안녕하세요.
압구정 교정치과 입니다.
오늘도 어린이 교정 인비절라인 퍼스트 입니다.

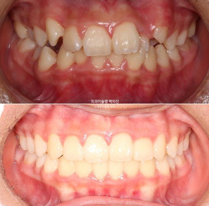
24.02~25.07
치료시기만 잘 맞으면 영구치열 교합까지 완성할 수 있습니다.
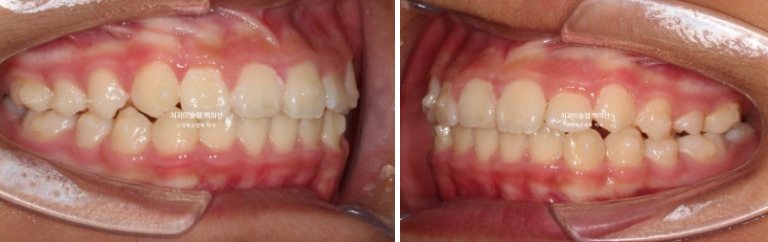
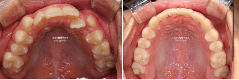
24년 1월 교정치료를 위해 온 만 10세 어린이 입니다.

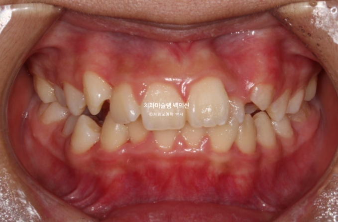
24.02
3년 전에 소아치과에서 앞니 부분교정을 한 적이 있다고 합니다.
그래서 위 앞니에는 중절치 두 개를 잇는 철사유지장치가 붙어있었습니다.
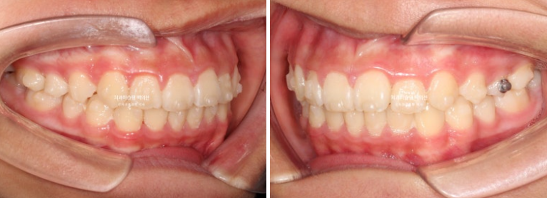
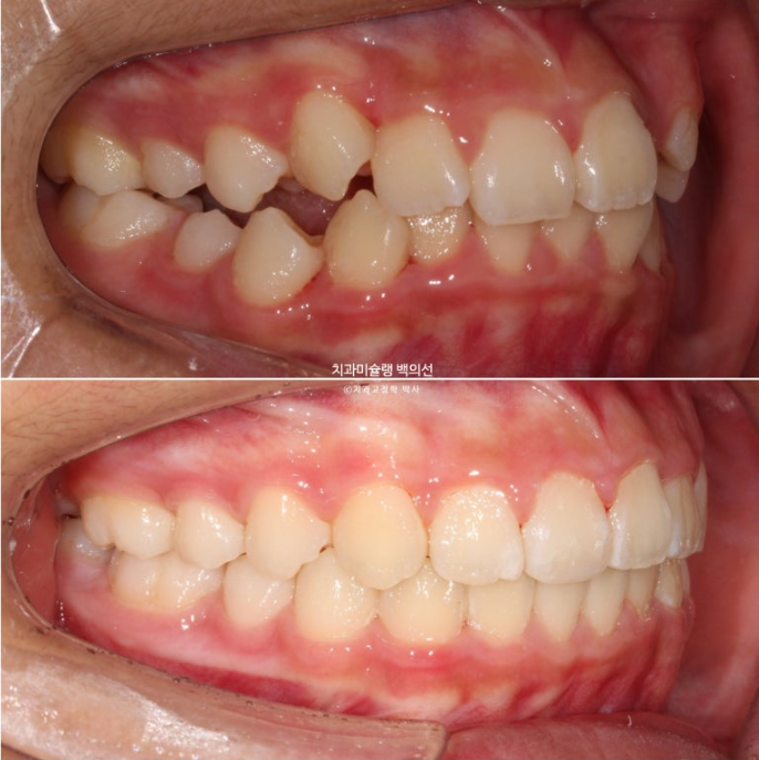
중심선이 약 2mm 어긋나 있으며 위 앞니 치축은 한쪽으로 기울어져 있습니다.
앞니가 깊게 물리는 과개교합도 보입니다.

