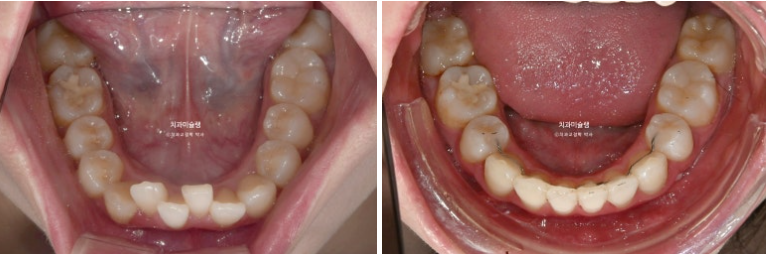
23.08
위 아래 중심선은 어긋나 있고
윗니가 아랫니를 많이 덮어 아랫니가 잘 안보이는 심한 과개교합이 보입니다.

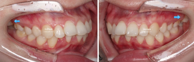
파란 화살표 부분은 위 아래 큰어금니가 엇갈려 물리는 가위교합입니다.

파란화살표 두번째 큰어금니가 바깥으로 밀려나가 가위교합이 된 것 입니다.

앞니도 많이 삐뚤합니다.

23.08
무엇보다 얼굴에서는 무턱과 심한 치아돌출로 인한 입술부전증이 두드러집니다.
즉 입을 편하게 다물 수 없습니다.
입을 다물려면 턱끝까지 힘을 줘야해서 턱끝에 울퉁불퉁한 호두주름이 잡혀 호두턱이 됩니다.
환자분은 골격 분석상 약간의 골격적 무턱이 있지만, 턱끝 근육의 이런 과긴장 때문에 무턱이 실제보다 더 심해보이게 됩니다.
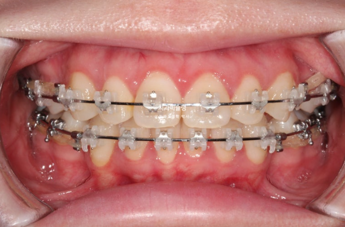
작은어금니 4개 발치교정 설명드리고 치료에 들어갔습니다.
장치는 인비절라인과 클리피씨 둘 다 결과나 기간이 비슷함을 설명드렸고 환자분은 클리피씨를 선택하셨습니다.
치료시작 10개월차 모습입니다.
가위교합의 원활한 개선을 위해서는 매복 사랑니 발치가 필요하여 사랑니 발치도 하셨습니다.

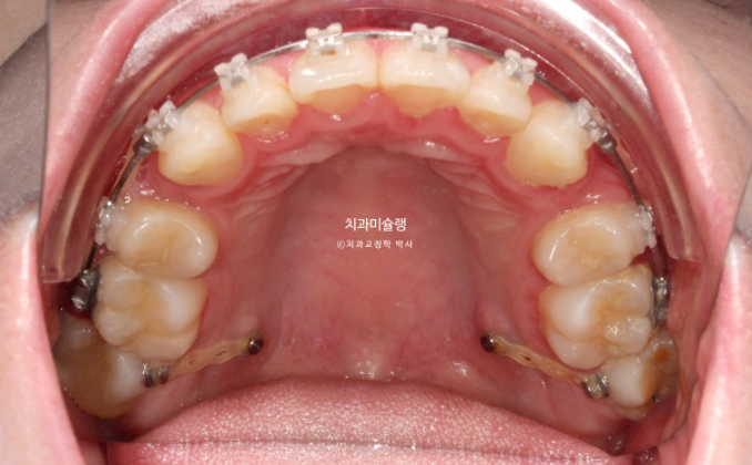
24.06
발치공간을 닫으며 앞니를 뒤로 움직이는 중입니다.


가위교합의 개선을 위해서는 입천장에 교정용 나사가 필요합니다.
앞니를 최대한 뒤로 많이 넣어야 하는 상황이라서 입천장뿐 아니라 볼쪽에도 교정용 나사를 심고 진행했습니다.
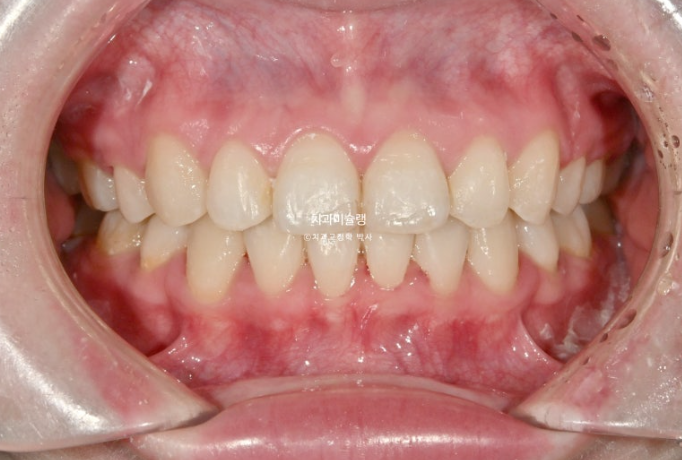
그렇게 치료를 이어가다가 25년 11월 드디어 치료를 마치고 장치를 제거했습니다.

25.11
총 치료기간은 2년 3개월 입니다.
본원에서 발치교정이 2년이 넘어가는 경우는 드문 편 입니다.

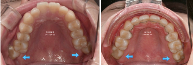
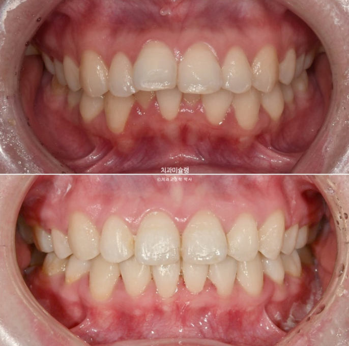
이제 전후 비교 보겠습니다.

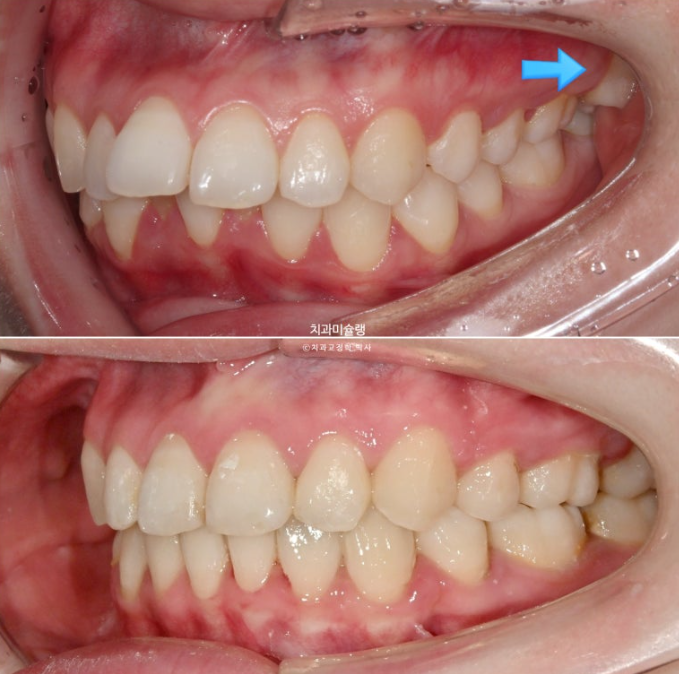
파란 화살표 큰어금니가 입천장쪽으로 들어오면서 가위교합이 해소가 되었습니다.

예쁜 배열위에 고정식 철사 유지장치까지 붙은 모습입니다.

어긋나 있던 중심선은 정확히 맞으며 깊게 물리는 과개교합이 해소되어 이제 아래 앞니가 정상적으로 보입니다.
뿐만 아니라 치아 높낮이 불규칙으로 인해 들쑥날쑥 했던 아래 앞니가 배열되면서 잇몸라인도 어느정도 정리가 되었습니다.