24.02
공간부족으로 인한 덧니가 심해 반대교합이 있습니다.

24.02

24.02
악궁확장을 통한 덧니배열을 목표로 인비절라인퍼스트 교정치료 권유드렸습니다.
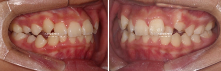
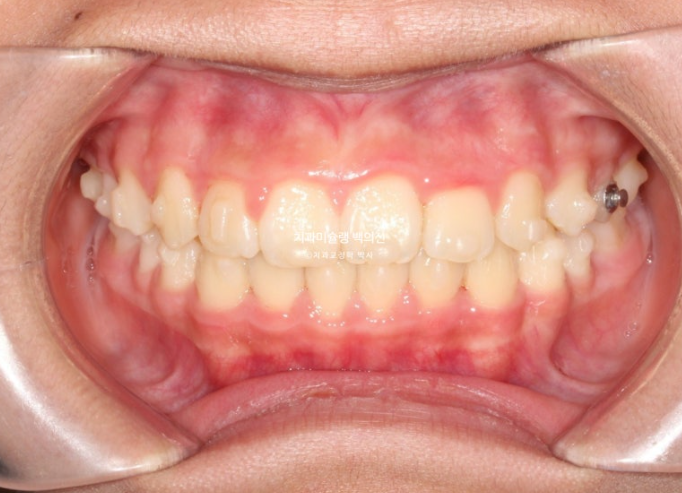
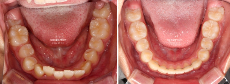
24년 2월부터 9월까지, 첫세트의 19
개 장치를 모두 낀 후 모습입니다.

24.09
중심선은 개선되었으나 약간의 불일치가 남아있으며 반대교합과 덧니는 모두 개선되었습니다.

24.09

24.09
그 사이 하나 남아있던 유치가 빠지고 완전한 영구치열에 접어들었습니다.

24.09
중심선 개선을 위해 추가장치를 제작하기로 합니다.
24년 10월부터 25년 1월까지 14개 추가장치를 모두 낀 후 모습입니다.

25.01
추가장치에서 중심선 개선을 위한 고무줄을 처방하였는데, 아이가 고무줄을 열심히 껴준 덕에 중심선이 오히려 3개월전에 비해 반대로 넘어간 것이 보입니다.
이런 경우 고무줄을 중단하면 어느정도 원래 위치로 돌아오기 때문에 마지막 꼈던 14단계 장치를 유지용으로 잘때만 끼면서 경과 관찰을 하기로 합니다.

25.01

25.01

25.01
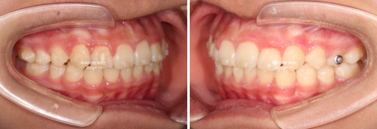
그렇게 4개월간 경과관찰을 하던 중, 25년 5월 내원 시 모습입니다.

25.05
예상대로 고무줄을 중단하자 중심선의 재발이 어느정도 일어나 좋아졌으나

25.05
잘때만 끼도록 했던 마지막 장치를 잘 안꼈는지 앞니 배열이 다시 틀어졌습니다.
이 부분을 바로잡기 위해 부득이하게 2번째 재제작에 들어갑니다.

25.05

25.05
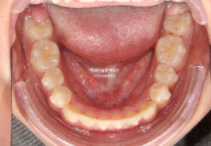
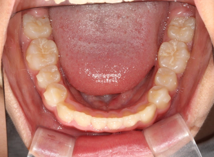
교합과 아래배열은 완벽하게 유지되고 있습니다.
25년 5월부터 25년 7월까지 앞니 배열 개선을 위해 추가장치를 짧게 낀 후 치료를 마무리 하였습니다.