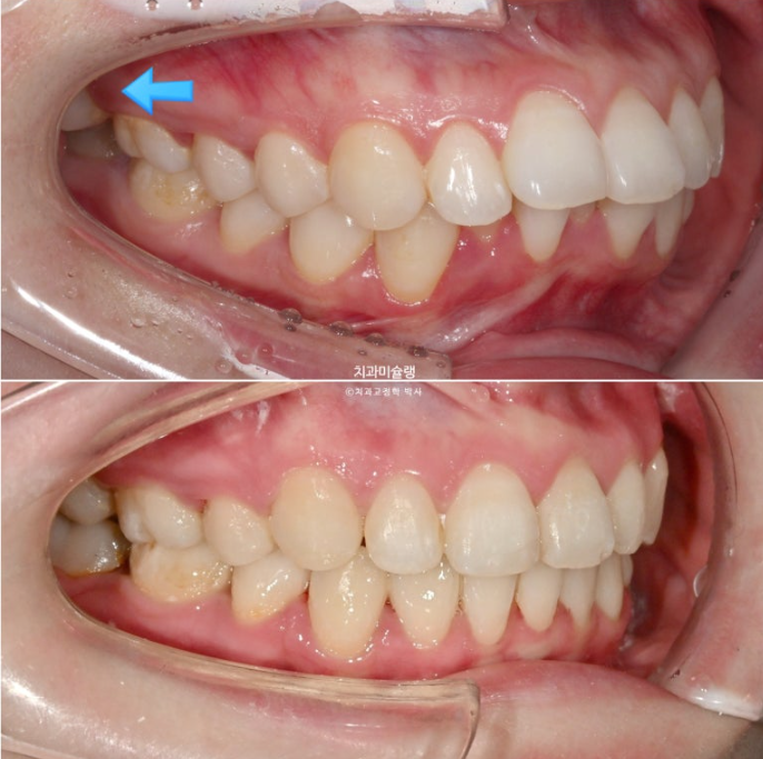
파란 화살표 부분의 가위교합이 개선이 되면서 어금니 교합은 물샐틈 없는1급 교합관계를 보입니다.

23.08~25.10
심하게 뻗쳐있던 앞니가 정상각도를 찾았습니다.
호두턱 (호두주름)으로 인하여 원래 있던 무턱이 실제보다 더 심해보였던 것이 개선이 되면서 턱라인 개선이 눈에 띕니다.

23.08~25.10
이제 비로소 입이 편하게 다물립니다.

23.08~25.10
입매는 과하지 않게 적정량 예쁘게 들어갔습니다.
돌출입이 해소가 되면 비순삭이 줄면서 코도 높아보입니다.
앞니가 뒤로 6mm 이상 들어갔고 통상 발치교정보다 더 많은 양이 들어갔지만, 교정 후 옥니 등 부작용은 보이지 않습니다.
치아의 변화만큼 입매 변화도 드라마틱 합니다.
입술 부전증 해소로 턱끝 힘이 풀리니 울퉁불퉁했던 턱라인이 매끈해 졌습니다.

파노라마 엑스레이에서 치근평행도는 좋고 치근흡수도 관찰되지 않습니다.
오히려 뻗쳐있던 앞니가 정상각도를 찾으면 이 경우처럼 파노라마 엑스레이상 치아뿌리가 더 길어보입니다.
돌출입이 심할수록 앞니를 뒤로 넣어야 되는 양이 커지고 이에 따라 옥니나 치근흡수 등 부작용의 위험도 생기게 됩니다.
그러나 실력 좋은 원장님을 만나 원장님이 심미적인 것 뿐 아니라 잇몸과 치아건강까지 고려하여 치료한다면 너무 길지 않은 기간안에 부작용 없이 좋은 결과를 얻을 수 있습니다.
돌출입 발치교정 고민중이신 분들에게 도움이 되셨기를 바랍니다.