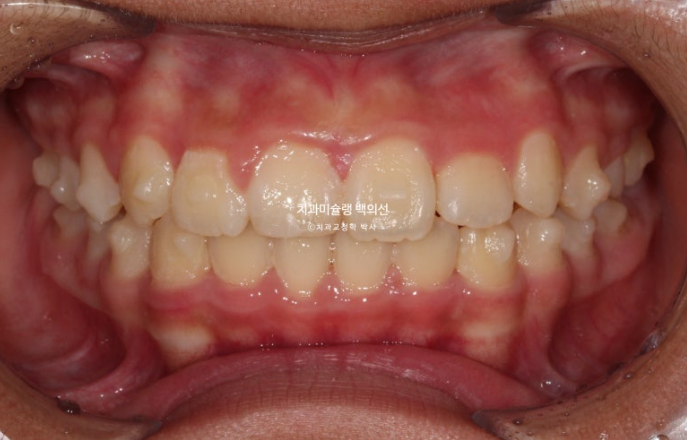
25.07
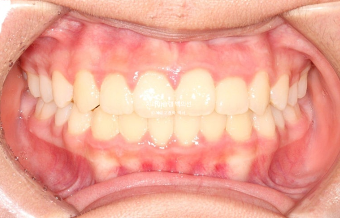
중심선은 잘 맞으며

어금니 교합은 물샐틈 없는 1급 교합관계를 보입니다.
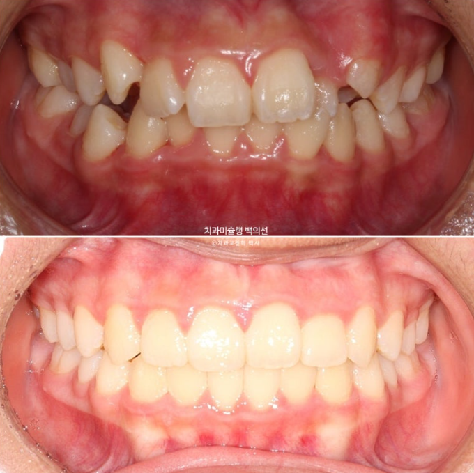
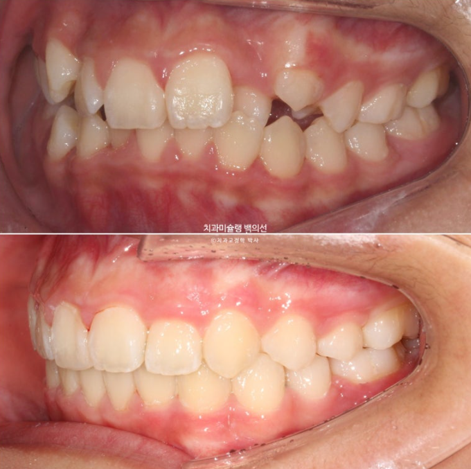
이제 전후비교 보겠습니다.
총 치료기간은 1년 6개월이며 중간에 중심선 이슈로 잠시 쉬는 시간이 4개월 있었습니다.
재제작은 총 2회 했습니다.

24.02~25.07

치료결과가 어린이 교정이 아닌, 정식 성인교정 치료 결과에 준하는 만큼 유지장치도 철저하게 들어갑니다.

24.02~25.07
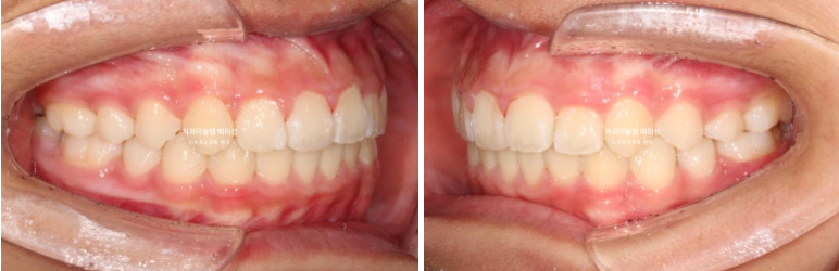
어긋난 중심선이 맞아졌으며 기울어진 앞니 치축도 좋아졌습니다.
앞니가 깊게 물리는 과개교합도 좋아졌습니다.

25.07
앞니 치축의 개선은 엑스레이에서 더 정확히 확인이 됩니다.

24.02~25.07

24.02~25.07
이제 안모비교 보겠습니다.

24.02~25.07

24.02~25.07
저희 치과에서는 어린이 교정의 한계에 매이기 보다는 성인교정에 준한 결과가 나오도록 최선을 다며 진료하고 있습니다.
어린이 투명교정을 고민 중인 분들에게 이 포스팅이 도움이 되길 바랍니다.

